BPG is committed to discovery and dissemination of knowledge
Basic Study Open Access
Copyright: ©Author(s) 2026. This article is an open access article distributed under the terms and conditions of the Creative Commons Attribution-NonCommercial (CC BY-NC 4.0) license. No commercial re-use. See permissions. Published by Baishideng Publishing Group Inc.
World J Gastroenterol. Apr 21, 2026; 32(15): 115995
Published online Apr 21, 2026. doi: 10.3748/wjg.v32.i15.115995
Wuda granules target estrogen receptors and modulate gut microbiota to alleviate postoperative ileus: A multi-omics perspective
Tao Wang, Wen-Jun Xiong, Li-Jie Luo, Jin Li, Yao-Hui Peng, Yan Chen, Hai-Ping Zeng, Yang Yu, Hai-Peng Tang, Wei Wang, Department of Gastrointestinal Surgery, The First Affiliated Hospital of Guangzhou University of Chinese Medicine, Guangzhou 510405, Guangdong Province, China
Tao Wang, Wen-Jun Xiong, Li-Jie Luo, Jin Li, Yao-Hui Peng, Yan Chen, Hai-Ping Zeng, Yang Yu, Hai-Peng Tang, Wei Wang, Guangdong Clinical Research Academy of Chinese Medicine, Guangzhou 510405, Guangdong Province, China
Yi-Hua Xu, Southern Medical University Hospital of Integrated Traditional Chinese and Western Medicine, Guangzhou 510315, Guangdong Province, China
Yang-Hui Ou, Hong-Liang Yao, Guangdong Key Laboratory of Animal Conservation and Resource Utilization, Institute of Zoology, Guangdong Academy of Sciences, Guangzhou 510260, Guangdong Province, China
Fei Wang, Changshan Hospital of Traditional Chinese Medicine, Quzhou 324200, Zhejiang Province, China
ORCID number: Wen-Jun Xiong (0000-0002-0245-997X); Hai-Ping Zeng (0000-0002-4730-711X); Hong-Liang Yao (0000-0002-0795-2878); Wei Wang (0000-0002-8515-7060).
Co-corresponding authors: Hong-Liang Yao and Wei Wang.
Author contributions: Wang T, Yao HL, and Wang W drafted the manuscript; Wang T, Tang HP, and Wang F performed the visualization; Wang T, Ou YH, Xiong WJ, Luo LJ, Tang HP, and Wang W conducted the methodology; Wang T, Xu YH, Ou YH, Li J, Zeng HP, and Wang W performed the investigation; Li J, Xu YH, and Wang W contributed to the formal analysis; Peng YH and Chen Y performed the validation; Yu Y conducted the data curation; Yao HL and Wang W contributed to the conceptualization and supervision equally as co-corresponding authors; Wang W performed the manuscript review and editing; all authors have read and approved the final version of the manuscript.
Supported by National Natural Science Foundation of China, No. 82205109 and No. 82304895; Youth Science and Technology Talent Cultivation Program 2025-2026 of Guangdong Association for Science and Technology, No. SKXRC2025212; Guangzhou Science and Technology Bureau Basic and Applied Basic Research Project, No. 2025A04J3690; Research Project of Guangdong Provincial Bureau of Traditional Chinese Medicine, No. 20261103; Young and Middle-aged Backbone Cultivation Project of the First Affiliated Hospital of Guangzhou University of Chinese Medicine, No. 09005650055; Supporting Scientific Research Fund of the First Affiliated Hospital of Guangzhou University of Chinese Medicine, No. 09005647001; and Guangzhou Basic and Applied Basic Research Foundation, No. 2023A04J0461.
Institutional animal care and use committee statement: The study was reviewed and approved by the Institutional Ethical Committee for Animal Research of Institute of Zoology, Guangdong Academy of Science, No. GIZ20240408-02.
Conflict-of-interest statement: All the authors report no relevant conflicts of interest for this article.
ARRIVE guidelines statement: The authors have read the ARRIVE guidelines, and the manuscript was prepared and revised according to the ARRIVE guidelines.
Data sharing statement: Data supporting the findings of this study are available from the corresponding author upon request.
Corresponding author: Wei Wang, Department of Gastrointestinal Surgery, The First Affiliated Hospital of Guangzhou University of Chinese Medicine, Courtyard 16, Jichang Road, Guangzhou 510405, Guangdong Province, China. wangwei16400@163.com
Received: October 31, 2025
Revised: December 13, 2025
Accepted: February 6, 2026
Published online: April 21, 2026
Processing time: 166 Days and 22 Hours

Abstract
BACKGROUND

Postoperative ileus (POI) is a common postsurgical complication characterized by impaired gastrointestinal (GI) motility and inflammation. Wuda granules (WDG), derived from the classical simo decoction, have been clinically used to enhance intestinal motility, normalize bowel activity, relieve obstruction-related discomfort, and promote stool and gas elimination.

AIM

To investigate the therapeutic effects and underlying mechanisms of WDG in alleviating POI.

METHODS

A POI mice model was established by standardized intestinal manipulation. GI motility was assessed by measuring gastric emptying, intestinal transit, and serum levels of GI hormones. Histopathological injury, inflammatory cytokines, and intestinal barrier markers were evaluated. A multi-omics strategy was applied, including proteomics to identify WDG-regulated signaling pathways, 16S rRNA sequencing to characterize microbiota alterations, gas chromatography-tandem mass spectrometry to quantify gut microbial short-chain fatty acids, and molecular docking to predict interactions between WDG-derived compounds and estrogen receptors (ERs).

RESULTS

WDG significantly improved GI motility, restored the serum levels of cholecystokinin, gastrin and motilin, and ameliorated the pathological damage in the colon and small intestine. WDG suppressed intestinal inflammation and preserved epithelial barrier integrity by enhancing the expression of tight-junction proteins and reducing D-lactate levels. Proteomics analysis revealed that WDG modulated estrogen signaling-related proteins and pathways. WDG also rebalanced the gut microbiota, particularly enriching beneficial species such as Bacteroides acidifaciens and Parabacteroides goldsteinii, and increased the production of isovaleric acids. Furthermore, WDG upregulated the expression of tyrosine-protein kinase kit, anoctamin-1, neuronal nitric oxide synthase, and ER expression.

CONCLUSION

WDG alleviates POI by enhancing GI motility, normalizing hormones levels, suppressing inflammation, repairing barrier integrity, and modulating ERs, gut microbiota, and short-chain fatty acids, thereby highlighting a mechanistically relevant inflammation-estrogen-microbiota axis.

Key Words: Wuda granule; Postoperative ileus; Anti-inflammatory; Estrogen receptors; Gut microbiota

Core Tip: Postoperative ileus (POI) is a frequent postsurgical complication. This study shows that Wuda granules (WDG), derived from the classical formula simo decoction, alleviate POI through coordinated actions on inflammation, epithelial barrier repair, intestinal pacemaker function, and gut microbiota remodeling. Multi-omics analysis revealed that WDG activates estrogen receptor signaling and enriches beneficial bacterial species linked to isovaleric acid production. These findings identify an inflammation-estrogen-microbiota axis as a key mechanism, supporting the therapeutic potential of WDG for POI management.



INTRODUCTION

Postoperative ileus (POI), a common and major complication following abdominal surgery, is characterized by transient inhibition of coordinated gastrointestinal (GI) motility[1]. The pathogenesis of POI is multifactorial and involves intestinal manipulation, postoperative stress and adverse drug effects. Clinically, POI presents with abdominal distension, nausea, vomiting and cessation of flatus and defecation. On the basis of the anatomical location and underlying mechanisms, POI can be classified as paralytic ileus, mechanical obstruction (such as, adhesive ileus), or functional ileus. Epidemiological data suggest that the incidence of POI ranges from 10% to 27%[2]. Among patients undergoing elective colon resection, ileus was the most frequently observed complication, with an incidence of 11.8%[3]. POI substantially impairs patient recovery, increases the risk of complications, prolongs hospitalization and imposes a substantial economic burden on healthcare systems. The pathophysiological processes underlying POI consist of three overlapping phases: A neural phase, a hormonal-inflammatory phase, and a parasympathetic activation phase[4]. The existing strategies for managing POI include both non-pharmacological and pharmacological interventions. Enhanced recovery after surgery protocols, early mobilization, and laparoscopic surgery are associated with reduced incidence of POI[5]. Pharmacological agents such as prokinetic drugs, peripheral opioid receptor antagonists, and ghrelin receptor agonists have demonstrated variable efficacy[6]. However, clinical application of many of these agents is limited by variable efficacy, high costs, and the risk of adverse effects.

Local inflammatory responses triggered by surgical trauma are one of the main causes of prolonged POI. POI induces gut bacterial dysbiosis, which is characterized by a reduction in beneficial bacteria and an overgrowth of pathogenic species. These changes, in turn, trigger intestinal inflammation. Recent studies have demonstrated that modulation of the gut microbiota represents a promising strategy for prevention and treatment of POI through restoration of microbial homeostasis, enhancement of butyrate production, and improvement of intestinal motility[7]. Estrogen, through its receptor-mediated pathways, enhances intestinal epithelial barrier integrity, promotes mucosal healing, and suppresses the production of inflammatory cytokines, thereby contributing to the maintenance of normal GI motility. 17β-estradiol (E2) exerts significant protective effects on the small intestine following trauma-haemorrhage by downregulating the angiotensin II-angiotensin II type 1 receptor signaling pathway, thereby attenuating trauma-haemorrhage-induced intestinal inflammation[8]. Estrogen receptors (ERs), which belong to the nuclear receptor superfamily, are mainly classified as ERα and ERβ. ERβ contributes to the establishment of a beneficial gut microbiota profile, potentially providing protection against colitis and colorectal cancer[9]. In female mice, the ERβ status determines the composition of the intestinal microbiota and its responsiveness to dietary changes, underscoring its importance in dysbiosis mechanisms and therapeutic interventions[10]. ERβ is also essential for maintaining epithelial barrier integrity by upregulating tight-junction and structural proteins, while its deficiency results in disrupted colonic architecture[11,12].

The traditional Chinese prescription simo decoction was first documented by Yan Yong-He in the Southern Song Dynasty medical text “Jisheng Fang”. This formula derives its name from the method of grinding its four key ingredients, Aquilaria sinensis (Lour.) Spreng., Areca catechu L., Lindera aggregata (Sims) Kosterm., and Panax ginseng C.A. Mey., to extract their juice. In modern clinical practice, the indications for this preparation have been extended to include functional dyspepsia, intestinal obstruction, and related GI disorders. On the basis of this foundation, Wuda granules (WDG), formerly known as the Xiangbin prescription, were formulated with Areca catechu L., Lindera aggregata (Sims) Kosterm., Panax ginseng C.A. Mey, Prunus persica (L.) Batsch and Wurfbainia villosa (Lour.) Škorničk. and A.D. Poulsen. WDG retains the fundamental therapeutic effects of simo decoction while optimizing the formula to better address contemporary clinical needs. WDG has been clinically used to enhance intestinal motility, normalize bowel activity, relieve obstruction-related discomfort, and promote stool and gas elimination. In addition, it is administered perioperatively to support recovery of intestinal function[13-15]. WDG has demonstrated therapeutic potential in a rat model of POI by improving GI motility and reducing inflammation. It has been shown to significantly suppress neutrophil and macrophage infiltration, reduce interleukin (IL)-6 and C-reactive protein levels, and reduce CD68 and inducible nitric oxide synthase expression in the mesentery[16,17].

Although the pathogenesis of POI is becoming increasingly clear, its clinical burden remains heavy, and the existing treatment options are still insufficient. Given the limitations of existing pharmacological interventions, there is a growing interest in exploring traditional medicines with multi-target potential for complex conditions like POI are attracting increasing interest. This study evaluates the therapeutic effects of WDG and elucidates its mechanisms in a mouse model of POI, providing new insights into POI treatment and supporting the development of personalized postoperative care strategies.

MATERIALS AND METHODS
Preparation of WDG

WDG is composed of Areca catechu L. (Binglang) 500 g, Lindera aggregata (Sims) Kosterm. (Wuyao) 500 g, Panax ginseng C.A. Mey. (Renshen) 450 g, Prunus persica (L.) Batsch (Taoren) 500 g, and Wurfbainia villosa (Lour.) Škorničk. and A.D. Poulsen (Sharen) 300 g. The names of the herbs were verified through “The World Flora Online” (http://www.worldfloraonline.org). WDG was manufactured in 1000-g lots and packed in 10-g units[18]. Batch number 230501 was used in this study.

Animals

C57BL/6 male mice (age, 5-6 weeks; body weight, 20-22 g) were purchased from Zhuhai BesTest Bio-Tech Co. Ltd., and the animal experiments were approved by the Institutional Ethical Committee for Animal Research of Institute of Zoology, Guangdong Academy of Science, No. GIZ20240408-02 and conducted in accordance with the ARRIVE guidelines. The mice were housed in a specific pathogen-free animal breeding room (temperature, 23 ± 2 °C; humidity, 60% ± 10%) with a 12:12 hours light/dark cycle and had free access to food and water.

Experimental design

All mice were randomly assigned to five groups (n = 6): Sham group (0.9% NaCl), POI group (POI + 0.9% NaCl), WDG-L group (POI + WDG 375 mg/kg), WDG-M group (POI + WDG 750 mg/kg), and WDG-H group (POI + WDG 1500 mg/kg). Following surgical modelling, mice received intragastric administration of either 0.9% NaCl or the designated dose of WDG twice daily for 7 days. A computer-generated random sequence was used to randomly assign animals to each group, with body weight considered during allocation. Investigators responsible for the experimental procedures were blinded to group allocation throughout the study.

Surgical procedures

POI was induced by gentle manipulation of the small intestine. After a midline laparotomy under anesthesia, the small intestine, extending from the distal duodenum to the caecum, was carefully placed on sterile gauze. Using saline-moistened cotton swabs, the bowel was manipulated three times along its length without handling the mesentery. After repositioning the intestine, the abdominal wall was sutured, and the animals were placed on a heating pad for recovery. The entire procedure was completed within 10 minutes, in accordance with the method described by Jiang et al[17]. Mice were euthanized by intraperitoneal injection of pentobarbital sodium (150 mg/kg). No deaths or complications occurred during the modeling or treatment phases. All animals (n = 6 per group) were included in the final analyses; no animals were excluded from the study.

Measurement of the intestinal propulsion rate

Intestinal motility was evaluated by measuring the intestinal propulsion rate using the charcoal suspension method. Briefly, all mice were orally administered a charcoal suspension (5% activated charcoal in 10% gum arabic) at a dose of 200 μL/20 g of body weight. Thirty minutes after administration, the mice were euthanized, and the entire small intestine from the pylorus to the ileocaecal junction was carefully excised. The total length of the small intestine and the distance traveled by the leading edge of the charcoal suspension were measured. The intestinal propulsion rate was calculated as follows: Intestinal propulsion rate (%) = (distance traveled by charcoal suspension/total length of small intestine) × 100%.

Measurement of the gastric emptying rate

To assess gastric emptying, the stomach was carefully excised, gently blotted dry with filter paper, and weighed to obtain the total weight (stomach plus contents). The stomach was then opened along the greater curvature, and the gastric contents were thoroughly rinsed out using phosphate buffered saline. After gently blotting the tissue again with filter paper, the empty stomach was weighed to determine the net weight (tissue only). The gastric emptying rate was calculated as follows: Gastric emptying rate (%) = [(total weight - net weight)/total weight] × 100%.

Histological analysis

Tissue samples were fixed in 4% paraformaldehyde for 24 hours, dehydrated through a graded ethanol series, infiltrated with paraffin and embedded in wax. Paraffin sections (4 μm) were prepared using a microtome and stained with hematoxylin and eosin and Alcian blue-periodic acid Schiff according to the manufacturer’s instructions (Solarbio, Beijing, China). Histopathological evaluation and imaging were performed using an EVOS M7000 microscope (Thermo Fisher Scientific, MA, United States).

Immunohistochemical analysis

Immunohistochemical staining was performed to detect expression of tyrosine-protein kinase kit (c-Kit), neuronal nitric oxide synthase (nNOS), anoctamin-1 (ANO1), and ER. After dewaxing and gradual rehydration, 4-μm paraffin sections were subjected to heat induced antigen retrieval. Subsequently, endogenous peroxidase activity was blocked, and the sections were incubated with primary antibodies, which was followed by a two-step detection system and color development using a DAB chromogenic kit. Finally, the slides were counterstained, dehydrated, cleared, and mounted for microscopic examination. Imaging was performed using an EVOS M7000 microscope (Thermo Fisher Scientific, MA, United States).

Enzyme-linked immunosorbent assay

Supernatants from tissue lysates were collected to assess protein levels of inflammatory cytokines IL-1β, IL-6, tumor necrosis factor (TNF)-α and ERα and ERβ using commercially available kits according to the manufacturer’s instructions (Jianglai Biology, Shanghai, China).

Reverse transcription-quantitative polymerase chain reaction

Total RNA from colon tissue or cell samples was extracted using the Super FastPure Cell RNA Isolation Kit (Vazamy, China). RNA was then reverse-transcribed to complementary DNA using the HiScript II Q RT SuperMix kit (Vazamy, China) with the primers listed in Table 1. Amplification was performed using HiScript Q RT SuperMix for qPCR (Vazamy, China). Relative mRNA expression was calculated by the relative quantification method using the 2-ΔΔCT equation.

Table 1 Primer sequences used for reverse transcription-quantitative polymerase chain reaction.
Genes
Sequence (5’ to 3’)
β-ACTINForwardGGCTGTATTCCCCTCCATCG
ReverseCCAGTTGGTAACAATGCCATGT
TJP-1ForwardGCCGCTAAGAGCACAGCAA
ReverseTCCCCACTCTGAAAATGAGGA
OccludinForwardTTGAAAGTCCACCTCCTTACAGA
ReverseCCGGATAAAAAGAGTACGCTGG
Measurement of D-lactic acid

The serum levels of D-lactic acid were determined using a commercial D-lactic acid assay kit based on the WST-8 method (Beyotime, Shanghai, China), in accordance with the manufacturer’s instructions.

Tandem mass tag quantitative proteomics analysis

Tandem mass tag quantitative proteomics analysis was performed to characterize differential protein expression between the POI model group and the WDG-treated groups. Sample preparation, peptide labeling, high-resolution liquid chromatography-tandem mass spectrometry acquisition, and data processing were performed by Shanghai Genechem Co., Ltd. using standardized procedures comparable to those described previously[19]. Protein identification and quantification were performed using the Mus musculus reference proteome.

Molecular docking

Molecular docking was performed using the AutoDock program to predict the binding interactions between WDG-derived compounds and target proteins. Docking calculations were performed with the default parameters using the Lamarckian genetic algorithm, and 100 docked conformations were generated for each ligand-receptor pair. The lowest-energy binding conformations were selected for subsequent analysis.

Western blotting

Western blot analysis was performed as described previously by Wang et al[20]. Briefly, tissues were homogenized in ice-cold lysis buffer containing protease inhibitors, and supernatants were collected after centrifugation (12000 × g for 10 minutes at 4 °C). Protein samples from colonic tissues were separated on 4%-12% sodium-dodecyl sulfate gel electrophoresis gels, transferred to polyvinylidene fluoride membranes (100 V, 2 hours), blocked with 5% nonfat milk (1 hour, room temperature) and incubated overnight at 4 °C with primary antibodies, followed by incubation with horseradish peroxidase-conjugated secondary antibodies (1 hour, room temperature). Bands were visualized using TanonTM Highsig ECL Western Blotting Substrate (Tanon, Shanghai, China).

Determination of gut microbiota

Fecal samples were collected from each group of mice and immediately stored at -80 °C for further analysis. To evaluate the effects of WDG on the gut microbiota, 16S rRNA gene sequencing was performed. Total genomic DNA was isolated from fecal samples using standard protocols. The V4 hypervariable region of the bacterial 16S rRNA gene was amplified using primers 515F and 806R with Phusion® High-Fidelity PCR Master Mix with GC Buffer (New England Biolabs, MA, United States). The polymerase chain reaction (PCR) products were purified using magnetic beads and quantified using microplate reader. Equal amounts of PCR amplicons from each sample, based on the DNA concentration, were pooled and mixed thoroughly. Next, 2% agarose gel electrophoresis was used to verify amplification, and the target bands were excised and purified using a gel extraction kit (Qiagen, Germany). Sequencing libraries were constructed using the TruSeq® DNA PCR-Free Sample Preparation Kit (Illumina, CA, United States). The quality and concentration of the libraries were assessed using Qubit fluorometry and quantitative PCR. Qualified libraries were sequenced on the Illumina NovaSeq 6000 platform. All downstream data processing and microbiota analyses were conducted using the Metware Cloud platform (https://cloud.metware.cn/).

Determination of short-chain fatty acid levels in fecal contents

Fecal samples (20 mg) were homogenized in 1 mL of 0.5% phosphoric acid with a steel bead, then vortexed for 10 minutes and sonicated for 5 minutes. After centrifugation (12000 rpm, 10 minutes, 4 °C), 100 μL of the supernatant was mixed with 500 μL of methyl tert-butyl ether containing internal standards, followed by vortexing and sonication. The mixture was centrifuged again under the same conditions, and the final supernatant was used for gas chromatography-tandem mass spectrometry analysis. Short-chain fatty acid (SCFA) quantification was performed using an Agilent 7890B GC coupled with a 7000D MS system equipped with a DB-FFAP column. The oven temperature was programmed from 50 °C to 220 °C at 18 °C/minute, and the system was operated in MRM mode with helium as the carrier gas.

Statistical analysis

All data are presented as mean ± SD. Before hypothesis testing, the normality of residuals was assessed using the Shapiro-Wilk test, and the homogeneity of variances across groups was evaluated using Levene’s test. When both assumptions were met, one-way analysis of variance followed by Tukey’s post hoc test was performed for multiple-group comparisons.

RESULTS
WDG improved GI motility in POI mice

To evaluate the therapeutic effect of WDG on GI motility, a mouse model of POI was established by surgical manipulation, which was followed by oral administration of varying doses of WDG. Regarding body-weight changes (Figure 1A), the sham group showed a steady increase. The POI group showed a slight reduction initially, which was followed by only a slow recovery. In contrast, the WDG-treated groups exhibited more rapid weight recovery, with trends approaching those observed in the sham group. For gastric emptying, the sham group exhibited the highest gastric emptying rate (approximately 50%). In contrast, the POI group showed a significant reduction in gastric emptying, which reflected POI-induced impairment of gastric motility. Varying doses of WDG significantly improved gastric emptying in comparison with the POI group, suggesting that WDG promotes recovery of gastric function (Figure 1B). Figure 1C and D show representative images showing charcoal suspension propulsion along the small intestine, with red arrows indicating the leading edge. The intestinal propulsion rate was the highest in the sham group but was significantly lower in the POI group. In contrast, WDG-treated groups exhibited significantly enhanced intestinal propulsion. As shown in Figure 1E-G, the serum levels of key GI motility-related hormones were assessed by enzyme-linked immunosorbent assay analysis. The POI group showed significantly decreased levels of motilin (MTL), gastrin, and cholecystokinin, consistent with impaired GI motility and reduced digestive function. Conversely, WDG administration restored these hormone levels, with the POI + WDG-H group showing levels comparable to those of the sham group. These results suggest that WDG may exert its pro-motility effects through upregulation of GI hormones.

Figure 1
Figure 1 Wuda granules improved gastrointestinal motility in postoperative ileus mice. A: Body-weight change; B: Gastric emptying rate; C and D: Statistical results and representative images of charcoal powder propulsion distance in the small intestine; E-G: Serum levels of cholecystokinin, gastrin, and motilin. Data are presented as mean ± SD (n = 6). aP < 0.05 vs postoperative ileus, bP < 0.01 vs postoperative ileus, and cP < 0.001 vs postoperative ileus. POI: Postoperative ileus; WDG: Wuda granules; MTL: Motilin; GAS: Gastrin; CCK: Cholecystokinin.
Protective effects of WDG on intestinal tissue damage and inflammatory response in POI mice

Histological examination (Figure 2A and B) of hematoxylin and eosin-stained sections revealed significant pathological alterations in the small intestine and colon of POI mice, including disrupted villous architecture, mucosal damage, and inflammatory cell infiltration; the lesions were relatively milder in the colon. These pathological changes were markedly alleviated in the WDG-treated groups, indicating that WDG had a protective effect on intestinal tissue structure. Inflammatory cytokines play key roles in the pathogenesis of POI. As shown in Figure 2C-J, the protein levels of IL-6, IL-1β, TNF-α, and myeloperoxidase increased significantly in both the colon and small intestine tissues of POI mice. However, treatment with WDG markedly reduced the levels of these inflammatory mediators, indicating the anti-inflammatory properties of WDG.

Figure 2
Figure 2 Effects of Wuda granules on histopathological changes and inflammatory cytokine levels in the colon and small intestine of postoperative ileus mice. A and B: Hematoxylin and eosin-stained images of the small intestine and colon tissues (magnification: 200 ×); C-F: Enzyme-linked immunosorbent assay analysis of interleukin (IL)-6, IL-1β, tumor necrosis factor-α, and myeloperoxidase expression in colon tissue; G-J: Enzyme-linked immunosorbent assay analysis of IL-6, IL-1β, tumor necrosis factor-α, and myeloperoxidase expression in small intestine tissue. aP < 0.05 vs postoperative ileus, bP < 0.01 vs postoperative ileus, and cP < 0.001 vs postoperative ileus. POI: Postoperative ileus; WDG: Wuda granules; IL: Interleukin; TNF-α: Tumor necrosis factor-α; MPO: Myeloperoxidase.
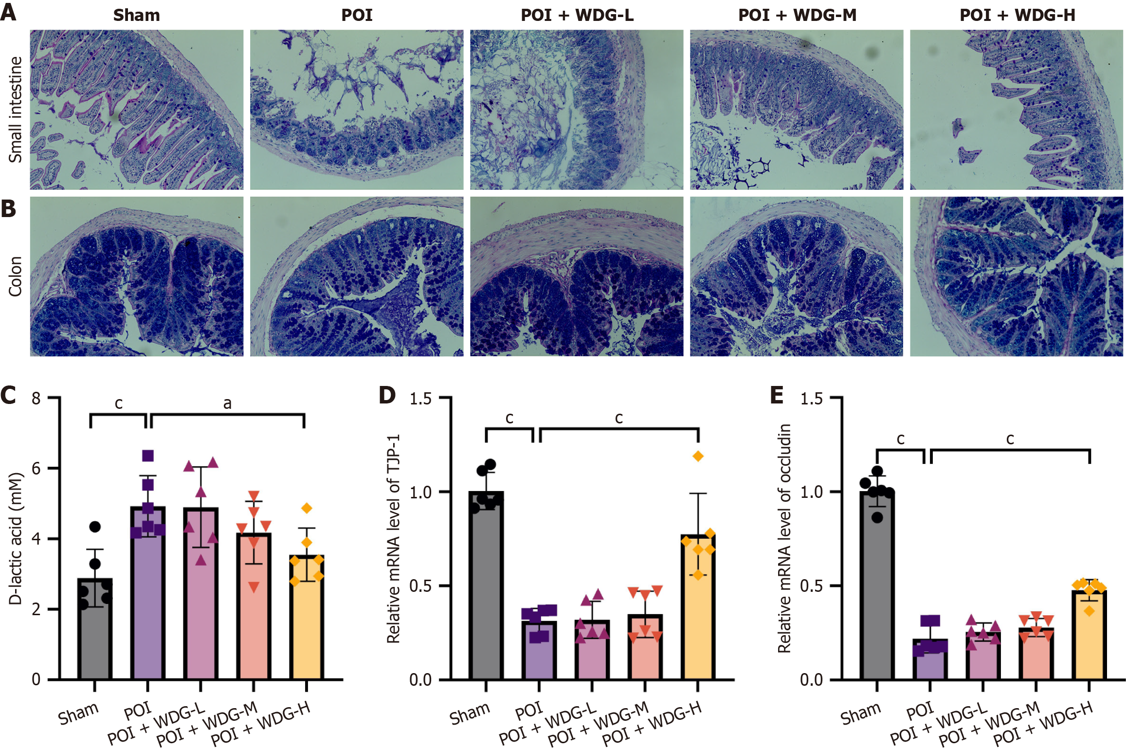
WDG improves intestinal barrier structure and function in POI mice

Alcian blue-periodic acid Schiff staining revealed decreased goblet-cell numbers and reduced mucus production in the intestinal tissues of POI mice, indicating compromised mucus-barrier integrity (Figure 3A and B). Tight-junction protein (TJP)-1 and occludin are key TJPs that maintain intestinal epithelial integrity and regulate barrier permeability. In addition, D-lactic acid is produced by gut bacteria during carbohydrate fermentation. The serum levels of D-lactic acid are typically very low. When the intestinal barrier is damaged, D-lactic acid can translocate into the circulation, resulting in elevated serum levels. Concurrently, the TJPs TJP-1 and occludin were markedly downregulated, reflecting increased intestinal permeability and disruption of epithelial barrier integrity. WDG treatment effectively reversed these pathological alterations: Goblet-cell numbers were restored, serum D-lactic acid levels decreased, and TJP-1 and occludin expression increased significantly (Figure 3C-E). These findings suggest that WDG protects intestinal barrier structure and function in POI mice by enhancing mucosal defense through improved goblet-cell activity and reinforcement of tight junctions.

Figure 3
Figure 3 Wuda granules improve intestinal barrier structure and function in postoperative ileus mice. A and B: Alcian blue-periodic acid Schiff staining of the small intestine and colon (magnification: 200 ×); C: Serum D-lactic acid levels; D and E: Relative mRNA expression of tight-junction protein-1 and occludin in small-intestinal tissue, as determined by reverse transcription-quantitative polymerase chain reaction. Data are presented as mean ± SD (n = 6). aP < 0.05 vs postoperative ileus, and cP < 0.001 vs postoperative ileus. HE: Hematoxylin and eosin; POI: Postoperative ileus; WDG: Wuda granules; TJP-1: Tight-junction protein-1.
WDG modulates POI-related proteins through the estrogen signaling pathway

To investigate the potential molecular mechanisms underlying the therapeutic effects of WDG on POI, proteomics analysis was performed on intestinal tissues from POI mice and those treated with WDG. The Venn diagram (Figure 4A) revealed 1843 proteins common to both the WDG-treated and model groups, with 348 proteins uniquely present in each group. The volcano plot (Figure 4B) identified multiple proteins that were significantly upregulated or downregulated. The heatmap (Figure 4C) demonstrated distinct expression patterns of differentially expressed proteins in the WDG-treated and POI groups. In the heatmap, red represents upregulated proteins, while blue represents downregulated proteins, with the color intensity corresponding to the magnitude of log2-transformed expression changes. Clustering analysis clearly separated the WDG-treated samples from the POI samples, indicating that WDG substantially reverses POI-induced protein dysregulation. Gene Ontology enrichment analysis (Figure 4D) revealed that the differentially expressed proteins were primarily enriched in the male-specific lethal complex, chloroplast envelope, and endosomal sorting complex required for transport I complex within the cellular component category. Within the biological process category, significant enrichment was observed in the tetrapyrrole biosynthetic process, chlorophyll metabolic process, and protein import into the mitochondrial intermembrane space. For molecular function, the top enriched terms included 2-alkenal reductase activity, porphobilinogen synthase activity, and hydroxymethylbilane synthase activity. Kyoto Encyclopedia of Genes and Genomes pathway analysis (Figure 4E) revealed significant enrichment of the estrogen signaling pathway, indicating a potential key mechanism through which WDG exerted its protective effects. Additional pathways, such as porphyrin and chlorophyll metabolism, protein processing in the endoplasmic reticulum, and nitrogen metabolism, were also implicated in the regulation of intestinal barrier function. These findings suggest that WDG may alleviate POI through multi-target and multi-pathway regulation, with particular involvement of the estrogen signaling pathway. Previous studies have also shown that estrogen signaling enhances epithelial repair and reduces inflammatory responses[21-23].

Figure 4
Figure 4 Proteomics analysis of Wuda granules in colon tissues of postoperative ileus mice. A: Venn diagram showing differentially expressed proteins shared between the postoperative ileus model and Wuda granules-treated groups; B: Volcano plot indicating significantly upregulated and downregulated proteins (red dots) with |log2 fold changes| > 1 and P < 0.05; C: Heatmap illustrating the expression profiles of differentially expressed proteins across samples, with red to blue indicating high to low abundance; D: Gene Ontology enrichment analysis of differential proteins categorized by cellular component, molecular function, and biological process; E: Kyoto Encyclopedia of Genes and Genomes pathway enrichment analysis of differentially expressed proteins. WDG: Wuda granules.
WDG regulates enteric pacemaker-hormonal-neuronal protein in POI mice

Key molecular mediators include c-Kit, nNOS, ER, and ANO1, which respectively indicate the functional status of interstitial cells of Cajal (ICCs), inhibitory enteric neurons, estrogen-mediated signaling, and smooth muscle excitability[24-27]. As shown in Figure 5, WDG upregulated the expression of c-Kit and ANO1, indicating potential restoration of ICC-mediated pacemaker activity. The increased expression of nNOS implies recovery of inhibitory neuronal signaling, potentially alleviating muscle hypercontractility. Moreover, enhanced ER expression suggests that WDG may activate ER pathways, contributing to anti-inflammatory responses and mucosal repair. ERβ expression was markedly suppressed in the small intestine following POI induction, whereas ERα exhibited a slight, non-significant decrease (Figure 5B). Notably, treatment with medium and high doses of WDG significantly restored ERβ levels, suggesting that the therapeutic effects of WDG may be mediated, at least in part, via ERβ-dependent signaling pathways. Given the established role of ERβ in maintaining epithelial integrity and modulating intestinal inflammation, its upregulation by WDG is likely to contribute to mucosal protection and functional recovery during POI.

Figure 5
Figure 5 Effects of Wuda granules on the expression of the enteric pacemaker-hormonal-neuronal regulation axis in the small intestine of postoperative ileus mice. A: Representative immunohistochemical staining of tyrosine-protein kinase kit, neuronal nitric oxide synthase, estrogen receptor (ER), and anoctamin-1 in small-intestinal tissues from different groups (magnification: 200 ×); B: Enzyme-linked immunosorbent assay analysis of ERα and ERβ protein levels in the small intestine (n = 6); C: Western blot analysis of tyrosine-protein kinase kit, neuronal nitric oxide synthase, and ER protein levels in intestinal tissues; D: Quantification of protein expression levels normalized to 3-phosphate dehydrogenase (n = 4). Data are presented as mean ± SD. aP < 0.05 vs postoperative ileus, and cP < 0.001 vs postoperative ileus. POI: Postoperative ileus; WDG: Wuda granules; c-Kit: Tyrosine-protein kinase kit; nNOS: Neuronal nitric oxide synthase; ER: Estrogen receptor; ANO1: Anoctamin-1; GAPDH: 3-phosphate dehydrogenase.

Ultra performance liquid chromatography-triple quadrupole-tandem mass spectrometry and liquid chromatography-multiple reaction monitoring mass spectrometry were employed to quantify the main chemical components of WDG, including four alkaloids (arecaidine, arecoline, norisoboldine, and boldine) and eight additional components, namely ginsenoside Rc, ginsenoside Rd, ginsenoside Rg1, quercetin, quercitrin, isoquercitrin, linderane, arecoline, norisoboldine, and amygdalin[18,28]. Molecular docking was performed to evaluate the binding affinities of the main chemical constituents in WDG with ERs ERα (PDB ID: 1a52) and ERβ (PDB ID: 5toa). As summarized in Table 2, most compounds exhibited favourable binding energies (< -5.0 kcal/mol), suggesting potential interactions with ERs. Among them, linderane and quercetin showed the strongest affinities for both ERα (-8.7 kcal/mol and -8.4 kcal/mol, respectively) and ERβ (-8.9 kcal/mol), indicating that they may act as key ligands modulating estrogenic signaling. Quercitrin also displayed relatively high binding affinity with ERα (-8.2 kcal/mol) but a weaker interaction with ERβ (-6.3 kcal/mol). Isoquercetin, norisoboldine and amygdalin showed moderate binding strengths (-7.5 kcal/mol to -7.3 kcal/mol), while boldine exhibited slightly weaker affinity (-6.8 kcal/mol and -5.0 kcal/mol). In contrast, arecaidine and arecoline demonstrated only weak binding (-5.6 kcal/mol to -0.7 kcal/mol) and ginsenosides (Rg1, Rd, Rc) failed to establish stable binding. The binding conformations (Figure 6) further revealed that these compounds interact with ER pockets through multiple hydrogen bonds and hydrophobic interactions.

Figure 6
Figure 6 Molecular docking of representative chemical constituents from Wuda granules with estrogen receptors. A: Binding modes of linderane, quercetin, and quercitrin with estrogen receptor α (PDB ID: 1a52); B: Binding modes of linderane and quercetin with estrogen receptor β (PDB ID: 5toa). Electrostatic surface representations (left), binding pocket interactions (middle), and two-dimensional interaction diagrams (right) are shown. The interaction types are indicated by different colors: Hydrogen bonds, yellow; hydrophobic interactions, blue; and salt bridges, orange. ER: Estrogen receptor.
Table 2 Molecular docking results summary.
Chemical componentAffinity (kcal/mol)
ERα (1a52)
ERβ (5toa)
Linderane-8.7-8.9
Quercetin-8.4-8.9
Quercitrin-8.2-6.3
Isoquercetin-7.5-6
Norisoboldine-7.5-5.4
Amygdalin-7.3-5.4
Boldine-6.8-5
Arecaidine-5.6-3
Arecoline-5.2-0.7
Ginsenoside Rg1> 0> 0
Ginsenoside Rd> 0> 0
Ginsenoside Rc> 0> 0
WDG regulates gut microbiota dysbiosis in POI mice

Recent studies have shown that traditional Chinese medicine may exert therapeutic effects on GI motility by modulating the gut microbiota[29] and its associated metabolites[30]. To evaluate the regulatory effects of WDG on the gut microbiota in POI mice, fecal samples were analyzed using 16S rRNA gene sequencing. α-diversity indices (Figure 7A-C) showed a slight reduction in richness (Chao1), diversity (Shannon) and evenness (Simpson) in the POI group, while WDG treatment produced slight decreases in these indices that were not statistically significant. Principal coordinates analysis (Figure 7D) revealed distinct microbial community structures among groups, which was further confirmed by the Bray-Curtis Anosim test (Figure 7E). Linear discriminant analysis (Figure 7F) identified several key microbial taxa that were significantly altered between POI and WDG groups (linear discriminant analysis score > 4). At the genus level (Figure 7G), significant differences in gut microbial composition were observed among the three groups. The POI group showed a marked reduction in several putatively beneficial genera, including Bacteroides, Muribaculum, Parabacteroides, Ligilactobacillus and unidentified Muribaculaceae. At the species level (Figure 7H), key probiotic species such as Bacteroides acidifaciens (B. acidifaciens), Parabacteroides goldsteinii (P. goldsteinii), and Muribaculum intestinale were significantly decreased in the POI group but showed substantial enrichment following WDG treatment. These findings were further validated by the relative-abundance analyses in Figure 7I and J. Notably, B. acidifaciens emerged as a dominant species in the POI + WDG group. Increased abundance of B. acidifaciens has been associated with enhanced intestinal barrier function and attenuated inflammatory responses[31,32].

Figure 7
Figure 7 Effects of Wuda granules on the intestinal flora in postoperative ileus mice. A-C: Α-diversity indices: Chao1, Shannon, and Simpson; D: Principal coordinates analysis plot based on the Bray-Curtis distance showing β-diversity differences among groups; E: Bray-Curtis Anosim test validating community structure differences; F: Linear discriminant analysis revealing significantly different taxa between postoperative ileus and Wuda granules groups (linear discriminant analysis score > 3); G and H: Gut microbiota composition at the genus and species levels; I and J: Relative abundance of key differential genera (Parabacteroides, Bacteroides) and species (Parabacteroides goldsteinii, Bacteroides acidifaciens). aP < 0.05 vs postoperative ileus. POI: Postoperative ileus; WDG: Wuda granules; PCoA: Principal coordinates analysis; P. goldsteinii: Parabacteroides goldsteinii; B. acidifaciens: Bacteroides acidifaciens.
WDG modulates fecal SCFAs levels in POI mice

Changes in fecal SCFA levels reflect gut microbial metabolic activity and intestinal homeostasis[33]. As shown in Figure 8A-G, the levels of multiple SCFAs were reduced in POI mice, indicating diminished microbial fermentation and metabolic activity. Treatment with WDG increased the levels of multiple SCFAs, including acetic acid, butyric acid and isovaleric acid (IVA), with IVA levels showing a significant increase. SCFAs are known to provide energy to colonic epithelial cells, regulate luminal pH, enhance barrier integrity, and exhibit anti-inflammatory effects[34-36]. These findings suggest that WDG may alleviate POI-induced gut dysfunction by promoting the production of beneficial microbial metabolites, thereby restoring metabolic balance in the intestinal environment. Spearman correlation analysis (Figure 8H) revealed distinct associations between gut microbial genera and SCFAs. The abundance of Bacteroides showed a strong positive correlation with IVA levels, suggesting that higher Bacteroides abundance was closely linked to increased IVA levels. In addition, the abundance of Parabacteroides showed a significant positive correlation with acetic acid levels. These findings suggest that the alleviating effect of WDG on POI may involve enhancing the abundance of Bacteroides and Parabacteroides and promoting the production of their associated SCFAs.

Figure 8
Figure 8 Effects of Wuda granules on fecal short-chain fatty acid levels in postoperative ileus mice. A-G: Concentrations of various short-chain fatty acids: Acetic acid, butyric acid, caproic acid, isobutyric acid, isovaleric acid, propionic acid and valeric acid; H: Spearman correlation of the top 10 gut microbial genera and short-chain fatty acids. aP < 0.05 vs postoperative ileus; dP < 0.05, eP < 0.01, and fP < 0.001, gut microbial genera vs short-chain fatty acids. AA: Acetic acid; BA: Butyric acid; CA: Caproic acid; IBA: Isobutyric acid; IVA: Isovaleric acid; PA: Propionic acid; VA: Valeric acid; SCFA: Short-chain fatty acid.
DISCUSSION

Despite recent advances in minimally invasive surgery and enhanced recovery protocols, the incidence of POI remains high. GI hormones are polypeptides released by endocrine and paracrine cells in the GI mucosa; they can diffuse from the stomach to the distal colon. These hormones play key roles in regulating GI motility. Ghrelin is secreted by the stomach and promotes gastric emptying and intestinal motility[37]. MTL mediates phase III activity of the migrating motor complex through its specific receptor, thereby promoting gastric contraction and small-intestinal propulsion[38]. Postoperative stress can cause a significant decrease in plasma MTL levels, thereby inhibiting normal migrating motor complex progression and delaying recovery of GI motility[39]. Vasoactive intestinal polypeptide regulates smooth-muscle relaxation and secretory activity, and its dysregulation may result in hypokinesia or hyperkinesia[40]. Consistent with the role of gut hormones in GI regulation, WDG was shown to restore the serum levels of MTL, gastrin, and cholecystokinin, which are typically suppressed after surgical stress (Figure 1).

Postoperative GI dysfunction has been linked to immune-mediated inflammation, wherein macrophages, neutrophils, and mast cells infiltrate the muscularis and contribute to localized inflammatory responses in the intestinal wall[41]. These cells, which are activated by inflammatory stimuli and mechanical manipulation, release prostaglandin E2, cytokines, chemokines, and nitric oxide, leading to dysfunction[42]. In addition, the prostaglandin E2 released by intestinal muscular macrophages can activate macrophages to produce nitric oxide in an autocrine or paracrine manner through prostaglandin E2 and prostaglandin E4 receptors, thereby reducing GI motility[43]. Importantly, these results expand on earlier investigations by revealing a multifaceted anti-inflammatory effect of WDG. Our findings demonstrated broader suppression of pro-inflammatory mediators, including IL-6, TNF-α, IL-1β, and myeloperoxidase, in both small-intestinal tissue and serum (Figure 2). These results imply comprehensive modulation of the inflammatory cascade and support the therapeutic rationale for targeting inflammation in POI[44].

The ICCs, which are present in the GI tract, function as the pacemaker cells of GI motility[45,46]. ICCs are also involved in conduction of enteric nerve signals[47,48]. Enteric nerve signals are transmitted to smooth muscles through ICCs, thereby regulating GI smooth-muscle motility. ANO1, a calcium-activated chloride channel, plays a crucial role in slow-wave generation and GI smooth-muscle excitability[49]. The coordinated upregulation of c-Kit and ANO1 indicates that WDG may restore ICC integrity and pacemaker activity, thereby facilitating the recovery of coordinated peristalsis in POI mice (Figure 5A).

Estrogen exerts its physiological effects by binding to ERs, primarily ERα, ERβ, and the G protein-coupled ER. These receptors are expressed in various tissues, including the GI tract, where they influence motility, secretion, and immune responses. ERα and ERβ are nuclear receptors that regulate gene transcription, while G protein-coupled ER is a membrane-bound receptor that mediates rapid, non-genomic signaling events. In the colonic mucosa of patients with inflammatory bowel disease, ERβ expression and activity are significantly reduced during the active phase of the disease, indicating that ERβ may play an important role in regulating intestinal inflammation[50]. ERβ is expressed in neurons and glial cells of the myenteric plexus in both mice and humans. Activation of ERβ promotes regeneration of the enteric nervous system, highlighting its potential therapeutic role in intestinal dysfunction[51]. Moreover, proteomics analysis identified estrogen signaling as a significantly enriched pathway in WDG-treated mice (Figure 4), implicating it as a potential upstream regulator. This observation was corroborated by increased ERβ expression in the intestine following WDG treatment (Figure 5). ERβ has been shown to enhance epithelial barrier integrity, attenuate inflammation, and promote neuronal regeneration. The data from this study suggest that WDG may activate this signaling axis to exert protective effects on both mucosal and neuromuscular compartments. Certain flavonoids (quercetin and its derivatives) and sesquiterpenes (linderane) in WDG may serve as important modulators of ER activity (Figure 6).

The gut microbiota is essential for intestinal homeostasis and host physiology. WDG restored gut microbial homeostasis, and induced a significant increase in the abundance of P. goldsteinii and B. acidifaciens (Figure 7). P. goldsteinii and B. acidifaciens are important members of the gut microbiota. P. goldsteinii is a next-generation probiotic with a range of beneficial physiological effects, including modulation of the gut microbiota and inflammatory responses and improvement of metabolic disorders[52,53]. P. goldsteinii MTS01 can alleviate gastric inflammation caused by Helicobacter pylori by modulating the gut microbiota composition and reducing serum cholesterol levels[54]. In dextran sulfate sodium-treated pigs, supplementation with P. goldsteinii significantly decreased the levels of the pro-inflammatory cytokines IL-6 and IL-8 and upregulated the levels of the anti-inflammatory cytokine IL-10. Moreover, supplementation promoted the enrichment of beneficial bacterial genera such as Lactobacillales and Butyricimonas[55]. The abundance of P. goldsteinii was shown to increase significantly in a combined treatment group receiving E2 and anti-programmed death ligand-1 antibody, suggesting that E2 may influence the efficacy of tumor immunotherapy by modulating the intestinal microbiota[56]. B. acidifaciens can enhance gut immune function by increasing intestinal immunoglobulin A levels, thereby improving gut defense against pathogens[57,58]. B. acidifaciens inhibits nuclear factor-κB activation and ameliorates intestinal inflammation while improving barrier function[59]. B. acidifaciens treatment has been shown to ameliorate alcoholic liver injury in mice through bile-salt hydrolases, which generate unconjugated bile acids, thereby activating the intestinal farnesoid X receptor and its downstream target fibroblast growth factor-15[60].

SCFAs serve as an energy source for colonocytes, modulate immune responses, and influence the release of gut hormones that regulate intestinal motility[61]. Gut microbiota dysbiosis may cause altered production of SCFAs, which play a critical role in maintaining normal intestinal transit and overall GI function. In addition, microbial metabolites can interact with the enteric nervous system to influence motility and intestinal peristalsis[62]. IVA is an SCFA produced by the gut microbiota through fermentation of branched-chain amino acids such as leucine. IVA can activate the protein kinase A signaling pathway, promote relaxation of colonic smooth-muscle cells, and thereby improve GI motility[63]. Fecal IVA levels are significantly reduced in patients with active inflammatory bowel disease and are associated with increased levels of the pro-inflammatory factor TNF-α[64]. IVA production by Bacteroides has been shown to enhance the intestinal mucosal immune response and promote production of immunoglobulin A, thereby maintaining intestinal health[65]. Although various SCFAs showed varying degrees of increase after WDG treatment, not all indicators reached statistical significance. For example, propionic acid, isobutyric acid, and valerate, while showing some recovery in comparison with the POI group, exhibited limited changes and did not show significant differences. These results imply that POI induces differential, rather than uniform, disruption of microbial metabolic pathways, and WDG also promotes selective rather than global recovery of fermentation metabolites. Notably, WDG also elevated IVA levels (Figure 8). These findings indicate that WDG not only shapes the microbial ecology but also restores metabolic activity, which, in turn, regulates immune and motility functions.

Several limitations of this study require consideration. The mouse POI model used in this study, wherein POI was induced by intestinal mechanical traction, mainly reflects the acute inflammatory response and GI motility disorders in the early postoperative period, and cannot fully represent the disease heterogeneity in patients with POI. Moreover, although multi-omics analysis and molecular docking results suggest that gut microbiota-derived metabolites play an important role in the functioning of WDG, this study did not include direct verification through fecal microbiota transplantation. Although this study was conducted in a mouse POI model, its findings regarding the role of gut microbiota regulation in the occurrence and recovery of POI show some cross-species reference value, providing experimental evidence for exploring the feasibility of gut microbiota intervention for POI.

CONCLUSION

In summary, our findings demonstrated that WDG exerts therapeutic effects in a POI mouse model. WDG restored GI hormone levels and mitigated inflammatory injury. Integrated multi-omics analyses revealed a cohesive mechanistic network underlying these beneficial effects. Proteomics profiling identified activation of the estrogen signaling pathway as a central regulatory node. Concurrently, 16S rRNA sequencing and SCFA profiling showed that WDG increased the abundance of P. goldsteinii and B. acidifaciens and restored IVA levels. These findings identified an inflammation-estrogen-microbiota axis as a key mechanism, highlighting its potential as a complementary therapy for postoperative GI dysfunction.

References
1.  Wolthuis AM, Bislenghi G, Fieuws S, de Buck van Overstraeten A, Boeckxstaens G, D'Hoore A. Incidence of prolonged postoperative ileus after colorectal surgery: a systematic review and meta-analysis. Colorectal Dis. 2016;18:O1-O9.  [RCA]  [PubMed]  [DOI]  [Full Text]  [Cited by in Crossref: 172]  [Cited by in RCA: 159]  [Article Influence: 15.9]  [Reference Citation Analysis (2)]
2.  Sommer NP, Schneider R, Wehner S, Kalff JC, Vilz TO. State-of-the-art colorectal disease: postoperative ileus. Int J Colorectal Dis. 2021;36:2017-2025.  [RCA]  [PubMed]  [DOI]  [Full Text]  [Full Text (PDF)]  [Cited by in Crossref: 14]  [Cited by in RCA: 38]  [Article Influence: 7.6]  [Reference Citation Analysis (1)]
3.  Scarborough JE, Schumacher J, Kent KC, Heise CP, Greenberg CC. Associations of Specific Postoperative Complications With Outcomes After Elective Colon Resection: A Procedure-Targeted Approach Toward Surgical Quality Improvement. JAMA Surg. 2017;152:e164681.  [RCA]  [PubMed]  [DOI]  [Full Text]  [Cited by in Crossref: 95]  [Cited by in RCA: 91]  [Article Influence: 10.1]  [Reference Citation Analysis (1)]
4.  Venara A, Neunlist M, Slim K, Barbieux J, Colas PA, Hamy A, Meurette G. Postoperative ileus: Pathophysiology, incidence, and prevention. J Visc Surg. 2016;153:439-446.  [RCA]  [PubMed]  [DOI]  [Full Text]  [Cited by in Crossref: 279]  [Cited by in RCA: 221]  [Article Influence: 22.1]  [Reference Citation Analysis (1)]
5.  Jain SN, Lamture Y, Krishna M. Enhanced Recovery After Surgery: Exploring the Advances and Strategies. Cureus. 2023;15:e47237.  [RCA]  [PubMed]  [DOI]  [Full Text]  [Full Text (PDF)]  [Cited by in Crossref: 37]  [Cited by in RCA: 34]  [Article Influence: 11.3]  [Reference Citation Analysis (1)]
6.  Stakenborg N, Gomez-Pinilla PJ, Boeckxstaens GE. Postoperative Ileus: Pathophysiology, Current Therapeutic Approaches. Handb Exp Pharmacol. 2017;239:39-57.  [RCA]  [PubMed]  [DOI]  [Full Text]  [Cited by in Crossref: 36]  [Cited by in RCA: 70]  [Article Influence: 7.8]  [Reference Citation Analysis (1)]
7.  Shin SY, Hussain Z, Lee YJ, Park H. An altered composition of fecal microbiota, organic acids, and the effect of probiotics in the guinea pig model of postoperative ileus. Neurogastroenterol Motil. 2021;33:e13966.  [RCA]  [PubMed]  [DOI]  [Full Text]  [Cited by in Crossref: 4]  [Cited by in RCA: 15]  [Article Influence: 3.0]  [Reference Citation Analysis (1)]
8.  Chen J, Yang S, Hu S, Choudhry MA, Bland KI, Chaudry IH. Estrogen prevents intestinal inflammation after trauma-hemorrhage via downregulation of angiotensin II and angiotensin II subtype I receptor. Am J Physiol Gastrointest Liver Physiol. 2008;295:G1131-G1137.  [RCA]  [PubMed]  [DOI]  [Full Text]  [Cited by in Crossref: 19]  [Cited by in RCA: 26]  [Article Influence: 1.4]  [Reference Citation Analysis (1)]
9.  Ibrahim A, Hugerth LW, Hases L, Saxena A, Seifert M, Thomas Q, Gustafsson JÅ, Engstrand L, Williams C. Colitis-induced colorectal cancer and intestinal epithelial estrogen receptor beta impact gut microbiota diversity. Int J Cancer. 2019;144:3086-3098.  [RCA]  [PubMed]  [DOI]  [Full Text]  [Full Text (PDF)]  [Cited by in Crossref: 50]  [Cited by in RCA: 120]  [Article Influence: 17.1]  [Reference Citation Analysis (0)]
10.  Menon R, Watson SE, Thomas LN, Allred CD, Dabney A, Azcarate-Peril MA, Sturino JM. Diet complexity and estrogen receptor β status affect the composition of the murine intestinal microbiota. Appl Environ Microbiol. 2013;79:5763-5773.  [RCA]  [PubMed]  [DOI]  [Full Text]  [Cited by in Crossref: 137]  [Cited by in RCA: 119]  [Article Influence: 9.2]  [Reference Citation Analysis (0)]
11.  Honda J, Iijima K, Asanuma K, Ara N, Shiroki T, Kondo Y, Hatta W, Uno K, Asano N, Koike T, Shimosegawa T. Estrogen Enhances Esophageal Barrier Function by Potentiating Occludin Expression. Dig Dis Sci. 2016;61:1028-1038.  [RCA]  [PubMed]  [DOI]  [Full Text]  [Cited by in Crossref: 40]  [Cited by in RCA: 30]  [Article Influence: 3.0]  [Reference Citation Analysis (1)]
12.  Wada-Hiraike O, Imamov O, Hiraike H, Hultenby K, Schwend T, Omoto Y, Warner M, Gustafsson JA. Role of estrogen receptor beta in colonic epithelium. Proc Natl Acad Sci U S A. 2006;103:2959-2964.  [RCA]  [PubMed]  [DOI]  [Full Text]  [Cited by in Crossref: 181]  [Cited by in RCA: 201]  [Article Influence: 10.1]  [Reference Citation Analysis (1)]
13.  Zeng HP, Cao LX, Diao DC, Wen ZH, Ouyang WW, Ou AH, Wan J, Peng ZJ, Wang W, Chen ZQ. Efficacy of Wuda Granule on Recovery of Gastrointestinal Function after Laparoscopic Bowel Resection: A Randomized Double-Blind Controlled Trial. Chin J Integr Med. 2024;30:1059-1067.  [RCA]  [PubMed]  [DOI]  [Full Text]  [Cited by in RCA: 3]  [Reference Citation Analysis (1)]
14.  Zeng H, Wang W, Cao L, Wu Y, Ouyang W, Diao D, Wan J, Chen Q, Chen Z. Effect of Wuda granule on gastrointestinal function recovery after laparoscopic intestinal resection: a randomized-controlled trial. Gastroenterol Rep (Oxf). 2022;10:goac004.  [RCA]  [PubMed]  [DOI]  [Full Text]  [Full Text (PDF)]  [Cited by in RCA: 5]  [Reference Citation Analysis (1)]
15.  Jiang Z, Cao LX, Liu B, Chen QC, Shang WF, Zhou L, Li DY, Guo DA, Chen ZQ. Effects of Chinese herbal medicine Xiangbin prescription on gastrointestinal motility. World J Gastroenterol. 2017;23:2987-2994.  [RCA]  [PubMed]  [DOI]  [Full Text]  [Full Text (PDF)]  [Cited by in CrossRef: 8]  [Cited by in RCA: 11]  [Article Influence: 1.2]  [Reference Citation Analysis (1)]
16.  Jiang Z, Chen Q, Zhang J, Cao L, Chen Z. Wuda granule, a traditional Chinese herbal medicine, ameliorates postoperative ileus by anti-inflammatory action. Pathol Res Pract. 2020;216:152605.  [RCA]  [PubMed]  [DOI]  [Full Text]  [Cited by in Crossref: 3]  [Cited by in RCA: 10]  [Article Influence: 1.7]  [Reference Citation Analysis (1)]
17.  Jiang Z, Zou Q, Chen Q, Zhang J, Tang H, Chen J, Qin Y, Yang L, Chen Z, Cao L. Therapeutic role of Wuda granule in gastrointestinal motility disorder through promoting gastrointestinal motility and decreasing inflammatory level. Front Pharmacol. 2023;14:1237686.  [RCA]  [PubMed]  [DOI]  [Full Text]  [Full Text (PDF)]  [Cited by in RCA: 15]  [Reference Citation Analysis (1)]
18.  Wang T, Xu Y, Chen Q, Zheng W, Wang J, Zeng H, Wu Y, Cao L, Chen Z. Metabolomics Analysis of Laparoscopic Surgery Combined with Wuda Granule to Promote Rapid Recovery of Patients with Colorectal Cancer Using UPLC/Q-TOF-MS/MS. Evid Based Complement Alternat Med. 2020;2020:5068268.  [RCA]  [PubMed]  [DOI]  [Full Text]  [Full Text (PDF)]  [Cited by in Crossref: 10]  [Cited by in RCA: 9]  [Article Influence: 1.5]  [Reference Citation Analysis (1)]
19.  Zheng W, Chen Q, Liu H, Zeng L, Zhou Y, Liu X, Bai Y, Zhang J, Pan Y, Shao C. SDC1-dependent TGM2 determines radiosensitivity in glioblastoma by coordinating EPG5-mediated fusion of autophagosomes with lysosomes. Autophagy. 2023;19:839-857.  [RCA]  [PubMed]  [DOI]  [Full Text]  [Full Text (PDF)]  [Cited by in Crossref: 4]  [Cited by in RCA: 51]  [Article Influence: 17.0]  [Reference Citation Analysis (1)]
20.  Wang T, Ou Y, Xiong W, Luo L, Xu Y, Chen G, Peng Y, Chen Y, Zeng H, Yu Y, Tang H, Yao H, Wang W. Wuda Granule Alleviates DSS-Induced Colitis in Mice by Inhibiting Inflammation, Protecting Intestinal Barrier and Reducing Oxidative Stress Through Nrf2/Keap1/HO-1 Pathway. J Inflamm Res. 2025;18:7301-7321.  [RCA]  [PubMed]  [DOI]  [Full Text]  [Full Text (PDF)]  [Cited by in RCA: 1]  [Reference Citation Analysis (1)]
21.  Fan W, Ding C, Liu S, Gao X, Shen X, De Boevre M, Gao Z, Li M, Zhang S, Miao Y, Guan W, Liu G, Yan L, De Saeger S, Song S. Estrogen receptor β activation inhibits colitis by promoting NLRP6-mediated autophagy. Cell Rep. 2022;41:111454.  [RCA]  [PubMed]  [DOI]  [Full Text]  [Cited by in RCA: 25]  [Reference Citation Analysis (1)]
22.  Looijer-van Langen M, Hotte N, Dieleman LA, Albert E, Mulder C, Madsen KL. Estrogen receptor-β signaling modulates epithelial barrier function. Am J Physiol Gastrointest Liver Physiol. 2011;300:G621-G626.  [RCA]  [PubMed]  [DOI]  [Full Text]  [Cited by in Crossref: 154]  [Cited by in RCA: 159]  [Article Influence: 10.6]  [Reference Citation Analysis (1)]
23.  Tran A, Scholtes C, Songane M, Champagne C, Galarneau L, Levasseur MP, Fodil N, Dufour CR, Giguère V, Saleh M. Estrogen-related receptor alpha (ERRα) is a key regulator of intestinal homeostasis and protects against colitis. Sci Rep. 2021;11:15073.  [RCA]  [PubMed]  [DOI]  [Full Text]  [Full Text (PDF)]  [Cited by in Crossref: 10]  [Cited by in RCA: 22]  [Article Influence: 4.4]  [Reference Citation Analysis (1)]
24.  Friedmacher F, Rolle U. Interstitial cells of Cajal: clinical relevance in pediatric gastrointestinal motility disorders. Pediatr Surg Int. 2023;39:188.  [RCA]  [PubMed]  [DOI]  [Full Text]  [Full Text (PDF)]  [Cited by in Crossref: 6]  [Cited by in RCA: 10]  [Article Influence: 3.3]  [Reference Citation Analysis (2)]
25.  Brookes SJ. Neuronal nitric oxide in the gut. J Gastroenterol Hepatol. 1993;8:590-603.  [RCA]  [PubMed]  [DOI]  [Full Text]  [Cited by in Crossref: 78]  [Cited by in RCA: 67]  [Article Influence: 2.0]  [Reference Citation Analysis (1)]
26.  Zielińska M, Fichna J, Bashashati M, Habibi S, Sibaev A, Timmermans JP, Storr M. G protein-coupled estrogen receptor and estrogen receptor ligands regulate colonic motility and visceral pain. Neurogastroenterol Motil. 2017;29.  [RCA]  [PubMed]  [DOI]  [Full Text]  [Cited by in Crossref: 38]  [Cited by in RCA: 64]  [Article Influence: 7.1]  [Reference Citation Analysis (1)]
27.  Sanders KM, Zhu MH, Britton F, Koh SD, Ward SM. Anoctamins and gastrointestinal smooth muscle excitability. Exp Physiol. 2012;97:200-206.  [RCA]  [PubMed]  [DOI]  [Full Text]  [Cited by in Crossref: 71]  [Cited by in RCA: 92]  [Article Influence: 6.1]  [Reference Citation Analysis (0)]
28.  Jiang SW, Zheng ZL, Xu FF, Chen WY, Tang LP, Chen ZQ, Liu B, Li B. [Simultaneous Determination of Four Alkaloid Components in Xiangbin Decoction by UPLC-QqQ-MS/MS]. Zhongguo Shiyan Fangjixue Zazhi. 2019;152-159.  [PubMed]  [DOI]
29.  Liu X, Yang K, Jia Y, Yeertai Y, Wu C, Wang X, Jia Q, Gu Z, Cong J, Ling J. Chaihushugan powder regulates the gut microbiota to alleviate mitochondrial oxidative stress in the gastric tissues of rats with functional dyspepsia. Front Immunol. 2025;16:1549554.  [RCA]  [PubMed]  [DOI]  [Full Text]  [Full Text (PDF)]  [Cited by in RCA: 4]  [Reference Citation Analysis (1)]
30.  Wang D, Zeng X, Wang X, Wen W, Wang P, Xu S. Tartary Buckwheat Bran and Fructus Aurantii Combination (TBB-FA): A Promising Therapeutic Approach for Functional Dyspepsia via Modulation of Gut Microbiota, Short-Chain Fatty Acids and Purine Signaling Pathway. Food Sci Nutr. 2025;13:e4695.  [RCA]  [PubMed]  [DOI]  [Full Text]  [Cited by in RCA: 1]  [Reference Citation Analysis (0)]
31.  Medina-Larqué AS, Rodríguez-Daza MC, Roquim M, Dudonné S, Pilon G, Levy É, Marette A, Roy D, Jacques H, Desjardins Y. Cranberry polyphenols and agave agavins impact gut immune response and microbiota composition while improving gut barrier function, inflammation, and glucose metabolism in mice fed an obesogenic diet. Front Immunol. 2022;13:871080.  [RCA]  [PubMed]  [DOI]  [Full Text]  [Full Text (PDF)]  [Cited by in RCA: 53]  [Reference Citation Analysis (1)]
32.  Xiao N, He W, Chen S, Yao Y, Wu N, Xu M, Du H, Zhao Y, Tu Y. Egg Yolk Lipids Alleviated Dextran Sulfate Sodium-Induced Colitis by Inhibiting NLRP3 Inflammasome and Regulating Gut Microbiota. Mol Nutr Food Res. 2024;68:e2300509.  [RCA]  [PubMed]  [DOI]  [Full Text]  [Cited by in RCA: 8]  [Reference Citation Analysis (1)]
33.  Kim CH. Complex regulatory effects of gut microbial short-chain fatty acids on immune tolerance and autoimmunity. Cell Mol Immunol. 2023;20:341-350.  [RCA]  [PubMed]  [DOI]  [Full Text]  [Full Text (PDF)]  [Cited by in Crossref: 315]  [Cited by in RCA: 255]  [Article Influence: 85.0]  [Reference Citation Analysis (0)]
34.  Chu S, Montrose MH. Extracellular pH regulation in microdomains of colonic crypts: effects of short-chain fatty acids. Proc Natl Acad Sci U S A. 1995;92:3303-3307.  [RCA]  [PubMed]  [DOI]  [Full Text]  [Cited by in Crossref: 50]  [Cited by in RCA: 53]  [Article Influence: 1.7]  [Reference Citation Analysis (1)]
35.  Feng Y, Wang Y, Wang P, Huang Y, Wang F. Short-Chain Fatty Acids Manifest Stimulative and Protective Effects on Intestinal Barrier Function Through the Inhibition of NLRP3 Inflammasome and Autophagy. Cell Physiol Biochem. 2018;49:190-205.  [RCA]  [PubMed]  [DOI]  [Full Text]  [Cited by in Crossref: 160]  [Cited by in RCA: 355]  [Article Influence: 44.4]  [Reference Citation Analysis (10)]
36.  Li M, van Esch BCAM, Henricks PAJ, Folkerts G, Garssen J. The Anti-inflammatory Effects of Short Chain Fatty Acids on Lipopolysaccharide- or Tumor Necrosis Factor α-Stimulated Endothelial Cells via Activation of GPR41/43 and Inhibition of HDACs. Front Pharmacol. 2018;9:533.  [RCA]  [PubMed]  [DOI]  [Full Text]  [Full Text (PDF)]  [Cited by in Crossref: 294]  [Cited by in RCA: 268]  [Article Influence: 33.5]  [Reference Citation Analysis (1)]
37.  Mager U, Degenhardt T, Pulkkinen L, Kolehmainen M, Tolppanen AM, Lindström J, Eriksson JG, Carlberg C, Tuomilehto J, Uusitupa M; Finnish Diabetes Prevention Study Group. Variations in the ghrelin receptor gene associate with obesity and glucose metabolism in individuals with impaired glucose tolerance. PLoS One. 2008;3:e2941.  [RCA]  [PubMed]  [DOI]  [Full Text]  [Full Text (PDF)]  [Cited by in Crossref: 26]  [Cited by in RCA: 26]  [Article Influence: 1.4]  [Reference Citation Analysis (1)]
38.  Kitazawa T, Kaiya H. Motilin Comparative Study: Structure, Distribution, Receptors, and Gastrointestinal Motility. Front Endocrinol (Lausanne). 2021;12:700884.  [RCA]  [PubMed]  [DOI]  [Full Text]  [Full Text (PDF)]  [Cited by in Crossref: 53]  [Cited by in RCA: 44]  [Article Influence: 8.8]  [Reference Citation Analysis (1)]
39.  Deloose E, Janssen P, Depoortere I, Tack J. The migrating motor complex: control mechanisms and its role in health and disease. Nat Rev Gastroenterol Hepatol. 2012;9:271-285.  [RCA]  [PubMed]  [DOI]  [Full Text]  [Cited by in Crossref: 302]  [Cited by in RCA: 248]  [Article Influence: 17.7]  [Reference Citation Analysis (1)]
40.  Delgado M, Ganea D. Vasoactive intestinal peptide: a neuropeptide with pleiotropic immune functions. Amino Acids. 2013;45:25-39.  [RCA]  [PubMed]  [DOI]  [Full Text]  [Cited by in Crossref: 101]  [Cited by in RCA: 145]  [Article Influence: 9.7]  [Reference Citation Analysis (0)]
41.  Mattei P, Rombeau JL. Review of the pathophysiology and management of postoperative ileus. World J Surg. 2006;30:1382-1391.  [RCA]  [PubMed]  [DOI]  [Full Text]  [Cited by in Crossref: 188]  [Cited by in RCA: 161]  [Article Influence: 8.1]  [Reference Citation Analysis (1)]
42.  Schwarz NT, Kalff JC, Türler A, Engel BM, Watkins SC, Billiar TR, Bauer AJ. Prostanoid production via COX-2 as a causative mechanism of rodent postoperative ileus. Gastroenterology. 2001;121:1354-1371.  [RCA]  [PubMed]  [DOI]  [Full Text]  [Cited by in Crossref: 215]  [Cited by in RCA: 197]  [Article Influence: 7.9]  [Reference Citation Analysis (1)]
43.  Maehara T, Matsumoto K, Horiguchi K, Kondo M, Iino S, Horie S, Murata T, Tsubone H, Shimada S, Ozaki H, Hori M. Therapeutic action of 5-HT3 receptor antagonists targeting peritoneal macrophages in post-operative ileus. Br J Pharmacol. 2015;172:1136-1147.  [RCA]  [PubMed]  [DOI]  [Full Text]  [Cited by in Crossref: 37]  [Cited by in RCA: 41]  [Article Influence: 3.7]  [Reference Citation Analysis (1)]
44.  Hussain Z, Park H. Inflammation and Impaired Gut Physiology in Post-operative Ileus: Mechanisms and the Treatment Options. J Neurogastroenterol Motil. 2022;28:517-530.  [RCA]  [PubMed]  [DOI]  [Full Text]  [Full Text (PDF)]  [Cited by in RCA: 25]  [Reference Citation Analysis (1)]
45.  Sanders KM, Ward SM, Koh SD. Interstitial cells: regulators of smooth muscle function. Physiol Rev. 2014;94:859-907.  [RCA]  [PubMed]  [DOI]  [Full Text]  [Full Text (PDF)]  [Cited by in Crossref: 439]  [Cited by in RCA: 367]  [Article Influence: 30.6]  [Reference Citation Analysis (2)]
46.  Sanders KM, Kito Y, Hwang SJ, Ward SM. Regulation of Gastrointestinal Smooth Muscle Function by Interstitial Cells. Physiology (Bethesda). 2016;31:316-326.  [RCA]  [PubMed]  [DOI]  [Full Text]  [Full Text (PDF)]  [Cited by in Crossref: 111]  [Cited by in RCA: 92]  [Article Influence: 9.2]  [Reference Citation Analysis (1)]
47.  Yadak R, Breur M, Bugiani M. Gastrointestinal Dysmotility in MNGIE: from thymidine phosphorylase enzyme deficiency to altered interstitial cells of Cajal. Orphanet J Rare Dis. 2019;14:33.  [RCA]  [PubMed]  [DOI]  [Full Text]  [Full Text (PDF)]  [Cited by in Crossref: 15]  [Cited by in RCA: 29]  [Article Influence: 4.1]  [Reference Citation Analysis (1)]
48.  Kaji N, Nakayama S, Horiguchi K, Iino S, Ozaki H, Hori M. Disruption of the pacemaker activity of interstitial cells of Cajal via nitric oxide contributes to postoperative ileus. Neurogastroenterol Motil.  2018.  [RCA]  [PubMed]  [DOI]  [Full Text]  [Cited by in Crossref: 17]  [Cited by in RCA: 24]  [Article Influence: 3.0]  [Reference Citation Analysis (1)]
49.  Gomez-Pinilla PJ, Gibbons SJ, Bardsley MR, Lorincz A, Pozo MJ, Pasricha PJ, Van de Rijn M, West RB, Sarr MG, Kendrick ML, Cima RR, Dozois EJ, Larson DW, Ordog T, Farrugia G. Ano1 is a selective marker of interstitial cells of Cajal in the human and mouse gastrointestinal tract. Am J Physiol Gastrointest Liver Physiol. 2009;296:G1370-G1381.  [RCA]  [PubMed]  [DOI]  [Full Text]  [Full Text (PDF)]  [Cited by in Crossref: 318]  [Cited by in RCA: 324]  [Article Influence: 19.1]  [Reference Citation Analysis (1)]
50.  Pierdominici M, Maselli A, Varano B, Barbati C, Cesaro P, Spada C, Zullo A, Lorenzetti R, Rosati M, Rainaldi G, Limiti MR, Guidi L, Conti L, Gessani S. Linking estrogen receptor β expression with inflammatory bowel disease activity. Oncotarget. 2015;6:40443-40451.  [RCA]  [PubMed]  [DOI]  [Full Text]  [Full Text (PDF)]  [Cited by in Crossref: 43]  [Cited by in RCA: 76]  [Article Influence: 7.6]  [Reference Citation Analysis (0)]
51.  D'Errico F, Goverse G, Dai Y, Wu W, Stakenborg M, Labeeuw E, De Simone V, Verstockt B, Gomez-Pinilla PJ, Warner M, Di Leo A, Matteoli G, Gustafsson JA. Estrogen receptor β controls proliferation of enteric glia and differentiation of neurons in the myenteric plexus after damage. Proc Natl Acad Sci U S A. 2018;115:5798-5803.  [RCA]  [PubMed]  [DOI]  [Full Text]  [Cited by in Crossref: 23]  [Cited by in RCA: 40]  [Article Influence: 5.0]  [Reference Citation Analysis (0)]
52.  Wu TR, Lin CS, Chang CJ, Lin TL, Martel J, Ko YF, Ojcius DM, Lu CC, Young JD, Lai HC. Gut commensal Parabacteroides goldsteinii plays a predominant role in the anti-obesity effects of polysaccharides isolated from Hirsutella sinensis. Gut. 2019;68:248-262.  [RCA]  [PubMed]  [DOI]  [Full Text]  [Cited by in Crossref: 684]  [Cited by in RCA: 592]  [Article Influence: 84.6]  [Reference Citation Analysis (1)]
53.  Cui Y, Zhang L, Wang X, Yi Y, Shan Y, Liu B, Zhou Y, Lü X. Roles of intestinal Parabacteroides in human health and diseases. FEMS Microbiol Lett. 2022;369:fnac072.  [RCA]  [PubMed]  [DOI]  [Full Text]  [Cited by in Crossref: 1]  [Cited by in RCA: 300]  [Article Influence: 75.0]  [Reference Citation Analysis (1)]
54.  Lai CH, Lin TL, Huang MZ, Li SW, Wu HY, Chiu YF, Yang CY, Chiu CH, Lai HC. Gut Commensal Parabacteroides goldsteinii MTS01 Alters Gut Microbiota Composition and Reduces Cholesterol to Mitigate Helicobacter pylori-Induced Pathogenesis. Front Immunol. 2022;13:916848.  [RCA]  [PubMed]  [DOI]  [Full Text]  [Full Text (PDF)]  [Cited by in Crossref: 45]  [Cited by in RCA: 36]  [Article Influence: 9.0]  [Reference Citation Analysis (0)]
55.  Deng X, Guo T, He Y, Gao S, Su J, Pan H, Li A. Parabacteroides goldsteinii Alleviates Intestinal Inflammation in Dextran Sulfate Sodium-Treated Pigs. Animals (Basel). 2025;15:1231.  [RCA]  [PubMed]  [DOI]  [Full Text]  [Full Text (PDF)]  [Cited by in RCA: 5]  [Reference Citation Analysis (1)]
56.  Song CH, Kim N, Nam RH, Choi SI, Jang JY, Choi J, Lee HN. Anti-PD-L1 Antibody and/or 17β-Estradiol Treatment Induces Changes in the Gut Microbiome in MC38 Colon Tumor Model. Cancer Res Treat. 2023;55:894-909.  [RCA]  [PubMed]  [DOI]  [Full Text]  [Cited by in RCA: 12]  [Reference Citation Analysis (1)]
57.  Yanagibashi T, Hosono A, Oyama A, Tsuda M, Suzuki A, Hachimura S, Takahashi Y, Momose Y, Itoh K, Hirayama K, Takahashi K, Kaminogawa S. IgA production in the large intestine is modulated by a different mechanism than in the small intestine: Bacteroides acidifaciens promotes IgA production in the large intestine by inducing germinal center formation and increasing the number of IgA+ B cells. Immunobiology. 2013;218:645-651.  [RCA]  [PubMed]  [DOI]  [Full Text]  [Cited by in Crossref: 98]  [Cited by in RCA: 123]  [Article Influence: 8.8]  [Reference Citation Analysis (1)]
58.  Nakajima A, Sasaki T, Itoh K, Kitahara T, Takema Y, Hiramatsu K, Ishikawa D, Shibuya T, Kobayashi O, Osada T, Watanabe S, Nagahara A. A Soluble Fiber Diet Increases Bacteroides fragilis Group Abundance and Immunoglobulin A Production in the Gut. Appl Environ Microbiol. 2020;86:e00405-e00420.  [RCA]  [PubMed]  [DOI]  [Full Text]  [Cited by in Crossref: 84]  [Cited by in RCA: 76]  [Article Influence: 12.7]  [Reference Citation Analysis (1)]
59.  Wu Y, Zhang X, Liu X, Zhao Z, Tao S, Xu Q, Zhao J, Dai Z, Zhang G, Han D, Wang J. Galactooligosaccharides and Limosilactobacillus reuteri synergistically alleviate gut inflammation and barrier dysfunction by enriching Bacteroides acidifaciens for pentadecanoic acid biosynthesis. Nat Commun. 2024;15:9291.  [RCA]  [PubMed]  [DOI]  [Full Text]  [Full Text (PDF)]  [Cited by in RCA: 60]  [Reference Citation Analysis (1)]
60.  Shen H, Zhou L, Zhang H, Yang Y, Jiang L, Wu D, Shu H, Zhang H, Xie L, Zhou K, Cheng C, Yang L, Jiang J, Wang S, Han Y, Zhu J, Xu L, Liu Z, Wang H, Yin S. Dietary fiber alleviates alcoholic liver injury via Bacteroides acidifaciens and subsequent ammonia detoxification. Cell Host Microbe. 2024;32:1331-1346.e6.  [RCA]  [PubMed]  [DOI]  [Full Text]  [Cited by in Crossref: 71]  [Cited by in RCA: 64]  [Article Influence: 32.0]  [Reference Citation Analysis (1)]
61.  Zheng Z, Tang J, Hu Y, Zhang W. Role of gut microbiota-derived signals in the regulation of gastrointestinal motility. Front Med (Lausanne). 2022;9:961703.  [RCA]  [PubMed]  [DOI]  [Full Text]  [Full Text (PDF)]  [Cited by in RCA: 48]  [Reference Citation Analysis (1)]
62.  Ono S, Karaki S, Kuwahara A. Short-chain fatty acids decrease the frequency of spontaneous contractions of longitudinal muscle via enteric nerves in rat distal colon. Jpn J Physiol. 2004;54:483-493.  [RCA]  [PubMed]  [DOI]  [Full Text]  [Cited by in Crossref: 44]  [Cited by in RCA: 34]  [Article Influence: 1.5]  [Reference Citation Analysis (1)]
63.  Blakeney BA, Crowe MS, Mahavadi S, Murthy KS, Grider JR. Branched Short-Chain Fatty Acid Isovaleric Acid Causes Colonic Smooth Muscle Relaxation via cAMP/PKA Pathway. Dig Dis Sci. 2019;64:1171-1181.  [RCA]  [PubMed]  [DOI]  [Full Text]  [Cited by in Crossref: 25]  [Cited by in RCA: 50]  [Article Influence: 7.1]  [Reference Citation Analysis (1)]
64.  Kaczmarczyk O, Dąbek-Drobny A, Woźniakiewicz M, Paśko P, Dobrowolska-Iwanek J, Woźniakiewicz A, Targosz A, Ptak-Belowska A, Piątek-Guziewicz A, Wcisło K, Zagrodzki P, Zwolińska-Wcisło M. Association between fecal levels of Short-Chain Fatty Acids and serum Pro- and Anti-Inflammatory Cytokines in patients with Inflammatory Bowel Disease. Folia Med Cracov. 2022;62:43-55.  [RCA]  [PubMed]  [DOI]  [Full Text]  [Cited by in RCA: 4]  [Reference Citation Analysis (1)]
65.  Wang X, Hu Y, Zhu X, Cai L, Farooq MZ, Yan X. Bacteroides-derived isovaleric acid enhances mucosal immunity by facilitating intestinal IgA response in broilers. J Anim Sci Biotechnol. 2023;14:4.  [RCA]  [PubMed]  [DOI]  [Full Text]  [Full Text (PDF)]  [Cited by in RCA: 29]  [Reference Citation Analysis (1)]
Footnotes

Peer review: Externally peer reviewed.

Peer-review model: Single blind

Specialty type: Gastroenterology and hepatology

Country of origin: China

Peer-review report’s classification

Scientific quality: Grade A, Grade B, Grade B

Novelty: Grade A, Grade A, Grade B

Creativity or innovation: Grade A, Grade B, Grade B

Scientific significance: Grade A, Grade A, Grade B

P-Reviewer: Xu J, PhD, Adjunct Associate Professor, China; Xu X, MD, PhD, Associate Professor, China S-Editor: Wu S L-Editor: A P-Editor: Lei YY

Write to the Help Desk