Copyright
©The Author(s) 2026.
World J Hepatol. Feb 27, 2026; 18(2): 113695
Published online Feb 27, 2026. doi: 10.4254/wjh.v18.i2.113695
Published online Feb 27, 2026. doi: 10.4254/wjh.v18.i2.113695
Figure 1 Flow diagram showing the selection of reports included in the review.
CT: Computed tomography; K. pneumoniae: Klebsiella pneumoniae.
Figure 2 Etiology and resistance profile of pyogenic liver abscess.
A: Spectrum of bacterial isolates in pus and blood among patients with pyogenic liver abscess, 2021-2024. Bars show columnbased percentages. Counts refer to isolates, not unique patients. Data show isolates (not unique patients). Column totals: Pus isolates n = 89; Blood isolates n = 42. Percentages are column-based. Species names standardized from raw abbreviations present in the source comma-separated values; B: Antibiotic resistance rates of Klebsiella pneumoniae isolates from pyogenic liver abscess, comparing pus (blue) and blood (orange) cultures. Antibiotic susceptibility testing was performed in 55 pus isolates and 26 blood isolates. Percentages are column-based. K. pneumoniae: Klebsiella pneumoniae; E. coli: Escherichia coli.
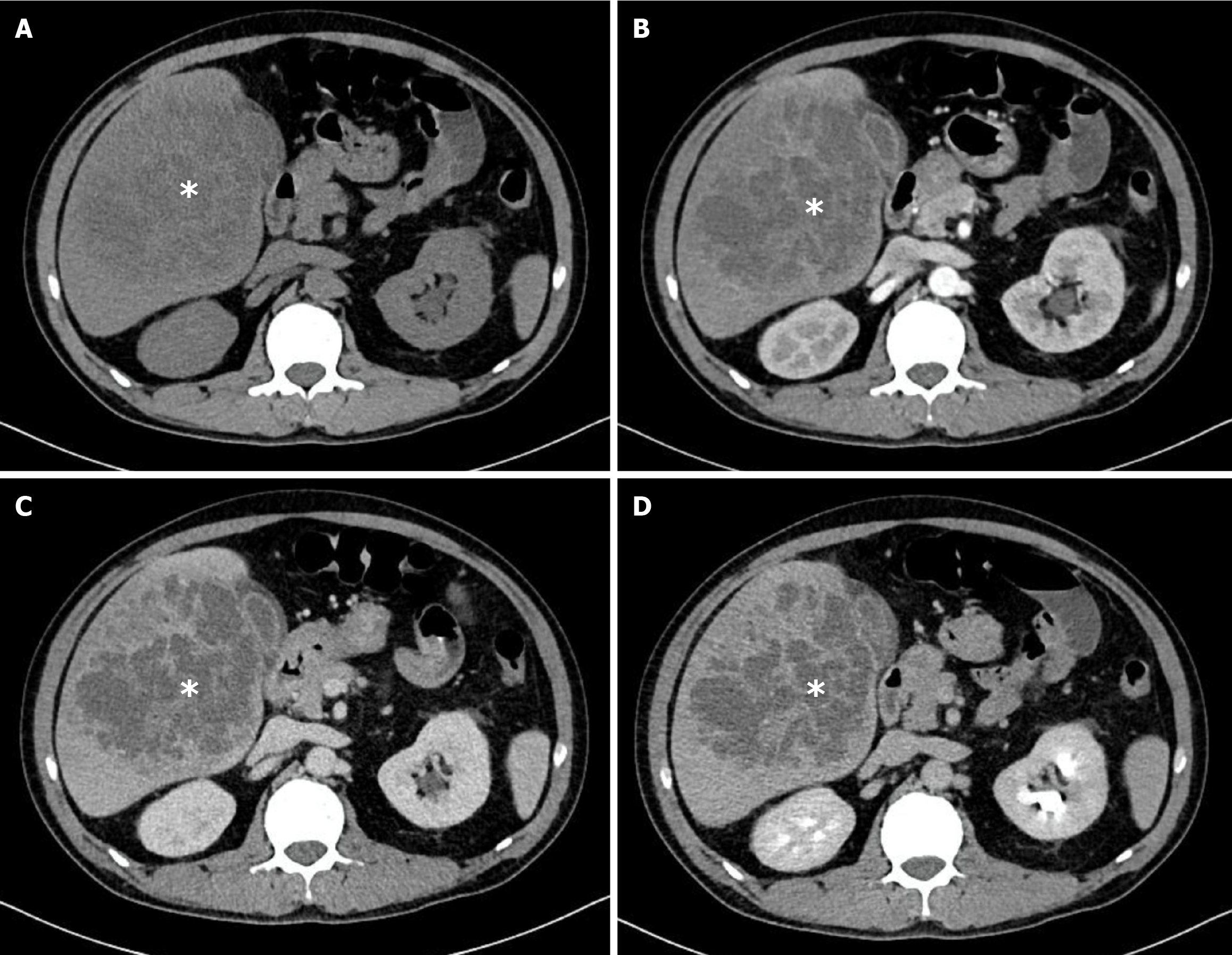
Figure 3 Characteristics of Klebsiella pneumoniae liver abscess on multislice computed tomography scan.
The abscesses (white asterisk) appear as multiple lesions with irregular and lobulated margins. The internal architecture of the abscesses is heterogeneous, reflecting varying degrees of necrosis, fluid content, and inflammatory debris. A: Non-contrast phase; B: Arterial phase; C: Portal venous phase; D: Delayed phase.
Figure 4 Multiphase computed tomography images of a pyogenic liver abscess caused by Streptococcus species (white asterisks).
The cavity shows slightly irregular margins but homogeneous, non-septated internal architecture with rim enhancement. This contrasts with most Klebsiella pneumoniae liver abscesses, which typically demonstrate heterogeneous internal architecture. A: Non-contrast phase; B: Arterial phase; C: Portal venous phase; D: Delayed phase.
- Citation: Mai-Phan TA, Thai KP, Le KL, Pham TN, Tran MQ, Pham PC, Duong NNQ, Trinh MT, Le NK. Klebsiella pneumoniae as leading cause of pyogenic liver abscess: Three years study in Southern Vietnam. World J Hepatol 2026; 18(2): 113695
- URL: https://www.wjgnet.com/1948-5182/full/v18/i2/113695.htm
- DOI: https://dx.doi.org/10.4254/wjh.v18.i2.113695
