Copyright
©The Author(s) 2026.
World J Orthop. Feb 18, 2026; 17(2): 113473
Published online Feb 18, 2026. doi: 10.5312/wjo.v17.i2.113473
Published online Feb 18, 2026. doi: 10.5312/wjo.v17.i2.113473
Figure 1 Magnetic resonance imaging of the left foot and ankle joint.
A: Posterior view; B: Lateral view.
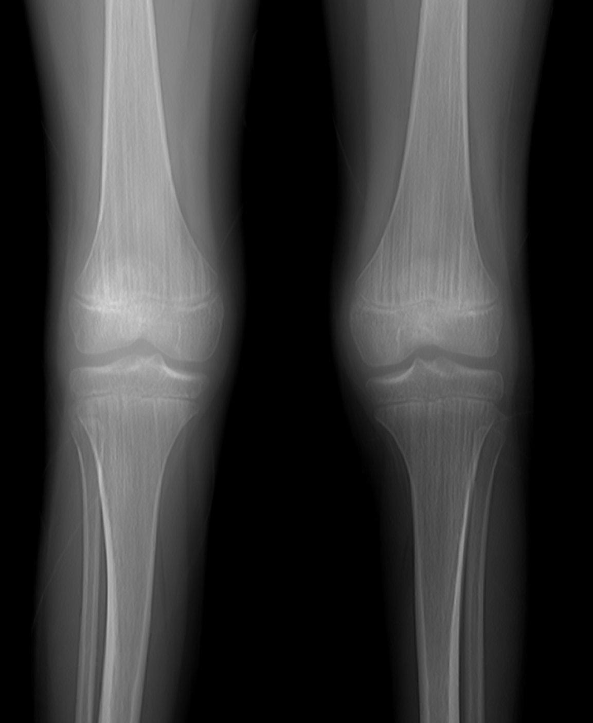
Figure 2
Vertical striations in the metaphyseal regions of the femoral and tibial bones on radiographs.
Figure 3 Vertical striations in the metaphyseal regions of the femoral and tibial bones on computed tomography scans.
A: Posterior view; B: Lateral view.
Figure 4
A “sandwich vertebrae” appearance (magnetic resonance imaging T2-weighted images).
Figure 5 A multispiral computed tomography scan of the brain.
A: Thickening of the temporal bones, particularly in the region of the skull base, was seen on the computed tomography scan; B: Skull thickening on craniogram.
Figure 6 Sanger sequencing.
A and B: The proband (A) carries the heterozygous c.800C>A variant in the AMER1 gene (arrow), which is absent in his unaffected mother (B).
- Citation: Yakovlev AA, Gaidar EV, Suspitsin EN, Korzun PR, Kostik MM. Osteopathia striata with cranial sclerosis, associated with juvenile idiopathic arthritis: A case report and review of literature. World J Orthop 2026; 17(2): 113473
- URL: https://www.wjgnet.com/2218-5836/full/v17/i2/113473.htm
- DOI: https://dx.doi.org/10.5312/wjo.v17.i2.113473
