Copyright: ©Author(s) 2026.
World J Gastrointest Oncol. Apr 15, 2026; 18(4): 116955
Published online Apr 15, 2026. doi: 10.4251/wjgo.v18.i4.116955
Published online Apr 15, 2026. doi: 10.4251/wjgo.v18.i4.116955
Figure 1 Chronological overview of the clinical history of the patient.
AFP: Alpha-fetoprotein; HCC: Hepatocellular carcinoma.
Figure 2
Alpha-fetoprotein levels (ng/mL) during the follow-up period and the relative clinical interventions.
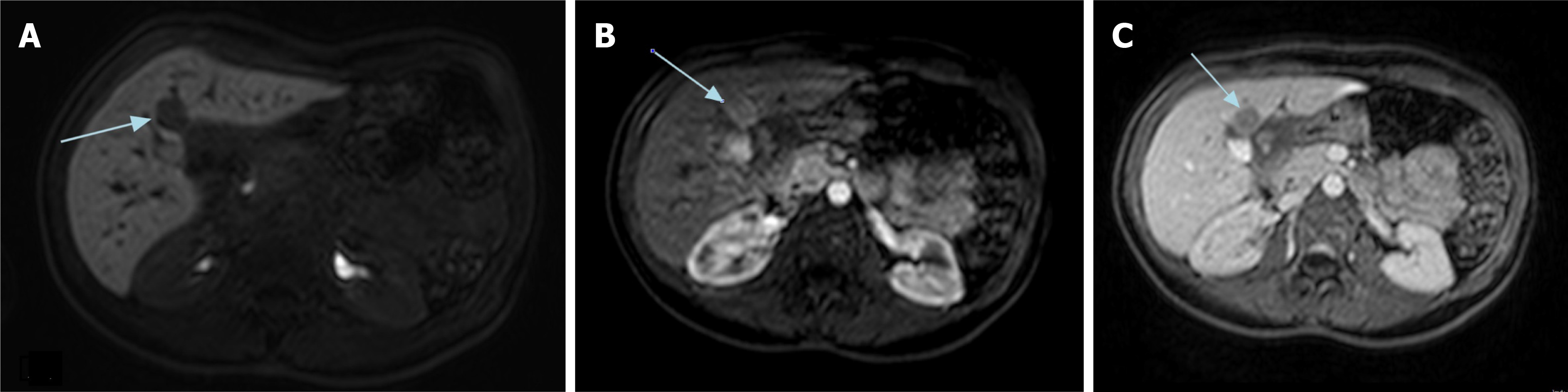
Figure 3 Abdominal magnetic resonance imaging of the hepatocellular carcinoma nodule detected in segment IV on February 2024.
A: Hepatobiliary agents; B: Wash-in phase; C: Wash-out phase.
- Citation: Asero C, Ciappina G, Franzè MS, Maltese T, Gruttadauria S, Pagano D, Lombardo D, Pitrone A, Musolino C, Berretta M, Cacciola I. Uncommon hepatocellular carcinoma in a non-cirrhotic woman with chronic hepatitis B virus infection after medical assisted reproduction: A case report. World J Gastrointest Oncol 2026; 18(4): 116955
- URL: https://www.wjgnet.com/1948-5204/full/v18/i4/116955.htm
- DOI: https://dx.doi.org/10.4251/wjgo.v18.i4.116955
