Copyright
©The Author(s) 2026.
World J Hepatol. Feb 27, 2026; 18(2): 115063
Published online Feb 27, 2026. doi: 10.4254/wjh.v18.i2.115063
Published online Feb 27, 2026. doi: 10.4254/wjh.v18.i2.115063
Figure 1 Abdominal ultrasound.
A: Right lobe liver (hepar), showing coarse hepatic echotexture consistent with chronic liver disease; B: Spleen (lien) showing splenomegaly with measurement 12.4 cm.
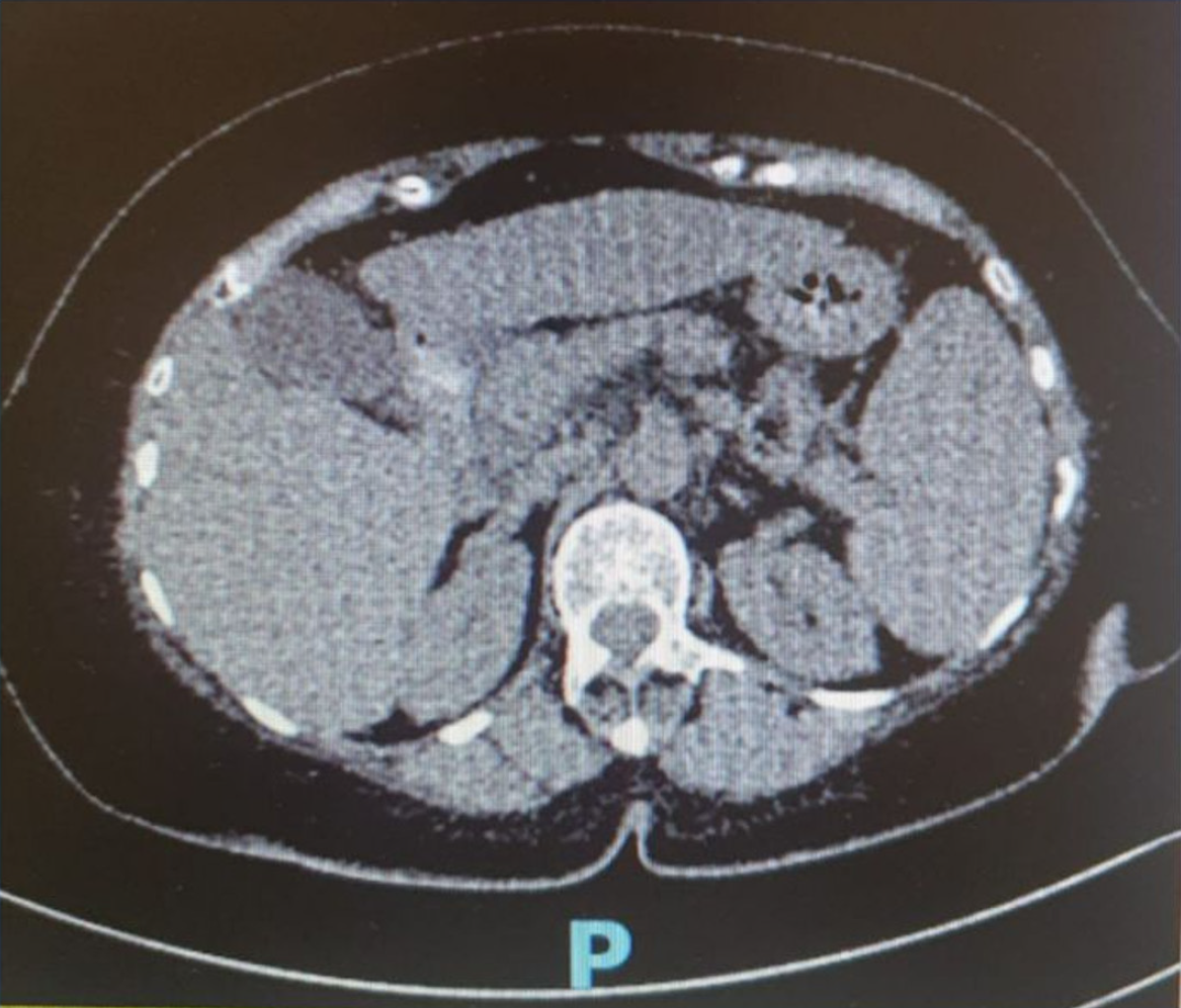
Figure 2 Abdominal computed tomography scan demonstrating moderate diffuse hepatic steatosis, splenic vein dilation, splenomegaly and multiple gallstones with mild cholecystitis.
Figure 3 Esophagogastroduodenoscopy.
A: Moderate portal hypertensive gastropathy; B: Multiple gastric ulcers; C: Endoscopic view showing band ligation performed for grade II-III esophageal varices.
- Citation: Akbar FN, Darnindro N, Wardhani AA, Choirida SR, Saphira SN, Ismed G, Kshanti IAM, Mustika S, Hendarto H. Diagnostic challenges of clinically significant portal hypertension in geriatric metabolic dysfunction-associated fatty liver disease: A case report. World J Hepatol 2026; 18(2): 115063
- URL: https://www.wjgnet.com/1948-5182/full/v18/i2/115063.htm
- DOI: https://dx.doi.org/10.4254/wjh.v18.i2.115063
