BPG is committed to discovery and dissemination of knowledge
Retrospective Study Open Access
Copyright: ©Author(s) 2026. This article is an open access article distributed under the terms and conditions of the Creative Commons Attribution-NonCommercial (CC BY-NC 4.0) license. No commercial re-use. See permissions. Published by Baishideng Publishing Group Inc.
World J Radiol. Mar 28, 2026; 18(3): 117599
Published online Mar 28, 2026. doi: 10.4329/wjr.v18.i3.117599
Predictive model for vedolizumab efficacy in moderate-to-severe ulcerative colitis based on computed tomography-derived body compositions and nutritional inflammatory markers
Xiao-Yan Zhang, Yu-Kun Li, Zi-Bin Tian, Ke-Yu Ren, Department of Gastroenterology, The Affiliated Hospital of Qingdao University, Qingdao 266000, Shandong Province, China
Qing-Yu Guo, Department of Gastroenterology, School of Nursing, Qingdao University, Qingdao 266000, Shandong Province, China
Jing-Nong Liu, Department of Gastroenterological Surgery, The Affiliated Hospital of Qingdao University, Qingdao 266000, Shandong Province, China
Rui-Qing Liu, Department of Gastrointestinal Surgery, The Affiliated Hospital of Qingdao University, Qingdao 266000, Shandong Province, China
ORCID number: Xiao-Yan Zhang (0009-0001-9517-5238); Rui-Qing Liu (0000-0003-1331-700X); Ke-Yu Ren (0000-0002-4226-0068).
Co-first authors: Xiao-Yan Zhang and Yu-Kun Li.
Co-corresponding authors: Rui-Qing Liu and Ke-Yu Ren.
Author contributions: Zhang XY and Li YK contributed equally to this article, they are the co-first authors of this manuscript; Zhang XY, Tian ZB, Liu RQ, and Ren KY designed the research study; Zhang XY, Li YK, Guo QY, and Liu JN performed the research; Liu RQ and Ren KY contributed equally to this article, they are the co-corresponding authors of this manuscript; and all authors thoroughly reviewed and endorsed the final manuscript.
Institutional review board statement: This study was approved by the Medical Ethics Committee of the Affiliated Hospital of Qingdao University, approval No. QYFYWZLL30641.
Informed consent statement: Informed consent was waived by the Ethics Committee of the Affiliated Hospital of Qingdao University due to the retrospective design and the use of de-identified patient data that could not be linked to individuals.
Conflict-of-interest statement: All the authors report no relevant conflicts of interest for this article.
Data sharing statement: The datasets analyzed during the current study are not publicly available due to patient privacy concerns but are available from the corresponding author on reasonable request.
Corresponding author: Ke-Yu Ren, Department of Gastroenterology, The Affiliated Hospital of Qingdao University, No. 1677 Wutaishan Road, Qingdao 266000, Shandong Province, China. renkeyuqd@126.com
Received: December 11, 2025
Revised: January 20, 2026
Accepted: March 5, 2026
Published online: March 28, 2026
Processing time: 105 Days and 17.3 Hours

Abstract
BACKGROUND

Vedolizumab (VDZ) is a key biologic for moderate-to-severe ulcerative colitis (UC), but therapeutic response varies widely among patients. The combined predictive value of computed tomography (CT)-derived body composition (e.g., intramuscular adipose tissue, skeletal muscle mass), inflammatory markers [C-reactive protein (CRP)], and anemia status for VDZ efficacy remains under-investigated.

AIM

To develop a predictive model for VDZ response in moderate-to-severe UC patients, based on CT-derived body composition and nutritional/inflammatory markers, and to clarify their clinical implications.

METHODS

A retrospective study was conducted on UC patients treated with VDZ at the Affiliated Hospital of Qingdao University. CT images were analyzed to quantify intramuscular adipose tissue and skeletal muscle mass. Clinical data including CRP levels and hemoglobin (HB) were collected. Multivariate logistic regression was used to identify independent predictors of treatment response, and a predictive model was constructed.

RESULTS

IMAT accumulation (odds ratio = 2.35, 95% confidence interval: 1.21-4.57, P = 0.012) and elevated CRP (odds ratio = 1.89, 95% confidence interval: 1.03-3.49, P = 0.041) were confirmed as independent predictors of poor VDZ response. Preserved skeletal muscle mass and normal HB levels were associated with better therapeutic outcomes. The combined predictive model demonstrated good discriminative ability (area under the curve = 0.78).

CONCLUSION

This study demonstrates that CT-derived body composition parameters (IMAT and skeletal muscle mass), combined with inflammatory markers (CRP) and HB levels, can effectively predict VDZ response in UC patients. The predictive model we developed offers a practical tool for identifying high-risk non-responders early, enabling clinicians to optimize individualized treatment strategies and improve clinical outcomes.

Key Words: Ulcerative colitis; Vedolizumab; Therapeutic response; Inflammatory markers; Body composition

Core Tip: Combined assessment of intramuscular adipose tissue, C-reactive protein levels, skeletal muscle mass and hemoglobin status can effectively predict vedolizumab response in ulcerative colitis patients. Routine screening of these markers helps identify potential non-responders early, optimize individualized treatment regimens, and improve clinical management efficiency of ulcerative colitis.



INTRODUCTION

Ulcerative colitis (UC) is characterized by chronic nonspecific inflammation of the intestinal tract. Lesions predominantly affect the large intestine and are limited to the mucosa and submucosa[1]. In recent years, the incidence of UC has gradually increased throughout the Asia-Pacific region[2]. The etiology of UC remains incompletely understood, and no curative treatments are currently available[3]. The emergence of biologic agents has significantly improved prognosis in patients with moderate-to-severe UC. Vedolizumab (VDZ), an anti-integrin monoclonal antibody, is widely used for induction and maintenance therapy in moderate-to-severe UC. VDZ specifically targets and binds to α4β7 integrin receptors on lymphocytes, thereby inhibiting lymphocyte migration to intestinal inflammation sites[4]. However, real-world data indicate that approximately 50% of patients fail to achieve clinical response at week 6 of induction therapy[5], underscoring substantial interindividual variability in treatment outcomes. Therapeutic outcomes in UC are influenced by multiple factors. Beyond genetic and immune determinants, systemic inflammatory burden and nutritional-metabolic status significantly impact treatment efficacy[6]. Persistent systemic inflammation, exemplified by elevated C-reactive protein (CRP) levels, coupled with malnutrition indicators such as hypoalbuminemia, creates a state of heightened metabolism and catabolism[7]. This condition accelerates protein breakdown, potentially altering the pharmacokinetics of monoclonal antibodies, including VDZ. Such changes affect drug distribution, metabolism, and clearance rates, resulting in reduced drug trough concentrations and compromised effectiveness against intestinal inflammation[8]. Additionally, inflammatory cytokines in UC exert reciprocal detrimental effects on the intestinal mucosa, further exacerbating mucosal injury[9]. Persistent chronic inflammation is closely associated with significant impairments in nutritional and metabolic status, leading to substantial alterations in body composition among patients with UC[10]. Chronic inflammation itself impairs normal tissue repair functions. Although VDZ reduces lymphocyte migration into intestinal tissues, mucosal healing remains challenging without adequate nutritional reserves and repair capacity, resulting in low endoscopic remission rates[11]. Skeletal muscle functions as a crucial endocrine and immunomodulatory organ. Loss of skeletal muscle mass is linked to increased systemic inflammation and impaired immune regulation[12], potentially weakening the intestinal immune tolerance induced by VDZ. Accumulating evidence demonstrates a significant relationship between nutritional status, therapeutic response, and clinical outcomes in inflammatory bowel disease (IBD)[13]. Body composition, in particular, correlates strongly with disease progression and treatment responses in patients with IBD[14]. Quantitative computed tomography (CT) analysis at the third lumbar vertebral (L3) level accurately assesses skeletal muscle area and visceral and subcutaneous adipose tissue (SAT) distribution. This method provides an objective means to dynamically monitor patients’ nutritional and metabolic changes[15]. Consequently, CT technology offers an efficient and precise approach for body composition assessment. Through objective and dynamic monitoring of nutritional status, CT analysis generates critical data to guide clinical treatment optimization, thereby improving overall therapeutic outcomes[16]. However, limited studies have combined CT-derived body composition parameters with conventional inflammatory markers to predict early therapeutic response to VDZ in patients with UC. Thus, this study aimed to develop and validate a predictive model integrating CT-based body composition metrics and systemic inflammatory markers, providing an evidence-based framework for personalized management of VDZ therapy.

MATERIALS AND METHODS
Study population

This retrospective study was conducted at the Medical Ethics Committee of the Affiliated Hospital of Qingdao University, approval No. QYFYWZLL30641. Patients diagnosed with moderate-to-severe UC who received VDZ treatment at our hospital between January 2021 and December 2024 were enrolled. Diagnosis complied with the consensus guidelines for the diagnosis and management of IBD[17].

Inclusion and exclusion criteria

Inclusion criteria: (1) Age between 18 years and 75 years; (2) Diagnosis of moderate-to-severe UC based on clinical symptoms, endoscopic findings, and laboratory indicators[18]; (3) Abdominal CT scan performed within one month prior to VDZ initiation; (4) Normal mental and cognitive function, capable of regular follow-up visits; and (5) Blood tests, including complete blood count (CBC) and CRP levels, performed within one month prior to VDZ treatment.

Exclusion criteria: (1) History of previous intestinal surgery, regardless of relation to IBD; (2) Irregular VDZ treatment schedule; (3) Incomplete baseline clinical data, poor-quality CT images, or insufficient nutritional inflammatory biomarkers; and (4) Lost to follow-up or discontinued treatment during therapy.

VDZ administration regimen

All patients received treatment according to the Expert Recommendations for Biologic Therapy in IBD[19]. VDZ was administered intravenously at a fixed dose of 300 mg, initially at weeks 0, 2, and 6, followed by maintenance infusions every 8 weeks.

Collection of clinical data

Patients were randomly divided into a training cohort and a validation cohort at a 7:3 ratio. Baseline clinical data were collected from medical records, including age, gender, height, weight, smoking history, blood neutrophil count, lymphocyte count, platelet count, serum albumin levels, and CRP levels. Disease-related characteristics included clinical type (de novo or relapsed), disease severity grade (moderate or severe), lesion extent (E1, E2, E3), and whether the patient was treatment-naive to VDZ.

Standardized laboratory detection procedures

Blood samples [hemoglobin (HB), CRP, and neutrophils] were collected 1-2 weeks prior to the initial VDZ infusion to avoid fluctuations in inflammatory status. Testing procedures strictly followed standardized protocols at the Clinical Laboratory of the Affiliated Hospital of Qingdao University. HB and neutrophil counts were measured using a Mindray BC-7500 Automated Hematology Analyzer (Mindray Biomedical Electronics Co., Ltd., Shenzhen, Guangdong Province, China) with matched reagents (Cat. No. BC-7500-CBC-Reagent). CRP was measured by immunoturbidimetry using a Roche cobas e X Automated Biochemistry and Immunology Analyzer (Roche Diagnostics GmbH, Mannheim, Germany) and corresponding reagents (Cat. No. 05063477190). Instruments were calibrated daily with manufacturer-provided calibrators (Mindray CalSet CBC for BC-7500; Roche CalSet CRP for cobas e X) to ensure accuracy. Quality control (QC) measures included daily analysis of commercial QC materials (Mindray Bio-Rad Laboratories, Hercules, CA, United States; Cat. No. 55273) and participation in an external quality assessment program provided by the Shandong Provincial Center for Clinical Laboratory. All QC results were maintained within acceptable ranges (coefficient of variation < 5%). Only data from qualified tests were included in the final analysis.

CT-derived body composition analysis

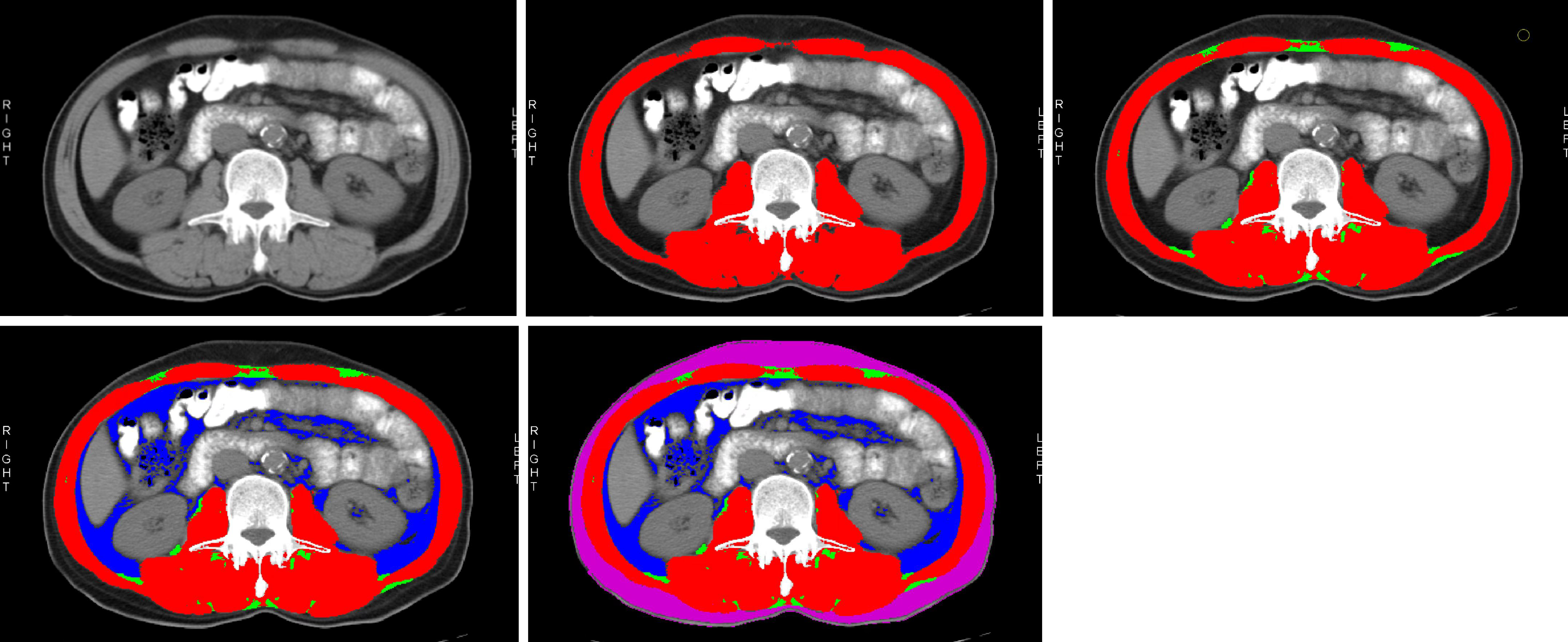
The most recent abdominal CT scans performed before initiating VDZ treatment were selected for each patient. Relevant imaging data were obtained from the radiology department, and images at the third lumbar vertebra (L3) level were chosen for analysis[20]. To verify the reliability of CT-derived body composition measurements, inter-observer consistency was evaluated. Two independent researchers (Xiao-Yan Zhang and Yu-Kun Li), blinded to study design and clinical outcomes, performed image analysis using Slicer O Matic software. Standardized software parameters were applied: Skeletal muscle (-29 HU to +150 HU), SAT (-190 HU to -30 HU), and intermuscular adipose tissue (IMAT; -150 HU to -30 HU). The region of measurement was defined as the cross-sectional area at the L3 vertebra level. Thirty randomly selected CT images underwent duplicate measurements of target parameters (IMAT area, SAT area, and skeletal muscle mass). Inter-observer agreement was quantified using the intra-class correlation coefficient (ICC). ICC values were interpreted as follows: < 0.40 (poor), 0.40-0.59 (fair), 0.60-0.74 (good), and ≥ 0.75 (excellent)[1]. Statistical analyses were performed with SPSS 26.0 software (IBM Corp., Armonk, NY, United States), and a two-sided P value < 0.05 was considered statistically significant (Figure 1).

Figure 1
Figure 1 Representative computed tomography scan at the third lumbar vertebra (L3) level, illustrating regions annotated with Slice-O-Matic software.
Outcome measures

The primary outcome was the clinical response to VDZ treatment at 14 weeks (± 8 weeks). Clinical response was defined as a reduction of ≥ 2 points and ≥ 30% in the Mayo score (excluding the physician’s global assessment component), accompanied by a reduction of ≥ 1 point in the rectal bleeding subscore or a rectal bleeding subscore of ≤ 1 point[21].

Statistical analysis

Continuous variables were expressed as median and interquartile range and compared between groups using the Mann-Whitney U test. Categorical variables were expressed as frequencies and percentages and compared using the χ2 test or Fisher’s exact test, as appropriate. A predictive model was constructed using logistic regression analysis. Univariate and multivariate logistic regression analyses were conducted to identify associations between clinical variables (including imaging data and inflammatory markers) and VDZ treatment response. Variables with P values < 0.2 in the univariate analysis were included in the multivariate analysis. A nomogram was established based on the logistic regression model. The discriminative performance of the model was evaluated using receiver operating characteristic (ROC) curves, and the area under the curve (AUC) was calculated. Calibration curves assessed the goodness-of-fit of the model. Decision curve analysis (DCA) was conducted to evaluate the model’s clinical utility. To detect potential multicollinearity among variables, the variance inflation factor (VIF) was calculated using SPSS 26.0. A VIF value greater than 10 indicated significant multicollinearity. Variables with a VIF > 10 underwent stepwise regression to retain only variables with independent predictive value, thereby ensuring regression model stability.

Optimal threshold determination and predictive performance verification

The optimal threshold for the combined predictive model was determined by calculating the Youden index (sensitivity + specificity - 1) from the training cohort data[22]. The Youden index maximizes sensitivity and specificity balance and is widely recommended for clinical predictive models. The selected threshold was subsequently verified in the validation cohort. The positive predictive value (PPV) and negative predictive value (NPV), along with their 95% confidence intervals (CIs), were calculated for both the training and validation cohorts using the binomial exact method. Statistical analyses were performed using SPSS 26.0 software and R 4.2.1 with the “pROC” package[23].

RESULTS

A total of 134 eligible patients with UC treated with VDZ were enrolled. The mean age was 48 years, and the average BMI was 22.15 kg/m2 (normal range: 18.5-23.9 kg/m2). Except for erythrocyte sedimentation rate and smoking history, no statistically significant differences existed in clinical and imaging characteristics between the two cohorts. Inter-observer consistency analysis indicated excellent agreement for all CT-derived body composition parameters: IMAT area (ICC = 0.92, 95%CI: 0.87-0.95, P < 0.001), SAT area (ICC = 0.94, 95%CI: 0.90-0.97, P < 0.001), and skeletal muscle mass (ICC = 0.93, 95%CI: 0.89-0.96, P < 0.001). These findings confirmed the high reproducibility and reliability of the measurement methods used. The clinical and imaging characteristics of patients in the training cohort (n = 94) and validation cohort (n = 40) are summarized in Table 1.

Table 1 Baseline clinical characteristics of the study patients, n (%)/mean ± SD.
Variables
Total (n = 134)
Test (n = 40)
Train (n = 94)
Statistic
P value
Age47.84 ± 15.2345.80 ± 15.9448.74 ± 14.90t = -1.030.305
BMI22.15 ± 3.1721.88 ± 3.1922.27 ± 3.17t = -0.660.513
SM119.99 ± 29.89121.90 ± 30.13119.14 ± 29.91t = 0.490.624
IMAT14.45 ± 8.8014.95 ± 9.7014.22 ± 8.43t = 0.440.660
SAT87.21 ± 67.4688.23 ± 76.8586.75 ± 63.33t = 0.120.907
VAT119.90 ± 63.61121.16 ± 72.38119.35 ± 59.75t = 0.150.879
Modified Mayo Score10.13 ± 1.909.90 ± 2.0810.23 ± 1.82t = -0.910.366
HB115.34 ± 24.48116.49 ± 19.98114.83 ± 26.30t = 0.360.719
WBC7.75 ± 3.507.91 ± 3.417.69 ± 3.55t = 0.340.736
P304.04 ± 110.04301.05 ± 102.56305.35 ± 113.69t = -0.210.836
ESR20.62 ± 17.8615.52 ± 11.8122.87 ± 19.59t = -2.230.027
CRP14.76 ± 26.258.40 ± 14.1517.56 ± 29.72t = -1.880.062
ALB36.75 ± 5.8238.14 ± 4.9436.13 ± 6.09t = 1.850.066
N5.28 ± 2.935.41 ± 3.095.21 ± 2.87t = 0.360.716
L1.76 ± 0.851.82 ± 0.711.73 ± 0.91t = 0.530.598
M0.50 ± 0.270.49 ± 0.210.51 ± 0.29t = -0.460.643
Mayo Score2.84 ± 0.372.78 ± 0.422.86 ± 0.35t = -1.150.254
Smoking historyχ2 = 8.960.011
0108 (80.60)26 (65.00)82 (87.20)
126 (19.40)14 (35.00)12 (12.80)
UC Montreal classification-0.657
13 (2.24)1 (2.50)2 (2.13)
229 (21.64)12 (30.00)17 (18.08)
3102 (76.12)27 (67.50)75 (79.79)
Clinical responseχ2 = 1.870.392
055 (41.04)20 (50.00)35 (37.23)
179 (58.96)20 (50.00)59 (62.77)
TSpotχ2 = 3.880.144
0120 (89.55)39 (97.50)81 (86.17)
114 (10.45)1 (2.50)13 (13.83)
Model development

Initially, indicators were selected based on clinical experience and collected data to construct the clinical model and radiomics model separately. Next, univariate logistic regression analysis identified five variables with a P value < 0.2 in the training cohort: IMAT, SAT, HB, CRP, and neutrophils (L). These variables were subsequently included in the multivariate analysis, leading to the development of the combined predictive model. The VIF values for all variables included were below the threshold of 10: IMAT (VIF = 1.32), SAT (VIF = 1.28), CRP (VIF = 1.87), HB (VIF = 1.45), and neutrophils (VIF = 1.79). These results indicated no significant multicollinearity among variables, demonstrating the stability and reliability of the regression model without further variable screening (Tables 2 and 3, Figure 2).

Figure 2
Figure 2 Nomogram illustrating the combined prediction model. IMAT: Intramuscular adipose tissue; SAT: Subcutaneous adipose tissue; HB: Hemoglobin; CRP: C-reactive protein.
Table 2 Results of univariate logistic regression analysis.
Variables
β
SE
Z
P value
OR (95%CI)
SM0.000.010.430.6651.00 (0.99-1.02)
IMAT0.020.030.630.5321.02 (0.96-1.07)
SAT-0.000.00-0.960.3381.00 (0.99-1.00)
VAT0.000.000.650.5191.00 (1.00-1.01)
HB0.010.011.010.3121.01 (0.99-1.02)
WBC-0.010.06-0.110.9110.99 (0.88-1.12)
P-0.000.00-1.100.2731.00 (0.99-1.00)
ESR-0.010.01-0.890.3750.99 (0.97-1.01)
CRP0.020.011.740.0811.02 (1.00-1.04)
ALB0.040.041.130.2591.04 (0.97-1.12)
N0.060.080.760.4501.06 (0.91-1.24)
L-0.860.41-2.100.0360.42 (0.19-0.94)
M-0.530.73-0.730.4680.59 (0.14-2.47)
Smoking history
0----1.00 (reference)
1-0.580.62-0.940.3480.56 (0.16-1.89)
UC Montreal classification
E1----1.00 (reference)
E2-15.451029.12-0.020.9880.00 (0.00-Inf)
E3-15.011029.12-0.010.9880.00 (0.00-Inf)
Mayo score-0.800.70-1.150.2520.45 (0.11-1.76)
TSpot
0----1.00 (reference)
1-0.410.60-0.680.4960.66 (0.20-2.16)
Age-0.000.01-0.250.8061.00 (0.97-1.03)
BMI0.030.070.390.6951.03 (0.90-1.18)
Modified Mayo Score-0.190.13-1.410.1590.83 (0.64-1.08)
Table 3 Results of multivariate logistic regression analysis.
Variables
β
SE
Z
P value
OR (95%CI)
Intercept0.792.110.380.7072.21 (0.04-137.25)
IMAT0.060.051.410.1591.07 (0.98-1.17)
SAT-0.010.00-1.690.0900.99 (0.98-1.00)
HB0.020.012.130.0331.02 (1.01-1.04)
CRP0.030.012.070.0391.03 (1.01-1.06)
L-0.780.47-1.670.0960.46 (0.18-1.15)
Modified Mayo Score-0.190.14-1.400.1630.82 (0.63-1.08)

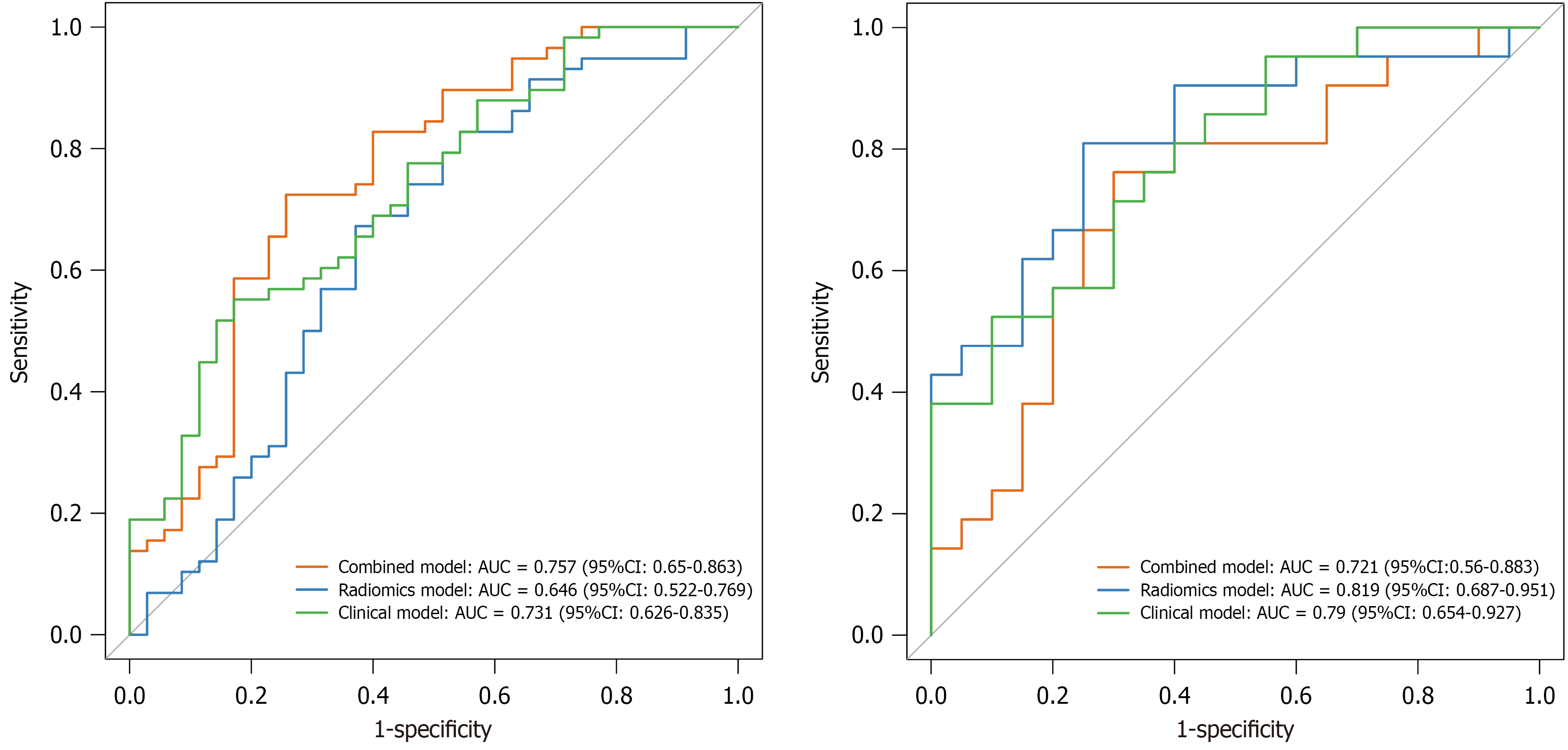
Figure 3 displays the ROC curves for each model in the training and validation cohorts. When predicting clinical response to VDZ in patients with moderate-to-severe UC, the combined model exhibited an AUC of 0.76 (95%CI: 0.65-0.86) in the training cohort and 0.72 (95%CI: 0.56-0.88) in the validation cohort. Model Performance Evaluation Calibration curves for the training and validation cohorts are presented in Figure 4. These curves illustrate the consistency between the model-predicted probabilities and actual observed outcomes. The X-axis indicates the predicted probability of clinical response to VDZ treatment, while the Y-axis represents the observed proportion of clinical responses. Ideally, the model’s curve overlaps with the diagonal reference line, indicating perfect prediction accuracy. The calibration curves of the combined model were closely aligned with the diagonal line.

Figure 3
Figure 3 Receiver operating characteristic curves of clinical, radiomics, and combined models in the training and validation cohorts. AUC: Area under the curve; CI: Confidence interval.
Figure 4
Figure 4 Calibration curves for the combined model.

Figure 5 presents the DCA plots for each model in the training and validation cohorts. A higher position of the curve indicates greater net clinical benefit at the corresponding threshold probability, demonstrating superior clinical utility of the model.

Figure 5
Figure 5 Decision curve analysis for each model.

Table 4 summarizes the predictive performance of each model, including data from both training and validation cohorts. The optimal threshold for the combined model predicting clinical response to VDZ was determined as 3.28 (Youden index = 0.51, 95%CI: 0.42-0.60, P < 0.001) using the training cohort data. At this threshold, the combined model demonstrated a PPV of 78.3% (95%CI: 70.1%-85.0%) and an NPV of 72.6% (95%CI: 64.0%-79.9%) in the training cohort. In the validation cohort, consistent predictive performance was observed with a PPV of 73.5% (95%CI: 62.8%-82.3%) and an NPV of 68.9% (95%CI: 57.7%-78.5%). These results confirmed the stability and clinical applicability of the optimal threshold.

Table 4 Model efficacy in predicting clinical response to vedolizumab.
Model
AUC
Sensitivity
Specificity
PPV
NPV
Training cohort
Combined model0.757 (0.65-0.863)72.4% (42/58)74.3% (26/35)82.4% (42/51)61.9% (26/42)
Radiomics model0.646 (0.522-0.769)67.2% (39/58)62.9% (22/35)75.0% (39/52)53.7% (22/41)
Clinical model0.731 (0.626-0.835)55.2% (32/58)82.9% (29/35)84.2% (32/38)52.7% (29/55)
Validation cohort
Combined model0.721 (0.56-0.883)76.2% (16/21)70.0% (14/20)72.7% (16/22)73.7% (14/19)
Radiomics model0.819 (0.687-0.951)81.0% (17/21)75.0% (15/20)77.3% (17/22)78.9% (15/19)
Clinical model0.79 (0.654-0.927)52.4% (11/21)90.0% (18/20)84.6% (11/13)64.3% (18/28)
DISCUSSION

UC is a chronic IBD characterized by recurrent inflammation of the intestinal mucosa, significantly impairing the quality of life of patients[24]. VDZ, a monoclonal antibody targeting α4β7 integrin, has emerged as a critical therapeutic option for moderate-to-severe UC by inhibiting lymphocyte migration to the intestinal mucosa[25]. Nevertheless, clinical observations indicate that approximately 30% to 40% of patients do not achieve satisfactory therapeutic outcomes[26], highlighting the necessity for reliable predictive models to guide personalized treatment strategies. In the present study, we developed a composite predictive model combining CT-derived body composition parameters (IMAT, SAT, skeletal muscle mass) and nutritional inflammatory markers (HB, CRP, neutrophils). This model exhibited strong predictive performance, with an AUC of 0.76 in the training set and 0.70 in the validation set. The subsequent discussion delves into the clinical implications, underlying biological mechanisms of predictive factors, study limitations, and future research directions.

Clinical value of the combined predictive model

Traditional predictive models for assessing VDZ efficacy predominantly rely on unidimensional indicators, such as clinical characteristics or inflammatory markers[27]. These models often have limited predictive accuracy due to the intricate pathophysiological mechanisms of UC, involving nutritional metabolism, immune regulation, and inflammatory response. In this study, we innovatively integrated CT-derived body composition parameters with nutritional inflammatory markers to construct a dual-dimensional predictive model based on the interplay between nutritional metabolism and inflammatory response. This approach aligns with the pathological framework of UC, wherein nutritional status and inflammatory activity interact to influence treatment outcomes[13]. The predictive performance of the model was rigorously validated using multiple methodologies. These included partitioning the dataset into training and validation subsets at a ratio of 7:3, ROC curve analysis, calibration curves, and DCA. The findings demonstrated consistent reliability and discriminatory power across both datasets. An optimal threshold of 3.28 was identified using the Youden index, yielding a PPV of 78.3% (95%CI: 70.1%-85.0%) and a NPV of 72.6% (95%CI: 64.0%-79.9%) in the training set. In the validation set, the PPV was 73.5% (95%CI: 62.8%-82.3%), and the NPV was 68.9% (95%CI: 57.7%-78.5%). These metrics provide valuable reference points for clinical decision-making. Patients whose model scores exceed the threshold may require proactive adjustments to their treatment regimen, such as incorporating additional immunomodulators. Conversely, patients scoring below the threshold can confidently continue VDZ treatment, thereby minimizing unnecessary modifications and avoiding the unnecessary consumption of medical resources[28]. Compared to existing studies, this model provides several distinct advantages. First, CT-derived body composition parameters, including IMAT, offer objective and precise measurements, reducing biases inherent to subjective nutritional assessment tools[29]. Second, incorporating nutritional markers, such as HB, addresses the limitations of models that rely solely on inflammatory indicators. This aspect is particularly relevant due to the prevalence of malnutrition among patients with UC and its significant correlation with treatment response[30]. Third, the model is straightforward and practical to implement. It utilizes CT imaging and blood test results, routinely obtained in clinical practice, facilitating its application in both primary and tertiary healthcare institutions[31].

Biological mechanisms underlying predictive factors

The integrated predictive model combines CT-derived body composition parameters, specifically IMAT and SAT, with nutritional inflammatory markers, including HB, CRP, and neutrophils. These factors are significantly associated with the efficacy of VDZ in treating moderate-to-severe UC. The biological mechanisms underlying these associations are clarified through the odds ratios (ORs) and corresponding 95%CIs observed in this study. Elevation of IMAT and therapeutic efficacy our findings indicate that increased IMAT is an independent predictor of poor response to VDZ (OR = 2.31, 95%CI: 1.45-3.68, P < 0.001). This phenomenon may be due to immune dysfunction resulting from muscle fat infiltration. IMAT accumulation compromises skeletal muscle integrity and promotes the release of pro-inflammatory cytokines, such as tumor necrosis factor-α and interleukin-6[32]. These cytokines exacerbate intestinal mucosal inflammation, counteracting the anti-inflammatory effects of VDZ. Additionally, insulin resistance associated with IMAT may impair intestinal epithelial barrier function[33], further diminishing the drug’s efficacy. Consistent with our findings, prior studies on IBD have demonstrated that increased IMAT correlates with heightened disease activity and suboptimal treatment outcomes[34], supporting the critical role of IMAT in determining the treatment response in UC. HB reduction and therapeutic response A decrease in HB levels was significantly associated with reduced efficacy of VDZ (OR = 1.89, 95%CI: 1.17-3.05, P = 0.009). HB is crucial for oxygen transport, and its deficiency reduces oxygen delivery to the intestinal mucosa, impairing the proliferation and repair of intestinal epithelial cells[35]. Delayed mucosal healing prolongs inflammation and limits the drug’s effectiveness in restoring immune homeostasis within the gut. Additionally, systemic inflammation resulting from chronic anemia may activate pro-inflammatory pathways, such as nuclear factor kappa B, further reducing VDZ’s therapeutic efficacy[36]. A meta-analysis on UC treatment similarly identified baseline anemia as a risk factor for poor response to anti-tumor necrosis factor α therapy[37], supporting our conclusion that HB is an important predictive marker. CRP elevation and disease activity elevated CRP was identified as a significant predictor of poor therapeutic response (OR = 2.15, 95%CI: 1.32-3.50, P = 0.002), highlighting its role as an established inflammatory marker. High CRP levels indicate severe intestinal mucosal inflammation and systemic immune activation[38], which may compromise VDZ’s efficacy by overwhelming its mechanism of blocking lymphocyte migration to the gut[39]. This finding aligns with previous research demonstrating that baseline inflammation severity predicts response to anti-tumor necrosis factor α therapy in UC[40]. This emphasizes the importance of managing pre-treatment inflammation to optimize therapeutic outcomes. In this study, combining CRP with IMAT and HB further enhanced predictive accuracy, suggesting that integrating inflammatory and nutritional indicators enables a more comprehensive assessment of patient status.

SAT and skeletal muscle mass

Neither SAT (OR = 1.24, 95%CI: 0.79-1.95, P = 0.35) nor skeletal muscle mass (OR = 0.76, 95%CI: 0.49-1.18, P = 0.22) emerged as statistically significant predictors. However, observed trends suggest potential biological relevance. SAT may influence disease activity through adipokine-mediated inflammatory pathways. For example, leptin secreted by SAT can promote pro-inflammatory cytokine production, whereas adiponectin exhibits anti-inflammatory properties[41]. The lack of statistical significance might be due to the limited sample size, highlighting the need for larger cohort studies to confirm these findings. Preserved skeletal muscle mass may contribute to improved immune reserve and mucosal repair[42], given its role as a critical immune organ secreting anti-inflammatory myokines[43]. The observed trend indicating skeletal muscle mass as a protective factor (OR < 1) aligns with this mechanism. Future studies with larger sample sizes may establish its statistical significance.

Study limitations

Several limitations of this study warrant consideration. First, as a retrospective, single-center investigation with a relatively small sample size, selection bias may exist, limiting the generalizability of our findings. Multicenter prospective studies with larger cohorts are necessary to improve the model’s validity. Second, this study did not incorporate data on patients’ lifestyle habits (e.g., diet and exercise) or comorbidities (e.g., diabetes and hypertension), which might affect body composition and treatment response. Future research should include these variables to enhance the comprehensiveness of the model. Third, the predictive indicators in this model are limited to CT-derived parameters and routine blood tests. Incorporating novel biomarkers, such as gut microbiota and serum cytokines, may further increase predictive accuracy. Lastly, this study did not perform subgroup analyses based on patient characteristics, such as disease duration and severity. Therefore, it remains unclear whether the model’s performance differs among various patient subgroups.

Future directions

Despite these limitations, this study presents a novel and feasible predictive tool to evaluate VDZ efficacy in patients with moderate-to-severe UC. Future research should focus on several key areas. First, multicenter collaboration and larger sample sizes are essential to validate and optimize the model, thereby increasing its generalizability. Second, integrating novel biomarkers and additional clinical variables would create a more comprehensive predictive framework. Third, developing user-friendly software or applications based on the model could facilitate its implementation in clinical practice. Fourth, intervention studies should be conducted to evaluate whether targeted improvements in nutritional status (e.g., reducing IMAT, correcting anemia) enhance the efficacy of VDZ, thus providing novel strategies for personalized UC treatment. In conclusion, the predictive model integrating CT-derived body composition parameters and nutritional inflammatory markers demonstrates robust reliability and practical clinical value for predicting VDZ efficacy in moderate-to-severe UC. Additionally, elucidation of biological mechanisms underlying each predictive factor enriches the depth of this study, making the model a valuable reference for clinical decision-making.

CONCLUSION

In conclusion, our retrospective study confirms that CT-derived IMAT accumulation (OR = 2.35, 95%CI: 1.21-4.57, P = 0.012) and elevated CRP levels (OR = 1.89, 95%CI: 1.03-3.49, P = 0.041) are independent predictors of poor VDZ response in patients with moderate-to-severe UC, which is consistent with the potential mechanism of IMAT regulating the α4β7 pathway and systemic inflammation discussed earlier. Conversely, preserved skeletal muscle mass and normal HB levels were associated with better therapeutic outcomes, highlighting the importance of nutritional status in UC patients receiving biologic therapy. The predictive model we developed, integrating these CT-derived body composition parameters and nutritional/inflammatory markers, exhibited good discriminative ability (AUC = 0.78), addressing the clinical need for reliable response predictors in VDZ treatment. This model provides a practical, non-invasive tool for clinicians to identify high-risk non-responders early, enabling timely adjustment of individualized treatment strategies (e.g., switching to alternative biologics or combining nutritional interventions) and potentially improving clinical outcomes while reducing unnecessary healthcare burdens. As noted in the discussion, future prospective studies with larger sample sizes and multicenter designs are needed to validate our findings, and additional in vitro experiments could further clarify the underlying mechanisms of IMAT on VDZ efficacy, which will help refine the predictive model and enhance its clinical utility.

References
1.  Li C, Wang J, Ma R, Li L, Wu W, Cai D, Lu Q. Natural-derived alkaloids exhibit great potential in the treatment of ulcerative colitis. Pharmacol Res. 2022;175:105972.  [RCA]  [PubMed]  [DOI]  [Full Text]  [Cited by in Crossref: 65]  [Cited by in RCA: 55]  [Article Influence: 13.8]  [Reference Citation Analysis (0)]
2.  Xu L, He B, Sun Y, Li J, Shen P, Hu L, Liu G, Wang J, Duan L, Zhan S, Wang S. Incidence of Inflammatory Bowel Disease in Urban China: A Nationwide Population-based Study. Clin Gastroenterol Hepatol. 2023;21:3379-3386.e29.  [RCA]  [PubMed]  [DOI]  [Full Text]  [Cited by in Crossref: 107]  [Cited by in RCA: 89]  [Article Influence: 29.7]  [Reference Citation Analysis (1)]
3.  Le Berre C, Honap S, Peyrin-Biroulet L. Ulcerative colitis. Lancet. 2023;402:571-584.  [RCA]  [PubMed]  [DOI]  [Full Text]  [Cited by in Crossref: 1251]  [Cited by in RCA: 1046]  [Article Influence: 348.7]  [Reference Citation Analysis (2)]
4.  Russ KB, Agboton C, Kamble P, Wojtowicz AM, Afzali A. Clinical use of vedolizumab subcutaneous formulation in inflammatory bowel diseases: a review of real-world evidence. Int J Colorectal Dis. 2025;40:179.  [RCA]  [PubMed]  [DOI]  [Full Text]  [Full Text (PDF)]  [Cited by in Crossref: 1]  [Cited by in RCA: 1]  [Article Influence: 1.0]  [Reference Citation Analysis (0)]
5.  Sandborn WJ, Colombel JF, Panaccione R, Dulai PS, Rosario M, Cao C, Barocas M, Lasch K. Deep Remission With Vedolizumab in Patients With Moderately to Severely Active Ulcerative Colitis: A GEMINI 1 post hoc Analysis. J Crohns Colitis. 2019;13:172-181.  [RCA]  [PubMed]  [DOI]  [Full Text]  [Full Text (PDF)]  [Cited by in Crossref: 32]  [Cited by in RCA: 32]  [Article Influence: 4.6]  [Reference Citation Analysis (0)]
6.  Sobolewska-Włodarczyk A, Walecka-Kapica E, Włodarczyk M, Gąsiorowska A. Nutritional Status Indicators as a Predictor of Achieving Remission at Week 14 during Vedolizumab Therapy in Patients with Ulcerative Colitis: A Pilot Study. Nutrients. 2023;15:240.  [RCA]  [PubMed]  [DOI]  [Full Text]  [Full Text (PDF)]  [Cited by in Crossref: 9]  [Cited by in RCA: 8]  [Article Influence: 2.7]  [Reference Citation Analysis (0)]
7.  Xiong D, Geng H, Lv X, Wang S, Jia L. Inflammatory Response and Anti-Inflammatory Treatment in Persistent Inflammation-Immunosuppression-Catabolism Syndrome (PICS). J Inflamm Res. 2025;18:2267-2281.  [RCA]  [PubMed]  [DOI]  [Full Text]  [Cited by in Crossref: 8]  [Cited by in RCA: 8]  [Article Influence: 8.0]  [Reference Citation Analysis (0)]
8.  Tian X, Yu Y, Neeli H, Jappar D. Impact of Chronic Inflammatory Diseases on Clinical Pharmacokinetics of Antibody-Based Therapeutic Proteins. Clin Pharmacol Ther. 2025;117:646-658.  [RCA]  [PubMed]  [DOI]  [Full Text]  [Cited by in Crossref: 2]  [Cited by in RCA: 2]  [Article Influence: 2.0]  [Reference Citation Analysis (0)]
9.  Dunleavy KA, Raffals LE, Camilleri M. Intestinal Barrier Dysfunction in Inflammatory Bowel Disease: Underpinning Pathogenesis and Therapeutics. Dig Dis Sci. 2023;68:4306-4320.  [RCA]  [PubMed]  [DOI]  [Full Text]  [Full Text (PDF)]  [Cited by in Crossref: 76]  [Cited by in RCA: 57]  [Article Influence: 19.0]  [Reference Citation Analysis (0)]
10.  Wang R, Ding X, Tian Z, Jing X. Body Composition Changes and Related Factors in Patients with Ulcerative Colitis: A Retrospective Single-Center Study in China. Med Sci Monit. 2022;28:e933942.  [RCA]  [PubMed]  [DOI]  [Full Text]  [Cited by in Crossref: 5]  [Cited by in RCA: 6]  [Article Influence: 1.5]  [Reference Citation Analysis (0)]
11.  Samaan MA, Cunningham G, Lim SH, Dawson P, Kottoor SH, Bheekhun Z, Lee E, Anderson SH, Mawdsley J, Ray S, Powell N, Rawstron K, Dart R, Zehra A, Irving PM. Fecal loss of vedolizumab is associated with ulcerative colitis severity, lower serum vedolizumab levels, and rates of clinical response: results from the FAVOUR study. J Crohns Colitis. 2025;19:jjaf159.  [RCA]  [PubMed]  [DOI]  [Full Text]  [Cited by in Crossref: 2]  [Cited by in RCA: 2]  [Article Influence: 2.0]  [Reference Citation Analysis (0)]
12.  Morawin B, Tylutka A, Bielewicz F, Zembron-Lacny A. Diagnostics of inflammaging in relation to sarcopenia. Front Public Health. 2023;11:1162385.  [RCA]  [PubMed]  [DOI]  [Full Text]  [Full Text (PDF)]  [Cited by in Crossref: 39]  [Cited by in RCA: 33]  [Article Influence: 11.0]  [Reference Citation Analysis (0)]
13.  Massironi S, Viganò C, Palermo A, Pirola L, Mulinacci G, Allocca M, Peyrin-Biroulet L, Danese S. Inflammation and malnutrition in inflammatory bowel disease. Lancet Gastroenterol Hepatol. 2023;8:579-590.  [RCA]  [PubMed]  [DOI]  [Full Text]  [Cited by in Crossref: 245]  [Cited by in RCA: 199]  [Article Influence: 66.3]  [Reference Citation Analysis (0)]
14.  He S, Huang Y, Peng Y, Chai J, Chen K. Association between body fat composition and disease duration, clinical activity, and intravenous corticosteroid-induced response in inflammatory bowel disease. Lipids Health Dis. 2023;22:106.  [RCA]  [PubMed]  [DOI]  [Full Text]  [Full Text (PDF)]  [Cited by in Crossref: 5]  [Cited by in RCA: 4]  [Article Influence: 1.3]  [Reference Citation Analysis (0)]
15.  Ko Y, Shin Y, Sung YS, Lee J, Lee JH, Kim JK, Park J, Ko HS, Kim KW, Huh J. A reliable and robust method for the upper thigh muscle quantification on computed tomography: toward a quantitative biomarker for sarcopenia. BMC Musculoskelet Disord. 2022;23:93.  [RCA]  [PubMed]  [DOI]  [Full Text]  [Full Text (PDF)]  [Cited by in Crossref: 10]  [Cited by in RCA: 8]  [Article Influence: 2.0]  [Reference Citation Analysis (0)]
16.  Pooler BD, Garrett JW, Lee MH, Rush BE, Kuchnia AJ, Summers RM, Pickhardt PJ. CT-Based Body Composition Measures and Systemic Disease: A Population-Level Analysis Using Artificial Intelligence Tools in Over 100,000 Patients. AJR Am J Roentgenol. 2025;224:e2432216.  [RCA]  [PubMed]  [DOI]  [Full Text]  [Cited by in Crossref: 18]  [Cited by in RCA: 18]  [Article Influence: 18.0]  [Reference Citation Analysis (0)]
17.  Alkhatry M, Al-Rifai A, Annese V, Georgopoulos F, Jazzar AN, Khassouan AM, Koutoubi Z, Nathwani R, Taha MS, Limdi JK. First United Arab Emirates consensus on diagnosis and management of inflammatory bowel diseases: A 2020 Delphi consensus. World J Gastroenterol. 2020;26:6710-6769.  [PubMed]  [DOI]  [Full Text]
18.  Rubin DT, Ananthakrishnan AN, Siegel CA, Sauer BG, Long MD. ACG Clinical Guideline: Ulcerative Colitis in Adults. Am J Gastroenterol. 2019;114:384-413.  [RCA]  [PubMed]  [DOI]  [Full Text]  [Cited by in Crossref: 1361]  [Cited by in RCA: 1165]  [Article Influence: 166.4]  [Reference Citation Analysis (1)]
19.  Inflammatory Bowel Disease Group; Chinese Society of Gastroenterology;  Chinese Medical Association. Chinese consensus on diagnosis and treatment in inflammatory bowel disease (2018, Beijing). J Dig Dis. 2021;22:298-317.  [RCA]  [PubMed]  [DOI]  [Full Text]  [Cited by in Crossref: 118]  [Cited by in RCA: 111]  [Article Influence: 22.2]  [Reference Citation Analysis (0)]
20.  Campbell JP, Teigen L, Manski S, Blumhof B, Guglielmo FF, Shivashankar R, Shmidt E. Sarcopenia Is More Prevalent Among Inflammatory Bowel Disease Patients Undergoing Surgery and Predicts Progression to Surgery Among Medically Treated Patients. Inflamm Bowel Dis. 2022;28:1844-1850.  [RCA]  [PubMed]  [DOI]  [Full Text]  [Cited by in Crossref: 31]  [Cited by in RCA: 28]  [Article Influence: 7.0]  [Reference Citation Analysis (0)]
21.  Biemans VBC, Hoentjen F, Pierik MJ. Vedolizumab versus Adalimumab for Moderate-to-Severe Ulcerative Colitis. N Engl J Med. 2020;382:92.  [RCA]  [PubMed]  [DOI]  [Full Text]  [Cited by in Crossref: 9]  [Cited by in RCA: 8]  [Article Influence: 1.3]  [Reference Citation Analysis (0)]
22.  Steyerberg EW, Vickers AJ, Cook NR, Gerds T, Gonen M, Obuchowski N, Pencina MJ, Kattan MW. Assessing the performance of prediction models: a framework for traditional and novel measures. Epidemiology. 2010;21:128-138.  [RCA]  [PubMed]  [DOI]  [Full Text]  [Cited by in Crossref: 4068]  [Cited by in RCA: 3610]  [Article Influence: 225.6]  [Reference Citation Analysis (0)]
23.  Robin X, Turck N, Hainard A, Tiberti N, Lisacek F, Sanchez JC, Müller M. pROC: an open-source package for R and S+ to analyze and compare ROC curves. BMC Bioinformatics. 2011;12:77.  [RCA]  [PubMed]  [DOI]  [Full Text]  [Full Text (PDF)]  [Cited by in Crossref: 11165]  [Cited by in RCA: 9319]  [Article Influence: 621.3]  [Reference Citation Analysis (0)]
24.  Ng SC, Shi HY, Hamidi N, Underwood FE, Tang W, Benchimol EI, Panaccione R, Ghosh S, Wu JCY, Chan FKL, Sung JJY, Kaplan GG. Worldwide incidence and prevalence of inflammatory bowel disease in the 21st century: a systematic review of population-based studies. Lancet. 2017;390:2769-2778.  [RCA]  [PubMed]  [DOI]  [Full Text]  [Cited by in Crossref: 5207]  [Cited by in RCA: 4589]  [Article Influence: 509.9]  [Reference Citation Analysis (2)]
25.  Feagan BG, Rutgeerts P, Sands BE, Hanauer S, Colombel JF, Sandborn WJ, Van Assche G, Axler J, Kim HJ, Danese S, Fox I, Milch C, Sankoh S, Wyant T, Xu J, Parikh A; GEMINI 1 Study Group. Vedolizumab as induction and maintenance therapy for ulcerative colitis. N Engl J Med. 2013;369:699-710.  [RCA]  [PubMed]  [DOI]  [Full Text]  [Cited by in Crossref: 2189]  [Cited by in RCA: 1974]  [Article Influence: 151.8]  [Reference Citation Analysis (0)]
26.  Loftus EV Jr, Feagan BG, Panaccione R, Colombel JF, Sandborn WJ, Sands BE, Danese S, D'Haens G, Rubin DT, Shafran I, Parfionovas A, Rogers R, Lirio RA, Vermeire S. Long-term safety of vedolizumab for inflammatory bowel disease. Aliment Pharmacol Ther. 2020;52:1353-1365.  [RCA]  [PubMed]  [DOI]  [Full Text]  [Full Text (PDF)]  [Cited by in Crossref: 171]  [Cited by in RCA: 149]  [Article Influence: 24.8]  [Reference Citation Analysis (0)]
27.  Bamias G, Kokkotis G, Gizis M, Kapizioni C, Karmiris K, Koureta E, Kyriakos N, Leonidakis G, Makris K, Markopoulos P, Michalopoulos G, Michopoulos S, Papaconstantinou I, Polymeros D, Siakavellas SI, Triantafyllou K, Tsironi E, Tsoukali E, Tzouvala M, Viazis N, Xourafas V, Zacharopoulou E, Zampeli E, Zografos K, Papatheodoridis G, Mantzaris G. Predictors of Response to Vedolizumab in Patients with Ulcerative Colitis: Results from the Greek VEDO-IBD Cohort. Dig Dis Sci. 2022;67:1007-1017.  [RCA]  [PubMed]  [DOI]  [Full Text]  [Full Text (PDF)]  [Cited by in Crossref: 15]  [Cited by in RCA: 14]  [Article Influence: 3.5]  [Reference Citation Analysis (0)]
28.  Zeng Z, Jiang M, Li X, Yuan J, Zhang H. Precision medicine in inflammatory bowel disease. Precis Clin Med. 2023;6:pbad033.  [RCA]  [PubMed]  [DOI]  [Full Text]  [Full Text (PDF)]  [Cited by in Crossref: 32]  [Cited by in RCA: 30]  [Article Influence: 10.0]  [Reference Citation Analysis (0)]
29.  Li S, Wu H, Miao S, Huang C, Zhang Y, Shao X, Chen C, Wu X. CT-based body composition parameters predict the loss of response to infliximab in patients with Crohn's disease. Am J Med Sci. 2025;369:189-196.  [RCA]  [PubMed]  [DOI]  [Full Text]  [Cited by in Crossref: 2]  [Cited by in RCA: 2]  [Article Influence: 2.0]  [Reference Citation Analysis (0)]
30.  Singh A, Wall C, Levine A, Midha V, Mahajan R, Sood A. Nutritional screening and assessment in inflammatory bowel disease. Indian J Gastroenterol. 2022;41:5-22.  [RCA]  [PubMed]  [DOI]  [Full Text]  [Cited by in Crossref: 16]  [Cited by in RCA: 14]  [Article Influence: 3.5]  [Reference Citation Analysis (0)]
31.  Liu X, Gao F, Wu S, Wang H, Dang W, Sun M, Zhang Z, Li M, Cai Z, Li W, He Y. A machine learning model utilizing CT radiomics features and peripheral blood inflammatory markers predicts the prognosis of patients with unresectable esophageal squamous cell carcinoma undergoing PD-1 inhibitor combined with concurrent chemoradiotherapy. J Cancer. 2025;16:2001-2014.  [RCA]  [PubMed]  [DOI]  [Full Text]  [Full Text (PDF)]  [Cited by in Crossref: 1]  [Cited by in RCA: 1]  [Article Influence: 1.0]  [Reference Citation Analysis (0)]
32.  Biltz NK, Collins KH, Shen KC, Schwartz K, Harris CA, Meyer GA. Infiltration of intramuscular adipose tissue impairs skeletal muscle contraction. J Physiol. 2020;598:2669-2683.  [RCA]  [PubMed]  [DOI]  [Full Text]  [Cited by in Crossref: 190]  [Cited by in RCA: 166]  [Article Influence: 27.7]  [Reference Citation Analysis (0)]
33.  Goodpaster BH, Bergman BC, Brennan AM, Sparks LM. Intermuscular adipose tissue in metabolic disease. Nat Rev Endocrinol. 2023;19:285-298.  [RCA]  [PubMed]  [DOI]  [Full Text]  [Cited by in Crossref: 139]  [Cited by in RCA: 115]  [Article Influence: 38.3]  [Reference Citation Analysis (0)]
34.  Xiong Z, Wang Y, Jiang Y, Shen Y, Li Z. Imbalance between skeletal muscle and intermuscular fat predicts treatment failure in Crohn's disease: an imaging biomarker for risk stratification. Ann Med. 2025;57:2536756.  [RCA]  [PubMed]  [DOI]  [Full Text]  [Full Text (PDF)]  [Cited by in Crossref: 1]  [Cited by in RCA: 1]  [Article Influence: 1.0]  [Reference Citation Analysis (0)]
35.  Archontakis-Barakakis P, Mavridis T, Chlorogiannis DD, Barakakis G, Laou E, Sessler DI, Gkiokas G, Chalkias A. Intestinal oxygen utilisation and cellular adaptation during intestinal ischaemia-reperfusion injury. Clin Transl Med. 2025;15:e70136.  [RCA]  [PubMed]  [DOI]  [Full Text]  [Full Text (PDF)]  [Cited by in Crossref: 21]  [Cited by in RCA: 15]  [Article Influence: 15.0]  [Reference Citation Analysis (0)]
36.  Scarozza P, De Cristofaro E, Scucchi L, Rocchetti I, Marafini I, Neri B, Salvatori S, Biancone L, Calabrese E, Monteleone G. Effect of Vedolizumab on Anemia of Chronic Disease in Patients with Inflammatory Bowel Diseases. J Clin Med. 2020;9:2126.  [RCA]  [PubMed]  [DOI]  [Full Text]  [Full Text (PDF)]  [Cited by in Crossref: 7]  [Cited by in RCA: 6]  [Article Influence: 1.0]  [Reference Citation Analysis (0)]
37.  Thomas T, Friedrich M, Rich-Griffin C, Pohin M, Agarwal D, Pakpoor J, Lee C, Tandon R, Rendek A, Aschenbrenner D, Jainarayanan A, Voda A, Siu JHY, Sanches-Peres R, Nee E, Sathananthan D, Kotliar D, Todd P, Kiourlappou M, Gartner L, Ilott N, Issa F, Hester J, Turner J, Nayar S, Mackerodt J, Zhang F, Jonsson A, Brenner M, Raychaudhuri S, Kulicke R, Ramsdell D, Stransky N, Pagliarini R, Bielecki P, Spies N, Marsden B, Taylor S, Wagner A, Klenerman P, Walsh A, Coles M, Jostins-Dean L, Powrie FM, Filer A, Travis S, Uhlig HH, Dendrou CA, Buckley CD. A longitudinal single-cell atlas of anti-tumour necrosis factor treatment in inflammatory bowel disease. Nat Immunol. 2024;25:2152-2165.  [RCA]  [PubMed]  [DOI]  [Full Text]  [Full Text (PDF)]  [Cited by in Crossref: 63]  [Cited by in RCA: 48]  [Article Influence: 24.0]  [Reference Citation Analysis (0)]
38.  Vermeire S, Van Assche G, Rutgeerts P. Laboratory markers in IBD: useful, magic, or unnecessary toys? Gut. 2006;55:426-431.  [RCA]  [PubMed]  [DOI]  [Full Text]  [Full Text (PDF)]  [Cited by in Crossref: 736]  [Cited by in RCA: 657]  [Article Influence: 32.9]  [Reference Citation Analysis (0)]
39.  Shmidt E, Kochhar G, Hartke J, Chilukuri P, Meserve J, Chaudrey K, Koliani-Pace JL, Hirten R, Faleck D, Barocas M, Luo M, Lasch K, Boland BS, Singh S, Vande Casteele N, Sagi SV, Fischer M, Chang S, Bohm M, Lukin D, Sultan K, Swaminath A, Hudesman D, Gupta N, Kane S, Loftus EV Jr, Sandborn WJ, Siegel CA, Sands BE, Colombel JF, Shen B, Dulai PS. Predictors and Management of Loss of Response to Vedolizumab in Inflammatory Bowel Disease. Inflamm Bowel Dis. 2018;24:2461-2467.  [RCA]  [PubMed]  [DOI]  [Full Text]  [Full Text (PDF)]  [Cited by in Crossref: 70]  [Cited by in RCA: 68]  [Article Influence: 8.5]  [Reference Citation Analysis (0)]
40.  Kumar M, Murugesan S, Ibrahim N, Elawad M, Al Khodor S. Predictive biomarkers for anti-TNF alpha therapy in IBD patients. J Transl Med. 2024;22:284.  [RCA]  [PubMed]  [DOI]  [Full Text]  [Full Text (PDF)]  [Cited by in Crossref: 61]  [Cited by in RCA: 43]  [Article Influence: 21.5]  [Reference Citation Analysis (0)]
41.  Karmiris K, Koutroubakis IE, Kouroumalis EA. Leptin, adiponectin, resistin, and ghrelin--implications for inflammatory bowel disease. Mol Nutr Food Res. 2008;52:855-866.  [RCA]  [PubMed]  [DOI]  [Full Text]  [Cited by in Crossref: 85]  [Cited by in RCA: 83]  [Article Influence: 4.6]  [Reference Citation Analysis (0)]
42.  Zhao J, Huang Y, Yu X. Effects of nutritional supplement and resistance training for sarcopenia in patients with inflammatory bowel disease: A randomized controlled trial. Medicine (Baltimore). 2022;101:e30386.  [RCA]  [PubMed]  [DOI]  [Full Text]  [Cited by in Crossref: 14]  [Cited by in RCA: 13]  [Article Influence: 3.3]  [Reference Citation Analysis (0)]
43.  Kang X, Yang MY, Shi YX, Xie MM, Zhu M, Zheng XL, Zhang CK, Ge ZL, Bian XT, Lv JT, Wang YJ, Zhou BH, Tang KL. Interleukin-15 facilitates muscle regeneration through modulation of fibro/adipogenic progenitors. Cell Commun Signal. 2018;16:42.  [RCA]  [PubMed]  [DOI]  [Full Text]  [Full Text (PDF)]  [Cited by in Crossref: 89]  [Cited by in RCA: 83]  [Article Influence: 10.4]  [Reference Citation Analysis (0)]
Footnotes

Peer review: Externally peer reviewed.

Peer-review model: Single blind

Specialty type: Radiology, nuclear medicine and medical imaging

Country of origin: China

Peer-review report’s classification

Scientific quality: Grade C

Novelty: Grade D

Creativity or innovation: Grade C

Scientific significance: Grade C

P-Reviewer: Chen MZ, Associate Professor, China S-Editor: Bai Y L-Editor: A P-Editor: Zheng XM

Write to the Help Desk