Copyright: ©Author(s) 2026.
World J Methodol. Jun 20, 2026; 16(2): 111784
Published online Jun 20, 2026. doi: 10.5662/wjm.v16.i2.111784
Published online Jun 20, 2026. doi: 10.5662/wjm.v16.i2.111784
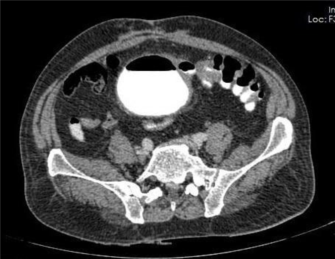
Figure 1
Computed tomography scan showing colovesical fistula between sigmoid colon and bladder (note the presence of gas within the bladder and communication with the sigmoid colon).
Figure 2
Dense adhesions between the sigmoid colon and the postero-lateral surface of the bladder.
Figure 3
Resected affected segment of the sigmoid colon.
- Citation: Hegde AV, Gupta S, Mohan LN, Rozario A. Unforeseen consequence of colovesical fistula in diverticulitis presenting as septic cellulitis: A case report. World J Methodol 2026; 16(2): 111784
- URL: https://www.wjgnet.com/2222-0682/full/v16/i2/111784.htm
- DOI: https://dx.doi.org/10.5662/wjm.v16.i2.111784
