Copyright
©The Author(s) 2025.
World J Clin Pediatr. Dec 9, 2025; 14(4): 106219
Published online Dec 9, 2025. doi: 10.5409/wjcp.v14.i4.106219
Published online Dec 9, 2025. doi: 10.5409/wjcp.v14.i4.106219
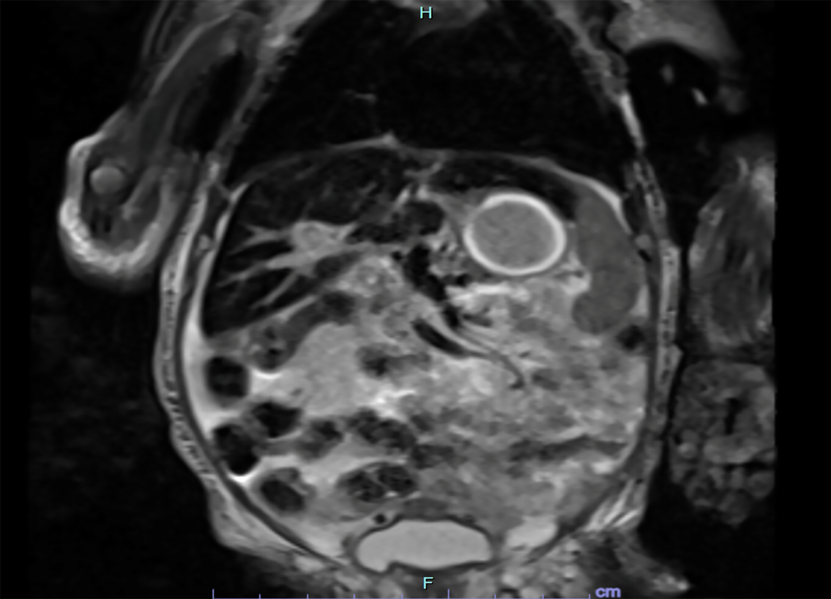
Figure 1 T2 signal loss in liver (case 4).
- Citation: Helali N, Gagnon H, Álvarez F. Gestational alloimmune liver disease reconsidered: Advocating for a new nomenclature and enhanced diagnosis accuracy. World J Clin Pediatr 2025; 14(4): 106219
- URL: https://www.wjgnet.com/2219-2808/full/v14/i4/106219.htm
- DOI: https://dx.doi.org/10.5409/wjcp.v14.i4.106219
