©Author(s) (or their employer(s)) 2026.
World J Clin Pediatr. Mar 9, 2026; 15(1): 111021
Published online Mar 9, 2026. doi: 10.5409/wjcp.v15.i1.111021
Published online Mar 9, 2026. doi: 10.5409/wjcp.v15.i1.111021
Figure 1
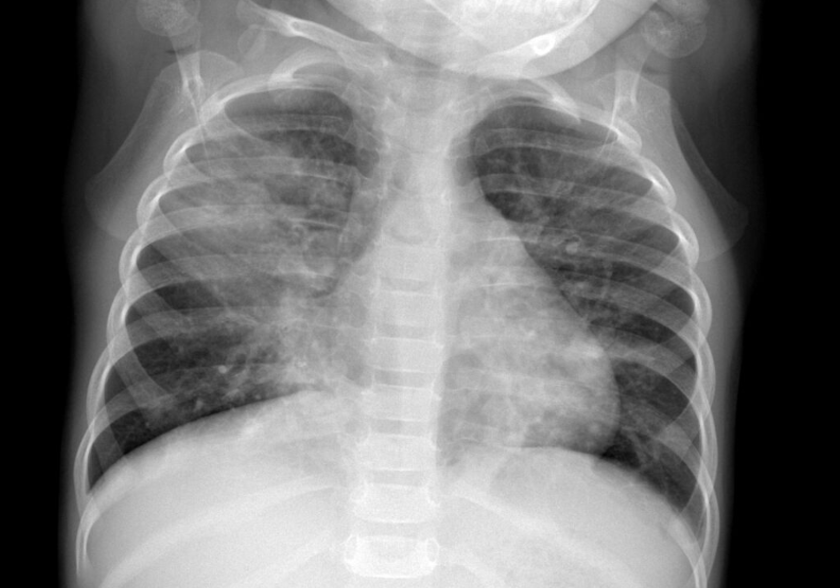
Chest X-ray showing right upper and middle lobe consolidation in a patient with adenoviral pneumonia who later developed post-infectious bronchiolitis obliterans.
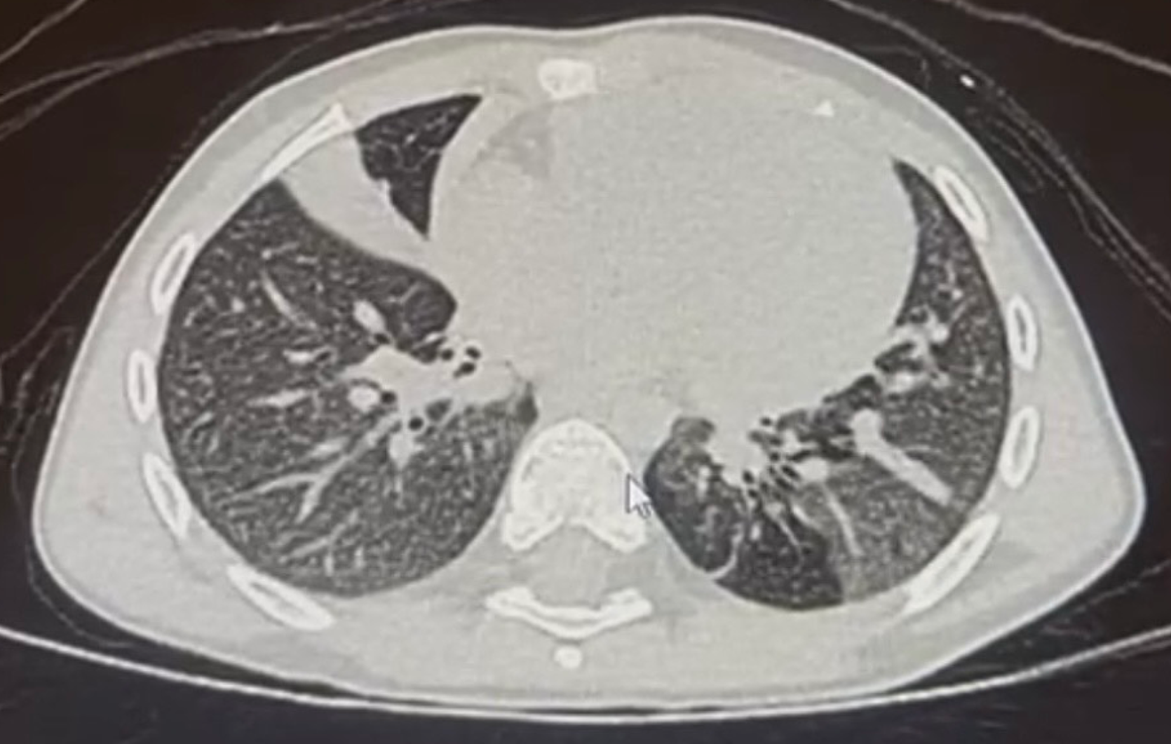
Figure 2 Chest high-resolution computed tomography scan of a patient with post-infectious bronchiolitis obliterans post adenovirus showing middle lobe atelectasis with air bronchogram and bronchiectasis.
Diffuse mosaic pattern and air trapping.
- Citation: Chiellino S. Therapeutic interventions and pulmonary function in pediatric patients with post-infectious bronchiolitis obliterans. World J Clin Pediatr 2026; 15(1): 111021
- URL: https://www.wjgnet.com/2219-2808/full/v15/i1/111021.htm
- DOI: https://dx.doi.org/10.5409/wjcp.v15.i1.111021
