BPG is committed to discovery and dissemination of knowledge
Minireviews Open Access
©The Author(s) 2026. Published by Baishideng Publishing Group Inc. All rights reserved.
World J Orthop. Feb 18, 2026; 17(2): 113932
Published online Feb 18, 2026. doi: 10.5312/wjo.v17.i2.113932
Laminectomy alone vs laminectomy with posterior fusion in lumbar spinal stenosis: The role of instability
Mikail Chatzivasiliadis, Nikolaos Gkantsinikoudis, Constantinos Chaniotakis, Krikor Gkoumousian, Stylianos Kapetanakis, Department of Spine and Deformities, European Interbalkan Medical Center, Thessaloniki 57001, Kentrikí Makedonía, Greece
Panagiotis Konstantinou, Department of Orthopaedic II, Medical School, Aristotle University of Thessaloniki, General Hospital of Thessaloniki “G. Gennimatas”, Thessaloniki 54635, Kentrikí Makedonía, Greece
Dimitrios Koulalis, Department of Orthopaedic I, National and Kapodistrian University of Athens, Athens 11527, Attikí, Greece
Lazaros Kostretzis, Department of Orthopaedics, Medical School, Aristotle University of Thessaloniki, Thessaloniki 54124, Kentrikí Makedonía, Greece
Stylianos Kapetanakis, Department of Orthopedics, Aristotle University, Thessaloniki 54124, Kentrikí Makedonía, Greece
ORCID number: Mikail Chatzivasiliadis (0009-0003-8677-4153); Panagiotis Konstantinou (0000-0001-8490-6843); Dimitrios Koulalis (0000-0003-4297-130X); Lazaros Kostretzis (0000-0001-7594-2279); Nikolaos Gkantsinikoudis (0000-0001-7868-6880); Constantinos Chaniotakis (0000-0002-8935-5566); Krikor Gkoumousian (0009-0001-8141-2474); Stylianos Kapetanakis (0000-0001-6276-2447).
Author contributions: Chatzivasiliadis M drafted the original manuscript; Konstantinou P, Koulalis D, Kostretzis L, Gkantsinikoudis N, Chaniotakis C, Gkoumousian K, and Kapetanakis S contributed to study design and data acquisition; Koulalis D, Kostretzis L, Gkantsinikoudis N, and Kapetanakis S performed the data analysis and interpretation. All authors critically revised the manuscript for important intellectual content and approved the final version.
Conflict-of-interest statement: All the authors report no relevant conflicts of interest for this article.
Corresponding author: Panagiotis Konstantinou, MD, Chief Physician, Department of Orthopaedic II, Medical School, Aristotle University of Thessaloniki, General Hospital of Thessaloniki “G. Gennimatas”, Ethnikis Aminis 41, Thessaloniki 54635, Kentrikí Makedonía, Greece. pkonsb@auth.gr
Received: September 9, 2025
Revised: October 15, 2025
Accepted: November 24, 2025
Published online: February 18, 2026
Processing time: 150 Days and 14.8 Hours

Abstract

Lumbar spinal stenosis (LSS) is a common degenerative spinal disorder in older adults and a leading indication for surgery. Decompression via laminectomy remains the gold standard when conservative measures fail, but the addition of posterior fusion in cases without clear instability remains controversial. Anatomical and biomechanical considerations lie at the center of this debate. Central canal stenosis, lateral recess narrowing, and degenerative spondylolisthesis represent the main contributors to LSS, but they also raise the question of whether they signal true instability. Definitions of instability vary considerably across studies and guidelines, and thresholds for diagnosis remain inconsistent. While fusion is appropriate in the presence of instability, the lack of standardized criteria causes an uncertainty that may influence surgeons to fuse in cases without having definitive radiographic criteria for instability. The aim of this review is to compare laminectomy alone with laminectomy plus posterior fusion in the surgical management of LSS. Emphasis is given on anatomical and biomechanical considerations, instability definitions, clinical outcomes, and guideline recommendations. High-quality multicenter randomized trials are needed to develop universally accepted instability definitions, guide management of borderline cases, and optimize patient outcomes.

Key Words: Lumbar spinal stenosis; Laminectomy; Posterior fusion; Spinal instability; Degenerative spondylolisthesis; Fusion; Guideline recommendations

Core Tip: Lumbar spinal stenosis is common in older adults, and laminectomy is the gold standard when surgery is required. The decision to add posterior fusion, however, is less clear when instability is not well defined. Spinal fusion is an irreversible intervention that permanently alters spinal biomechanics, making careful patient selection essential. This review explores the anatomical and biomechanical factors behind the controversy, the varying definitions of instability, and how these shape surgical practice. By comparing laminectomy alone with laminectomy plus fusion, we highlight current uncertainties and emphasize the need for clearer criteria and stronger evidence to guide surgeons in managing borderline cases.



INTRODUCTION

Lumbar spinal stenosis (LSS) is the most common spinal disorder in elderly individuals that causes low back and leg pain. It is estimated to affect approximately 9% of the general population, with the prevalence increasing up to 47% in individuals over the age of 60[1]. In addition, LSS is responsible for symptoms in more than 200000 individuals in the United States and 103 million people worldwide that lead to functional limitations and reduced quality of life[2-4]. Patients with LSS typically present with neurogenic claudication, lower extremity pain, numbness, weakness, and in severe cases, bladder dysfunction[5]. The narrowing of the spinal canal that cause these symptoms are usually due to age-related degenerative changes such as intervertebral disc bulging, facet joint hypertrophy, and ligamentum flavum (LF) thickening. When conservative measures fail, surgical intervention becomes necessary to decompress the spinal canal.

In patients with central canal stenosis, lumbar laminectomy is a surgical decompression technique that is performed with or without posterior fusion depending on the presence of instability[6]. The decision to perform laminectomy alone vs decompression with posterior fusion continues to be debated. Generally, posterior pedicle screw fixation, or fusion, is commonly added in the presence of radiographic or clinical instability due to spondylolisthesis or high-grade facet joint degeneration[7]. However, in many cases posterior fusion may be unnecessary and causes increased operative risks, such as implant failure or adjacent segment disease with rates reported as high as 30% in long-term follow-up[8]. This adds to the debate as to whether fusion is beneficial in patients without clear instability, or whether decompression alone may be sufficient in many cases. A United States cohort study showed that decompression alone for LSS declined more than 20% in three years, while the use of decompression combined with fusion rates rose to more than 90% in the management of lumbar stenosis and degenerative spondylolisthesis[9]. This highlights a significant inconsistency in practice patterns among surgeons and reflects a critical gap in consensus.

The aim of this review is to compare lumbar laminectomy alone vs laminectomy with posterior fusion in the surgical management of LSS. An overview of the current literature is provided, including indications, clinical outcomes, complication profiles, and differences associated with each approach. This narrative review aims to summarize the current evidence on whether fusion provides additional benefit in the absence of instability and to support individualized surgical planning.

ANATOMICAL AND BIOMECHANICAL CONSIDERATIONS
Central canal stenosis

Before diving deeper into the differences in techniques and outcomes, it is important to understand the anatomical features and mechanisms of LSS. The most widely addressed subtype of LSS is central canal stenosis. This refers to a tightening in the anteroposterior diameter of the spinal canal and can be measured from the posterior border of the vertebral body to the anterior border of the lamina or LF[10]. Absolute stenosis is often defined as a diameter < 10 mm, while relative stenosis is defined as 10-13 mm[11,12]. The pathogenesis of central canal stenosis primarily involves degeneration over time that narrows the spinal canal. The most common causes to this are bulging of the intervertebral discs, osteoarthritic hypertrophy of the facet joints, and thickening or buckling of the LF[13,14]. LF hypertrophy and buckling is driven by a loss of elastic fibers, fibrocartilaginous transformation, and increased collagen cross-linking which further reduce the available canal space, especially during extension[15]. In more severe cases, a trefoilshaped canal morphology can be seen[16]. It is important to keep in mind that central canal stenosis is a space-occupying condition where the canal is compromised and the neural elements compressed. Magnetic resonance imaging (MRI) is the gold standard for diagnosis, and flexion-extension MRI or myelography can detect positional narrowing that is hard to diagnose on standard imaging.

Lateral recess stenosis

Another important pathology that combines most of these pathologies is lateral recess stenosis, which refers to the narrowing of the nerve root canal between the superior articular process and the posterior vertebral body, medial to the pedicle[17]. The traversing nerve root that sits in the space before it enters the foraminal zone is usually affected. This is usually the result of all the previously mentioned pathologies combined, such as facet joint hypertrophy, disc height loss that reduces the vertical dimension of the recess, and LF thickening or buckling[17]. Morphologically, lateral recess stenosis may be categorized as bony (osteophyte formation), soft tissue (LF thickening, disc protrusion), or combined. Clinically, it presents with unilateral or asymmetric radicular symptoms that may worsen lumbar extension. In addition, it frequently coexists with central canal stenosis. MRI also remains the gold standard for diagnosis for this pathology, while computed tomography imaging is useful for defining the bony contributions. The overload of these posterior elements makes lateral recess stenosis a known contributing factor to potential segmental instability.

Degenerative spondylolisthesis

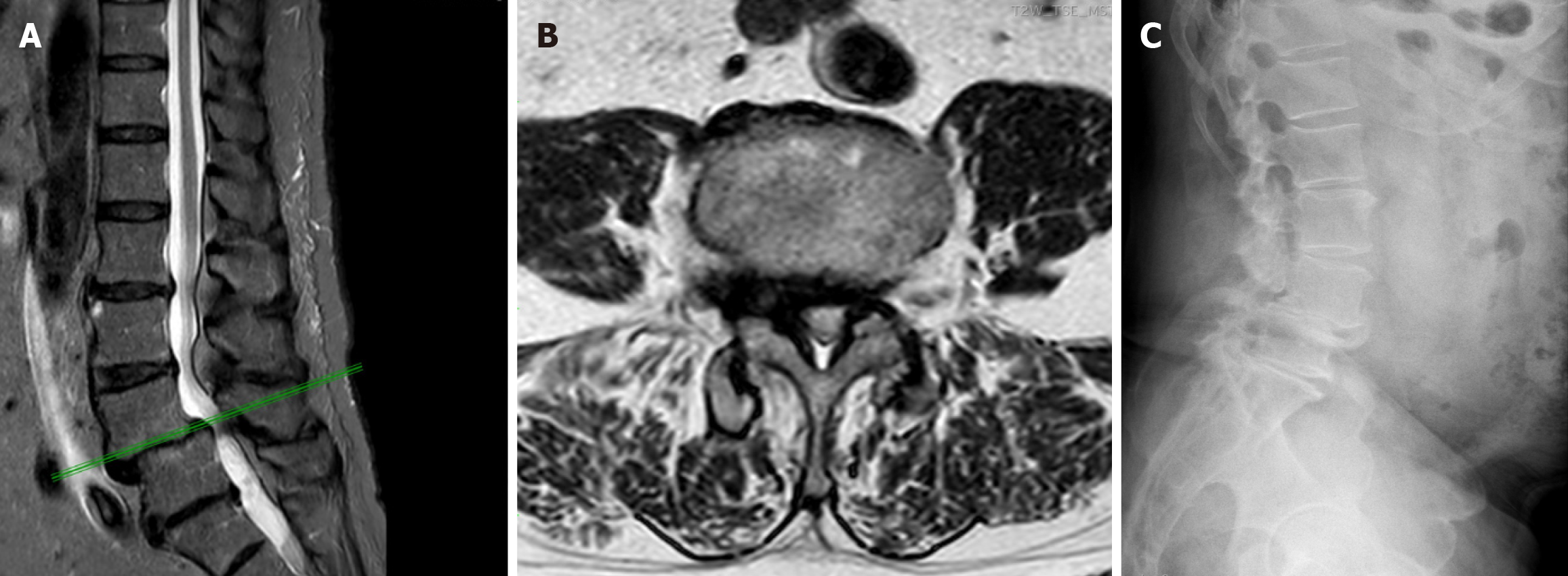
One of the most common causes of lumbar instability is degenerative spondylolisthesis, which usually occurs mostly at the lumbar L4-L5 level due to this segments’ increased mobility and transitional biomechanical forces. It is characterized by forward displacement, called anterolisthesis, of two adjacent vertebras. Saremi et al[18] also reported that the L4-L5 level is most susceptible for degenerative slippage and is detectable on dynamic radiographs. Studies have shown prevalence rates of 5.9% in females and 1.5% in males on dynamic radiographs. Higher rates in elderly patients were found that reached over 25% in women over 60 years old. The female predominance is likely attributed to the greater sagittal orientation of the facet joints and hormonal changes in ligamentous laxity. The pathophysiology involves progressive disc degeneration with height loss, sagittal remodeling of the facet joints, and capsular laxity. These changes reduce the resistance to anterior shear forces and allow for vertebral slippage. Dynamic flexion-extension radiographs remain the gold standard for diagnosing mechanical instability. Lattig et al[19] found that patients with degenerative spondylolisthesis had facet joint effusion on supine MRI (mean size approximately 2.15 mm) that correlated with greater translational slippage, meaning that MRI is a valid indicator of dynamic instability. An example of degenerative spondylolisthesis with associated imaging findings is shown in Figure 1.

Figure 1
Figure 1 Imaging of degenerative spondylolisthesis (Wiltse type III) at L4-L5. A: Sagittal T2-weighted magnetic resonance imaging demonstrating anterolisthesis of L4 over L5 with associated disc degeneration and loss of disc height; B: Axial T2-weighted magnetic resonance imaging at the L4-L5 level showing severe central canal stenosis and degenerative facet changes; C: Lateral radiograph clearly showing the anterior slip.
General considerations in spinal instability

Spinal instability is the abnormal increase in motion between the vertebral segments that result in mechanical back pain or neural compression[20]. This is a mechanical control problem rather than a narrowing of space. It can arise from degenerative processes as described above, as well as posterior ligamentous laxity or iatrogenic causes following surgery. Central canal stenosis and instability often coexist but should be distinguished in both diagnosis and surgical planning.

Facet joints serve as the posterior stabilizers of the spine and form part of the posterior border of the spinal canal. Degeneration of the facet joints with capsular laxity and loss of disc height can result in excessive motion and instability, while hypertrophic changes and osteophyte formation can result in a compressed spinal canal, leading to stenosis. These two conditions often coexist. Characteristic features like joint space narrowing, subchondral sclerosis, and osteophyte formation are seen on computed tomography or MRI[21]. As previously mentioned, facet arthropathy may also promote LF thickening or buckling due to reduced posterior tension[22]. In addition, intervertebral disc degeneration involves loss of disc height which shifts the mechanical load posteriorly and increases the strain on the facet joints and LF. Figure 2 shows examples of these degenerative changes that contributing to central canal stenosis and instability.

Figure 2
Figure 2 Imaging examples of degenerative changes contributing to central canal stenosis. A: Axial T2-weighted magnetic resonance imaging (MRI) from a 66-year-old male with unilateral facet joint hypertrophy (white arrow) narrowing the central canal; B: Sagittal T2-weighted MRI from a 49-year-old male showing ligamentum flavum thickening and buckling into the spinal canal (white arrows); C: Axial T2-weighted MRI from a 75-year-old male with lateral recess stenosis; D: Axial T2-weighted MRI from an 82-year-old male with central canal stenosis due to a combination of bilateral facet joint hypertrophy, ligamentum flavum thickening, and a central disc herniation.

Flexion-extension lateral radiographs remain the gold standard imaging modalities for the evaluation of segmental instability. Translational instability defined as anteroposterior vertebral displacement over 4-5 mm and angular instability defined as sagittal rotation over 10-15 degrees (up to 20 degrees at L4-L5) are thresholds established by Panjabi and White, which remain widely cited in current surgical guidelines[23].

Systemic inflammatory conditions such as rheumatoid arthritis (RA) also predispose to lumbar spinal instability[24]. RA affects both synovial joints and supporting ligaments, leads to facet joint erosion, ligamentous laxity, and in some cases vertebral collapse. Suzuki et al[25] found significantly higher rates of spondylolisthesis and vertebral fractures in RA patients compared to controls. Sagittal balance is also a key determinator of postoperative stability, especially the preservation of lumbar lordosis[26]. Lumbar lordosis increases shear forces across motion segments and accelerates degenerative changes[26].

Clinical relevance

The compression of the cauda equina can present with lower back pain, neurogenic claudication, radicular leg pain, lower extremity weakness, and gait disturbance[5,27]. Conservative treatment that provides relief includes physiotherapy, analgesics, and epidural steroid injections. However, this is often insufficient in the case of moderate to severe cases. In such cases, posterior decompression with lumbar laminectomy is considered the gold standard intervention[28]. However, whether decompression alone is sufficient in all patients remains uncertain, particularly in those with early or borderline signs of instability. This uncertainty may lead surgeons to perform fusion even in the absence of definitive radiographic criteria for instability.

A useful framework to assess spinal instability is the three-column Denis classification, which divides the spine’s structural integrity into the anterior, middle, and posterior columns[29]. Even though it was originally developed in relation to spinal trauma, the system is a good way to assess spinal stability in a general sense. The anterior column of the Denis classification consists of the anterior longitudinal ligament, the anterior half of the vertebral body, and the intervertebral disc. The middle column consists of the posterior half of the vertebral body, the posterior longitudinal ligament, and the posterior part of the disc[30]. The posterior column includes the facet joints, LF, interspinous and supraspinous ligaments, and other posterior elements[30,31]. Clinical instability is indicated whenever two or more of these columns are disrupted. Especially whenever there is degeneration or laxity of the posterior ligamentous complex it can predispose to segmental hypermobility[31]. In response, the body may initiate protective measures such as paraspinal muscle spasms, facet joint effusions or osteophyte formation to restore stability and mask the underlying instability, which makes diagnosis and surgical decision-making more difficult[30]. Understanding this spine classification system and the thresholds established by Panjabi and White sets the foundation for later frameworks, which turn the concept of instability into practical criteria for deciding when fusion is needed[23,29]. Common anatomical and pathological contributors to instability are summarized in Table 1.

Table 1 Summary of the contributors to lumbar spinal instability in the context of lumbar spinal stenosis.
Cause of instability
Imaging findings
Impact on stability
Surgical implications
Degenerative spondylolisthesisAnterolisthesis of vertebral body; facet joint effusion (> 1.5-2 mm)Abnormal translation; facet capsule laxityMay be considered for fusion if instability is demonstrable; decompression alone may risk progression of slip
Facet joint degenerationHypertrophy, joint space narrowing, subchondral sclerosis, osteophytesLoss of posterior element constraint; possible capsular laxityPreserve > 50% of facet during decompression to reduce risk of iatrogenic instability
LF thickening and bucklingLF buckles into canal; often secondary to facet arthropathy and loss of posterior tensionContributes to stenosis; not a primary instability cause, rather a correlatorLF removal is part of decompression; does not necessitate fusion unless other instability indicators are present
Intervertebral disc degenerationDisc height loss; Modic changes; vacuum phenomenonLoad shift posteriorly; increased facet strainMay predispose to instability after decompression; fusion only in combination with other signs
PLC laxityDisruption or thinning of supraspinous/interspinous ligaments (MRI)Reduced posterior tension band stabilityIf ≥ 2 spinal columns compromised, fusion is often considered, but thresholds and definitions vary
Iatrogenic resectionPostoperative facet removal > 50%Immediate segmental hypermobilityHigh risk of postoperative instability; may require fusion during index surgery depending on stability assessment
POSTERIOR DECOMPRESSION WITHOUT FUSION

As mentioned in the previous section, patients with central LSS and no radiographic or clinical evidence of instability undergo decompression via laminectomy alone. It involves the resection of the lamina to alleviate the pressure on the neural elements[28]. This surgical procedure is performed through a midline posterior approach in which the paraspinal musculature is dissected to expose the posterior elements[28]. The spinous process and laminae are partially or fully dissected as well, depending on the extent of stenosis and number levels that are involved. In addition, the LF that is either thickened or buckled is excised. Medial facetectomy may be performed to decompress the lateral recesses, depending on the anatomical configuration of the patient. However, the extent of bony resection during this procedure must be carefully considered, as removal of 50% of the facet joint leads to increased range of motion at the index level and results in high rates of postoperative instability[32].

In the Spine Patient Outcomes Research Trial, Weinstein et al[33] reported that standard decompression laminectomy alone provided improvement in pain and function in the majority of patients. However, patients that had lumbar instability were not included in their analysis, which limits its use to those with early or borderline findings of instability. Sajadi et al[34] did a meta-analysis and studied the long-term outcomes of laminectomy alone in LSS. They reported a pooled reoperation rate of 14% (95% confidence interval: 13%-16%), which shows that decompression without fusion still carries a significant risk. Another narrative review compared decompression alone to minimally invasive fusion techniques and reported lower complication rates and lower reoperation rates when doing laminectomy alone[35]. Together, these studies suggest that laminectomy alone is not without long-term risks and the options need to be weighted carefully[32-35].

In many cases, a central laminectomy with bilateral decompression is performed. On the other hand, a minimally invasive unilateral laminotomy with bilateral decompression can be done to limit soft tissue disruption, also known as the “cross-over” technique. This alternative demonstrated comparable clinical outcomes with reduced blood loss, muscle injury, and postoperative pain in select patients[36,37]. Algarni et al[36] reported an overall complication rate ranging between 18%-20%, dural tears in 3.6%-9% of cases and postoperative hematoma in 0%-4%.

POSTERIOR DECOMPRESSION WITH FUSION

On the other hand, in patients with central LSS and radiographic or clinical evidence of instability, the surgical procedure of choice is posterior decompression combined with spinal fusion[38]. The primary goal of fusion in the current context is to prevent motion between vertebral segments after laminectomy. This is especially important whenever the decompression involves facet resection, spondylolisthesis, or other forms of mechanical problems[39]. In lateral recess stenosis, determining the extent of decompression plays an important role. Limited laminotomy or medial facetectomy without fusion can be sufficient in isolated cases with stable segments[40]. However, when the decompression requires extensive facet joint removal to free the nerve root, the posterior stabilizing structures may be compromised, which increases the risk of iatrogenic instability. In these cases, fusion is often considered alongside decompression to maintain stability. In addition, the reduced baseline stability in RA often lowers the threshold for considering instrumented fusion in addition to decompression[41]. According to a meta-analysis of spine surgeries in RA patients by Streufert et al[41], it was reported that individuals with RA had high risk of complications compared to the controls. This highlights the need for careful surgical planning and could justify a lower threshold for fusion in RA patients. In the setting of LSS, RA patients may present with both central canal compromise and dynamic instability, so fusion is often considered even when displacement is minimal. Regarding sagittal balance, studies show that the pelvic incidence-lumbar lordosis mismatch (pelvic incidence minus lumbar lordosis > 10 degrees) predicts higher rates of adjacent segment disease and poor functional outcomes after lumbar fusion[42]. In addition, segmental lordosis gain improves Oswestry Disability Index and Visual Analog Scale scores in degenerative and spondylolisthesis cases[43]. So, surgical techniques such as laminectomy without stabilization may contribute to sagittal malalignment and mechanical instability. So, fusion is often considered to improve spinal balance.

This procedure also follows the standard midline posterior approach but is most commonly followed by pedicle screw instrumentation and grafting to achieve arthrodesis of the affected segments[39]. This type of fusion can be performed with or without interbody support, depending on the patient’s anatomy, specific pathology or surgeons’ preferences[38,39]. Whenever pedicle screws are used, they are inserted bilaterally into the vertebral pedicles under fluoroscopic guidance. These screws are then connected using longitudinal rods to restore the original alignment and provide stability. Intraoperative navigation or neuromonitoring may be used to reduce the risk of neural injury, especially in complex cases. Figure 3 shows postoperative lumbar fusion with pedicle screw fixation without grafts or implants.

Figure 3
Figure 3 Postoperative lumbar spinal fusion with pedicle screw instrumentation. Lateral (left) and anteroposterior (right) plain radiographs demonstrate solid fixation at the instrumented level with bilateral pedicle screws and connecting rods.

One of the posterior approaches to achieve arthrodesis is posterolateral fusion (PLF)[39,44]. In PLF, bone graft material is used and placed between the decorticated transverse processes on either side of the spine. This material is often harvested locally, or from the iliac crest of the patient. In this approach there is no need to manipulate the disc space. In addition, this posterior approach is preferred whenever the anterior column is unaffected. Whenever the anterior column is also affected, the choice to approach the surgery with transforaminal lumbar interbody fusion (TLIF) is often recommended, in which the facet joint is removed unilaterally to access the intervertebral space[45]. The intervertebral disc gets excised, and an interbody cage filled with bone graft fills the space to restore disc height and promote fusion. TLIF provides anterior column support and may be preferred in patients with kyphosis, recurrent stenosis, or discogenic pain. A systematic review by Levin et al[46] showed a significant fusion rate of 94.3% in the TLIF group vs 84.7% in the PLF group, suggesting that TLIF may be associated with higher rates of solid arthrodesis and better functional outcomes compared to PLF. Kim et al[47] reported that the addition of an interbody cage via TLIF reduced pedicle screw loosening rates (7.2%) compared to PLF with pedicle screws alone. It is important to mention that reduced bone mineral density, whether from age-related osteoporosis or secondary causes such as corticosteroid use, compromises the structural integrity of the vertebrae and the adhesive strength of pedicle screws[48]. This increases the risk of vertebral collapse and instrumentation failure, which influences the threshold for considering fusion, as weaker bone may require extra fixation or alternative strategies for long-term outcomes. A comparison of laminectomy alone and laminectomy + fusion is summarized in Table 2.

Table 2 Summary of differences between laminectomy alone and laminectomy with fusion for lumbar spinal stenosis.
Feature
Laminectomy alone
Laminectomy + fusion
Surgical approachMidline posterior exposure; removal of lamina ± partial medial facetectomy; LF excision; unilateral or bilateral decompressionMidline posterior exposure; decompression followed by pedicle screw instrumentation ± interbody cage placement
Extent of bone resectionLimited to lamina ± < 50% facet joint to preserve stabilityOften requires > 50% facet joint resection, especially with TLIF; posterior elements partially or fully decorticated
Stability preservationPreserves motion segment; relies on intact posterior tension bandEliminates motion at treated level; restores or maintains alignment
Graft/implant useNonePedicle screws, rods, bone graft with/or interbody cage
Common variationsCentral laminectomy with bilateral decompression; unilateral laminotomy with bilateral decompression (“crossover” technique)PLF; TLIF for anterior column support
Intraoperative considerationsMinimize facet removal to reduce risk of instabilityEnsure adequate fixation and graft placement; navigation or neuromonitoring often used
PRACTICE VARIATIONS AND GUIDELINES RECOMMENDATIONS

Over the past decade, there are multiple professional societies that have issued evidence-based recommendations on the surgical management of LSS based on stability status. Even though all these societies acknowledge that fusion should be performed in cases of definitive mechanical instability, the threshold to add fusion varies.

The North American Spine Society

North American Spine Society (NASS) is one of the organizations that offer a detailed framework for fusion[49,50]. They define mechanical instability on dynamic radiographs as translational motion greater than 4-5 mm or sagittal rotation exceeding 10-15 degrees and up to 20 degrees at L4-L5. Translation over 5 mm may be used for L5-S1. These thresholds are typically measured on neutral-flexion-extension lateral radiographs. In cases of stenosis, translational motion exceeding 2 mm is used as a threshold[49]. In addition, NASS graded their recommendations according to the strength of available evidence.

Lumbar fusion is indicated in cases of primary foraminal disc herniation where more than 50% of the facet joint has to be resected to retrieve the disc; recurrent disc herniations after previous surgery; cases of disc herniation with a low-lying conus medullaris; whenever there is evidence of spondylolisthesis of at least 2 mm; when decompression is expected to result in iatrogenic instability; and in cases of symptomatic adjacent segment disease that develops adjacent to a prior fusion[49,51,52]. In the context of pseudarthrosis, NASS recommends fusion when mechanical low back pain is localized to the level of non-union and when conservative treatment failed for over six months. Imaging findings would include a lack of bridging bone or dynamic motion at the level that fusion was intended.

Patients were given a grade B when they had degenerative spondylolisthesis and symptomatic LSS to perform fusion, even if the slip was low-grade (< 20%)[51,52]. In addition, patients were given a grade B in decompression alone for single-level grade I spondylolisthesis without lateral foraminal stenosis, which gave outcomes equivalent to decompression plus fusion[53]. Grade B meant that the evidence provides satisfactory short- to midterm outcomes, grade C was given to patients where decompression and fusion may provide satisfactory long-term results, but the evidence for this was weaker. In the NASS guidelines the grade C recommendations mainly appear in the context of multi-level disease, revision cases, or uncertain instability, which are outside the primary scope of this review. There was insufficient evidence that lumbar disc herniation with radiculopathy treated with fusion would provide better results. NASS does not recommend fusion in central and posterolateral disc herniations in the absence of the previously described instability or spondylolisthesis.

However, in pediatric and adolescent patients the treatment strategy should be different. Surgical decision-making for lowgrade spondylolisthesis is more conservative due to concerns about growth disturbance and segmental motion preservation, even though the indications might be in favor of fusion. Helenius et al[54] reported favorable long-term outcomes in the pediatric patient that was treated with fusion for symptomatic slips. They also emphasized that surgery should rarely be indicated for lowgrade slips unless symptoms persist despite conservative care. In addition, a recent meta-analysis in pediatric patients compared reduction with fusion vs in situ fusion for high-grade (> 50% slip) disease and found that reduction resulted in significantly lower pseudarthrosis rates and greater correction of slip angle and translation[55]. However, clinical symptoms such as pain, satisfaction, neurological risk, and reoperation did not have significant outcomes.

The World Federation of Neurosurgical Societies

The World Federation of Neurosurgical Societies (WFNS) spine committee published their own recommendations for surgical management of LSS and the role of fusion[56]. Their guidelines are derived from a combination of systematic literate reviews and a Delphi consensus process which involve international experts from numerous societies including the European Spine Society. Unlike the NASS, the WFNS does not have any numerical thresholds for instability but rather uses a more clinical prerogative. They recognize mechanical instability as a primary indicator for fusion and their decision to fuse is guided more by clinical judgement than radiographic criteria[56-58].

The WFNS mention clear radiographic criteria of abnormal segmental motion or clinical scenarios in which instability is expected following decompression. Their consensus suggests that lumbar fusion should be considered in the following scenarios: Radiographic confirmed instability (including degenerative spondylolisthesis, trauma, or deformity with symptomatic LSS); functional instability (axial low back pain associated with degeneration, even without measurable abnormal motion); extensive decompression with over 50% facet joint resection; recurrent stenosis (especially with progressive deformity or instability); symptomatic sagittal imbalance (with needed correction to restore spinal alignment); progressive deformity (such as degenerative scoliosis with coronal or sagittal malalignment); and failed previous fusion (pseudarthrosis). Like NASS, WFNS does not recommend fusion for patients with central or posterolateral lumbar stenosis without radiographic or functional instability[56,57]. In addition, they do not recommend fusion in stable spondylolisthesis or when axial pain is moderate, which shows their conservative position.

The Canadian Spine Outcomes Research Network

On the other hand, the Canadian Spine Outcomes Research Network developed the degenerative spondylolisthesis instability classification (DSIC), which provides yet another structured approach to define instability[59]. Unlike the previously mentioned systems, the DSIC integrates clinical, radiographic, and MRI parameters into a scoring system[60]. They derived this from a multicenter cohort of over 400 patients undergoing surgery for symptomatic spondylolisthesis and identified the following variables predictive of biomechanical instability: Translational motion of at least 4 mm on dynamic radiographs; kyphotic or neutral disc angle on flexion films; preserved disc height over 6.5 mm; facet joint effusion on T2-weighted MRI; and mechanical low back pain rated 5 out of 10 on Visual Analog Scale. Each of the previously mentioned factors count as one point. 0-2 points are classified as stable (type I), 3 points are considered potentially unstable (type II), and 3-5 points are classified as unstable (type III)[59]. They compared this objective scoring system to surgeons’ subjective perspective on instability ratings and it was revealed that instability was overestimated in 42% of the cases[59]. This shows that it is a necessity to have objective systems in place that reduce the potential for variability. In this DSIC model, type I patients are best managed with decompression alone. Type II patients are in a borderline category and the decision to add fusion is determined by the overall clinical picture, severity of symptoms, and likelihood of progression. On the other hand, type III patients are clear candidates of instrumented fusion, even in low-grade spondylolisthesis[59,61,62].

This Canadian framework introduces several innovative features compared to NASS and WFNS. They include MRI findings such as facet joint effusion and disc height preservation, which are not included in the NASS guidelines. In addition, they link symptom severity to the classification of instability[59]. However, its development was based on observational cohort data and has not yet been validated with randomized controlled trials. A multicenter prospective study evaluated the DSIC system and found that it reliably defines instability. However, functional outcomes and reoperation rates at 12 months were insignificant across each category whether instrumented fusion was performed or not[63]. Furthermore, it was designed specifically for degenerative spondylolisthesis, so its uncertainty to apply to central stenosis remain a point of concern. Nonetheless, its structured approach adds an important dimension to the current debate on how instability should be defined and when fusion is needed.

Other guidelines

There are several more professional societies that published recommendations or expert consensuses, but their definitions of instability remain poorly specified. One of those frameworks or clinical guidelines is provided by the United Kingdom National Institute for Health and Care Excellence (NICE)[64,65]. NICE agrees that surgical decompression by laminectomy is the standard intervention for LSS in the absence of instability[64]. Like the WFNS, NICE does not define instability numerically. When comparing the position that NICE holds with other guidelines (like NASS, WNFS, or Canadian Spine Outcomes Research Network), their guidance tends to be the most conservative of the entire spectrum, as they advocate for decompression alone in the majority of borderline cases. The Japanese Orthopedic Association mirrors the guidelines of NASS by requiring radiographic evidence of instability before considering fusion, but do not specify exact motion cut-offs[65]. Altogether, these frameworks reinforce the consensus on fusing in instability, but lack the universally accepted definitions, which keeps surgical planning highly subjective. A summary of the differences between these international guidelines on lumbar fusion in LSS is presented in Table 3.

Table 3 Comparison of international guideline recommendations for lumbar fusion in lumbar spinal stenosis according to instability status.
Criterion/element
NASS
WFNS
CSORN (DSIC)
NICE
JOA
Definition of instabilityNumerical thresholds: > 4-5 mm translation or > 10°-15° sagittal rotation (up to 20° at L4-L5). > 2 mm translation in stenosisNo numeric thresholds; based on radiographic and clinical judgementScoring system integrating translation ≥ 4 mm, kyphotic/neutral disc angle, disc height > 6.5 mm, facet effusion, and back pain severityNo numeric thresholds; not explicitly definedRequires radiographic evidence; no specific motion cut-offs
Primary indication for fusionDefinitive radiographic instability; > 50% facet removal; recurrent herniation; ≥ 2 mm spondylolisthesis; symptomatic adjacent segment disease; pseudarthrosisRadiographic or functional instability; extensive facet removal; recurrent stenosis; sagittal/coronal deformity; pseudarthrosisType III (unstable) DSIC score; some type II (borderline) cases based on clinical judgementOnly when instability is clearly present; decompression alone in most borderline casesRadiographic instability is similar to NASS criteria
Controversial areasLower threshold for fusion in degenerative spondylolisthesis (grade B for < 20% slip)Broader use of fusion for functional instability without measurable motionBorderline (type II) category may lead to over- or under-treatment; lacks RCT validationMost conservative; may undertreat subtle instabilityNo numeric thresholds may lead to variation in interpretation
CONCLUSION

In this review, we started by providing a general understanding of LSS management. We did this by diving into the relevant anatomy and pathophysiology, followed by a review of the current evidence on instability and its impact on outcomes in laminectomy and fusion cases. A comparison of major international guidelines that highlight their agreement on fusing in the presence of instability was included as well. While most professional societies agree that lumbar fusion is appropriate in the presence of demonstrable instability, the absence of a universally accepted definition of instability leaves room for interpretation. As a result, surgical decision-making remains subjective. This variability explains the international differences in fusion rates, where identical cases may lead to decompression alone in one clinical institution and decompression with fusion in another. Without standardized evidence-based criteria, the treatment of “borderline” instability cases will continue to affect both patient outcomes and healthcare costs. High-quality multicenter randomized controlled trials are needed to move towards a global consensus. In addition, patient age is an important factor that often carries greater weight than other single variables in the guidelines. For instance, in pediatric patients with low-grade spondylolisthesis who technically meet the criteria for fusion, the harm of affecting spinal growth and mobility may outweigh the expected benefits. Similarly, systemic diseases such as RA can alter the decision threshold as well. RA-related facet joint erosion, ligamentous laxity, and osteoporosis contribute to instability, which may justify a lower threshold for adding fusion even if radiographic displacement is minimal. This shows that there is more to the decisionmaking process than instability alone.

References
1.  Kalichman L, Cole R, Kim DH, Li L, Suri P, Guermazi A, Hunter DJ. Spinal stenosis prevalence and association with symptoms: the Framingham Study. Spine J. 2009;9:545-550.  [RCA]  [PubMed]  [DOI]  [Full Text]  [Full Text (PDF)]  [Cited by in Crossref: 519]  [Cited by in RCA: 464]  [Article Influence: 27.3]  [Reference Citation Analysis (1)]
2.  Katz JN, Zimmerman ZE, Mass H, Makhni MC. Diagnosis and Management of Lumbar Spinal Stenosis: A Review. JAMA. 2022;327:1688-1699.  [RCA]  [PubMed]  [DOI]  [Full Text]  [Cited by in Crossref: 408]  [Cited by in RCA: 331]  [Article Influence: 82.8]  [Reference Citation Analysis (1)]
3.  Wu AM, Zou F, Cao Y, Xia DD, He W, Zhu B, Chen D, Ni WF, Wang XY, Kwan K. Lumbar spinal stenosis: an update on the epidemiology, diagnosis and treatment. AME Med J. 2017;2:63.  [PubMed]  [DOI]  [Full Text]
4.  Sigmundsson FG, Jönsson B, Strömqvist B. Impact of pain on function and health related quality of life in lumbar spinal stenosis. A register study of 14,821 patients. Spine (Phila Pa 1976). 2013;38:E937-E945.  [RCA]  [PubMed]  [DOI]  [Full Text]  [Cited by in Crossref: 15]  [Cited by in RCA: 21]  [Article Influence: 1.6]  [Reference Citation Analysis (0)]
5.  Kapetanakis S, Chatzivasiliadis M, Gkoumousian K, Siopis C, Tsioulas P, Chaniotakis C. A Giant Lumbar Disc Herniation Causing Chronic Cauda Equina Syndrome: A Clinical Image. Clin Case Rep. 2025;13:e70513.  [RCA]  [PubMed]  [DOI]  [Full Text]  [Full Text (PDF)]  [Cited by in Crossref: 1]  [Cited by in RCA: 1]  [Article Influence: 1.0]  [Reference Citation Analysis (0)]
6.  Shafiekhani P, Hajimohammadebrahim-Ketabforoush M, Jajin EA, Zandpazandi S, Shahmohammadi M. Clinical Outcomes Following Decompression of Central Canal and Lateral Recess Simultaneous Stenosis, with a Focus on Multilevel Stenosis: A Randomized Comparison of Microscopic Bilateral Laminotomy versus Total Laminectomy with Posterior Spinal Fusion. World Neurosurg. 2024;187:e257-e263.  [RCA]  [PubMed]  [DOI]  [Full Text]  [Cited by in RCA: 2]  [Reference Citation Analysis (0)]
7.  Wu Y, Shen R, Li S, Luo T, Rong L, Zhang L. Fusion Surgery for Lumbar Spondylolisthesis: A Systematic Review with Network Meta-Analysis of Randomized Controlled Trials. World Neurosurg. 2024;185:327-337.e1.  [RCA]  [PubMed]  [DOI]  [Full Text]  [Cited by in Crossref: 9]  [Cited by in RCA: 7]  [Article Influence: 3.5]  [Reference Citation Analysis (1)]
8.  Mesregah MK, Yoshida B, Lashkari N, Abedi A, Meisel HJ, Diwan A, Hsieh P, Wang JC, Buser Z, Yoon ST; AO Spine Knowledge Forum Degenerative. Demographic, clinical, and operative risk factors associated with postoperative adjacent segment disease in patients undergoing lumbar spine fusions: a systematic review and meta-analysis. Spine J. 2022;22:1038-1069.  [RCA]  [PubMed]  [DOI]  [Full Text]  [Cited by in Crossref: 57]  [Cited by in RCA: 41]  [Article Influence: 10.3]  [Reference Citation Analysis (0)]
9.  Sastry RA, Chen JS, Shao B, Weil RJ, Chang KE, Maynard K, Syed SH, Zadnik Sullivan PL, Camara JQ, Niu T, Sampath P, Telfeian AE, Oyelese AA, Fridley JS, Gokaslan ZL. Patterns in Decompression and Fusion Procedures for Patients With Lumbar Stenosis After Major Clinical Trial Results, 2016 to 2019. JAMA Netw Open. 2023;6:e2326357.  [RCA]  [PubMed]  [DOI]  [Full Text]  [Full Text (PDF)]  [Cited by in Crossref: 24]  [Cited by in RCA: 22]  [Article Influence: 7.3]  [Reference Citation Analysis (1)]
10.  Botwin KP, Gruber RD. Lumbar spinal stenosis: anatomy and pathogenesis. Phys Med Rehabil Clin N Am. 2003;14:1-15, v.  [RCA]  [PubMed]  [DOI]  [Full Text]  [Cited by in Crossref: 57]  [Cited by in RCA: 38]  [Article Influence: 1.7]  [Reference Citation Analysis (1)]
11.  Verbiest H. Pathomorphologic aspects of developmental lumbar stenosis. Orthop Clin North Am. 1975;6:177-196.  [PubMed]  [DOI]
12.  Genevay S, Atlas SJ. Lumbar spinal stenosis. Best Pract Res Clin Rheumatol. 2010;24:253-265.  [RCA]  [PubMed]  [DOI]  [Full Text]  [Full Text (PDF)]  [Cited by in Crossref: 307]  [Cited by in RCA: 255]  [Article Influence: 15.9]  [Reference Citation Analysis (1)]
13.  Kim J, Kwon WK, Cho H, Lee S, Lee JB, Park JY, Jin DU, Jung EY, Hur JW. Ligamentum flavum hypertrophy significantly contributes to the severity of neurogenic intermittent claudication in patients with lumbar spinal canal stenosis. Medicine (Baltimore). 2022;101:e30171.  [RCA]  [PubMed]  [DOI]  [Full Text]  [Cited by in Crossref: 5]  [Cited by in RCA: 8]  [Article Influence: 2.0]  [Reference Citation Analysis (0)]
14.  Barry M, Livesley P. Facet joint hypertrophy: the cross-sectional area of the superior articular process of L4 and L5. Eur Spine J. 1997;6:121-124.  [RCA]  [PubMed]  [DOI]  [Full Text]  [Cited by in Crossref: 15]  [Cited by in RCA: 13]  [Article Influence: 0.4]  [Reference Citation Analysis (1)]
15.  Kosaka H, Sairyo K, Biyani A, Leaman D, Yeasting R, Higashino K, Sakai T, Katoh S, Sano T, Goel VK, Yasui N.   Pathomechanism of loss of elasticity and hypertrophy of lumbar ligamentum flavum in elderly patients with lumbar spinal canal stenosis. Spine (Phila Pa 1976) 2007; 32: 2805-2811.  [RCA]  [PubMed]  [DOI]  [Full Text]  [Cited by in Crossref: 132]  [Cited by in RCA: 112]  [Article Influence: 5.9]  [Reference Citation Analysis (1)]
16.  Eisenstein S. The trefoil configuration of the lumbar vertebral canal. A study of South African skeletal material. J Bone Joint Surg Br. 1980;62-B:73-77.  [RCA]  [PubMed]  [DOI]  [Full Text]  [Cited by in Crossref: 42]  [Cited by in RCA: 29]  [Article Influence: 0.6]  [Reference Citation Analysis (0)]
17.  Splettstößer A, Khan MF, Zimmermann B, Vogl TJ, Ackermann H, Middendorp M, Maataoui A. Correlation of lumbar lateral recess stenosis in magnetic resonance imaging and clinical symptoms. World J Radiol. 2017;9:223-229.  [RCA]  [PubMed]  [DOI]  [Full Text]  [Full Text (PDF)]  [Cited by in CrossRef: 28]  [Cited by in RCA: 35]  [Article Influence: 3.9]  [Reference Citation Analysis (1)]
18.  Saremi A, Goyal KK, Benzel EC, Orr RD. Evolution of lumbar degenerative spondylolisthesis with key radiographic features. Spine J. 2024;24:989-1000.  [RCA]  [PubMed]  [DOI]  [Full Text]  [Cited by in Crossref: 38]  [Cited by in RCA: 31]  [Article Influence: 15.5]  [Reference Citation Analysis (0)]
19.  Lattig F, Fekete TF, Grob D, Kleinstück FS, Jeszenszky D, Mannion AF. Lumbar facet joint effusion in MRI: a sign of instability in degenerative spondylolisthesis? Eur Spine J. 2012;21:276-281.  [RCA]  [PubMed]  [DOI]  [Full Text]  [Full Text (PDF)]  [Cited by in Crossref: 88]  [Cited by in RCA: 75]  [Article Influence: 5.4]  [Reference Citation Analysis (1)]
20.  Ma Q, Feng X, Chen Y, Zhang J, Sun C. Mechanical stress contributes to ligamentum flavum hypertrophy by inducing local inflammation and myofibroblast transition in the innovative surgical rabbit model. Front Immunol. 2025;16:1541577.  [RCA]  [PubMed]  [DOI]  [Full Text]  [Cited by in RCA: 3]  [Reference Citation Analysis (0)]
21.  Singh K, Hislop T, Lahiri A, Tekke P. Lumbar Facet Joint Fluid: A Reliable Sign of Lumbar Instability. Cureus. 2023;15:e39332.  [RCA]  [PubMed]  [DOI]  [Full Text]  [Cited by in RCA: 2]  [Reference Citation Analysis (0)]
22.  Yoshiiwa T, Miyazaki M, Notani N, Ishihara T, Kawano M, Tsumura H. Analysis of the Relationship between Ligamentum Flavum Thickening and Lumbar Segmental Instability, Disc Degeneration, and Facet Joint Osteoarthritis in Lumbar Spinal Stenosis. Asian Spine J. 2016;10:1132-1140.  [RCA]  [PubMed]  [DOI]  [Full Text]  [Full Text (PDF)]  [Cited by in Crossref: 55]  [Cited by in RCA: 47]  [Article Influence: 4.7]  [Reference Citation Analysis (1)]
23.  Panjabi MM, White AA 3rd. Basic biomechanics of the spine. Neurosurgery. 1980;7:76-93.  [RCA]  [PubMed]  [DOI]  [Full Text]  [Cited by in Crossref: 237]  [Cited by in RCA: 177]  [Article Influence: 3.8]  [Reference Citation Analysis (1)]
24.  Kato S, Nakamoto H, Matsubayashi Y, Taniguchi Y, Doi T, Yoshida Y, Higashikawa A, Takeshita Y, Fukushima M, Ono T, Hara N, Okazaki R, Iwai H, Oshina M, Sugita S, Hirai S, Masuda K, Tanaka S, Oshima Y; University of Tokyo Spine Group. Postoperative outcomes after degenerative lumbar spine surgery in rheumatoid arthritis patients -a propensity score-matched analysis. BMC Musculoskelet Disord. 2022;23:380.  [RCA]  [PubMed]  [DOI]  [Full Text]  [Full Text (PDF)]  [Cited by in Crossref: 6]  [Cited by in RCA: 5]  [Article Influence: 1.3]  [Reference Citation Analysis (1)]
25.  Suzuki A, Tamai K, Takahashi S, Yamada K, Inui K, Tada M, Okano T, Sugioka Y, Koike T, Nakamura H. Do rheumatoid arthritis patients have low back pain or radiological lumbar lesions more frequently than the healthy population? - Cross-sectional analysis in a cohort study with age and sex-matched healthy volunteers. Spine J. 2020;20:1995-2002.  [RCA]  [PubMed]  [DOI]  [Full Text]  [Cited by in Crossref: 4]  [Cited by in RCA: 6]  [Article Influence: 1.0]  [Reference Citation Analysis (0)]
26.  Barrey C, Darnis A. Current strategies for the restoration of adequate lordosis during lumbar fusion. World J Orthop. 2015;6:117-126.  [PubMed]  [DOI]  [Full Text]
27.  Rauschning W. Normal and pathologic anatomy of the lumbar root canals. Spine (Phila Pa 1976). 1987;12:1008-1019.  [RCA]  [PubMed]  [DOI]  [Full Text]  [Cited by in Crossref: 112]  [Cited by in RCA: 85]  [Article Influence: 2.2]  [Reference Citation Analysis (1)]
28.  Overdevest GM, Jacobs W, Vleggeert-Lankamp C, Thomé C, Gunzburg R, Peul W. Effectiveness of posterior decompression techniques compared with conventional laminectomy for lumbar stenosis. Cochrane Database Syst Rev. 2015;2015:CD010036.  [RCA]  [PubMed]  [DOI]  [Full Text]  [Cited by in Crossref: 57]  [Cited by in RCA: 59]  [Article Influence: 5.4]  [Reference Citation Analysis (1)]
29.  Rizkalla JM, Lines T, Nimmons S. Classifications in Brief: The Denis Classification of Sacral Fractures. Clin Orthop Relat Res. 2019;477:2178-2181.  [RCA]  [PubMed]  [DOI]  [Full Text]  [Cited by in Crossref: 11]  [Cited by in RCA: 13]  [Article Influence: 1.9]  [Reference Citation Analysis (0)]
30.  Hauser RA, Matias D, Woznica D, Rawlings B, Woldin BA. Lumbar instability as an etiology of low back pain and its treatment by prolotherapy: A review. J Back Musculoskelet Rehabil. 2022;35:701-712.  [RCA]  [PubMed]  [DOI]  [Full Text]  [Full Text (PDF)]  [Cited by in Crossref: 10]  [Cited by in RCA: 23]  [Article Influence: 5.8]  [Reference Citation Analysis (0)]
31.  Kapetanakis S, Chatzivasiliadis M, Gkantsinikoudis N. Anatomy and biomechanics of posterior ligamentous complex of the human spine: a narrative review. Surg Radiol Anat. 2025;47:170.  [RCA]  [PubMed]  [DOI]  [Full Text]  [Cited by in RCA: 2]  [Reference Citation Analysis (0)]
32.  Abumi K, Panjabi MM, Kramer KM, Duranceau J, Oxland T, Crisco JJ. Biomechanical evaluation of lumbar spinal stability after graded facetectomies. Spine (Phila Pa 1976). 1990;15:1142-1147.  [RCA]  [PubMed]  [DOI]  [Full Text]  [Cited by in Crossref: 349]  [Cited by in RCA: 328]  [Article Influence: 9.1]  [Reference Citation Analysis (0)]
33.  Weinstein JN, Tosteson TD, Lurie JD, Tosteson A, Blood E, Herkowitz H, Cammisa F, Albert T, Boden SD, Hilibrand A, Goldberg H, Berven S, An H. Surgical versus nonoperative treatment for lumbar spinal stenosis four-year results of the Spine Patient Outcomes Research Trial. Spine (Phila Pa 1976). 2010;35:1329-1338.  [RCA]  [PubMed]  [DOI]  [Full Text]  [Cited by in Crossref: 438]  [Cited by in RCA: 394]  [Article Influence: 24.6]  [Reference Citation Analysis (1)]
34.  Sajadi K, Azarhomayoun A, Jazayeri SB, Baigi V, Ranjbar Hameghavandi MH, Rostamkhani S, Atlasi R, Faghih Jooybari M, Ghodsi Z, Vaccaro AR, Khorasanizadeh M, Rahimi-Movaghar V. Long-Term Outcomes of Laminectomy in Lumbar Spinal Stenosis: A Systematic Review and Meta-Analysis. Asian J Neurosurg. 2022;17:141-155.  [RCA]  [PubMed]  [DOI]  [Full Text]  [Full Text (PDF)]  [Cited by in Crossref: 5]  [Cited by in RCA: 6]  [Article Influence: 1.5]  [Reference Citation Analysis (1)]
35.  Epstein NE. Lower complication and reoperation rates for laminectomy rather than MI TLIF/other fusions for degenerative lumbar disease/spondylolisthesis: A review. Surg Neurol Int. 2018;9:55.  [RCA]  [PubMed]  [DOI]  [Full Text]  [Full Text (PDF)]  [Cited by in Crossref: 9]  [Cited by in RCA: 19]  [Article Influence: 2.4]  [Reference Citation Analysis (0)]
36.  Algarni N, Al-Amoodi M, Marwan Y, Bokhari R, Addar A, Alshammari A, Alaseem A, Albishi W, Alshaygy I, Alabdullatif F. Unilateral laminotomy with bilateral spinal canal decompression: systematic review of outcomes and complications. BMC Musculoskelet Disord. 2023;24:904.  [RCA]  [PubMed]  [DOI]  [Full Text]  [Cited by in RCA: 9]  [Reference Citation Analysis (0)]
37.  Phan K, Mobbs RJ. Minimally Invasive Versus Open Laminectomy for Lumbar Stenosis: A Systematic Review and Meta-Analysis. Spine (Phila Pa 1976). 2016;41:E91-E100.  [RCA]  [PubMed]  [DOI]  [Full Text]  [Cited by in Crossref: 184]  [Cited by in RCA: 158]  [Article Influence: 15.8]  [Reference Citation Analysis (1)]
38.  Harris IA, Traeger A, Stanford R, Maher CG, Buchbinder R. Lumbar spine fusion: what is the evidence? Intern Med J. 2018;48:1430-1434.  [RCA]  [PubMed]  [DOI]  [Full Text]  [Cited by in Crossref: 26]  [Cited by in RCA: 57]  [Article Influence: 8.1]  [Reference Citation Analysis (0)]
39.  Kapetanakis S, Gkantsinikoudis N, Apostolakis S, Tsioulas P, Chaniotakis C. Posterolateral Instrumented Fusion in Elderly Patients With a Single Osteoporotic Vertebral Fracture: Evaluation of Health-Related Quality of Life. Cureus. 2024;16:e53498.  [RCA]  [PubMed]  [DOI]  [Full Text]  [Full Text (PDF)]  [Cited by in RCA: 3]  [Reference Citation Analysis (0)]
40.  Colak A, Topuz K, Kutlay M, Kaya S, Simşek H, Cetinkal A, Demircan MN. A less invasive surgical approach in the lumbar lateral recess stenosis: direct approach to the medial wall of the pedicle. Eur Spine J. 2008;17:1745-1751.  [RCA]  [PubMed]  [DOI]  [Full Text]  [Cited by in Crossref: 6]  [Cited by in RCA: 11]  [Article Influence: 0.6]  [Reference Citation Analysis (0)]
41.  Streufert BD, Onyedimma C, Yolcu YU, Ghaith AK, Elder BD, Nassr A, Currier B, Sebastian AS, Bydon M. Rheumatoid Arthritis in Spine Surgery: A Systematic Review and Meta-Analysis. Global Spine J. 2022;12:1583-1595.  [RCA]  [PubMed]  [DOI]  [Full Text]  [Full Text (PDF)]  [Cited by in RCA: 5]  [Reference Citation Analysis (0)]
42.  Tchachoua Jiembou G, Nda HA, Konan ML. Evaluation of lordosis recovery after lumbar arthrodesis and its clinical impact. Chin Neurosurg J. 2023;9:18.  [RCA]  [PubMed]  [DOI]  [Full Text]  [Full Text (PDF)]  [Cited by in Crossref: 2]  [Cited by in RCA: 5]  [Article Influence: 1.7]  [Reference Citation Analysis (0)]
43.  Tartara F, Garbossa D, Armocida D, Di Perna G, Ajello M, Marengo N, Bozzaro M, Petrone S, Giorgi PD, Schirò GR, Legrenzi S, Boeris D, Piazzolla A, Passarelli AC, Longo A, Ducati A, Penner F, Tancioni F, Bona A, Paternò G, Tassorelli C, De Icco R, Lamaida GA, Gallazzi E, Pilloni G, Colombo EV, Gaetani P, Aimar E, Zoia C, Stefini R, Rusconi A, Querenghi AM, Brembilla C, Bernucci C, Fanti A, Frati A, Manelli A, Muzii V, Sedia M, Romano A, Baram A, Figini S, Ballante E, Gioia G, Locatelli M, Pluderi M, Morselli C, Bassani R, Costa F, Cofano F. Relationship between lumbar lordosis, pelvic parameters, PI-LL mismatch and outcome after short fusion surgery for lumbar degenerative disease. Literature review, rational and presentation of public study protocol: RELApSE study (registry for evaluation of lumbar artrodesis sagittal alignEment). World Neurosurg X. 2023;18:100162.  [RCA]  [PubMed]  [DOI]  [Full Text]  [Cited by in Crossref: 7]  [Cited by in RCA: 17]  [Article Influence: 5.7]  [Reference Citation Analysis (0)]
44.  Tokuhashi Y, Ajiro Y, Umezawa N. Outcomes of posterior fusion using pedicle screw fixation in patients >or=70 years with lumbar spinal canal stenosis. Orthopedics. 2008;31:1096.  [PubMed]  [DOI]
45.  Mobbs RJ, Phan K, Malham G, Seex K, Rao PJ. Lumbar interbody fusion: techniques, indications and comparison of interbody fusion options including PLIF, TLIF, MI-TLIF, OLIF/ATP, LLIF and ALIF. J Spine Surg. 2015;1:2-18.  [RCA]  [PubMed]  [DOI]  [Full Text]  [Cited by in RCA: 525]  [Reference Citation Analysis (1)]
46.  Levin JM, Tanenbaum JE, Steinmetz MP, Mroz TE, Overley SC. Posterolateral fusion (PLF) versus transforaminal lumbar interbody fusion (TLIF) for spondylolisthesis: a systematic review and meta-analysis. Spine J. 2018;18:1088-1098.  [RCA]  [PubMed]  [DOI]  [Full Text]  [Cited by in Crossref: 44]  [Cited by in RCA: 70]  [Article Influence: 8.8]  [Reference Citation Analysis (0)]
47.  Kim DH, Hwang RW, Lee GH, Joshi R, Baker KC, Arnold P, Sasso R, Park D, Fischgrund J. Comparing rates of early pedicle screw loosening in posterolateral lumbar fusion with and without transforaminal lumbar interbody fusion. Spine J. 2020;20:1438-1445.  [RCA]  [PubMed]  [DOI]  [Full Text]  [Cited by in Crossref: 10]  [Cited by in RCA: 42]  [Article Influence: 7.0]  [Reference Citation Analysis (0)]
48.  Löffler MT, Sollmann N, Burian E, Bayat A, Aftahy K, Baum T, Meyer B, Ryang YM, Kirschke JS. Opportunistic Osteoporosis Screening Reveals Low Bone Density in Patients With Screw Loosening After Lumbar Semi-Rigid Instrumentation: A Case-Control Study. Front Endocrinol (Lausanne). 2020;11:552719.  [RCA]  [PubMed]  [DOI]  [Full Text]  [Full Text (PDF)]  [Cited by in Crossref: 40]  [Cited by in RCA: 37]  [Article Influence: 7.4]  [Reference Citation Analysis (0)]
49.  Kreiner DS, Shaffer WO, Baisden JL, Gilbert TJ, Summers JT, Toton JF, Hwang SW, Mendel RC, Reitman CA; North American Spine Society. An evidence-based clinical guideline for the diagnosis and treatment of degenerative lumbar spinal stenosis (update). Spine J. 2013;13:734-743.  [RCA]  [PubMed]  [DOI]  [Full Text]  [Cited by in Crossref: 401]  [Cited by in RCA: 352]  [Article Influence: 27.1]  [Reference Citation Analysis (1)]
50.  Montenegro TS, Elia C, Hines K, Buser Z, Wilson J, Ghogawala Z, Kurpad SN, Sciubba DM, Harrop JS. Are Lumbar Fusion Guidelines Followed? A Survey of North American Spine Surgeons. Neurospine. 2021;18:389-396.  [RCA]  [PubMed]  [DOI]  [Full Text]  [Full Text (PDF)]  [Cited by in Crossref: 7]  [Cited by in RCA: 15]  [Article Influence: 3.0]  [Reference Citation Analysis (0)]
51.  Watters WC 3rd, Bono CM, Gilbert TJ, Kreiner DS, Mazanec DJ, Shaffer WO, Baisden J, Easa JE, Fernand R, Ghiselli G, Heggeness MH, Mendel RC, O'Neill C, Reitman CA, Resnick DK, Summers JT, Timmons RB, Toton JF; North American Spine Society. An evidence-based clinical guideline for the diagnosis and treatment of degenerative lumbar spondylolisthesis. Spine J. 2009;9:609-614.  [RCA]  [PubMed]  [DOI]  [Full Text]  [Cited by in Crossref: 130]  [Cited by in RCA: 93]  [Article Influence: 5.5]  [Reference Citation Analysis (0)]
52.  Matz PG, Meagher RJ, Lamer T, Tontz WL Jr, Annaswamy TM, Cassidy RC, Cho CH, Dougherty P, Easa JE, Enix DE, Gunnoe BA, Jallo J, Julien TD, Maserati MB, Nucci RC, O'Toole JE, Rosolowski K, Sembrano JN, Villavicencio AT, Witt JP. Guideline summary review: An evidence-based clinical guideline for the diagnosis and treatment of degenerative lumbar spondylolisthesis. Spine J. 2016;16:439-448.  [RCA]  [PubMed]  [DOI]  [Full Text]  [Cited by in Crossref: 215]  [Cited by in RCA: 189]  [Article Influence: 18.9]  [Reference Citation Analysis (0)]
53.  Samuel AM, Moore HG, Cunningham ME. Treatment for Degenerative Lumbar Spondylolisthesis: Current Concepts and New Evidence. Curr Rev Musculoskelet Med. 2017;10:521-529.  [RCA]  [PubMed]  [DOI]  [Full Text]  [Cited by in Crossref: 23]  [Cited by in RCA: 38]  [Article Influence: 4.2]  [Reference Citation Analysis (0)]
54.  Helenius I, Virkki E, Toomela T, Studer D, Gehrchen M, Ahonen M. An Acta Orthopaedica educational article: Treatment of pediatric spondylolysis and spondylolisthesis. Acta Orthop. 2025;96:80-86.  [RCA]  [PubMed]  [DOI]  [Full Text]  [Full Text (PDF)]  [Cited by in Crossref: 2]  [Cited by in RCA: 2]  [Article Influence: 2.0]  [Reference Citation Analysis (1)]
55.  Koucheki R, Rocos B, Gandhi R, Lewis SJ, Lebel DE. Surgical management of high-grade paediatric spondylolisthesis: meta-analysis and systematic review. Eur Spine J. 2023;32:436-446.  [RCA]  [PubMed]  [DOI]  [Full Text]  [Cited by in Crossref: 10]  [Cited by in RCA: 7]  [Article Influence: 2.3]  [Reference Citation Analysis (1)]
56.  Sharif S, Shaikh Y, Bajamal AH, Costa F, Zileli M. Fusion Surgery for Lumbar Spinal Stenosis: WFNS Spine Committee Recommendations. World Neurosurg X. 2020;7:100077.  [RCA]  [PubMed]  [DOI]  [Full Text]  [Full Text (PDF)]  [Cited by in Crossref: 28]  [Cited by in RCA: 23]  [Article Influence: 3.8]  [Reference Citation Analysis (1)]
57.  Roitberg B, Zileli M, Sharif S, Anania C, Fornari M, Costa F. Mobility-Preserving Surgery for Lumbar Spinal Stenosis: WFNS Spine Committee Recommendations. World Neurosurg X. 2020;7:100078.  [RCA]  [PubMed]  [DOI]  [Full Text]  [Full Text (PDF)]  [Cited by in Crossref: 5]  [Cited by in RCA: 5]  [Article Influence: 0.8]  [Reference Citation Analysis (1)]
58.  Zileli M, Fornari M, Costa F. Lumbar Spinal Stenosis Recommendations of World Federation of Neurosurgical Societies Spine Committee. World Neurosurg X. 2020;7:100080.  [RCA]  [PubMed]  [DOI]  [Full Text]  [Full Text (PDF)]  [Cited by in Crossref: 2]  [Cited by in RCA: 4]  [Article Influence: 0.7]  [Reference Citation Analysis (0)]
59.  MacLean MA, Bailey C, Fisher C, Rampersaud YR, Greene R, Abraham E, Dea N, Hall H, Manson N, Glennie RA. Evaluating Instability in Degenerative Lumbar Spondylolisthesis: Objective Variables Versus Surgeon Impressions. JB JS Open Access. 2022;7:e22.00052.  [RCA]  [PubMed]  [DOI]  [Full Text]  [Full Text (PDF)]  [Cited by in RCA: 8]  [Reference Citation Analysis (0)]
60.  Simmonds AM, Rampersaud YR, Dvorak MF, Dea N, Melnyk AD, Fisher CG. Defining the inherent stability of degenerative spondylolisthesis: a systematic review. J Neurosurg Spine. 2015;23:178-189.  [RCA]  [PubMed]  [DOI]  [Full Text]  [Cited by in Crossref: 94]  [Cited by in RCA: 80]  [Article Influence: 7.3]  [Reference Citation Analysis (1)]
61.  Glennie RA, Bailey CS, Abraham E, Manson N, Casha S, Thomas K, Paquet J, McIntosh G, Hall H, Fisher CG, Rampersaud YR. Variation in surgical treatment of degenerative spondylolisthesis in Canada: surgeon assessment of stability and impact on treatment. Eur Spine J. 2021;30:3709-3719.  [RCA]  [PubMed]  [DOI]  [Full Text]  [Cited by in Crossref: 15]  [Cited by in RCA: 13]  [Article Influence: 2.6]  [Reference Citation Analysis (1)]
62.  Schneider N, Fisher C, Glennie A, Urquhart J, Street J, Dvorak M, Paquette S, Charest-Morin R, Ailon T, Manson N, Thomas K, Rasoulinejad P, Rampersaud R, Bailey C. Lumbar degenerative spondylolisthesis: factors associated with the decision to fuse. Spine J. 2021;21:821-828.  [RCA]  [PubMed]  [DOI]  [Full Text]  [Cited by in Crossref: 34]  [Cited by in RCA: 30]  [Article Influence: 6.0]  [Reference Citation Analysis (1)]
63.  Leinweber KA, Baltic SP, Lyons KW, Mariaux F, Mannion AF, Werth PM, Fekete T, Porchet F, McGuire KJ, Lurie JD, Pearson AM. Evaluation of the degenerative lumbar spondylolisthesis instability classification (DSIC) system as a guide to surgical technique selection. Eur Spine J. 2025;34:1985-1994.  [RCA]  [PubMed]  [DOI]  [Full Text]  [Cited by in RCA: 3]  [Reference Citation Analysis (0)]
64.  de Campos TF. Low back pain and sciatica in over 16s: assessment and management NICE Guideline [NG59]. J Physiother. 2017;63:120.  [RCA]  [PubMed]  [DOI]  [Full Text]  [Cited by in Crossref: 80]  [Cited by in RCA: 142]  [Article Influence: 15.8]  [Reference Citation Analysis (0)]
65.  Kawakami M, Takeshita K, Inoue G, Sekiguchi M, Fujiwara Y, Hoshino M, Kaito T, Kawaguchi Y, Minetama M, Orita S, Takahata M, Tsuchiya K, Tsuji T, Yamada H, Watanabe K; Structured abstract preparation team. Japanese Orthopaedic Association (JOA) clinical practice guidelines on the management of lumbar spinal stenosis, 2021 - Secondary publication. J Orthop Sci. 2023;28:46-91.  [RCA]  [PubMed]  [DOI]  [Full Text]  [Cited by in Crossref: 49]  [Cited by in RCA: 39]  [Article Influence: 13.0]  [Reference Citation Analysis (1)]
Footnotes

Provenance and peer review: Unsolicited article; Externally peer reviewed.

Peer-review model: Single blind

Specialty type: Orthopedics

Country of origin: Greece

Peer-review report’s classification

Scientific Quality: Grade B

Novelty: Grade B

Creativity or Innovation: Grade B

Scientific Significance: Grade C

Open Access: This article is an open-access article that was selected by an in-house editor and fully peer-reviewed by external reviewers. It is distributed in accordance with the Creative Commons Attribution NonCommercial (CC BY-NC 4.0) license, which permits others to distribute, remix, adapt, build upon this work non-commercially, and license their derivative works on different terms, provided the original work is properly cited and the use is non-commercial. See: https://creativecommons.org/Licenses/by-nc/4.0/

P-Reviewer: Anandan H, PhD, Professor, India S-Editor: Zuo Q L-Editor: A P-Editor: Wang CH

Write to the Help Desk