Published online May 24, 2025. doi: 10.5306/wjco.v16.i5.107039
Revised: March 31, 2025
Accepted: April 11, 2025
Published online: May 24, 2025
Processing time: 67 Days and 19.4 Hours
Pancreatic carcinoma is one of the most lethal malignancies and has a dismal prognosis. However, advances in diagnostic modalities and better multidisciplinary management have contributed to improved survival in these patients. Of late, various recurrence patterns have been observed; the most common of them being distant metastasis followed by the pancreatic bed and lymph node re
Core Tip: The incidence of remnant pancreatic cancer is increasing as advances in diagnostic modalities and better multidisciplinary management have contributed to improved survival in patients with pancreatic cancer. Recognition of various genetic factors may help in the early detection of remnant pancreatic carcinoma and provide better management. Recent trends show a shift towards surgical management of remnant pancreatic cancer. However, managing remnant pancreatic carcinoma needs further detailed introspection and research to optimize outcomes.
- Citation: Shukla A, Kalayarasan R, Sai Krishna P, Pottakkat B. Remnant pancreatic carcinoma: The current status. World J Clin Oncol 2025; 16(5): 107039
- URL: https://www.wjgnet.com/2218-4333/full/v16/i5/107039.htm
- DOI: https://dx.doi.org/10.5306/wjco.v16.i5.107039
Pancreatic malignancy has been a significant health problem for many decades, mainly due to its asymptomatic initial clinical presentation that delays early diagnosis and hampers timely management. It is one of the most lethal malignancies of the gastrointestinal tract, having a dismal prognosis with a 5-year relative survival of around 9%[1]. Even after the curative-intent resection, pancreatic cancer recurs in most patients, usually within 2 years after the index surgery[2]. Various recurrence patterns have been observed; the most common is liver metastasis followed by peritoneal carcinomatosis and local recurrence. However, knowledge of the exact pattern and mechanism of recurrence is still immature.
With advances in perioperative systemic therapy and improved surgical management, there has been a recent trend towards improving long-term outcomes after resection of pancreatic carcinoma. Consequently, the detection of remnant pancreatic carcinoma has also been gradually increasing. While patients with systemic metastasis are generally offered palliative therapy, patients with remnant pancreatic carcinoma may be eligible for operative intervention. However, due to a lack of a standardized definition and evidence-based management protocol, there is still no consensus on the appropriate evaluation and treatment of remnant pancreatic carcinoma. The present minireview highlighted the areas for future research on this emerging health problem.
Current survival statistics reflect that survival is highest in malignancies like thyroid, prostate, testis, and melanoma, whereas it is lowest in pancreatic (12%), liver, and esophagus malignancies. Pancreatic malignancy is the fourth leading cause of cancer-related mortality in the United States. Mortality rates in males went from 12.1% in 2000 to 12.7% in 2020 and 9.3% to 9.6% in females over the same time[1]. In 2023, an estimated 64050 new cases were diagnosed, and 50550 deaths were reported[1].
Poor survival in patients with pancreatic cancer is due to a high incidence of local and systemic recurrence, which can be as high as 80%. However, recent advances in neoadjuvant and adjuvant therapy combined with improvements in surgical techniques contributed to improvement in overall survival[3,4]. Improved survival after surgical resection has increased the number of long-term survivors, which in turn increases the risk of recurrence.
In the last few years, many case reports of remnant pancreatic carcinoma have been published, and recent cohort studies focusing on the mechanism of recurrence and management strategies have been published. Recently, the Japanese Clinical Practice Guidelines for Pancreatic Cancer 2022 recommended continued long-term surveillance even in patients surviving for more than 5 years after initial resection to detect remnant pancreatic carcinoma[5].
Early diagnosis of pancreatic carcinoma is of the utmost importance for successful treatment, and surgical resection with negative margins is the cornerstone of the management. However, due to late identification and aggressive biological behavior of the disease, many patients have locally advanced or metastatic disease at the time of diagnosis, making surgical resection possible only in 20% of cases[6]. The overall 5-year survival rates are less than 5% in pancreatic carcinoma; however, patients with successful surgical resection have noted improvement in 5-year survival rates up to 15%-40%[7,8]. In Japan, pancreatic cancer is the fifth leading cause of cancer-related mortality, and the 5-year survival rate after surgical resection ranges from 15%-20%[9].
The incidence of remnant pancreatic carcinoma is 4.6%, and the cumulative 3-year and 5-year incidence rates are 3.1% and 17.7%, respectively[10]. The incidence of remnant pancreatic carcinoma is similar to the incidence rate seen with remnant gastric carcinoma, which is 1.9%-5.5%[11,12]. However, the cumulative 5-year incidence is higher in remnant pancreatic carcinoma[10]. In one of the studies, it was reported that median survival was only 7 months in remnant pancreatic carcinoma when surgery was not performed[13]. Numerous names have been suggested in the literature for this entity, including remnant pancreatic cancer, pancreatic cancer in the remnant pancreas, carcinoma developing in the remnant pancreas, metachronous pancreatic cancer, second primary pancreatic ductal carcinoma, and isolated local recurrence[10,14-20].
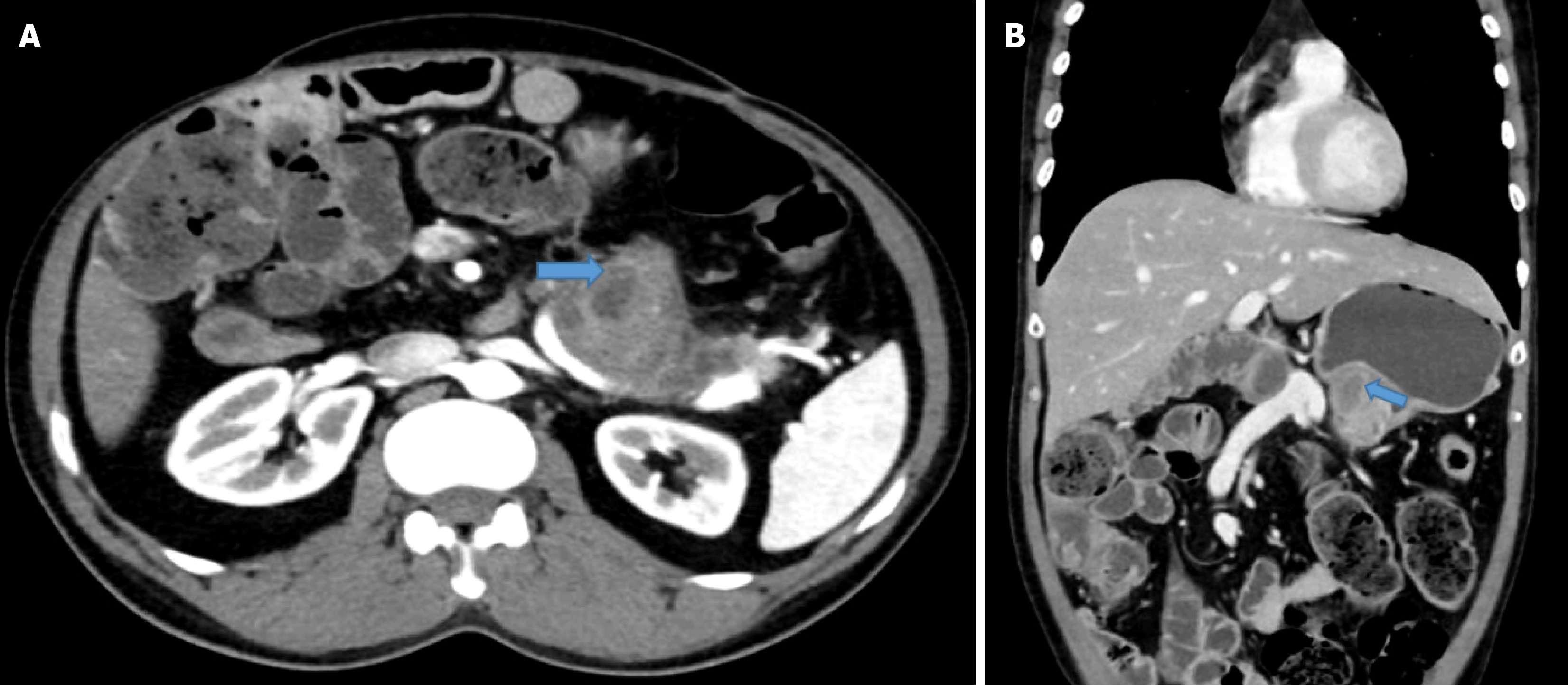
Clinically remnant pancreatic carcinoma presents with significant weight loss, exocrine insufficiency, abdominal pain, or back pain. In a few patients tumor markers, including carbohydrate antigen 19-9 or carcinoembryonic antigen, may be elevated. Hence, serial measurements in the follow-up period are essential for early diagnosis of recurrence. Contrast-enhanced CT and positron emission tomography with CT are crucial in evaluating recurrence and its extent. A representative image of contrast-enhanced CT showed a heterogeneously hypodense mass lesion measuring approximately 3.8 cm × 2.8 cm in the body and tail region involving the splenic vein (Figure 1). Endoscopic ultrasound with or without fine needle aspiration or endoscopic retrograde cholangiography cytology has also been used to confirm the diagnosis[21]. Moreover, previous surgical pathology, staging, and the time interval between index surgery and recurrence are important factors for planning further management. Usually, the interval between the index surgery and recurrence ranges from 6 months to 4 years. However, it can be seen even after 5 years.
Remnant pancreatic carcinoma has been defined as a tumor located in the remnant pancreas after R0 resection and meeting at least one of the following: Time gap of more than 3 years after index surgery; and new lesion not in contact with the pancreatic stump[10,22]. However, there is no consensus on this definition.
Various patterns and timings of the recurrence have recently been seen, depicting a broad spectrum of biological behavior. The unfavorable outcome in pancreatic cancer following surgery is mainly due to preexisting systemic disease at the time of surgery, leading to liver metastasis in half the patients or peritoneal metastasis in one-fourth of patients[23,24]. Moreover, in patients undergoing R0 resection, tumor cells may still exist on the remnant stump leading to recurrence in the remnant pancreas[23]. In the recent reports one-fourth of patients were seen to have remnant pancreas as the primary site of recurrence[25].
Possible mechanisms in the pathogenesis of remnant pancreatic carcinoma are local recurrence of the initial tumor of the remnant pancreas or a metachronous new tumor in the remaining pancreas[15,19,26]. When the positive resection margin is the cause of remnant pancreatic carcinoma, the secondary lesion tends to be close to the pancreatic stump. In contrast, metachronous new tumors may have hematological or lymphatic spread[26]. An alternative mechanism is the intraductal dissemination of the tumor cells, which is likely seen in intraductal papillary mucinous neoplasm[27]. Previous studies have found synchronous multifocal lesions in 20%-32% of histopathological specimens of total pancreatectomy performed for pancreatic carcinoma, suggesting the possibility of preexisting lesions[28,29]. Genetic alterations in these tumors give a window to assess the mechanism of recurrence.
Based on the genetic alterations in Kristen rat sarcoma viral oncogene homolog (KRAS), MUC1, and MUC2 immunohistochemical analysis in the index lesion and the remnant pancreatic lesion, attempts have been made to classify remnant pancreatic carcinoma into recurrent lesion or new primary/metachronous lesions[15]. Some researchers have used KRAS mutations and TP53, CDKN2A, and SMAD4 immunohistochemical analysis for this differentiation[19]. Some authors have used next-generation sequencing for mutational and histopathological analysis to distinguish recurrence from new primary/metachronous lesions[26]. Recognition of such factors may help in the early detection of remnant pancreatic carcinoma and provide better planning and management.
One retrospective study reported that out of 379 patients who underwent pancreatoduodenectomy for pancreatic adenocarcinoma 14 patients had remnant pancreatic carcinoma. On multivariate analysis the link with intraductal papillary mucinous neoplasm was found to be an independent predictive factor for remnant pancreatic carcinoma[30]. Researchers have postulated that genetic testing has shown similar mutation patterns in different lesions in intraductal mucinous papillary neoplasm and suggested that tumor cells propagate via the pancreatic duct[31-33]. One study postulated that not all intraductal papillary mucinous neoplasms spread via the duct, and some are independent of their primary[32]. Similarly, another author found that coexisting pancreatic ductal adenocarcinoma and intraductal papillary mucinous neoplasm are genetically apparent in around one-fifth of patients[34].
Moreover, some investigators have noticed that precursor lesions are found more frequently in patients with familial pancreatic ductal adenocarcinoma[35]. Limited tumor heterogeneity observed by a few authors may help in the success of targeted therapies[36]. On the contrary, some researchers have found multiple forms of KRAS mutations and intratumoral heterogeneity in pancreatic ductal adenocarcinoma[37]. The genomics of pancreatic cancer need further introspection to delineate the genetic mechanisms involved in pancreatic cancer.
Chemotherapy or chemoradiotherapy has been commonly applied after surgery in the adjuvant setting to reduce recurrence and improve survival (Table 1)[38-44]. The role of neoadjuvant therapy in resectable pancreatic cancer is still evolving. Neoadjuvant therapy in locally advanced pancreatic cancer has established its role, and evidence shows a benefit in borderline resectable pancreatic malignancy. Chemotherapy has been commonly applied for managing patients with remnant pancreatic carcinoma.
| Trial | Year | Drug regimen | DFS (months) | OS (months) |
| ESPAC-1[38] | 2001 | 5FU vs observation | 15.3 vs 9.4 (P = 0.02) | 20.1 vs 15.5 |
| CONKO-001[39] | 2007 | Gemcitabine vs observation | 13.4 vs 6.9 (P < 0.001) | 22.8 vs 20.2 |
| ESPAC-3[40] | 2010 | 5FU vs gemcitabine | 14.1 vs 14.3 (P = 0.53) | 23.0 vs 23.6 |
| CONKO-005[41] | 2017 | Gemcitabine vs erlotinib | 11.4 vs 11.4 (P = 0.26) | 26.5 vs 24.5 |
| ESPAC-4[42] | 2017 | Gemcitabine vs capecitabine | 13.1 vs 13.9 (P = 0.082) | 25.5 vs 28.0 |
| PRODIGE 24[43] | 2018 | Gemcitabine vs FOLFIRINOX | 12.8 vs 21.6 (P < 0.001) | 35.0 vs 54.4 |
| APACT[44] | 2019 | Gemcitabine vs gemcitabine + nab | 13.7 vs 16.6 | 36.2 vs 40.5 |
However, recent trends show a shift towards surgical resection for better median and overall survival, especially in tumors limited to the remnant pancreas[45]. Surgical resection encompasses the need for total remnant pancreatectomy, which is a procedure with high morbidity. Also, previous adjuvant treatment in the form of chemoradiation may have morphological changes in the form of fibrosis, making surgical resection difficult[46]. Moreover, during redo surgery, anatomical changes like adhesions, invasion of main vessels, and loss of tissue planes can be challenging. However, beneficial results have been seen after resection[3,30,47]. A Japanese multicenter study of 90 patients with remnant pancreatic carcinoma reported post resection morbidity of 8.9% and 30-day and 90-day mortality of 0% and 1.1%, respectively[48]. Another pooled analysis showed no perioperative mortality and an overall 3-year and 5-year survival of 49.2% and 40.6%, respectively[49].
The most frequently performed operation is total remnant pancreatectomy or completion pancreatectomy, which can also be safely accomplished using minimally invasive techniques[50-52]. Total remnant pancreatectomy would be best suited in a patient with small-sized tumors located at least 10 mm away from the pancreatic stump[48]. It has also been shown that completion pancreatectomy following initial distal pancreatectomy has more blood loss and increased operative time. Similar to gastric stump carcinoma, with numerous unsettled queries regarding the definition, classification, staging, and surgical management, remnant pancreatic carcinoma also needs further detailed introspection and research[53].
The incidence of remnant pancreatic carcinoma is steadily increasing, with a cumulative 5-year incidence higher than gastric stump carcinoma. Postoperative surveillance is of the utmost importance in pancreatic cancers even beyond 5 years for early detection and timely management of recurrent remnant carcinoma. However, more studies are still needed to define the entity and plan better management of these patients.
| 1. | Siegel RL, Miller KD, Wagle NS, Jemal A. Cancer statistics, 2023. CA Cancer J Clin. 2023;73:17-48. [RCA] [PubMed] [DOI] [Full Text] [Cited by in Crossref: 116] [Cited by in RCA: 10951] [Article Influence: 3650.3] [Reference Citation Analysis (2)] |
| 2. | Griffin JF, Smalley SR, Jewell W, Paradelo JC, Reymond RD, Hassanein RE, Evans RG. Patterns of failure after curative resection of pancreatic carcinoma. Cancer. 1990;66:56-61. [RCA] [PubMed] [DOI] [Full Text] [Cited by in RCA: 9] [Reference Citation Analysis (0)] |
| 3. | Kleeff J, Reiser C, Hinz U, Bachmann J, Debus J, Jaeger D, Friess H, Büchler MW. Surgery for recurrent pancreatic ductal adenocarcinoma. Ann Surg. 2007;245:566-572. [RCA] [PubMed] [DOI] [Full Text] [Cited by in Crossref: 175] [Cited by in RCA: 187] [Article Influence: 9.8] [Reference Citation Analysis (1)] |
| 4. | Sohal DPS, Kennedy EB, Khorana A, Copur MS, Crane CH, Garrido-Laguna I, Krishnamurthi S, Moravek C, O'Reilly EM, Philip PA, Ramanathan RK, Ruggiero JT, Shah MA, Urba S, Uronis HE, Lau MW, Laheru D. Metastatic Pancreatic Cancer: ASCO Clinical Practice Guideline Update. J Clin Oncol. 2018;36:2545-2556. [RCA] [PubMed] [DOI] [Full Text] [Cited by in Crossref: 181] [Cited by in RCA: 201] [Article Influence: 25.1] [Reference Citation Analysis (0)] |
| 5. | Okusaka T, Nakamura M, Yoshida M, Kitano M, Ito Y, Mizuno N, Hanada K, Ozaka M, Morizane C, Takeyama Y; Committee for Revision of Clinical Guidelines for Pancreatic Cancer of the Japan Pancreas Society. Clinical Practice Guidelines for Pancreatic Cancer 2022 from the Japan Pancreas Society: a synopsis. Int J Clin Oncol. 2023;28:493-511. [RCA] [PubMed] [DOI] [Full Text] [Full Text (PDF)] [Cited by in RCA: 105] [Reference Citation Analysis (0)] |
| 6. | Riall TS, Lillemoe KD. Underutilization of surgical resection in patients with localized pancreatic cancer. Ann Surg. 2007;246:181-182. [RCA] [PubMed] [DOI] [Full Text] [Cited by in Crossref: 39] [Cited by in RCA: 46] [Article Influence: 2.4] [Reference Citation Analysis (0)] |
| 7. | Bradley EL 3rd. Long-term survival after pancreatoduodenectomy for ductal adenocarcinoma: the emperor has no clothes? Pancreas. 2008;37:349-351. [RCA] [PubMed] [DOI] [Full Text] [Cited by in Crossref: 27] [Cited by in RCA: 27] [Article Influence: 1.5] [Reference Citation Analysis (0)] |
| 8. | Schnelldorfer T, Ware AL, Sarr MG, Smyrk TC, Zhang L, Qin R, Gullerud RE, Donohue JH, Nagorney DM, Farnell MB. Long-term survival after pancreatoduodenectomy for pancreatic adenocarcinoma: is cure possible? Ann Surg. 2008;247:456-462. [RCA] [PubMed] [DOI] [Full Text] [Cited by in Crossref: 339] [Cited by in RCA: 382] [Article Influence: 21.2] [Reference Citation Analysis (0)] |
| 9. | Garcea G, Dennison AR, Pattenden CJ, Neal CP, Sutton CD, Berry DP. Survival following curative resection for pancreatic ductal adenocarcinoma. A systematic review of the literature. JOP. 2008;9:99-132. [PubMed] |
| 10. | Ishida J, Toyama H, Matsumoto I, Asari S, Goto T, Terai S, Nanno Y, Yamashita A, Mizumoto T, Ueda Y, Kido M, Ajiki T, Fukumoto T, Ku Y. Second primary pancreatic ductal carcinoma in the remnant pancreas after pancreatectomy for pancreatic ductal carcinoma: High cumulative incidence rates at 5 years after pancreatectomy. Pancreatology. 2016;16:615-620. [RCA] [PubMed] [DOI] [Full Text] [Cited by in Crossref: 17] [Cited by in RCA: 19] [Article Influence: 1.9] [Reference Citation Analysis (0)] |
| 11. | Hanyu T, Wakai A, Ishikawa T, Ichikawa H, Kameyama H, Wakai T. Carcinoma in the Remnant Stomach During Long-Term Follow-up After Distal Gastrectomy for Gastric Cancer: Analysis of Cumulative Incidence and Associated Risk Factors. World J Surg. 2018;42:782-787. [RCA] [PubMed] [DOI] [Full Text] [Cited by in Crossref: 15] [Cited by in RCA: 31] [Article Influence: 3.9] [Reference Citation Analysis (0)] |
| 12. | Mak TK, Guan B, Peng J, Chong TH, Wang C, Huang S, Yang J. Prevalence and characteristics of gastric remnant cancer: A systematic review and meta-analysis. Asian J Surg. 2021;44:11-17. [RCA] [PubMed] [DOI] [Full Text] [Cited by in Crossref: 25] [Cited by in RCA: 27] [Article Influence: 5.4] [Reference Citation Analysis (0)] |
| 13. | Sperti C, Pasquali C, Piccoli A, Pedrazzoli S. Recurrence after resection for ductal adenocarcinoma of the pancreas. World J Surg. 1997;21:195-200. [RCA] [PubMed] [DOI] [Full Text] [Cited by in Crossref: 339] [Cited by in RCA: 398] [Article Influence: 13.7] [Reference Citation Analysis (0)] |
| 14. | Miyasaka Y, Ohtsuka T, Kimura R, Matsuda R, Mori Y, Nakata K, Watanabe M, Oda Y, Nakamura M. Is remnant pancreatic cancer after pancreatic resection more frequent in early-stage pancreatic cancer than in advanced-stage cancer? Ann Gastroenterol Surg. 2020;4:448-454. [RCA] [PubMed] [DOI] [Full Text] [Full Text (PDF)] [Cited by in Crossref: 4] [Cited by in RCA: 8] [Article Influence: 1.3] [Reference Citation Analysis (0)] |
| 15. | Eriguchi N, Aoyagi S, Imayama H, Okuda K, Hara M, Fukuda S, Tamae T, Kanazawa N, Noritomi T, Hiraki M, Jimi A. Resectable carcinoma of the pancreatic head developing 7 years and 4 months after distal pancreatectomy for carcinoma of the pancreatic tail. J Hepatobiliary Pancreat Surg. 2000;7:316-320. [RCA] [PubMed] [DOI] [Full Text] [Cited by in Crossref: 25] [Cited by in RCA: 22] [Article Influence: 0.8] [Reference Citation Analysis (0)] |
| 16. | Hashimoto D, Chikamoto A, Ohmuraya M, Sakata K, Miyake K, Kuroki H, Watanabe M, Beppu T, Hirota M, Baba H. Pancreatic cancer in the remnant pancreas following primary pancreatic resection. Surg Today. 2014;44:1313-1320. [RCA] [PubMed] [DOI] [Full Text] [Cited by in Crossref: 31] [Cited by in RCA: 37] [Article Influence: 2.8] [Reference Citation Analysis (0)] |
| 17. | Frei L, Stieger R, Bayerl C, Breitenstein S, Staerkle RF. Resectable adenocarcinoma developing in the remnant pancreas 7 years after partial pancreatoduodenectomy for invasive ductal adenocarcinoma of the pancreas: a case report. J Med Case Rep. 2017;11:194. [RCA] [PubMed] [DOI] [Full Text] [Full Text (PDF)] [Cited by in Crossref: 2] [Cited by in RCA: 2] [Article Influence: 0.2] [Reference Citation Analysis (0)] |
| 18. | Hamner JB, White M, Crowder C, Singh G. Resection of metachronous pancreatic cancer 4 years after pancreaticoduodenectomy for stage III pancreatic adenocarcinoma. World J Surg Oncol. 2015;13:290. [RCA] [PubMed] [DOI] [Full Text] [Full Text (PDF)] [Cited by in Crossref: 5] [Cited by in RCA: 5] [Article Influence: 0.5] [Reference Citation Analysis (0)] |
| 19. | Shima Y, Okabayashi T, Kozuki A, Sumiyoshi T, Tokumaru T, Saisaka Y, Date K, Iwata J. Completion pancreatectomy for recurrent pancreatic cancer in the remnant pancreas: report of six cases and a review of the literature. Langenbecks Arch Surg. 2015;400:973-978. [RCA] [PubMed] [DOI] [Full Text] [Cited by in Crossref: 23] [Cited by in RCA: 25] [Article Influence: 2.3] [Reference Citation Analysis (0)] |
| 20. | Gotoh Y, Ohtsuka T, Nakamura S, Shindo K, Ohuchida K, Miyasaka Y, Mori Y, Mochidome N, Oda Y, Nakamura M. Genetic assessment of recurrent pancreatic high-risk lesions in the remnant pancreas: Metachronous multifocal lesion or local recurrence? Surgery. 2019;165:767-774. [RCA] [PubMed] [DOI] [Full Text] [Cited by in Crossref: 7] [Cited by in RCA: 10] [Article Influence: 1.3] [Reference Citation Analysis (0)] |
| 21. | Koizumi M, Sata N, Kasahara N, Morishima K, Sasanuma H, Sakuma Y, Shimizu A, Hyodo M, Yasuda Y. Remnant pancreatectomy for recurrent or metachronous pancreatic carcinoma detected by FDG-PET: two case reports. JOP. 2010;11:36-40. [PubMed] |
| 22. | Menke-Pluymers MB, Klinkenbijl JH, Tjioe M, Jeekel J. Treatment of locoregional recurrence after intentional curative resection of pancreatic cancer. Hepatogastroenterology. 1992;39:429-432. [PubMed] |
| 23. | Smeenk HG, Incrocci L, Kazemier G, van Dekken H, Tran KT, Jeekel J, van Eijck CH. Adjuvant 5-FU-based chemoradiotherapy for patients undergoing R-1/R-2 resections for pancreatic cancer. Dig Surg. 2005;22:321-328. [RCA] [PubMed] [DOI] [Full Text] [Cited by in Crossref: 20] [Cited by in RCA: 25] [Article Influence: 1.2] [Reference Citation Analysis (0)] |
| 24. | Westerdahl J, Andrén-Sandberg A, Ihse I. Recurrence of exocrine pancreatic cancer--local or hepatic? Hepatogastroenterology. 1993;40:384-387. [PubMed] |
| 25. | Groot VP, Gemenetzis G, Blair AB, Rivero-Soto RJ, Yu J, Javed AA, Burkhart RA, Rinkes IHMB, Molenaar IQ, Cameron JL, Weiss MJ, Wolfgang CL, He J. Defining and Predicting Early Recurrence in 957 Patients With Resected Pancreatic Ductal Adenocarcinoma. Ann Surg. 2019;269:1154-1162. [RCA] [PubMed] [DOI] [Full Text] [Cited by in Crossref: 121] [Cited by in RCA: 293] [Article Influence: 48.8] [Reference Citation Analysis (1)] |
| 26. | Luchini C, Pea A, Yu J, He J, Salvia R, Riva G, Weiss MJ, Bassi C, Cameron JL, Hruban RH, Goggins M, Wolfgang CL, Scarpa A, Wood LD, Lawlor RT. Pancreatic cancer arising in the remnant pancreas is not always a relapse of the preceding primary. Mod Pathol. 2019;32:659-665. [RCA] [PubMed] [DOI] [Full Text] [Full Text (PDF)] [Cited by in Crossref: 20] [Cited by in RCA: 23] [Article Influence: 3.3] [Reference Citation Analysis (0)] |
| 27. | Miura F, Takada T, Amano H, Yoshida M, Isaka T, Toyota N, Wada K, Takagi K, Kato K. Repeated pancreatectomy after pancreatoduodenectomy. J Gastrointest Surg. 2007;11:179-186. [RCA] [PubMed] [DOI] [Full Text] [Cited by in Crossref: 36] [Cited by in RCA: 39] [Article Influence: 2.1] [Reference Citation Analysis (0)] |
| 28. | Launois B, Franci J, Bardaxoglou E, Ramee MP, Paul JL, Malledant Y, Campion JP. Total pancreatectomy for ductal adenocarcinoma of the pancreas with special reference to resection of the portal vein and multicentric cancer. World J Surg. 1993;17:122-6; discussion 126. [RCA] [PubMed] [DOI] [Full Text] [Cited by in Crossref: 76] [Cited by in RCA: 74] [Article Influence: 2.2] [Reference Citation Analysis (0)] |
| 29. | Tryka AF, Brooks JR. Histopathology in the evaluation of total pancreatectomy for ductal carcinoma. Ann Surg. 1979;190:373-381. [RCA] [PubMed] [DOI] [Full Text] [Cited by in Crossref: 73] [Cited by in RCA: 71] [Article Influence: 1.5] [Reference Citation Analysis (0)] |
| 30. | Matsuda R, Miyasaka Y, Ohishi Y, Yamamoto T, Saeki K, Mochidome N, Abe A, Ozono K, Shindo K, Ohtsuka T, Kikutake C, Nakamura M, Oda Y. Concomitant Intraductal Papillary Mucinous Neoplasm in Pancreatic Ductal Adenocarcinoma Is an Independent Predictive Factor for the Occurrence of New Cancer in the Remnant Pancreas. Ann Surg. 2020;271:941-948. [RCA] [PubMed] [DOI] [Full Text] [Cited by in Crossref: 16] [Cited by in RCA: 26] [Article Influence: 4.3] [Reference Citation Analysis (0)] |
| 31. | Tamura K, Ohtsuka T, Ideno N, Aso T, Shindo K, Aishima S, Ohuchida K, Takahata S, Ushijima Y, Ito T, Oda Y, Mizumoto K, Tanaka M. Treatment strategy for main duct intraductal papillary mucinous neoplasms of the pancreas based on the assessment of recurrence in the remnant pancreas after resection: a retrospective review. Ann Surg. 2014;259:360-368. [RCA] [PubMed] [DOI] [Full Text] [Cited by in Crossref: 65] [Cited by in RCA: 66] [Article Influence: 5.5] [Reference Citation Analysis (0)] |
| 32. | Pea A, Yu J, Rezaee N, Luchini C, He J, Dal Molin M, Griffin JF, Fedor H, Fesharakizadeh S, Salvia R, Weiss MJ, Bassi C, Cameron JL, Zheng L, Scarpa A, Hruban RH, Lennon AM, Goggins M, Wolfgang CL, Wood LD. Targeted DNA Sequencing Reveals Patterns of Local Progression in the Pancreatic Remnant Following Resection of Intraductal Papillary Mucinous Neoplasm (IPMN) of the Pancreas. Ann Surg. 2017;266:133-141. [RCA] [PubMed] [DOI] [Full Text] [Cited by in Crossref: 114] [Cited by in RCA: 106] [Article Influence: 11.8] [Reference Citation Analysis (0)] |
| 33. | Nagai K, Mizukami Y, Omori Y, Kin T, Yane K, Takahashi K, Ono Y, Sugitani A, Karasaki H, Shinohara T, Furukawa T, Hayashi T, Okumura T, Maguchi H, Katanuma A. Metachronous intraductal papillary mucinous neoplasms disseminate via the pancreatic duct following resection. Mod Pathol. 2020;33:971-980. [RCA] [PubMed] [DOI] [Full Text] [Cited by in Crossref: 9] [Cited by in RCA: 21] [Article Influence: 3.5] [Reference Citation Analysis (0)] |
| 34. | Felsenstein M, Noë M, Masica DL, Hosoda W, Chianchiano P, Fischer CG, Lionheart G, Brosens LAA, Pea A, Yu J, Gemenetzis G, Groot VP, Makary MA, He J, Weiss MJ, Cameron JL, Wolfgang CL, Hruban RH, Roberts NJ, Karchin R, Goggins MG, Wood LD. IPMNs with co-occurring invasive cancers: neighbours but not always relatives. Gut. 2018;67:1652-1662. [RCA] [PubMed] [DOI] [Full Text] [Cited by in Crossref: 90] [Cited by in RCA: 110] [Article Influence: 13.8] [Reference Citation Analysis (0)] |
| 35. | Shi C, Klein AP, Goggins M, Maitra A, Canto M, Ali S, Schulick R, Palmisano E, Hruban RH. Increased Prevalence of Precursor Lesions in Familial Pancreatic Cancer Patients. Clin Cancer Res. 2009;15:7737-7743. [RCA] [PubMed] [DOI] [Full Text] [Cited by in Crossref: 162] [Cited by in RCA: 165] [Article Influence: 9.7] [Reference Citation Analysis (0)] |
| 36. | Makohon-Moore AP, Zhang M, Reiter JG, Bozic I, Allen B, Kundu D, Chatterjee K, Wong F, Jiao Y, Kohutek ZA, Hong J, Attiyeh M, Javier B, Wood LD, Hruban RH, Nowak MA, Papadopoulos N, Kinzler KW, Vogelstein B, Iacobuzio-Donahue CA. Limited heterogeneity of known driver gene mutations among the metastases of individual patients with pancreatic cancer. Nat Genet. 2017;49:358-366. [RCA] [PubMed] [DOI] [Full Text] [Cited by in Crossref: 250] [Cited by in RCA: 325] [Article Influence: 36.1] [Reference Citation Analysis (0)] |
| 37. | Lou E, Subramanian S, Steer CJ. Pancreatic cancer: modulation of KRAS, MicroRNAs, and intercellular communication in the setting of tumor heterogeneity. Pancreas. 2013;42:1218-1226. [RCA] [PubMed] [DOI] [Full Text] [Cited by in Crossref: 18] [Cited by in RCA: 21] [Article Influence: 1.6] [Reference Citation Analysis (0)] |
| 38. | Neoptolemos JP, Stocken DD, Friess H, Bassi C, Dunn JA, Hickey H, Beger H, Fernandez-Cruz L, Dervenis C, Lacaine F, Falconi M, Pederzoli P, Pap A, Spooner D, Kerr DJ, Büchler MW; European Study Group for Pancreatic Cancer. A randomized trial of chemoradiotherapy and chemotherapy after resection of pancreatic cancer. N Engl J Med. 2004;350:1200-1210. [RCA] [PubMed] [DOI] [Full Text] [Cited by in Crossref: 1945] [Cited by in RCA: 1946] [Article Influence: 88.5] [Reference Citation Analysis (0)] |
| 39. | Oettle H, Post S, Neuhaus P, Gellert K, Langrehr J, Ridwelski K, Schramm H, Fahlke J, Zuelke C, Burkart C, Gutberlet K, Kettner E, Schmalenberg H, Weigang-Koehler K, Bechstein WO, Niedergethmann M, Schmidt-Wolf I, Roll L, Doerken B, Riess H. Adjuvant chemotherapy with gemcitabine vs observation in patients undergoing curative-intent resection of pancreatic cancer: a randomized controlled trial. JAMA. 2007;297:267-277. [RCA] [PubMed] [DOI] [Full Text] [Cited by in Crossref: 1779] [Cited by in RCA: 1792] [Article Influence: 94.3] [Reference Citation Analysis (0)] |
| 40. | Valle JW, Palmer D, Jackson R, Cox T, Neoptolemos JP, Ghaneh P, Rawcliffe CL, Bassi C, Stocken DD, Cunningham D, O'Reilly D, Goldstein D, Robinson BA, Karapetis C, Scarfe A, Lacaine F, Sand J, Izbicki JR, Mayerle J, Dervenis C, Oláh A, Butturini G, Lind PA, Middleton MR, Anthoney A, Sumpter K, Carter R, Büchler MW. Optimal duration and timing of adjuvant chemotherapy after definitive surgery for ductal adenocarcinoma of the pancreas: ongoing lessons from the ESPAC-3 study. J Clin Oncol. 2014;32:504-512. [RCA] [PubMed] [DOI] [Full Text] [Cited by in Crossref: 317] [Cited by in RCA: 338] [Article Influence: 28.2] [Reference Citation Analysis (0)] |
| 41. | Sinn M, Bahra M, Liersch T, Gellert K, Messmann H, Bechstein W, Waldschmidt D, Jacobasch L, Wilhelm M, Rau BM, Grützmann R, Weinmann A, Maschmeyer G, Pelzer U, Stieler JM, Striefler JK, Ghadimi M, Bischoff S, Dörken B, Oettle H, Riess H. CONKO-005: Adjuvant Chemotherapy With Gemcitabine Plus Erlotinib Versus Gemcitabine Alone in Patients After R0 Resection of Pancreatic Cancer: A Multicenter Randomized Phase III Trial. J Clin Oncol. 2017;35:3330-3337. [RCA] [PubMed] [DOI] [Full Text] [Cited by in Crossref: 157] [Cited by in RCA: 235] [Article Influence: 26.1] [Reference Citation Analysis (0)] |
| 42. | Neoptolemos JP, Palmer DH, Ghaneh P, Psarelli EE, Valle JW, Halloran CM, Faluyi O, O'Reilly DA, Cunningham D, Wadsley J, Darby S, Meyer T, Gillmore R, Anthoney A, Lind P, Glimelius B, Falk S, Izbicki JR, Middleton GW, Cummins S, Ross PJ, Wasan H, McDonald A, Crosby T, Ma YT, Patel K, Sherriff D, Soomal R, Borg D, Sothi S, Hammel P, Hackert T, Jackson R, Büchler MW; European Study Group for Pancreatic Cancer. Comparison of adjuvant gemcitabine and capecitabine with gemcitabine monotherapy in patients with resected pancreatic cancer (ESPAC-4): a multicentre, open-label, randomised, phase 3 trial. Lancet. 2017;389:1011-1024. [RCA] [PubMed] [DOI] [Full Text] [Cited by in Crossref: 1327] [Cited by in RCA: 1466] [Article Influence: 162.9] [Reference Citation Analysis (0)] |
| 43. | Vivaldi C, Fornaro L, Vasile E. FOLFIRINOX Adjuvant Therapy for Pancreatic Cancer. N Engl J Med. 2019;380:1187-1189. [RCA] [PubMed] [DOI] [Full Text] [Cited by in Crossref: 7] [Cited by in RCA: 11] [Article Influence: 1.6] [Reference Citation Analysis (0)] |
| 44. | Tempero MA, Pelzer U, O'Reilly EM, Winter J, Oh DY, Li CP, Tortora G, Chang HM, Lopez CD, Bekaii-Saab T, Ko AH, Santoro A, Park JO, Noel MS, Frassineti GL, Shan YS, Dean A, Riess H, Van Cutsem E, Berlin J, Philip P, Moore M, Goldstein D, Tabernero J, Li M, Ferrara S, Le Bruchec Y, Zhang G, Lu B, Biankin AV, Reni M; APACT Investigators. Adjuvant nab-Paclitaxel + Gemcitabine in Resected Pancreatic Ductal Adenocarcinoma: Results From a Randomized, Open-Label, Phase III Trial. J Clin Oncol. 2023;41:2007-2019. [RCA] [PubMed] [DOI] [Full Text] [Full Text (PDF)] [Cited by in Crossref: 66] [Cited by in RCA: 101] [Article Influence: 33.7] [Reference Citation Analysis (0)] |
| 45. | Choi M, Kim NW, Hwang HK, Lee WJ, Kang CM. Repeated Pancreatectomy for Isolated Local Recurrence in the Remnant Pancreas Following Radical Pancreatectomy for Pancreatic Ductal Adenocarcinoma: A Pooled Analysis. J Clin Med. 2020;9. [RCA] [PubMed] [DOI] [Full Text] [Full Text (PDF)] [Cited by in Crossref: 6] [Cited by in RCA: 8] [Article Influence: 1.3] [Reference Citation Analysis (0)] |
| 46. | Schorn S, Demir IE, Reyes CM, Saricaoglu C, Samm N, Schirren R, Tieftrunk E, Hartmann D, Friess H, Ceyhan GO. The impact of neoadjuvant therapy on the histopathological features of pancreatic ductal adenocarcinoma - A systematic review and meta-analysis. Cancer Treat Rev. 2017;55:96-106. [RCA] [PubMed] [DOI] [Full Text] [Cited by in Crossref: 68] [Cited by in RCA: 86] [Article Influence: 9.6] [Reference Citation Analysis (0)] |
| 47. | Kitagawa H, Tajima H, Nakagawara H, Hayashi H, Makino I, Takamura H, Ninomiya I, Fushida S, Kayahara M, Ohta T, Ikeda H. The retropancreatic fusion fascia acts as a barrier against infiltration by pancreatic carcinoma. Mol Clin Oncol. 2013;1:418-422. [RCA] [PubMed] [DOI] [Full Text] [Cited by in Crossref: 12] [Cited by in RCA: 18] [Article Influence: 1.4] [Reference Citation Analysis (0)] |
| 48. | Yamada S, Kobayashi A, Nakamori S, Baba H, Yamamoto M, Yamaue H, Fujii T. Resection for recurrent pancreatic cancer in the remnant pancreas after pancreatectomy is clinically promising: Results of a project study for pancreatic surgery by the Japanese Society of Hepato-Biliary-Pancreatic Surgery. Surgery. 2018;164:1049-1056. [RCA] [PubMed] [DOI] [Full Text] [Cited by in Crossref: 23] [Cited by in RCA: 33] [Article Influence: 4.1] [Reference Citation Analysis (0)] |
| 49. | Zhou Y, Song A, Wu L, Si X, Li Y. Second pancreatectomy for recurrent pancreatic ductal adenocarcinoma in the remnant pancreas: A pooled analysis. Pancreatology. 2016;16:1124-1128. [RCA] [PubMed] [DOI] [Full Text] [Cited by in Crossref: 18] [Cited by in RCA: 19] [Article Influence: 1.9] [Reference Citation Analysis (0)] |
| 50. | Sunagawa H, Mayama Y, Orokawa T, Oshiro N. Laparoscopic total remnant pancreatectomy after laparoscopic pancreaticoduodenectomy. Asian J Endosc Surg. 2014;7:71-74. [RCA] [PubMed] [DOI] [Full Text] [Cited by in Crossref: 11] [Cited by in RCA: 11] [Article Influence: 0.9] [Reference Citation Analysis (0)] |
| 51. | Kyaw PPP, Goh BKP. Robotic assisted laparoscopic completion pancreatectomy for recurrent intraductal papillary mucinous neoplasm after previous open pancreatoduodenectomy: A case report and literature review. Ann Hepatobiliary Pancreat Surg. 2019;23:206-209. [RCA] [PubMed] [DOI] [Full Text] [Full Text (PDF)] [Cited by in Crossref: 2] [Cited by in RCA: 2] [Article Influence: 0.3] [Reference Citation Analysis (0)] |
| 52. | Hashimoto D, Chikamoto A, Taki K, Arima K, Yamashita Y, Ohmuraya M, Hirota M, Baba H. Residual total pancreatectomy: Short- and long-term outcomes. Pancreatology. 2016;16:646-651. [RCA] [PubMed] [DOI] [Full Text] [Cited by in Crossref: 9] [Cited by in RCA: 10] [Article Influence: 1.0] [Reference Citation Analysis (0)] |
| 53. | Shukla A, Kalayarasan R, Gnanasekaran S, Pottakkat B. Appraisal of gastric stump carcinoma and current state of affairs. World J Clin Cases. 2023;11:2864-2873. [RCA] [PubMed] [DOI] [Full Text] [Full Text (PDF)] [Cited by in CrossRef: 4] [Cited by in RCA: 6] [Article Influence: 2.0] [Reference Citation Analysis (2)] |
Open Access: This article is an open-access article that was selected by an in-house editor and fully peer-reviewed by external reviewers. It is distributed in accordance with the Creative Commons Attribution NonCommercial (CC BY-NC 4.0) license, which permits others to distribute, remix, adapt, build upon this work non-commercially, and license their derivative works on different terms, provided the original work is properly cited and the use is non-commercial. See: https://creativecommons.org/Licenses/by-nc/4.0/
