BPG is committed to discovery and dissemination of knowledge
Case Report Open Access
Copyright ©The Author(s) 2025. Published by Baishideng Publishing Group Inc. All rights reserved.
World J Gastrointest Surg. May 27, 2025; 17(5): 104049
Published online May 27, 2025. doi: 10.4240/wjgs.v17.i5.104049
Small intestine metastasis from lung adenocarcinoma: A case report and review of literature
Rui-Xian Shi, Department of Neurology, Baotou Central Hospital, Baotou 014040, Inner Mongolia Autonomous Region, China
Rui-Xian Shi, Department of Neurology, Inner Mongolia Medical University, Hohhot 010080, Inner Mongolia Autonomous Region, China
Zhen-Ping Guo, Xin Li, Hui Wang, Bo Wang, Zhen-Yu Dong, Department of Cardiothoracic and Vascular Surgery, Ordos Central Hospital, Ordos 017000, Inner Mongolia Autonomous Region, China
Ming-Yue Du, Ji-Jun Wang, Department of General Surgery, Baotou Central Hospital, Baotou 014040, Inner Mongolia Autonomous Region, China
ORCID number: Ji-Jun Wang (0009-0007-1089-0448).
Co-corresponding authors: Ji-Jun Wang and Zhen-Yu Dong.
Author contributions: Dong ZY and Wang JJ contributed equally to this work; Dong ZY and Shi RX and Wang JJ designed the research study; Dong ZY, Shi RX, Guo ZP, Li X, Wang H and Wang B performed the research; Du MY contributed new reagents and analytic tools; Dong ZY and Shi RX analyzed the data and wrote the manuscript; All authors have read and approve the final manuscript.
Informed consent statement: All study participants, or their legal guardian, provided informed written consent prior to study enrollment.
Conflict-of-interest statement: The authors declare that they have no conflict of interest.
CARE Checklist (2016) statement: The authors have read the CARE Checklist (2016), and the manuscript was prepared and revised according to the CARE Checklist (2016).
Open Access: This article is an open-access article that was selected by an in-house editor and fully peer-reviewed by external reviewers. It is distributed in accordance with the Creative Commons Attribution NonCommercial (CC BY-NC 4.0) license, which permits others to distribute, remix, adapt, build upon this work non-commercially, and license their derivative works on different terms, provided the original work is properly cited and the use is non-commercial. See: https://creativecommons.org/Licenses/by-nc/4.0/
Corresponding author: Ji-Jun Wang, MD, Doctor, Department of General Surgery, Baotou Central Hospital, No. 61 Huan Cheng Road, Donghe District, Baotou 014040, Inner Mongolia Autonomous Region, China. wangjijun2004@sina.com
Received: December 11, 2024
Revised: March 3, 2025
Accepted: April 9, 2025
Published online: May 27, 2025
Processing time: 166 Days and 1.2 Hours

Abstract
BACKGROUND

The clinical metastasis rate of lung cancer is tremendously low in gastrointestinal tract. Individuals enduring small intestine metastasis of lung cancer are normally featured by less desirable prognosis and shorter survival than those with metastasis in other parts of the body. As a consequence, it holds crucial significance to conduct early diagnosis and development of systematic treatment for patients with gastrointestinal metastasis in lung cancer.

CASE SUMMARY

In this case, a 59-year-old female patient, diagnosed with lung adenocarcinoma, experienced intestinal obstruction attributable to subsequent small intestinal metastasis. Imaging confirmed the metastasis to the small intestine after the adenocarcinoma diagnosis, ultimately giving rise to advanced-stage intestinal obstruction. Conservative treatment proved ineffective, progressing to intestinal perforation in the later stages. This resulted in peritonitis and infectious toxic shock and other serious clinical manifestations. Aggressive surgical resection mitigated the risk of disease progression and even fatality, which tremendously ameliorated the patient’s prognosis and prolonged her survival.

CONCLUSION

Patients enduring lung cancer who exhibit acute abdominal symptoms should be mindful of the potential for small intestinal metastasis. Intestinal perforation typically occurs in advanced stages of the disease. Moreover, and aggressive surgical treatment can mitigate the risk of multifarious complications such as peritonitis, infectious toxic shock, and even fatality.

Key Words: Lung cancer; Small intestine; Metastasis; Diagnosis; Treatment; Case report

Core Tip: The clinical metastasis rate of lung cancer in gastrointestinal tract is extremely low, and patients with small intestine metastasis of lung cancer have worse prognosis and shorter survival than those with metastasis in other parts of the body. As a result, early diagnosis and development of systematic treatment for patients with gastrointestinal metastasis in lung cancer are crucial. Aside from that, individuals enduring lung cancer who experience acute abdominal symptoms should be aware of the possibility of small intestinal metastasis. We report a rare case of small intestine metastasis from lung adenocarcinoma in terms of diagnosis, treatment, and prognosis.



INTRODUCTION

Lung cancer is still a popular malignancy, occupying the position of third in terms of incidence and first in terms of cancer-related mortality in the world. Currently, lung adenocarcinoma (LUAD) stand as the most ubiquitous type of lung cancer. Its incidence has been steadily increasing, and a great many patients are diagnosed with metastases, leading to a favourable prognosis[1]. Hematogenous metastasis is the most common metastatic route of lung cancer, and the most prevalent sites of metastasis are liver, adrenal gland, brain and bone[2]. Gastrointestinal tract is not a usual metastatic area for primary lung cancer. The clinical metastasis of lung cancer to the gastrointestinal tract displays a considerably low probability[3]. The most prevalent site of gastrointestinal metastasis is the small intestine. Jejunum is the most extensively involved site for small intestine metastasis from lung cancer, followed by ileum and rarely duodenum. Small bowel metastasis is normally asymptomatic unless triggering obstructive symptoms, which could contribute to its low incidence[4-6]. The following is a report on diagnosis and treatment of a patient admitted to our hospital with small intestinal metastasis from LUAD.

CASE PRESENTATION
Chief complaints

More than 2 years after diagnosis of lung cancer, immunotherapy for more than 2 years, abdominal pain for one day.

History of present illness

A 59-year-old female patient experienced abdominal pain after eating 1 day ago, featured by paroxysmal colic with episodes every 3-5 minutes. During the night, she intermittently experienced nausea and vomiting, with the vomiting consisting of gastric contents. For the past two days, the patient has had no bowel movements, accompanied by intermittent and minimal anal gas discharge, which is significantly reduced compared to her usual bowel habits. The patient was admitted to our hospital after a standing abdominal plain film suggestive of intestinal obstruction.

History of past illness

More than 2 years ago, the patient consulted the Interventional Department of the Tenth Hospital of Shanghai Tongji University for “recurrent coughing”. As displayed by chest and abdominal computed tomography (CT), lesions occupied the left lung with likelihood of cervical lymph node, abdominal lymph node and omental metastasis. Further bone scans suggested a diverse array of bone metastases. Bronchoscopy was performed to obtain a biopsy for pathologic diagnosis of LUAD. Pathologic return of biopsy taken from the left cervical lymph node: Metastatic adenocarcinoma. No mutations were observed on EGFR gene testing. Bronchopulmonary artery chemoembolization and superior mesenteric artery chemoembolization were performed four times, during which programmed cell death protein 1 immunotherapy was administered for one year. Brain metastases were detected 1.5 years ago and were treated with CyberKnife. And bevacizumab, navulizumab and zoledronic acid were started to treat bone metastasis 1 year ago.

Personal and family history

The patient was pathologically diagnosed with adenocarcinoma of the left lung 2 years ago, followed by successive systemic multiple metastases to the cervical lymph nodes, abdominal lymph nodes, omentum, bones, and brain. Pre-existing allergic reactions occurred during infusion of the drug atezolizumab.

Physical examination

Vital signs: Temperature 36.7 °C, heart rate 88 beats/minute, respiration 20 beats/minute, blood pressure 122/74 mmHg. Clinical examination displayed a chronic disease appearance. Bilateral lungs were apparent to percussion, while respiratory sounds were coarse in both lungs. Additionally, no obvious dry or wet blister-like sounds or pleural friction sounds were heard in both lungs. Consequently, the abdomen became distended. Upon palpation, enderness was observed around the umbilicus. Nonetheless, no rebound tenderness or muscular tension was noted. Bowel sounds were hyperactive upon auscultation, and no gurgling sounds indicative of gas passing through liquid were audible.

Laboratory examinations

The patient was admitted to the hospital with no pronounced abnormality in blood routine and coagulation function, as well as no remarkable abnormality in all liver and kidney functions. The venous blood potassium ion concentration was 3.09 mmol/L and the clinic findings confirmed the presence of hypokalemia.

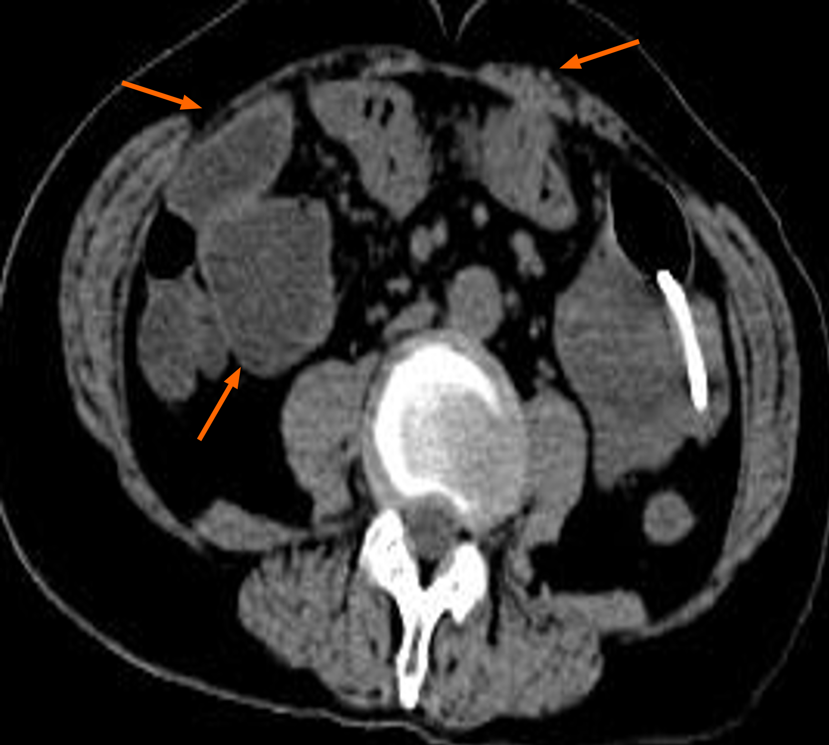
Imaging examinations

Abdominal upright plain film suggest gas accumulation in the abdominal intestine. Additionally, scattered fluid levels were observed, which illustrates intestinal obstruction (Figure 1). The CT of the chest and abdomen revealed the following findings: Lesions occupied the lower lobe of the left lung, accompanied by pleural hypertrophy in the adjacent pleura; Part of the intestinal tract was dilated, and air-fluid level could be observed in the intestinal ducts, which was considered intestinal obstruction (Figure 2); Multiple slightly enlarged lymph nodes were observed in the right middle and lower abdomen. Worse still, a diverse array of enlarged lymph nodes were observed in the groin bilaterally; An uneven elevation in bone density within the right ilium was suspected to be indicative of bone metastasis.

Figure 1
Figure 1 Abdominal upright plain film. Gas accumulation in the abdominal intestine, and scattered fluid levels are seen, indicating intestinal obstruction.
Figure 2
Figure 2 Representative whole-abdominal computed tomography images. Dilated intestinal collaterals are seen and adhesions of the small intestine to the abdominal wall are seen.
FINAL DIAGNOSIS

The final diagnoses were: Perforation of the ileum; Metastatic tumor of the ileum; Gastrointestinal hemorrhage; Diffuse peritonitis; Infectious toxic shock; Acute intestinal obstruction; Stage IV malignant tumor of the left lung; Multiple secondary malignant tumors of the lymph nodes; Secondary malignant tumors of the bone; Secondary malignant tumors of the brain; Hypokalemia.

TREATMENT

Under such circumstance, the patient was admitted to the hospital on account of intestinal obstruction. Nonetheless, she was ultimately considered to have an incomplete intestinal obstruction in consideration of the patient’s intermittent bowel movements. Given the patient’s refusal to undergo surgical intervention, the medical team opted for temporary symptomatic management, which primarily involved water fasting, gastrointestinal decompression, fluid replacement, and the implantation of a small bowel nutrition tube for enteral nutrition. The patient displayed conspicuous amelioration in her symptoms subsequent to the conservative treatment. On the 7th day of hospitalization, blood in the stool suddenly appeared in the early morning. Notably, the amount of blood in the stool was about 800-1000 mL. Furthermore, a striking deterioration in the patient’s abdominal pain was observed, which was simultaneously accompanied by abdominal distension. The entire abdominal region demonstrated tenderness to palpation, rebound tenderness, and muscular rigidity. Aside from that, intestinal sounds were substantially subdued. Considering the emergence of gastrointestinal bleeding and peritonitis in the patient, it was hypothesized that either a metastatic lesion had undergone rupture or there had been a perforation of the bowel. The patient underwent emergency exploratory laparotomy for acute abdomen. Intraoperatively, about 500 mL of coffee-colored fluid was detected in the abdominal cavity. The ileum about 60 cm away from the ileocecal region was found to be thin and deformed, with a thick wall, palpable multiple nodules. On top of that, the intestinal lumen was completely occluded. The length of the diseased bowel was around 10 cm, with noticeable dilatation of the proximal bowel. The perforation of the intestinal wall was about 2 cm away from the stenosis, with a diameter of about 0.4 cm, while coffee-colored fluid flow out. Afterwards, the patient underwent “partial small intestine resection with anastomosis + abdominal drainage”. Postoperative pathology revealed metastatic LUAD (Figure 3A-D). As illustrated by immunohistochemical tests, thyroid transcription factor-1 (TTF-1) (+), Napsin A (partially +), cytokeratin (CK) 7 (+), CK20 (-), Villin (-), CDX2 (-), synaptophysin (-), chromogranin A (-), P40 (-), cluster of differentiation (CD) 56 (-), Ki-67 (+ 25%-50%) (Figure 4 and Table 1). Following the surgical procedure, the patient underwent symptomatic supportive therapy, which included the administration of a growth inhibitor to curb gastrointestinal fluid secretion, along parenteral nutritional support. Subsequently, the patient gradually resumed the patient gradually resumed a normal intake of food and beverages. Chemotherapy was initially planned but eventually not given attributable to undesirable incision healing and the patient was discharged after 35 days.

Figure 3
Figure 3 Small intestinal metastasis. A-D: First small intestine resection specimen. A: Hematoxylin-eosin × 40; B: Hematoxylin-eosin × 100; C: Hematoxylin-eosin × 200; D: Hematoxylin-eosin × 400; E-H: Second small intestine resection specimen (E: Hematoxylin-eosin × 40; F: Hematoxylin-eosin × 100; G: Hematoxylin-eosin × 200; H: Hematoxylin-eosin × 400).
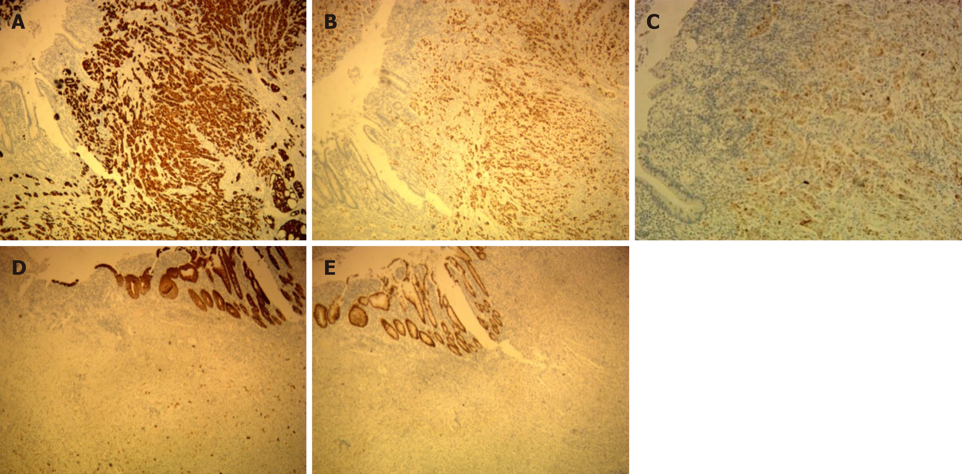
Figure 4
Figure 4 Immunohistochemical tests (first small intestine resection specimen). A: Cytokeratin (CK) 7 (+++); B: Thyroid transcription factor-1 (++); C: Napsin A (+); D: CK20 (-); E: CDX2 (-).
Table 1 Immunohistochemical tests (first small intestine resection specimen).

Immunomarkers
CK7
TTF-1
Napsin A
CK20
CDX2
Results(+)(Partially +)(+)(-)(-)
OUTCOME AND FOLLOW-UP

Further postoperative genetic testing: BRAF V6V600E mutation. One month later, the patient was readmitted for intestinal obstruction and underwent emergency exploratory laparotomy after developing a gastrointestinal perforation while undergoing conservative treatment. Upon opening the abdomen and inspecting the abdominal cavity, approximately 500 milliliters of a grassy-green fluid was observed within the abdominal region. Extensive adhesions in the abdominal cavity, and the small intestine was tightly adhered to the omentum and abdominal wall. A mass was seen in the ileum of about 50 cm away from the ileocecal part, with a diameter of about 2.5 cm, and the intestinal canal was completely occluded. A fissure with a diameter of about 0.8 cm was observed in the proximal jejunum about 1 cm away from the flexural ligament, about 0.8 cm in diameter, and intestinal fluid could be seen flowing out. The intestinal canal around the perforation was narrowed and incompletely blocked. Apart from that, nodules of varying sizes could be palpated, with a diameter of about 0.3 cm-0.6 cm. In addition, the range of intestinal stenosis was about 12 cm in length. For this reason, the metastatic nodules were taken into consideration. Subsequently, multiple small nodules were seen on the surface of the small bowel with a diameter of 0.3 cm. No conspicuous metastatic nodes were observed in the liver, spleen, peritoneum or greater omentum. Concurrently, a diverse array of enlarged lymph nodes were palpable in the mesenteric root. During the operation, “terminal ileal resection + lateral anastomosis of ileum and transverse colon + anastomosis of the stomach and jejunum + jejunostomy + abdominal drainage” was performed successively. Postoperative pathology demonstrated metastatic LUAD (Figure 3E-H). As evidenced by immunohistochemistry results, the patients had unfavorable clinic indexes such as TTF-1 (+), Napsin-A (partially +), CK7 (+), CK20 (partially +), CDX2 (-), CK-pan (+), vimentin (partially +) (Figure 5 and Table 2). Following the above steps, the patient was firstly treated with 3 sessions of pembrolizumab immunotherapy and 2 sessions of “superior mesenteric artery angiography + arterial perfusion chemotherapy”, and subsequently was started on oral dabrafenib and trametinib targeted therapeutic agents. Five months later, the patient’s condition progressively deteriorated ascribable to severe intestinal obstruction, ultimately giving rise to the patient’s death notwithstanding ineffective attempts to optimize supportive and symptomatic therapies. The key insights and lessons we need to draw from this particular case are outlined below. The prognosis of patients with small intestinal metastasis of lung cancer is not so satisfactory as expected. Apart from that, early detection and treatment are pivotal to elevate the survival rate of patients. Lung cancer patients should be alert to the possibility of small bowel metastasis providing that they develop acute abdominal symptoms. Individualized treatment plans should be chosen in accordance with the individual patient’s condition. It is noteworthy that if the overall condition of the patient permits, early surgical treatment can avoid associated serious complications, such as gastrointestinal bleeding and perforation. Aggressive surgical treatment can mitigate the risk of peritonitis and infectious toxic shock or even death. It is crucial to establish thorough communication with the patient’s family, ensuring their comprehensive understanding and active collaboration throughout the process.

Figure 5
Figure 5 Immunohistochemical tests (second small intestine resection specimen). A: Thyroid transcription factor-1 (+); B: Napsin-A (partially +); C: Cytokeratin (CK) 7 (+); D: CK20 (partially +); E: CDX2 (-); F: CK-pan (+); G: Vimentin (partially +).
Table 2 Immunohistochemical tests (second small intestine resection specimen).
Immunomarkers
TTF-1
Napsin-A
CK7
CK20
CDX2
CK-pan
Vimentin
Results(+) (Partially +)(+) (Partially +) (-) (+) (Partially +)
DISCUSSION

As already evidenced by a multitude of published studies, distant metastasis occur in 40%-50% of lung cancer patients, with a mortality rate of 5.8%[7]. In cases of lung cancer, that location of metastatic lesions is most often the brain, liver, adrenal glands and bones. Gastrointestinal tract is not a usual metastatic area for primary lung cancer. The clinical metastasis of lung cancer to the gastrointestinal tract exhibits a dramatically low probability, approximately 0.2%-1.7%[8,9]. Nonetheless, the incidence of gastrointestinal metastasis of primary lung cancer can reach 4.7%-14.0% as found at autopsy[10,11]. On the whole, the onset of gastrointestinal metastases stemming from primary lung cancer is remarkably subtle and insidious. In such case, it is immensely challenging to diagnose them in the early stage. The occurrence of gastrointestinal metastases stemming from lung cancer seldom elicits clinical symptoms; nevertheless, when they do manifest, their symptoms often lack specificity, encompassing weight loss, abdominal pain, bloating and constipation[12,13]. When it comes to symptomology, Hu et al[3] put forth a standpoint that perforation (42.0%), bleeding (24.6%), and bowel obstruction (20.4%) are found to be the three most frequent complications of gastrointestinal metastases from lung cancer. In this case, the patient first developed abdominal pain after eating, with intermittent episodes, accompanied by nausea, vomiting, small amount of anal discharge of gases and cessation of defecation. At the very beginning, the onset of the disease was insidious and the symptoms were not well defined. For this reason, the final diagnosis was incomplete intestinal obstruction. Given the patient’s refusal to undergo surgery, the physician opted for conservative symptomatic treatment. Moreover, the patient successively developed gastrointestinal bleeding and diffuse peritonitis throughout the conservative treatment. Apart from that, the presence of intestinal perforation was confirmed intraoperatively. As reported in the literature, the patient developed these three complications successively.

Notwithstanding a fundamental fact that the esophagus is the earliest gastrointestinal site to be affected by lung cancer because of the potential for direct invasion, while to the small intestine is the most likely place for gastrointestinal metastases. The site most commonly involved in small intestine metastasis from lung cancer is the jejunum (50.9%), then the ileum (33.3%), with rare involvement of the duodenum (15.8%). Small intestine metastasis has a low incidence associated with its early presentation usually asymptomatic and not easily detected[4-6]. In line with clinical and autoptic results, gastric metastasis is uncommon with a prevalence of 0.1%-6.8%. In the majority of instances, gastric metastases from primary lung cancer are typically diagnosed at an advanced stage, when patients present with symptoms such as abdominal pain, anemia, or vomiting. These symptoms are often the result of complications like perforation, bleeding, or obstruction stemmed from the metastatic mass, all of which typically suggests a negative prognosis[14]. Metastatic lesions are found mainly in the middle and upper thirds of the stomach[15]. It’s noteworthy that solitary gastric metastases are more common than multiple metastases[16]. Colon metastasis from lung cancer is extremely rare, with a reported incidence of 2.1%-5.7% in autopsy cases and 0.02%-0.30% with clinical symptoms. As revealed by some clinical studies, most patients suffering from colorectal metastases are asymptomatic[17].

It is uneasy to make clinical diagnosis of metastatic gastrointestinal tumors. Apart from that, to confirm a diagnosis necessitates a combination of imaging studies and endoscopy evaluation as well as histopathological examination[6]. Among them, small bowel metastases pose a clinical challenge ascribed to a vast array of symptoms and their specific location. To be specific, comparative studies reveal enteroclysis demonstrates triple the detection rate of conventional barium studies for small bowel tumors (90% vs 33%), highlighting its superior diagnostic performance in gastrointestinal imaging[18]. In radiologically confirmed cases, CT examinations proved instrumental in identifying the majority of metastatic lesions, particularly when clinicians maintained strong suspicion of gastrointestinal involvement[4]. In general, CT stands as one of the most universally acknowledged tests that clinicians adopt to assess lung metastases. On top of that, gastrointestinal metastases of lung cancer should be considered when CT scanning reveals a limited partial thickening of the small bowel wall or a mass in the lumen of the small intestine in combination with localized lymph node enlargement, perforation or intussusception[9]. The diagnostic performance metrics of multidetector CT enteroclysis in small bowel evaluation demonstrate maximal sensitivity (100%), along with high specificity (95%) and accuracy (97%)[19]. Comparatively, magnetic resonance enteroclysis exhibits slightly reduced sensitivity at 86% but maintains superior specificity (98%) with equivalent overall diagnostic accuracy (97%)[20]. In some instances, an abdominal X-ray approach is employed for initial examination to help suspect small bowel metastases[11]. Gastrointestinal endoscopy is a precise approach to define gastric, duodenal, and colonic metastases from lung cancer[8]. Endoscopic assessment, comprising esophagogastric devascularization and splenectomy, push enteroscopy or capsule endoscopy (CE), are the main diagnostic tools for met(st)tic disease to the small bowel[4]. CE provides a non-invasive method for comprehensive visualization of the small intestine, eliminating patient discomfort and radiation exposure. Compared with conventional radiological examinations, this technology demonstrates superior diagnostic accuracy and sensitivity in detecting small bowel neoplasms, as evidenced by clinical studies[21]. However, its application requires careful consideration in cases involving potential or confirmed gastrointestinal strictures, and the technique inherently lacks capability for obtaining tissue samples or performing therapeutic procedures during examination[22]. As revealed in a study conducted by Han et al[21], the miss rate of CE for small bowel tumors was 16.5%. CE may have limitations in detecting certain clinically relevant tumors situated in the proximal jejunal region. For patients demonstrating ambiguous capsule endoscopic results coupled with strong clinical indicators suggestive of small bowel tumors, clinicians should consider implementing advanced endoscopic evaluation through deep enteroscopy procedures. Video capsule enteroscopy enables us to view the complete mucosal length with minimal patient discomfort, while double-balloon enteroscopy technique enables comprehensive small bowel exploration through deep insertion capabilities, enhanced optical resolution for detecting abnormalities, tissue sampling for pathological confirmation, and preoperative localization to guide surgical interventions[18]. In addition, positron emission tomography/CT (PET/CT) examination is also recommended in hospitals with the condition, which can be ascribable to its better sensitivity and specificity in detecting metastases[23-25]. The combination of PET/CT with 2-[18F]fluoro-2-deoxy-D-glucose (FDG) provides simultaneous metabolic and structural imaging. This technique is widely used in oncology for various purposes, including initial staging, restaging, monitoring treatment response, assessing metastatic progression, and predicting outcomes in intestinal cancer and other malignancies[26]. While FDG-PET is beneficial for us to diagnose the extent of gastrointestinal metastasis, which can be attributable to few cases and deficiency of clinical data, the decisive role of FDG-PET in diagnosing gastrointestinal metastases originating from primary lung cancer remains a subject of heating discussion both domestically and internationally[13].

As evidenced by some clinical studies reported previously, squamous cell carcinoma of the lung, large cell lung cancer, and multicellular lung cancer display a high likelihood of metastasizing to the gastrointestinal tract[27,28]. Nevertheless, additional studies and autopsies have confirmed that LUAD also suggests a higher probability of metastasizing to the gastrointestinal tract[29,30]. Interestingly, the prevalence of gastrointestinal metastasis from non-small cell lung cancer (NSCLC) is 0.2%-10%[31]. Although epidemiological studies indicate a relatively low frequency of gastrointestinal involvement in small cell lung cancer (SCLC), McNeill’s research team initially documented an 8.0% occurrence rate during the latter part of the 1980s. Subsequent investigations revealed evolving patterns, with Yoshimoto’s 2006 study demonstrating that 14.9% of SCLC patients developed gastrointestinal tract metastases, particularly highlighting small intestinal involvement accounting for 6.9% of cases[7]. Comparative analysis shows that NSCLC subtypes-encompassing adenocarcinoma, squamous cell carcinoma, and large cell carcinoma-exhibit significantly higher propensity for digestive system metastasis than their small cell counterparts[17]. In a literature review associated with small bowel metastases and NSCLC between 2017 and 2022 by Kosciuszek et al[4], they held a standpoint that the most common type of NSCLC was adenocarcinoma in their search. By searching and analyzing previous literature reviews on gastrointestinal metastases from lung cancer, As pointed out by Sautto et al[32], LUAD was demonstrated to be the predominant type of lung cancer with small bowel metastases in several studies. Conversely, emerging research indicates that squamous cell carcinoma or large cell carcinoma might represent the predominant histological subtypes. Notably, a clinical analysis revealed large cell carcinoma demonstrates a 3.5-fold increased propensity for gastrointestinal metastasis compared to other NSCLCs, constituting approximately 30% of all documented metastatic cases in this category[33].

Immunohistochemical techniques offer a trustworthy approach to differentiate the primary tumor site of gastrointestinal metastases. Positive expression of TTF-1 and CK7 and negative expression of CDX2 and CK20 clearly suggested that the primary tumor originated from the lung[12,34]. The immunohistochemical co-expression patterns of CK7 and CK20 serve as valuable discriminators for identifying carcinoma origins. Notably, pulmonary adenocarcinomas exhibit characteristic CK7 positivity with concurrent CK20 negativity in approximately 90% of cases[35]. Conversely, intestinal carcinomas typically demonstrate an inverse immunophenotypic pattern (CK7 -/CK20 +). Complementary diagnostic markers enhance this differentiation: TTF-1 shows nuclear staining in pulmonary and thyroid malignancies but remains negative in gastric carcinomas, establishing its utility as a specific indicator for primary lung neoplasms[36]. Simultaneously, CDX2 expression demonstrates high specificity for gastrointestinal adenocarcinomas of intestinal differentiation, while its absence provides supportive evidence for metastatic spread from non-enteric primary sites[34].

As a whole, recent advancements in tumor immunology have underlined the significance of how to comprehend the role of immune cells within the lung cancer microenvironment. The intricate crosstalk among heterogeneous immune cell populations in tumoral niches may play a role in modulating neoplastic proliferation, programmed cell death, and stromal remodeling. Notably, differential responses identified across pulmonary carcinoma variants not only highlight the heterogeneous nature of immune surveillance mechanisms but also reveal potential therapeutic opportunities for precision oncology approaches. Tumor-infiltrating mature dendritic cells correlate with better NSCLC prognosis[37]. Recent studies indicate that elevated CD24 expression levels are significantly correlated with diminished progression-free survival rates and unfavorable oncological outcomes in NSCLC patients[38]. Research indicates that CCR2-expressing monocytes migrate into the tumor microenvironment of lung squamous cell carcinoma through CCL2-mediated chemotaxis initiated by cancer-associated fibroblasts, which promotes immunosuppressive conditions[39]. Interestingly, upon infiltration into inflamed pulmonary regions, these immune cells demonstrate a paradoxical capacity to reduce localized CCL2 concentrations[40]. Multiple research findings have indicated that elevated CCL2 concentrations within the tumor microenvironment serve as significant prognostic indicators for survival outcomes in individuals with lung carcinoma[41]. Xu et al[42] applied two-sample mendelian randomization analysis, where genetic instrumental variables was employed to assess the causal impact of 731 immune cell signatures on lung cancer. They found five suggestive associations across all sensitivity tests (P < 0.05): CD25 on IgD - CD24 - cells in SCLC [inverse variance weighted (IVW) odds ratio (ORIVW) = 0.885; 95% confidence interval (CI): 0.798-0.983; P IVW = 0.022]; CD27 on IgD + CD24 + cells in lung squamous cell carcinoma (ORIVW = 1.054; 95%CI: 1.010-1.100; P IVW = 0.015); CCR2 on monocyte cells in lung squamous cell carcinoma (ORIVW = 0.941; 95%CI: 0.898-0.987; P IVW = 0.012); CD123 on CD62 L + plasmacytoid dendritic cells (ORIVW = 0.958; 95%CI: 0.924-0.992; P IVW = 0.017) as well as on plasmacytoid dendritic cells (ORIVW = 0.958; 95%CI: 0.924-0.992; P IVW = 0.017) in lung squamous cell carcinoma. However, the therapeutic benefits of immunotherapy remain predominantly applicable to distinct molecular subgroups of LUAD. Moreover, the early metastatic tendency of LUAD often leads to unfavorable clinical outcomes. Significant variations in clinical trajectories and therapeutic responses to immunomodulatory interventions are primarily attributed to the heterogeneous composition of the tumor microenvironment’s immune landscape. This biological complexity underscores the critical need to delineate the cellular dynamics and molecular pathways governing tumor-stroma interactions. For this reason, investigating the cellular and molecular mechanisms involved in the tumor microenvironment has the potential to establish a foundation for drug discovery, especially in the aspect of targeted immunotherapy. The study arrived at a conclusion that LMNB2 not only aids in diagnosing LUAD but also provides insights into patient outcomes, which is specifically manifested: (1) LMNB2 mRNA levels could effectively distinguish LUAD patients from the non-cancer population; (2) LMNB2 expression correlates with overall survival, disease-specific survival, and progression-free interval in LUAD patients; (3) Higher LMNB2 levels are associated with unfavorable prognostic outcomes in LUAD; (4) LMNB2 may exert certain influence on LUAD progression through involvement in crucial cellular pathways such as cell cycle regulation, mechanistic target of rapamycin complex 1 signaling, and the phosphatidylinositol 3-kinase/protein kinase B/mechanistic target of rapamycin pathway; and (5) A notable link between LMNB2 expression and the tumor immune microenvironment. The above findings were further supported by single-cell sequencing data highlighting its association with functional states like cell cycle activity and DNA damage response in LUAD[43]. Xu et al[44] delved into single-cell RNA sequencing data and identified malignant cells using CopyKAT. Malignant cell-associated ligand–receptor genes were screened and a six-gene prognostic model (MYO1E, FEN1, NMI, ZNF506, ALDOA, and MLLT6) for accurate patient stratification were constructed, categorizing patients into high- and low-risk groups. An examination of two immunotherapy cohorts demonstrated that patients with a high-risk signature responded more favorably to immunotherapy compared to those in the low-risk group. Experimental validation further confirmed that MYO1E enhances the proliferation and migration of LUAD cells.

The treatment of small intestinal metastasis of lung cancer should primarily focus on systemic therapy, serving as the cornerstone of a comprehensive treatment approach[45]. For gastrointestinal metastases, chemotherapy is the first-line therapy; however, surgical intervention should be considered when clinical manifestations like obstructive symptoms, intussusception, or bowel perforation develop[17]. The question of whether surgery constitutes the optimal treatment for gastrointestinal metastasis in lung cancer remains contentious, given that lung cancer accompanied by gastrointestinal metastasis is typically associated with a less favorable prognosis[3,8]. Emerging clinical data suggest that operative management of gastrointestinal metastases provides comprehensive therapeutic advantages, including but not limited to: (1) Effective symptom control; (2) Increased feasibility of systemic treatment administration; and (3) Measurable enhancement in patient-reported quality of life indices[46]. Surgical intervention can be separated into palliative intent and curative intent. Koyama et al[47] claimed that surgical resection may offer curative potential and improve survival outcomes when metastatic lung cancer demonstrates organ-specific localization, particularly in isolated sites like the cerebral region or gastrointestinal tract. Conversely, when systemic dissemination occurs-a frequent clinical presentation-operative procedures predominantly assume palliative objectives. This underscores the critical importance of early metastatic detection through comprehensive surveillance, as timely surgical intervention could prove crucial for preserving functional status and optimizing patient quality of life. Furthermore, surgical treatment should be employed as a palliative therapy among individuals enduring small intestinal obstruction or peritonitis stemmed from primary lung cancer[8,11]. Postoperative chemotherapy and individualized treatment may heighten the survival of these lung cancer patients. Furthermore, vascular-targeted therapy has gained widespread acceptance and recognition in recent years. Patients who are positive for vascular endothelial growth factor can benefit from bevacizumab therapy[48]. As previously explored, the interval between the diagnosis of the primary tumor and the appearance of clinical manifestations of gastrointestinal metastases ranges from approximately 2 weeks to 4 years. In addition, the average time between definitive gastrointestinal metastases and death arising from cancer is roughly only 100.6 days[29,33]. Owing to the fact that most patients have a less desirable prognosis, it’s crucial to develop systemic treatments for patients suffering from gastrointestinal metastases from lung cancer.

CONCLUSION

Altogether, patients diagnosed with small intestinal metastases from lung cancer have a less unfavorable prognosis and shorter survival than those with metastases in other sites. In this regard, early detection and timely treatment is pivotal for the elevation of patients’ survival rate. Providing that the patient’s overall condition permits, early surgical interventions can prevent associated serious complications such as perforation. More importantly, it holds promise for the prognosis improvement. Intestinal perforation occurs in advanced stages, and aggressive surgical treatment can mitigate the risk of peritonitis and infectious toxic shock or even death. Aside from that, individuals enduring lung cancer who experience acute abdominal symptoms should be aware of the potential for small intestinal metastasis.

Footnotes

Provenance and peer review: Unsolicited article; Externally peer reviewed.

Peer-review model: Single blind

Specialty type: Gastroenterology and hepatology

Country of origin: China

Peer-review report’s classification

Scientific Quality: Grade A, Grade A, Grade B

Novelty: Grade A, Grade A, Grade B

Creativity or Innovation: Grade A, Grade A, Grade B

Scientific Significance: Grade A, Grade A, Grade B

P-Reviewer: Chand A; Xu SS S-Editor: Fan M L-Editor: A P-Editor: Xu ZH

References
1.  Siegel RL, Giaquinto AN, Jemal A. Cancer statistics, 2024. CA Cancer J Clin. 2024;74:12-49.  [RCA]  [PubMed]  [DOI]  [Full Text]  [Cited by in Crossref: 2279]  [Cited by in RCA: 5467]  [Article Influence: 5467.0]  [Reference Citation Analysis (3)]
2.  Sung H, Ferlay J, Siegel RL, Laversanne M, Soerjomataram I, Jemal A, Bray F. Global Cancer Statistics 2020: GLOBOCAN Estimates of Incidence and Mortality Worldwide for 36 Cancers in 185 Countries. CA Cancer J Clin. 2021;71:209-249.  [RCA]  [PubMed]  [DOI]  [Full Text]  [Cited by in Crossref: 75126]  [Cited by in RCA: 66821]  [Article Influence: 16705.3]  [Reference Citation Analysis (184)]
3.  Hu Y, Feit N, Huang Y, Xu W, Zheng S, Li X. Gastrointestinal metastasis of primary lung cancer: An analysis of 366 cases. Oncol Lett. 2018;15:9766-9776.  [RCA]  [PubMed]  [DOI]  [Full Text]  [Full Text (PDF)]  [Cited by in Crossref: 6]  [Cited by in RCA: 39]  [Article Influence: 5.6]  [Reference Citation Analysis (0)]
4.  Kosciuszek ND, Noel P, Takabe K, Seitelman E, Datta R, Gunasekaran G, Takahashi H. Intraluminal Small Bowel Metastasis From Primary Lung Cancer. World J Oncol. 2022;13:409-416.  [RCA]  [PubMed]  [DOI]  [Full Text]  [Full Text (PDF)]  [Cited by in RCA: 2]  [Reference Citation Analysis (0)]
5.  Liu W, Zhou W, Qi WL, Ma YD, Xu YY. Gastrointestinal hemorrhage due to ileal metastasis from primary lung cancer. World J Gastroenterol. 2015;21:3435-3440.  [RCA]  [PubMed]  [DOI]  [Full Text]  [Full Text (PDF)]  [Cited by in CrossRef: 15]  [Cited by in RCA: 22]  [Article Influence: 2.2]  [Reference Citation Analysis (0)]
6.  Bouchette P, Lakra R, Haydel S, Hudson CT. Duodenal Metastasis From Primary Lung Adenocarcinoma: A Diagnostic and Therapeutic Challenge. Cureus. 2023;15:e40821.  [RCA]  [PubMed]  [DOI]  [Full Text]  [Reference Citation Analysis (0)]
7.  Ganti AK, Klein AB, Cotarla I, Seal B, Chou E. Update of Incidence, Prevalence, Survival, and Initial Treatment in Patients With Non-Small Cell Lung Cancer in the US. JAMA Oncol. 2021;7:1824-1832.  [RCA]  [PubMed]  [DOI]  [Full Text]  [Cited by in Crossref: 24]  [Cited by in RCA: 472]  [Article Influence: 118.0]  [Reference Citation Analysis (0)]
8.  Lee PC, Lo C, Lin MT, Liang JT, Lin BR. Role of surgical intervention in managing gastrointestinal metastases from lung cancer. World J Gastroenterol. 2011;17:4314-4320.  [RCA]  [PubMed]  [DOI]  [Full Text]  [Full Text (PDF)]  [Cited by in CrossRef: 52]  [Cited by in RCA: 66]  [Article Influence: 4.7]  [Reference Citation Analysis (0)]
9.  Kim SY, Ha HK, Park SW, Kang J, Kim KW, Lee SS, Park SH, Kim AY. Gastrointestinal metastasis from primary lung cancer: CT findings and clinicopathologic features. AJR Am J Roentgenol. 2009;193:W197-W201.  [RCA]  [PubMed]  [DOI]  [Full Text]  [Cited by in Crossref: 48]  [Cited by in RCA: 69]  [Article Influence: 4.3]  [Reference Citation Analysis (0)]
10.  Antler AS, Ough Y, Pitchumoni CS, Davidian M, Thelmo W. Gastrointestinal metastases from malignant tumors of the lung. Cancer. 1982;49:170-172.  [RCA]  [PubMed]  [DOI]  [Full Text]  [Cited by in RCA: 7]  [Reference Citation Analysis (0)]
11.  Nishizawa Y, Kobayashi A, Saito N, Nagai K, Sugito M, Ito M, Nishizawa Y. Surgical management of small bowel metastases from primary carcinoma of the lung. Surg Today. 2012;42:233-237.  [RCA]  [PubMed]  [DOI]  [Full Text]  [Cited by in Crossref: 21]  [Cited by in RCA: 25]  [Article Influence: 1.8]  [Reference Citation Analysis (0)]
12.  Kim MJ, Hong JH, Park ES, Byun JH. Gastric metastasis from primary lung adenocarcinoma mimicking primary gastric cancer. World J Gastrointest Oncol. 2015;7:12-16.  [RCA]  [PubMed]  [DOI]  [Full Text]  [Full Text (PDF)]  [Cited by in CrossRef: 12]  [Cited by in RCA: 17]  [Article Influence: 1.7]  [Reference Citation Analysis (1)]
13.  Hirasaki S, Suzuki S, Umemura S, Kamei H, Okuda M, Kudo K. Asymptomatic colonic metastases from primary squamous cell carcinoma of the lung with a positive fecal occult blood test. World J Gastroenterol. 2008;14:5481-5483.  [RCA]  [PubMed]  [DOI]  [Full Text]  [Full Text (PDF)]  [Cited by in CrossRef: 19]  [Cited by in RCA: 28]  [Article Influence: 1.6]  [Reference Citation Analysis (0)]
14.  Wang M, Zhang W, Fu C, Guan J, Ni X, Yao F. Endoscopic manifestations and treatment outcomes of asymptomatic gastric metastases from primary lung adenocarcinoma: Report of two cases. Oncol Lett. 2023;25:228.  [RCA]  [PubMed]  [DOI]  [Full Text]  [Full Text (PDF)]  [Reference Citation Analysis (0)]
15.  Nitipir C, Ginghina O, Popa L, Andrei F, Tudor N, Radu I, Iaciu C, Orlov C, Vasilescu F, Balalau C, Leon G, Negrei C, Barbu MA. A rare case of advanced lung cancer presenting as a symptomatic gastric tumor. Mol Clin Oncol. 2018;8:595-599.  [RCA]  [PubMed]  [DOI]  [Full Text]  [Cited by in Crossref: 2]  [Cited by in RCA: 3]  [Article Influence: 0.4]  [Reference Citation Analysis (0)]
16.  De Palma GD, Masone S, Rega M, Simeoli I, Donisi M, Addeo P, Iannone L, Pilone V, Persico G. Metastatic tumors to the stomach: clinical and endoscopic features. World J Gastroenterol. 2006;12:7326-7328.  [RCA]  [PubMed]  [DOI]  [Full Text]  [Full Text (PDF)]  [Cited by in CrossRef: 82]  [Cited by in RCA: 82]  [Article Influence: 4.3]  [Reference Citation Analysis (0)]
17.  Nakayama Y, Yamaguchi M, Inoue K, Hamaguchi S, Tajima Y. Successful resection of colonic metastasis of lung cancer after colonic stent placement: A case report and review of the literature. World J Gastrointest Surg. 2023;15:1549-1558.  [RCA]  [PubMed]  [DOI]  [Full Text]  [Full Text (PDF)]  [Cited by in RCA: 2]  [Reference Citation Analysis (0)]
18.  Dasari BV, Gardiner KR. Management of adenocarcinoma of the small intestine. Gastrointest Cancer Res. 2009;3:121-122.  [PubMed]  [DOI]
19.  Boudiaf M, Jaff A, Soyer P, Bouhnik Y, Hamzi L, Rymer R. Small-bowel diseases: prospective evaluation of multi-detector row helical CT enteroclysis in 107 consecutive patients. Radiology. 2004;233:338-344.  [RCA]  [PubMed]  [DOI]  [Full Text]  [Cited by in Crossref: 192]  [Cited by in RCA: 156]  [Article Influence: 7.4]  [Reference Citation Analysis (0)]
20.  Masselli G, Polettini E, Casciani E, Bertini L, Vecchioli A, Gualdi G. Small-bowel neoplasms: prospective evaluation of MR enteroclysis. Radiology. 2009;251:743-750.  [RCA]  [PubMed]  [DOI]  [Full Text]  [Cited by in Crossref: 96]  [Cited by in RCA: 80]  [Article Influence: 5.0]  [Reference Citation Analysis (0)]
21.  Han JW, Hong SN, Jang HJ, Jeon SR, Cha JM, Park SJ, Byeon JS, Ko BM, Kim ER, Choi H, Chang DK. Clinical Efficacy of Various Diagnostic Tests for Small Bowel Tumors and Clinical Features of Tumors Missed by Capsule Endoscopy. Gastroenterol Res Pract. 2015;2015:623208.  [RCA]  [PubMed]  [DOI]  [Full Text]  [Full Text (PDF)]  [Cited by in Crossref: 12]  [Cited by in RCA: 28]  [Article Influence: 2.8]  [Reference Citation Analysis (0)]
22.  Maieron A, Hubner D, Blaha B, Deutsch C, Schickmair T, Ziachehabi A, Kerstan E, Knoflach P, Schoefl R. Multicenter retrospective evaluation of capsule endoscopy in clinical routine. Endoscopy. 2004;36:864-868.  [RCA]  [PubMed]  [DOI]  [Full Text]  [Cited by in Crossref: 55]  [Cited by in RCA: 47]  [Article Influence: 2.2]  [Reference Citation Analysis (0)]
23.  Zhou X, Chen R, Huang G, Liu J. Potential clinical value of PET/CT in predicting occult nodal metastasis in T1-T2N0M0 lung cancer patients staged by PET/CT. Oncotarget. 2017;8:82437-82445.  [RCA]  [PubMed]  [DOI]  [Full Text]  [Full Text (PDF)]  [Cited by in Crossref: 9]  [Cited by in RCA: 14]  [Article Influence: 1.8]  [Reference Citation Analysis (0)]
24.  Wu Q, Luo W, Zhao Y, Xu F, Zhou Q. The utility of 18F-FDG PET/CT for the diagnosis of adrenal metastasis in lung cancer: a PRISMA-compliant meta-analysis. Nucl Med Commun. 2017;38:1117-1124.  [RCA]  [PubMed]  [DOI]  [Full Text]  [Cited by in Crossref: 15]  [Cited by in RCA: 16]  [Article Influence: 2.0]  [Reference Citation Analysis (0)]
25.  Suzuki H, Kato K, Nishio M, Tamaki T, Fujimoto Y, Hiramatsu M, Hanai N, Kodaira T, Itoh Y, Naganawa S, Sone M, Hasegawa Y. FDG-PET/CT predicts survival and lung metastasis of hypopharyngeal cancer in a multi-institutional retrospective study. Ann Nucl Med. 2017;31:514-520.  [RCA]  [PubMed]  [DOI]  [Full Text]  [Cited by in Crossref: 4]  [Cited by in RCA: 9]  [Article Influence: 1.1]  [Reference Citation Analysis (0)]
26.  Kitajima K, Nakajo M, Kaida H, Minamimoto R, Hirata K, Tsurusaki M, Doi H, Ueno Y, Sofue K, Tamaki Y, Yamakado K. Present and future roles of FDG-PET/CT imaging in the management of gastrointestinal cancer: an update. Nagoya J Med Sci. 2017;79:527-543.  [RCA]  [PubMed]  [DOI]  [Full Text]  [Full Text (PDF)]  [Cited by in RCA: 30]  [Reference Citation Analysis (0)]
27.  Sakai H, Egi H, Hinoi T, Tokunaga M, Kawaguchi Y, Shinomura M, Adachi T, Arihiro K, Ohdan H. Primary lung cancer presenting with metastasis to the colon: a case report. World J Surg Oncol. 2012;10:127.  [RCA]  [PubMed]  [DOI]  [Full Text]  [Full Text (PDF)]  [Cited by in Crossref: 23]  [Cited by in RCA: 39]  [Article Influence: 3.0]  [Reference Citation Analysis (0)]
28.  Habeşoğlu MA, Oğuzülgen KI, Oztürk C, Akyürek N, Memiş L. A case of bronchogenic carcinoma presenting with acute abdomen. Tuberk Toraks. 2005;53:280-283.  [PubMed]  [DOI]
29.  Taira N, Kawabata T, Gabe A, Furugen T, Ichi T, Kushi K, Yohena T, Kawasaki H, Higuchi D, Chibana K, Fujita K, Nakamoto A, Owan I, Kuba M, Ishikawa K. Analysis of gastrointestinal metastasis of primary lung cancer: Clinical characteristics and prognosis. Oncol Lett. 2017;14:2399-2404.  [RCA]  [PubMed]  [DOI]  [Full Text]  [Cited by in Crossref: 23]  [Cited by in RCA: 46]  [Article Influence: 5.8]  [Reference Citation Analysis (0)]
30.  Okazaki R, Ohtani H, Takeda K, Sumikawa T, Yamasaki A, Matsumoto S, Shimizu E. Gastric metastasis by primary lung adenocarcinoma. World J Gastrointest Oncol. 2010;2:395-398.  [RCA]  [PubMed]  [DOI]  [Full Text]  [Full Text (PDF)]  [Cited by in CrossRef: 14]  [Cited by in RCA: 20]  [Article Influence: 1.3]  [Reference Citation Analysis (0)]
31.  Kang DK, Kang MK, Heo W, Hwang YH, Nam KH. Multiple small bowel metastasis of primary non-small cell lung cancer. Clin Case Rep. 2021;9:1896-1898.  [RCA]  [PubMed]  [DOI]  [Full Text]  [Full Text (PDF)]  [Cited by in Crossref: 1]  [Cited by in RCA: 5]  [Article Influence: 1.3]  [Reference Citation Analysis (0)]
32.  Sautto F, Tinsley S, Neychev V. Small Bowel Perforation Due to Rare Metastasis From Stage IV Lung Adenocarcinoma. Cureus. 2022;14:e29551.  [RCA]  [PubMed]  [DOI]  [Full Text]  [Full Text (PDF)]  [Reference Citation Analysis (0)]
33.  Di JZ, Peng JY, Wang ZG. Prevalence, clinicopathological characteristics, treatment, and prognosis of intestinal metastasis of primary lung cancer: a comprehensive review. Surg Oncol. 2014;23:72-80.  [RCA]  [PubMed]  [DOI]  [Full Text]  [Cited by in Crossref: 33]  [Cited by in RCA: 47]  [Article Influence: 4.3]  [Reference Citation Analysis (0)]
34.  Rossi G, Marchioni A, Romagnani E, Bertolini F, Longo L, Cavazza A, Barbieri F. Primary lung cancer presenting with gastrointestinal tract involvement: clinicopathologic and immunohistochemical features in a series of 18 consecutive cases. J Thorac Oncol. 2007;2:115-120.  [PubMed]  [DOI]
35.  Chu PG, Weiss LM. Keratin expression in human tissues and neoplasms. Histopathology. 2002;40:403-439.  [RCA]  [PubMed]  [DOI]  [Full Text]  [Cited by in Crossref: 613]  [Cited by in RCA: 586]  [Article Influence: 25.5]  [Reference Citation Analysis (0)]
36.  Sheppard MN. Specific markers for pulmonary tumours. Histopathology. 2000;36:273-276.  [RCA]  [PubMed]  [DOI]  [Full Text]  [Cited by in Crossref: 9]  [Cited by in RCA: 13]  [Article Influence: 0.5]  [Reference Citation Analysis (0)]
37.  Goc J, Germain C, Vo-Bourgais TK, Lupo A, Klein C, Knockaert S, de Chaisemartin L, Ouakrim H, Becht E, Alifano M, Validire P, Remark R, Hammond SA, Cremer I, Damotte D, Fridman WH, Sautès-Fridman C, Dieu-Nosjean MC. Dendritic cells in tumor-associated tertiary lymphoid structures signal a Th1 cytotoxic immune contexture and license the positive prognostic value of infiltrating CD8+ T cells. Cancer Res. 2014;74:705-715.  [RCA]  [PubMed]  [DOI]  [Full Text]  [Cited by in Crossref: 311]  [Cited by in RCA: 508]  [Article Influence: 42.3]  [Reference Citation Analysis (0)]
38.  Lee HJ, Choe G, Jheon S, Sung SW, Lee CT, Chung JH. CD24, a novel cancer biomarker, predicting disease-free survival of non-small cell lung carcinomas: a retrospective study of prognostic factor analysis from the viewpoint of forthcoming (seventh) new TNM classification. J Thorac Oncol. 2010;5:649-657.  [RCA]  [PubMed]  [DOI]  [Full Text]  [Cited by in Crossref: 49]  [Cited by in RCA: 64]  [Article Influence: 4.3]  [Reference Citation Analysis (0)]
39.  Xiang H, Ramil CP, Hai J, Zhang C, Wang H, Watkins AA, Afshar R, Georgiev P, Sze MA, Song XS, Curran PJ, Cheng M, Miller JR, Sun D, Loboda A, Jia Y, Moy LY, Chi A, Brandish PE. Cancer-Associated Fibroblasts Promote Immunosuppression by Inducing ROS-Generating Monocytic MDSCs in Lung Squamous Cell Carcinoma. Cancer Immunol Res. 2020;8:436-450.  [RCA]  [PubMed]  [DOI]  [Full Text]  [Cited by in Crossref: 76]  [Cited by in RCA: 175]  [Article Influence: 35.0]  [Reference Citation Analysis (0)]
40.  Maus UA, Wellmann S, Hampl C, Kuziel WA, Srivastava M, Mack M, Everhart MB, Blackwell TS, Christman JW, Schlöndorff D, Bohle RM, Seeger W, Lohmeyer J. CCR2-positive monocytes recruited to inflamed lungs downregulate local CCL2 chemokine levels. Am J Physiol Lung Cell Mol Physiol. 2005;288:L350-L358.  [RCA]  [PubMed]  [DOI]  [Full Text]  [Cited by in Crossref: 59]  [Cited by in RCA: 70]  [Article Influence: 3.5]  [Reference Citation Analysis (0)]
41.  Li L, Liu YD, Zhan YT, Zhu YH, Li Y, Xie D, Guan XY. High levels of CCL2 or CCL4 in the tumor microenvironment predict unfavorable survival in lung adenocarcinoma. Thorac Cancer. 2018;9:775-784.  [RCA]  [PubMed]  [DOI]  [Full Text]  [Full Text (PDF)]  [Cited by in Crossref: 41]  [Cited by in RCA: 72]  [Article Influence: 10.3]  [Reference Citation Analysis (0)]
42.  Xu S, Fang H, Shen T, Zhou Y, Zhang D, Ke Y, Chen Z, Lu Z. Causal association between immune cells and lung cancer risk: a two-sample bidirectional Mendelian randomization analysis. Front Immunol. 2024;15:1433299.  [RCA]  [PubMed]  [DOI]  [Full Text]  [Cited by in RCA: 25]  [Reference Citation Analysis (0)]
43.  Xu S, Lu Z. The role of LMNB2 as a diagnostic and prognostic biomarker in lung adenocarcinoma. Asian J Surg. 2024;.  [RCA]  [PubMed]  [DOI]  [Full Text]  [Cited by in RCA: 23]  [Reference Citation Analysis (0)]
44.  Xu S, Chen X, Ying H, Chen J, Ye M, Lin Z, Zhang X, Shen T, Li Z, Zheng Y, Zhang D, Ke Y, Chen Z, Lu Z. Multi-omics identification of a signature based on malignant cell-associated ligand-receptor genes for lung adenocarcinoma. BMC Cancer. 2024;24:1138.  [RCA]  [PubMed]  [DOI]  [Full Text]  [Cited by in RCA: 31]  [Reference Citation Analysis (0)]
45.  Xue C, Hu Z, Jiang W, Zhao Y, Xu F, Huang Y, Zhao H, Wu J, Zhang Y, Zhao L, Zhang J, Chen L, Zhang L. National survey of the medical treatment status for non-small cell lung cancer (NSCLC) in China. Lung Cancer. 2012;77:371-375.  [RCA]  [PubMed]  [DOI]  [Full Text]  [Cited by in Crossref: 74]  [Cited by in RCA: 100]  [Article Influence: 7.7]  [Reference Citation Analysis (0)]
46.  Fujiwara A, Okami J, Tokunaga T, Maeda J, Higashiyama M, Kodama K. Surgical treatment for gastrointestinal metastasis of non-small-cell lung cancer after pulmonary resection. Gen Thorac Cardiovasc Surg. 2011;59:748-752.  [RCA]  [PubMed]  [DOI]  [Full Text]  [Cited by in Crossref: 16]  [Cited by in RCA: 23]  [Article Influence: 1.6]  [Reference Citation Analysis (0)]
47.  Koyama R, Minagawa N, Maeda Y, Shinohara T, Hamada T. A laparoscopic resection of lung cancer metastatic to transverse colon: A case report and review of the literature. Clin Case Rep. 2019;7:1647-1650.  [RCA]  [PubMed]  [DOI]  [Full Text]  [Full Text (PDF)]  [Reference Citation Analysis (0)]
48.  Fu Y, Hu J, Du N, Jiao S, Li F, Li X, Ma J, Zhao H, Kang H. Bevacizumab plus chemotherapy versus chemotherapy alone for preventing brain metastasis derived from advanced lung cancer. J Chemother. 2016;28:218-224.  [RCA]  [PubMed]  [DOI]  [Full Text]  [Cited by in Crossref: 12]  [Cited by in RCA: 15]  [Article Influence: 1.7]  [Reference Citation Analysis (0)]