Copyright
©The Author(s) 2025.
World J Gastrointest Endosc. Jun 16, 2025; 17(6): 105298
Published online Jun 16, 2025. doi: 10.4253/wjge.v17.i6.105298
Published online Jun 16, 2025. doi: 10.4253/wjge.v17.i6.105298
Figure 1 Depiction of clinical outcomes.
RD: Reusable duodenoscope; SD: Single-use duodenoscope.
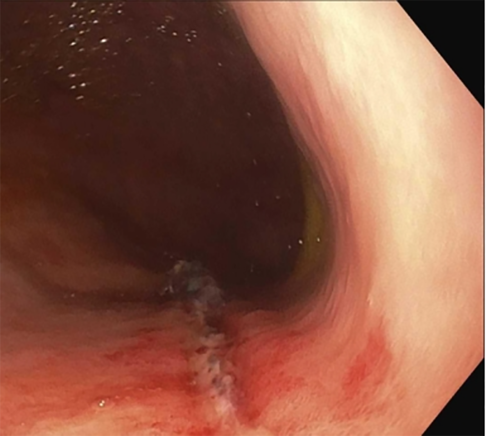
Figure 2 An upper endoscopy revealed a 5 cm long linear gastric ulcer, extending from the gastroesophageal junction to the gastric body along the lesser curvature, with active oozing.
Figure 3 Hemostasis was successfully achieved through the deployment of three Endo clips.
- Citation: Alabdul Razzak I, Alenzi M, Fakhoury B, Zhang XY, Sandeep K, Mahmood SK. Efficacy and safety of single use duodenoscopes in comparison to reusable duodenoscopes for endoscopic retrograde cholangiopancreatography: A single center experience. World J Gastrointest Endosc 2025; 17(6): 105298
- URL: https://www.wjgnet.com/1948-5190/full/v17/i6/105298.htm
- DOI: https://dx.doi.org/10.4253/wjge.v17.i6.105298
