Copyright
©The Author(s) 2025.
World J Hepatol. Nov 27, 2025; 17(11): 110050
Published online Nov 27, 2025. doi: 10.4254/wjh.v17.i11.110050
Published online Nov 27, 2025. doi: 10.4254/wjh.v17.i11.110050
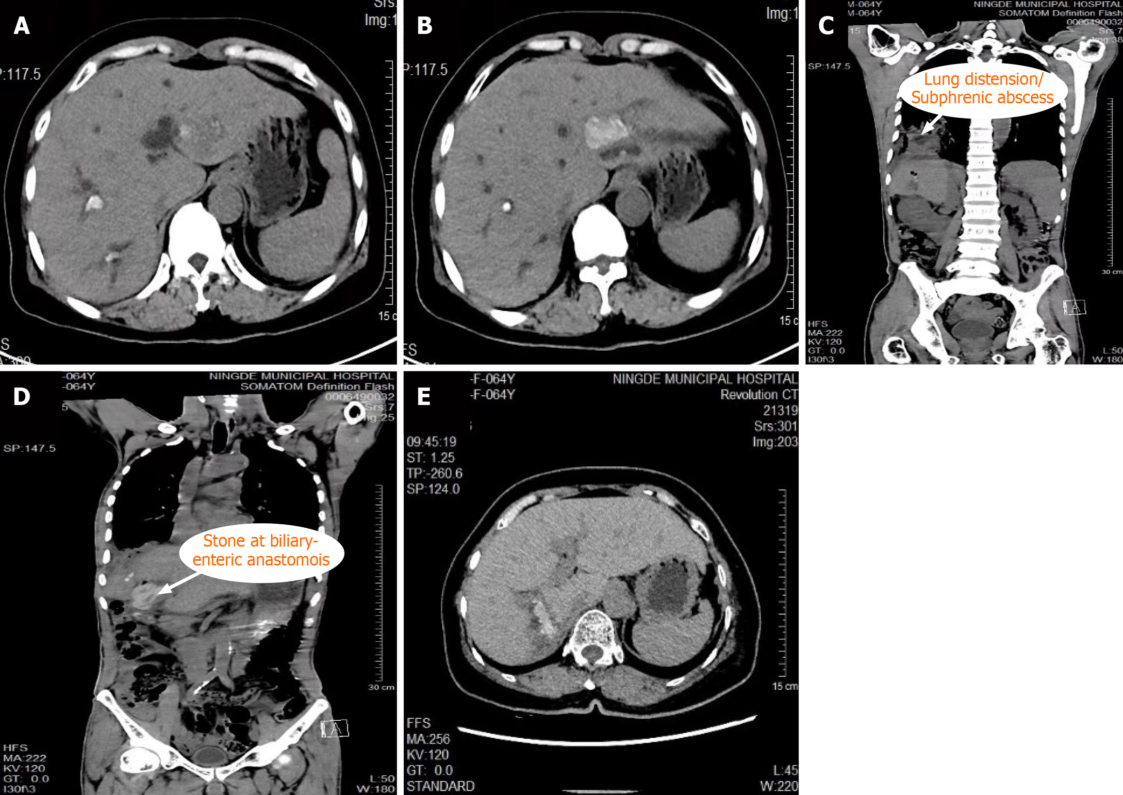
Figure 1 Preoperative images of selected cases with complex hepatolithiasis.
A and B: Preoperative axial and coronal computed tomography (CT) scans showing diffuse intrahepatic biliary stones in the left and right hepatic lobes; C: CT scan demonstrating lung expansion with subphrenic abscess secondary to recurrent cholangitis; D: CT scan showing a retained stone at the site of prior biliary-enteric anastomosis; E: CT scan revealing severe intrahepatic bile duct dilatation accompanied by parenchymal atrophy.
Figure 2 Intraoperative and postoperative images of selected cases with hepatolithiasis.
A: Endoscopic view of the laparoscopic trocar insertion site; B: Adhesiolysis along the liver capsule to expose the hepatic hilum; C: Dense adhesion between the liver surface and diaphragm, requiring meticulous dissection; D: Dissection of a dilated bile duct using Laennec’s capsule as an anatomical landmark; E: Placement of iodine-soaked gauze around the anastomosis to prevent intra-abdominal contamination; F: Longitudinal incision of the biliary stricture along its axis; G: Suturing of the incised stricture to restore biliary patency and ensure adequate drainage; H: Exposure of a stenotic bile duct following adhesiolysis; I: Intraoperative placement of a T-tube through the revised biliary-enteric anastomosis; J: Postoperative computed tomography confirming T-tube positioning and biliary decompression; K: Postoperative computed tomography confirming complete stone clearance and hepatic parenchymal integrity; L: Partial resection of liver segments 4b and 5 to access the dilated bile duct; M: Resection of liver segments 4b and 5 to expose the stenotic bile duct; N: Choledochoscopic basket extraction of impacted stones under direct visualization; O: Intraoperative ultrasound localization of stones and adjacent hepatic veins.
- Citation: Lin DX, Zhuo XB, Chang GJ, Lei WD, Huang J, Zhang Y, Qiu ZJ, Zhang SY. Laparoscopic vs open surgery for complex hepatolithiasis: A retrospective comparative study. World J Hepatol 2025; 17(11): 110050
- URL: https://www.wjgnet.com/1948-5182/full/v17/i11/110050.htm
- DOI: https://dx.doi.org/10.4254/wjh.v17.i11.110050
