Copyright
©The Author(s) 2025.
World J Hepatol. Nov 27, 2025; 17(11): 110946
Published online Nov 27, 2025. doi: 10.4254/wjh.v17.i11.110946
Published online Nov 27, 2025. doi: 10.4254/wjh.v17.i11.110946
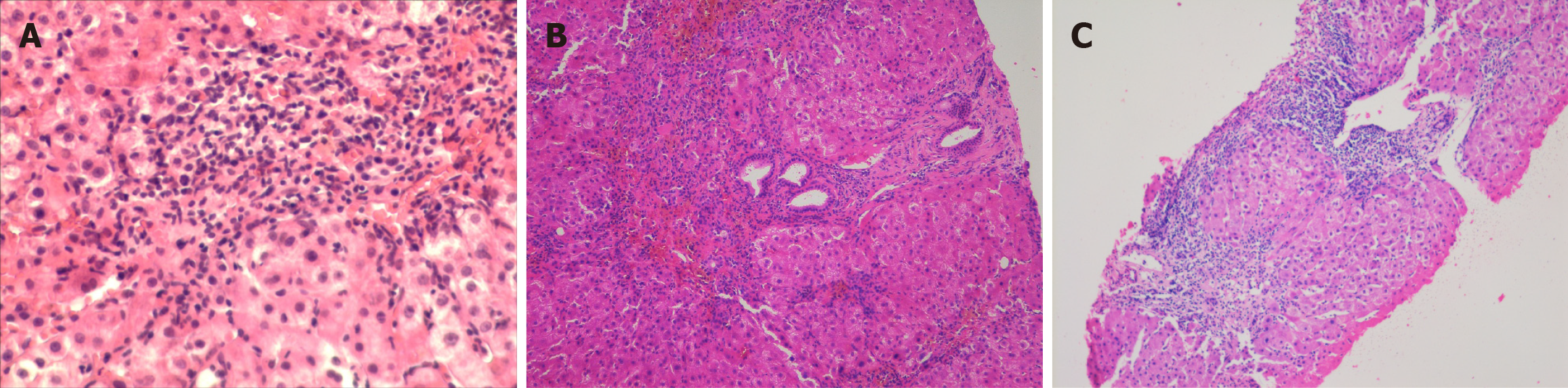
Figure 1 Drug-induced autoimmune-like hepatitis cases from cyproterone acetate, nitrofurantoin, levofloxacin.
A: A 55-year-old male developed drug-induced autoimmune-like hepatitis (DI-ALH) following treatment with cyproterone acetate. Liver histology demonstrated intense lymphoplasmacytic inflammatory infiltrates and marked interface hepatitis. The patient was treated with corticosteroids for one year, achieving sustained biochemical remission. No relapse was observed during a two-year follow-up period after therapy discontinuation of therapy; B: A 70-year-old female developed DI-ALH following two years of nitrofurantoin therapy. Liver histology showed intense lymphoplasmacytic inflammatory infiltrates, bridging fibrosis, and early parenchymal nodularity. The patient was treated with corticosteroids for six months, achieving sustained biochemical remission. No relapse occurred during a three-year follow-up period after therapy discontinuation; C: A 68-year-old male developed DI-ALH following treatment with levofloxacin. Histological examination of the liver revealed findings consistent with active liver cirrhosis, characterized by intense lymphoplasmacytic inflammatory infiltrates and interface hepatitis. The patient was treated with a combination of corticosteroids and azathioprine for one year, resulting in sustained biochemical remission. No relapse was observed during a four-year follow-up period after therapy discontinuation.
- Citation: Bessone F, Bjornsson ES. Autoimmune-like hepatitis induced by drugs: Still many unanswered questions. World J Hepatol 2025; 17(11): 110946
- URL: https://www.wjgnet.com/1948-5182/full/v17/i11/110946.htm
- DOI: https://dx.doi.org/10.4254/wjh.v17.i11.110946
