Copyright
©The Author(s) 2026.
World J Gastroenterol. Feb 21, 2026; 32(7): 111478
Published online Feb 21, 2026. doi: 10.3748/wjg.v32.i7.111478
Published online Feb 21, 2026. doi: 10.3748/wjg.v32.i7.111478
Figure 1
Five-year interval trends in pathologic diagnoses following cholecystectomy.
Figure 2 Pathological features of the gallbladder.
A-D: Premalignant neoplasms such as intracholecystic papillary neoplasm (A), biliary intraepithelial neoplasia (B), undifferentiated components (C), and poorly cohesive carcinoma components (D).
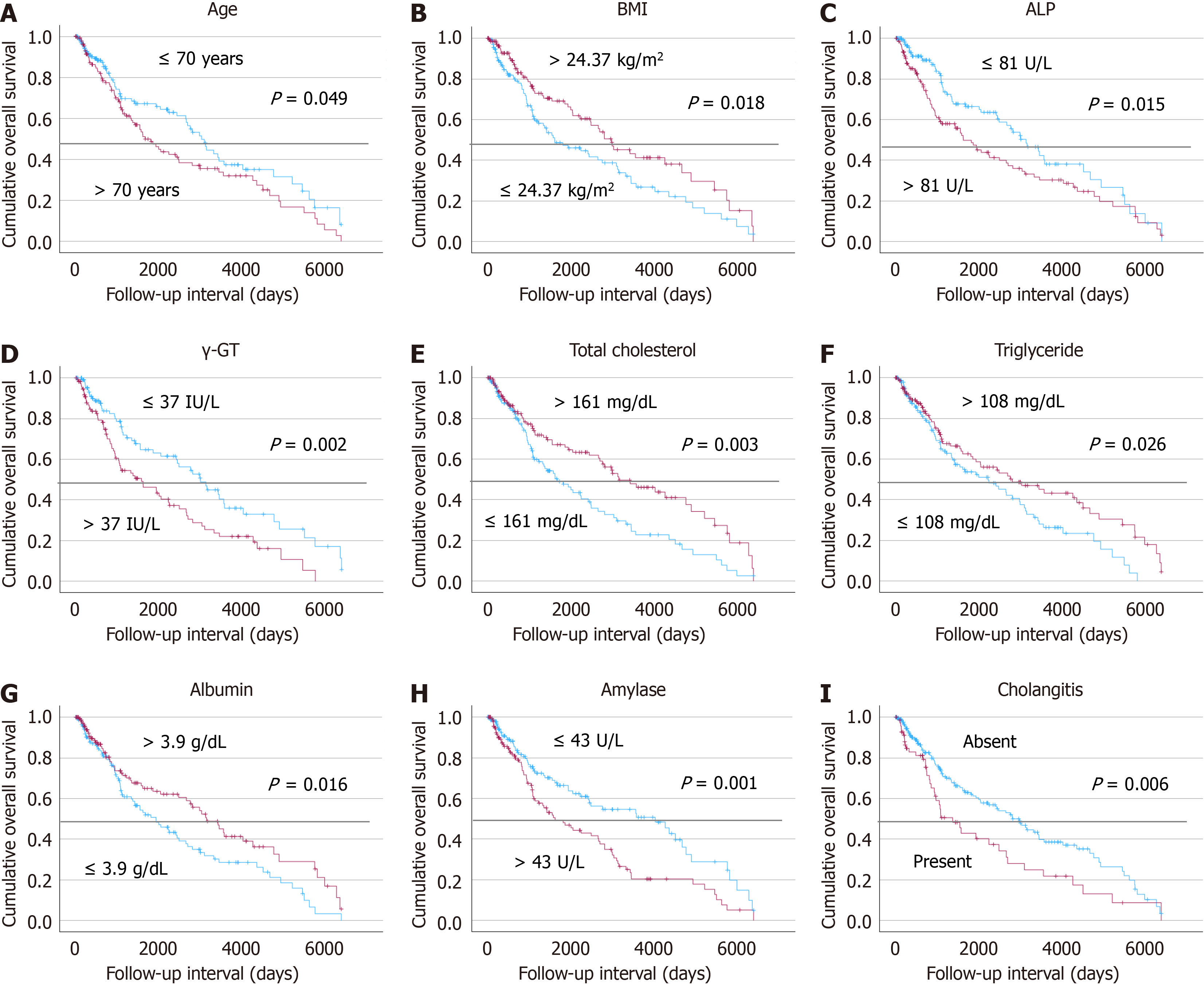
Figure 3 Overall survival of gallbladder cancer patients according to clinical features.
A-I: Kaplan-Meier survival analyses illustrating differences in overall survival based on: Age (A), body mass index (B), alkaline phosphatase (C), gamma-glutamyl transferase (D), total cholesterol (E), triglyceride (F), albumin (G), amylase (H), and cholangitis (I). BMI: Body mass index; ALP: Alkaline phosphatase; γ-GT: Gamma-glutamyl transferase.
Figure 4 Overall survival of gallbladder cancer patients according to histopathological features.
A-F: Kaplan-Meier survival analyses illustrating differences in overall survival based on: Presence of preinvasive lesions (A), histologic differentiation subtype (B), presence of poorly cohesive components (C), depth of invasion (D), tumor size (E), and tumor budding (F). ICPN: Intracholecystic papillary neoplasm; BilIN: Biliary intraepithelial neoplasia; PCC: Poorly cohesive cells; SRC: Signet ring cells.
- Citation: An J, Ahn SH, Kim KH, Heo JY, Yeo MK. Twenty-year temporal trends, risk profiles, and prognostic value of clinicopathological features in gallbladder cancer following cholecystectomy. World J Gastroenterol 2026; 32(7): 111478
- URL: https://www.wjgnet.com/1007-9327/full/v32/i7/111478.htm
- DOI: https://dx.doi.org/10.3748/wjg.v32.i7.111478
