Copyright
©The Author(s) 2025.
World J Gastrointest Surg. Nov 27, 2025; 17(11): 110075
Published online Nov 27, 2025. doi: 10.4240/wjgs.v17.i11.110075
Published online Nov 27, 2025. doi: 10.4240/wjgs.v17.i11.110075
Figure 1 Gastroscopy showing a submucosal bulge in the gastric antrum.
A: White-light gastroscopy revealed congestion and edema of the gastric antral mucosa, with a 4-cm submucosal bulge on the anterior wall; B: Close-up view of the lesion; C: Optical electronic chromoendoscopy demonstrated the micro-surface and microvascular structures of the lesion; D: Application of pressure with a pair of biopsy forceps confirmed a soft texture.
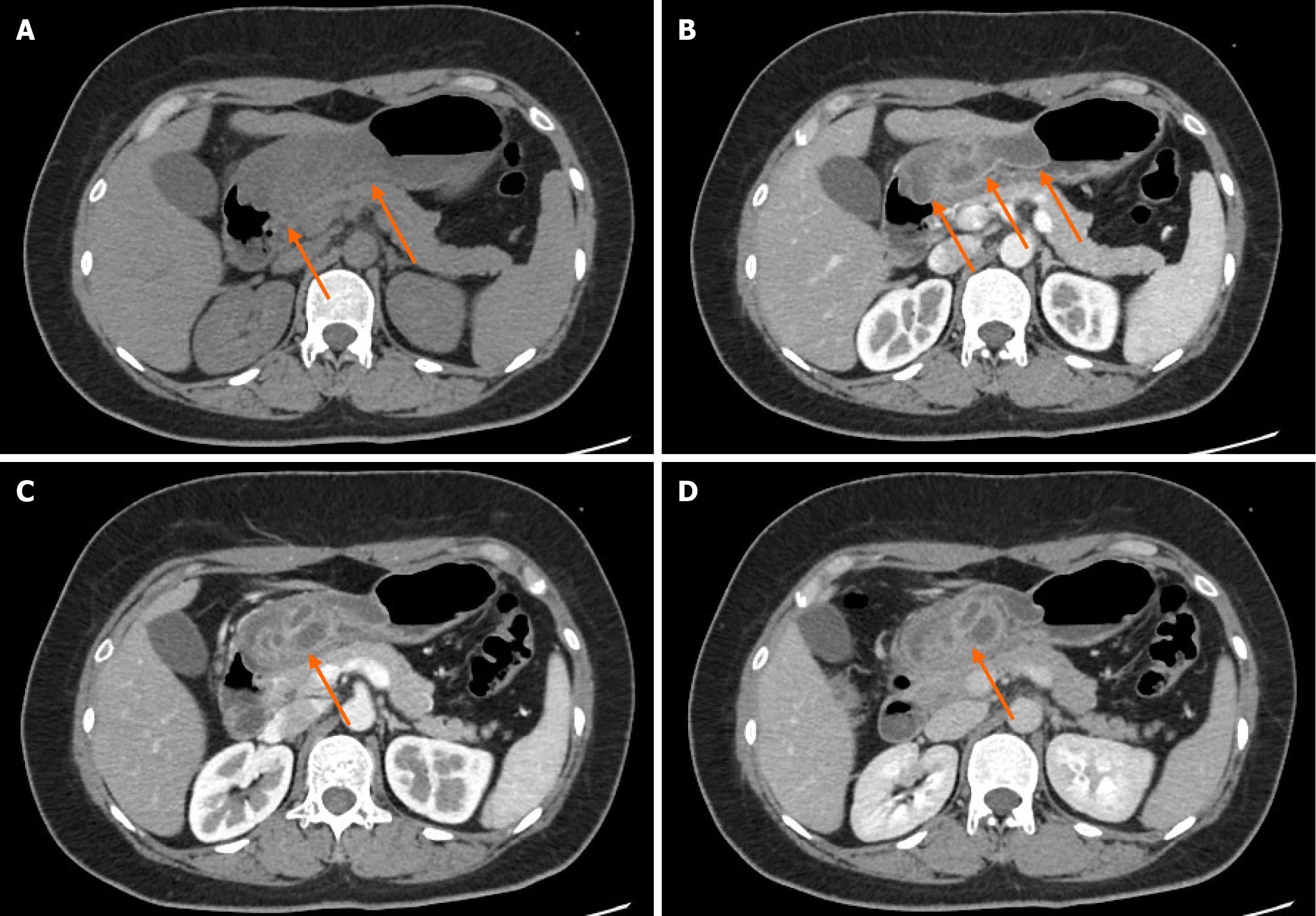
Figure 2 Contrast-enhanced computed tomography images.
A: Plain computed tomography showed significant thickening of the anterior wall of the gastric body and antrum with low-density areas; B: The mucosal line appeared continuous, with the lesion in the submucosa surrounded by patchy edema; C: In the arterial phase, multiple submucosal cystic lesions of varying sizes were visible in the anterior wall of the gastric antrum, with ring-like enhancement of the cyst walls; D: In the venous phase, the cyst walls exhibited persistent enhancement; in contrast, the cyst contents remained non-enhancing.
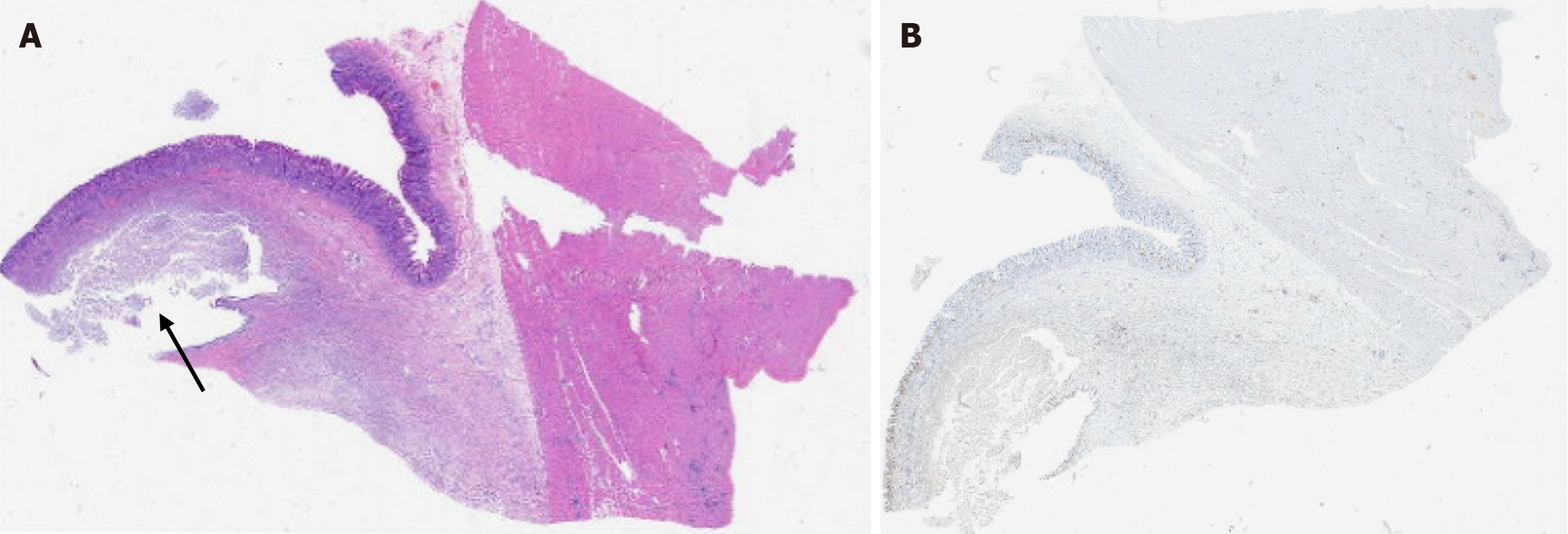
Figure 3 Routine pathology and immunohistochemistry.
A: Hematoxylin and eosin staining, 10 ×. Histology revealed multiple cystic spaces in the submucosa, with cyst walls lined by columnar epithelium, accompanied by neutrophil infiltration and abscess formation; B: Immunostaining, 10 ×. Immunohistochemistry showed a Ki-67 index of approximately 1%.
- Citation: Cui Q, He K, Chen MS, Huang LD. Diagnostic challenge of gastritis cystica profunda with secondary abscess formation: A case report. World J Gastrointest Surg 2025; 17(11): 110075
- URL: https://www.wjgnet.com/1948-9366/full/v17/i11/110075.htm
- DOI: https://dx.doi.org/10.4240/wjgs.v17.i11.110075
