Copyright
©The Author(s) 2025.
World J Orthop. Nov 18, 2025; 16(11): 110173
Published online Nov 18, 2025. doi: 10.5312/wjo.v16.i11.110173
Published online Nov 18, 2025. doi: 10.5312/wjo.v16.i11.110173
Figure 1 Preoperative physical examination showed a palpable gap over the upper part of the patella in both knees.
Figure 2 Preoperative magnetic resonance imaging showed the bilateral sleeve fracture of the superior pole of the patella.
A: Coronary magnetic resonance imaging (MRI) in the right knee; B: Sagittal MRI in the right knee; C: Coronary MRI in the left knee; D: Sagittal MRI in the left knee.
Figure 3 Preoperative and intraoperative photos.
A: Patient in the supine position with an anterior approach incision in both knees; B-E: Intraoperative photographs. A thin shell of avulsed bone in the right knee (B); A thin shell of avulsed bone in the left knee (C); Two 4.5-mm suture anchors placed on the upper part of the patella in the right knee (D); The autogenous gracilis was applied to augment the stability by performing the figure-of-eight technique in the right knee (E).
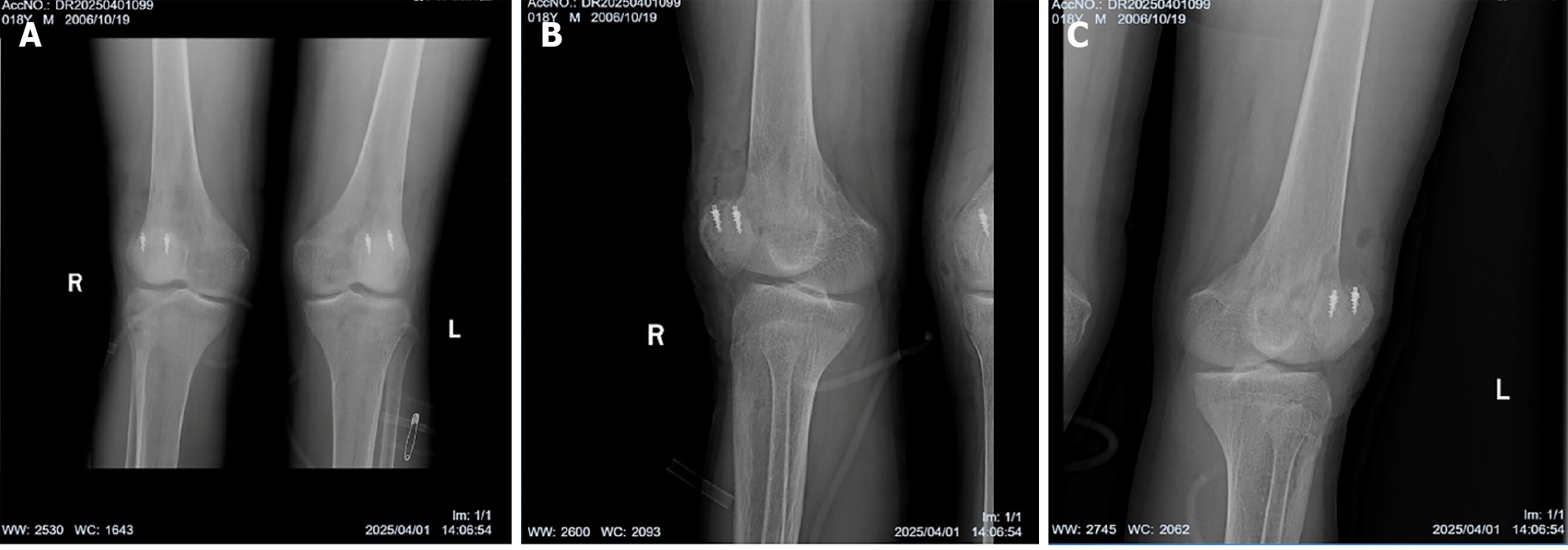
Figure 4 Plain radiography of bilateral knee joints after surgery.
A: Anteroposterior radiography of bilateral knee joints; B: Lateral radiography of right knee joint; C: Lateral radiography of left knee joint.
Figure 5 Follow-up at 6 weeks after surgery.
A and B: Range of motion of bilateral knee joints; C and D: Gait of the patient.
- Citation: He WP, Ren CM, Luo F, Chen L, Wang WT, Qiu BT, Zhang XC, Chen HT. Bilateral sleeve fracture of the superior pole of the patella in a healthy adult: A case report. World J Orthop 2025; 16(11): 110173
- URL: https://www.wjgnet.com/2218-5836/full/v16/i11/110173.htm
- DOI: https://dx.doi.org/10.5312/wjo.v16.i11.110173
