Copyright: ©Author(s) 2026.
World J Gastrointest Oncol. Mar 15, 2026; 18(3): 115912
Published online Mar 15, 2026. doi: 10.4251/wjgo.v18.i3.115912
Published online Mar 15, 2026. doi: 10.4251/wjgo.v18.i3.115912
Figure 1 Data selection.
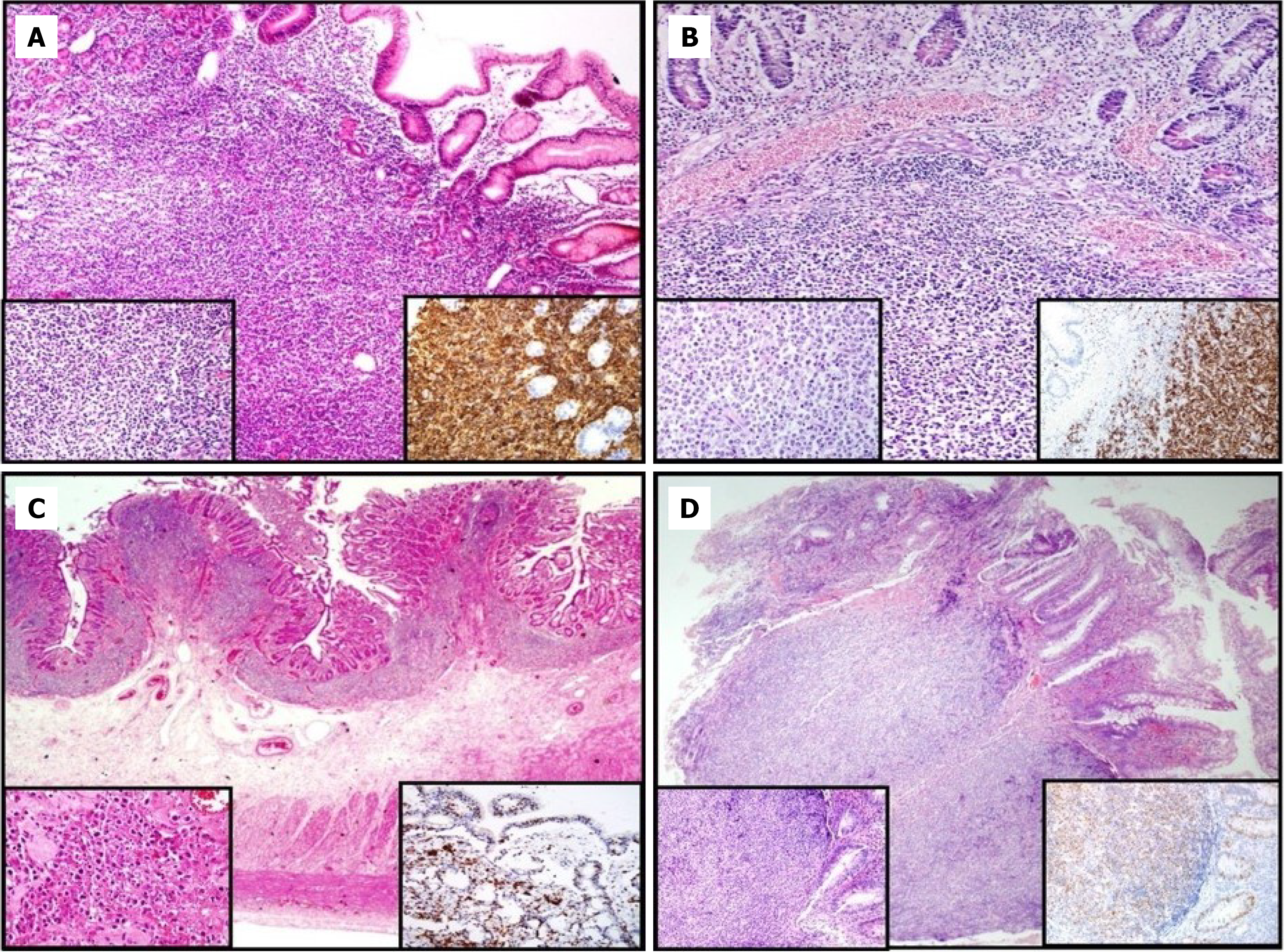
Figure 2 Histomorphological and immunohistochemical features of primary gastrointestinal lymphomas.
A: Extranodal marginal zone lymphoma [mucosa-associated lymphoid tissue (MALT) lymphoma] in an endoscopic gastric biopsy. Cytology of MALT lymphoma can range from CD20 (+) (right inset) small lymphocytic morphology to monocytoid morphology (left inset); B: Diffuse large B-cell lymphoma in an endoscopic small bowel biopsy (left inset), showing CD20 (+) pleomorphic large and medium-sized cells (right inset); C: Enteropathy-associated T-cell lymphoma showing a pleomorphic lymphoid infiltrate (left inset) that are positive for CD3 with an inflammatory infiltrate including eosinophils (right inset); D: Mantle cell lymphoma in an endoscopic colon biopsy (left inset) with cyclin D1 (+) lymphoma cells (right inset).
Figure 3 Overall survival and event-free survival outcomes of gastric and intestinal lymphomas.
A: Overall survival (OS) of primary gastro intestinal lymphoma (PGIL) patients at different sites; B: Event-free survival (EFS) of PGIL patients at different sites. OS: Overall survival; PGIL: Primary gas trointestinal lymphoma; EFS: Event-free survival.
- Citation: Buyuktalanci DO, Cakir E, Kucukzeybek BB, Altindag SD, Yilmaz AF, Kiper HD, Dilek ON. Analysis of histopathological and clinical prognostic factors in lymphomas involving the gastrointestinal system. World J Gastrointest Oncol 2026; 18(3): 115912
- URL: https://www.wjgnet.com/1948-5204/full/v18/i3/115912.htm
- DOI: https://dx.doi.org/10.4251/wjgo.v18.i3.115912
