Copyright
©The Author(s) 2025.
World J Clin Pediatr. Dec 9, 2025; 14(4): 107842
Published online Dec 9, 2025. doi: 10.5409/wjcp.v14.i4.107842
Published online Dec 9, 2025. doi: 10.5409/wjcp.v14.i4.107842
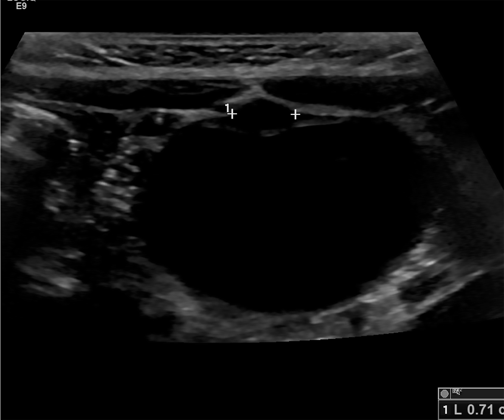
Figure 1 Shows an abdominal ultrasound that clearly identifies a hyperechoic focus anterior to the bladder as denoted by the number 1 on the figure.
This focus represents a urachal remnant and it extends between the two cross markers found in the image.
- Citation: Khiati DA, Savasan S. What should be investigated in delayed umbilical cord separation: Two case reports. World J Clin Pediatr 2025; 14(4): 107842
- URL: https://www.wjgnet.com/2219-2808/full/v14/i4/107842.htm
- DOI: https://dx.doi.org/10.5409/wjcp.v14.i4.107842
