Copyright
©The Author(s) 2025.
World J Gastrointest Surg. Dec 27, 2025; 17(12): 111834
Published online Dec 27, 2025. doi: 10.4240/wjgs.v17.i12.111834
Published online Dec 27, 2025. doi: 10.4240/wjgs.v17.i12.111834
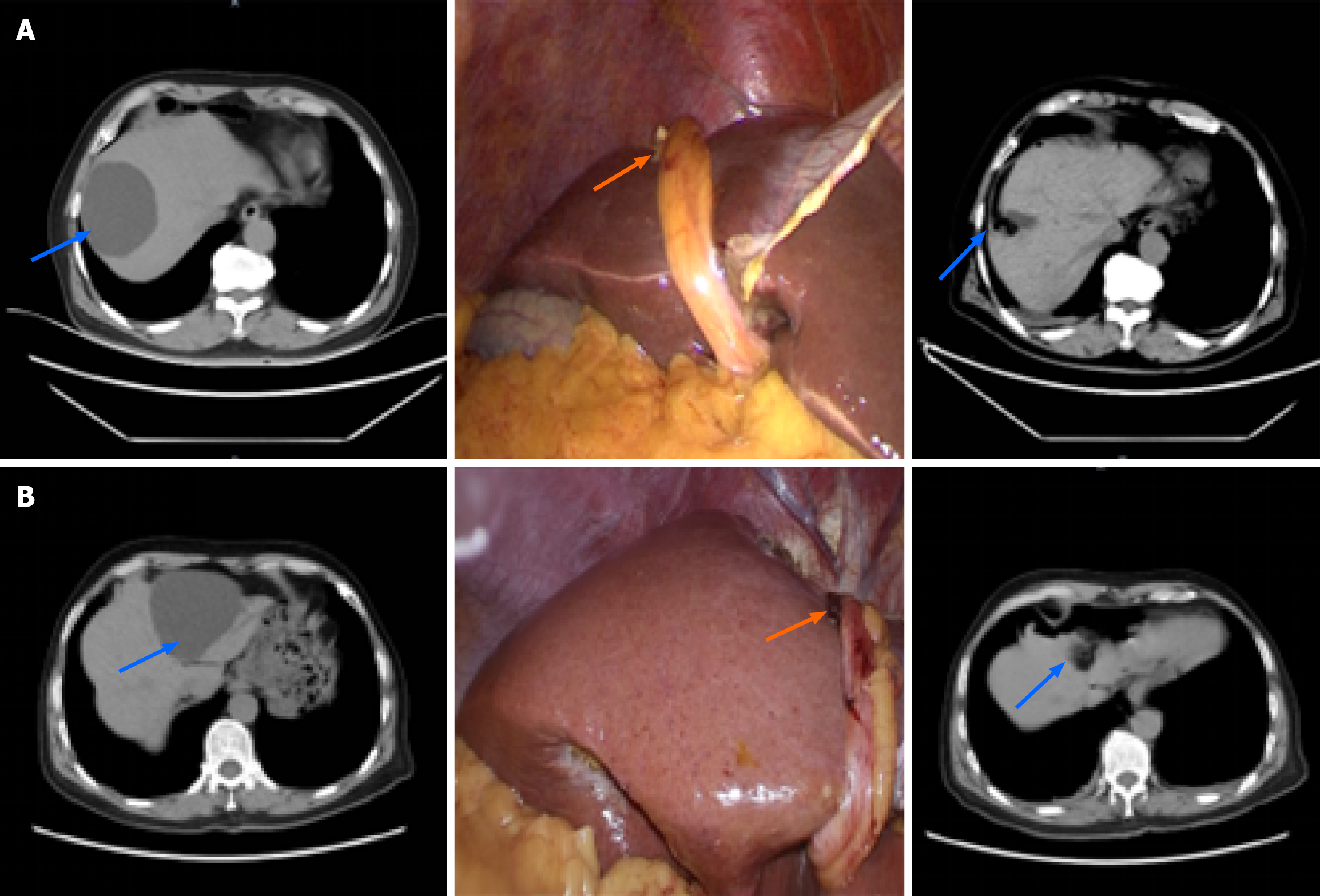
Figure 1 Hepatic cyst.
A: A case of a right hepatic cyst. The blue arrow traces the preoperative and one-year postoperative appearance of the hepatic cyst as visualized on computed tomography scans, demonstrating the significant change following surgical intervention. The orange arrow directs attention to the round ligament of the liver, which has been meticulously sutured and anchored to the base of the cyst; B: A case of a left hepatic cyst. The blue arrow shows the preoperative and one-year postoperative computed tomography images, revealing the effective management of the cyst. The orange arrow highlights the round ligament of the liver, which has been skillfully sutured and fixed in place.
Figure 2 After the cyst is completely stopped by opening the window.
A: Cyst not closed and sutured, and the wound is opened (blue arrow); B: The free hepatic round ligament (orange arrow) is sutured to the bottom of the cyst with 4-0 prolene suture to drain the cyst fluid and prevent the closure of the cyst wall.
- Citation: Wu BQ, Li T, Zhang XD, Jin L. Suturing liver’s round ligament to cystic wall for hepatic cysts. World J Gastrointest Surg 2025; 17(12): 111834
- URL: https://www.wjgnet.com/1948-9366/full/v17/i12/111834.htm
- DOI: https://dx.doi.org/10.4240/wjgs.v17.i12.111834
