Copyright
©The Author(s) 2025.
World J Gastroenterol. Nov 7, 2025; 31(41): 112794
Published online Nov 7, 2025. doi: 10.3748/wjg.v31.i41.112794
Published online Nov 7, 2025. doi: 10.3748/wjg.v31.i41.112794
Figure 1 The capsule endoscopy examination shows a protruding lesion with a diameter of approximately 1.
5 cm, ulcerations, and dark red bloodstains in the jejunum. A and B: The morphological manifestations of the lesion from different perspectives.
Figure 2 The oral single-balloon enteroscopy reveals two adjacent protruding lesions with surface erosion, blood clots, and a small amount of blood.
A: The surface morphology of the labial lesion and the local morphology of the anal lesion; B: The surface morphology of the anal lesion.
Figure 3
Intraoperatively, the serosal surface of the intestine was smooth, and the local nodular shadows with some parts of the intestines appeared blackish purple, suggestive of blood within the intestinal lumen.
Figure 4 The manifestations of small intestinal lesions under intraoperative enteroscopy.
A: The intraoperative enteroscopy through the incision of the intestinal segment on the lesion’s anal side reveals numerous fresh red bloodstains on the lesion’s surface; B: After rinsing, the local ulceration, active bleeding, and titanium clip on the oral side of the lesion were visible; C: On the anal side, which had a submucosal protruding mass, surface ulceration, adhering dark red bloodstains, and white coating were visible.
Figure 5 Postoperative gross specimen.
A: Upon opening the resected jejunum, a submucosal protruding mass with two ulcerations of different sizes was visible; B: After the lesion was incised, the tumor was observed to be grayish-white and grayish-red, with purple-red blood clots.
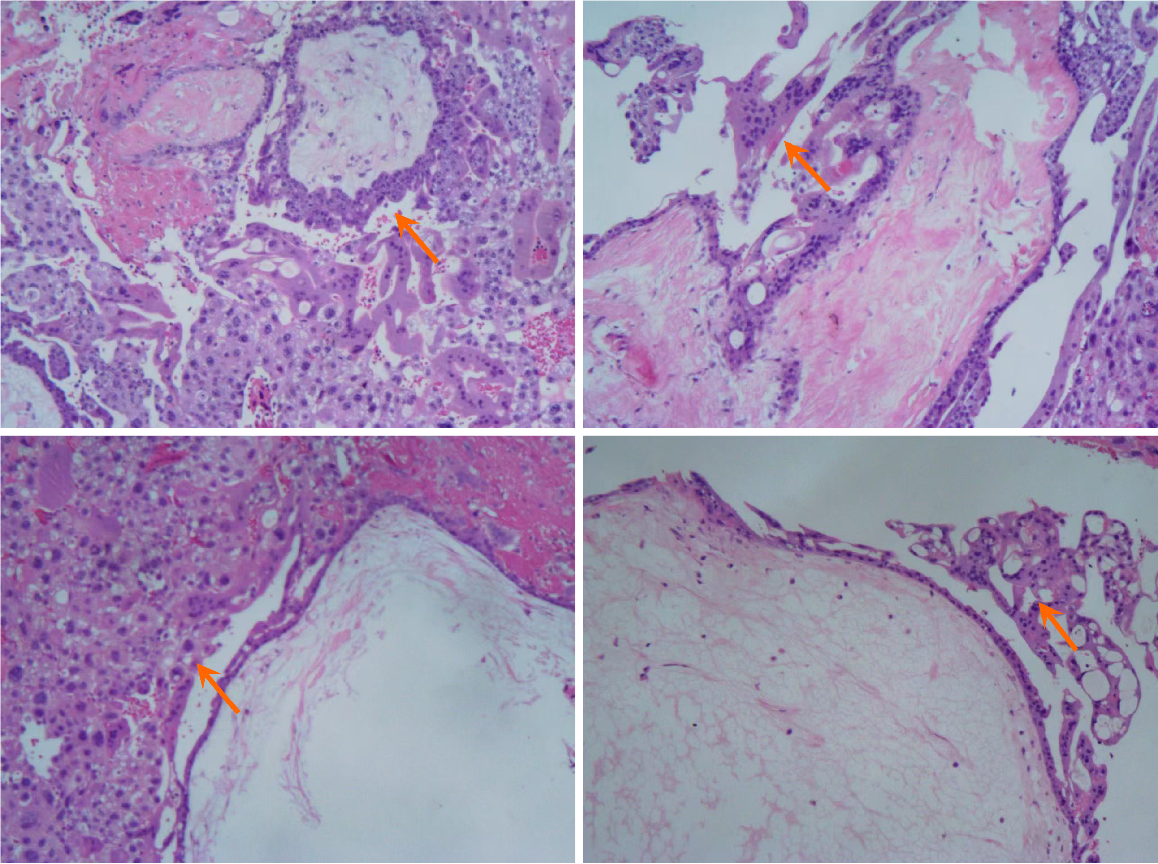
Figure 6 On the histopathology of the resected specimen, the hemorrhage, necrosis, and hyperplasia of trophoblastic cells were ob served in the submucosa and muscular layer.
In the figure, trophoblast cells were indicated by arrows (× 10). The intestinal mucosal glands had no atypia and villi. The villi were edematous, and some central pools were formed. Orange arrow: Trophoblast cells.
- Citation: Yu WH, Zong Y, Zhou JW, Xu GQ. Uncommon causes of acute small intestinal bleeding-invasive mole: A case report and review of literature. World J Gastroenterol 2025; 31(41): 112794
- URL: https://www.wjgnet.com/1007-9327/full/v31/i41/112794.htm
- DOI: https://dx.doi.org/10.3748/wjg.v31.i41.112794
