Copyright
©The Author(s) 2025.
World J Hepatol. Dec 27, 2025; 17(12): 113157
Published online Dec 27, 2025. doi: 10.4254/wjh.v17.i12.113157
Published online Dec 27, 2025. doi: 10.4254/wjh.v17.i12.113157
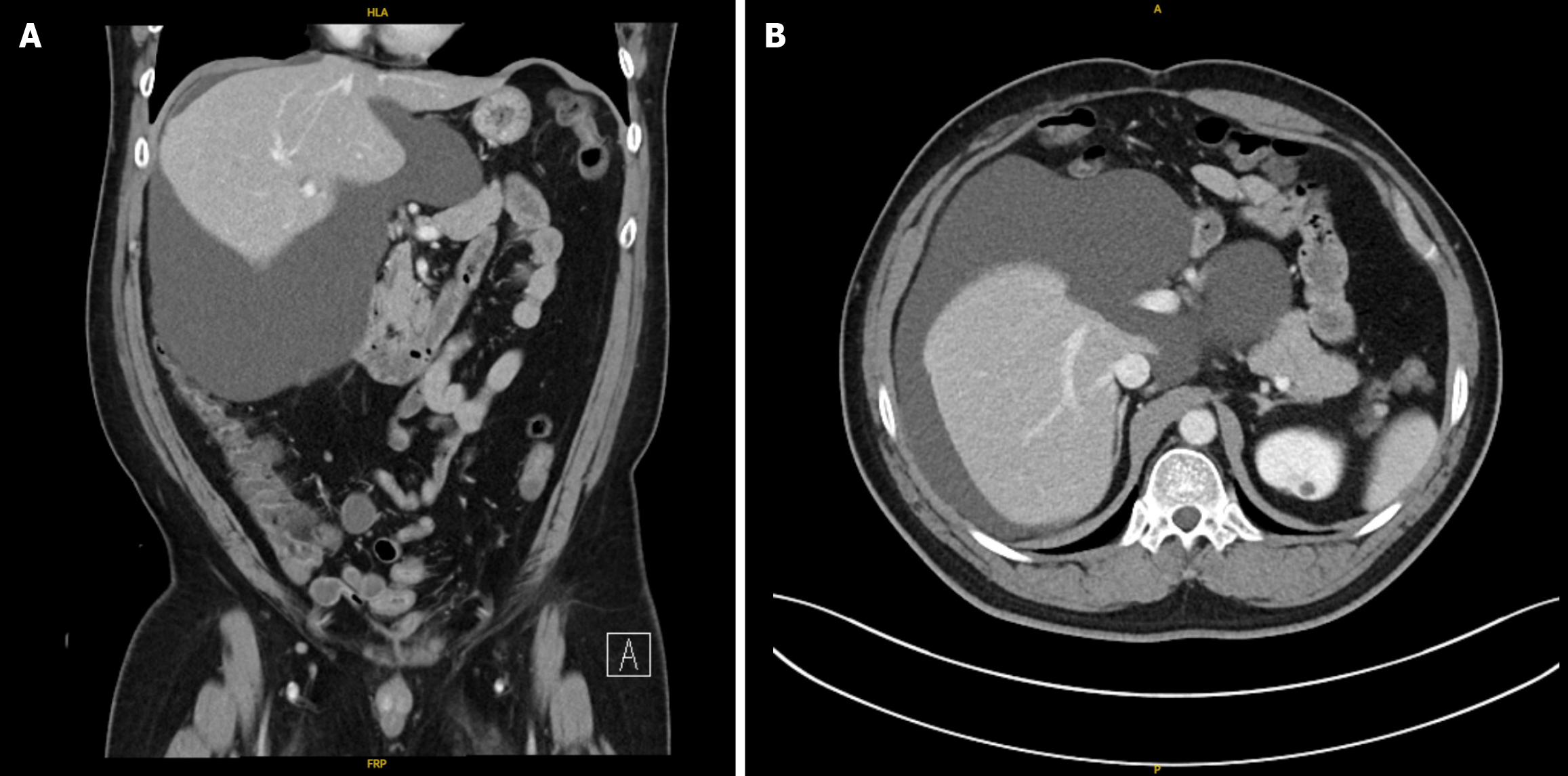
Figure 1 Initial computed tomography of the abdomen and pelvis.
A: Coronal cut; B: Axial cut.
Figure 2 Interventional radiology-guided peri-hepatic drain collection.
Figure 3 Interval imaging with drain in situ.
- Citation: Quek SXZ, Ching KWJ, Mangat K, Low HC, Ko SQ. Cerebrospinal fluid pseudocyst presenting as ascites: A case report. World J Hepatol 2025; 17(12): 113157
- URL: https://www.wjgnet.com/1948-5182/full/v17/i12/113157.htm
- DOI: https://dx.doi.org/10.4254/wjh.v17.i12.113157
