©Author(s) (or their employer(s)) 2026.
World J Radiol. Feb 28, 2026; 18(2): 115249
Published online Feb 28, 2026. doi: 10.4329/wjr.v18.i2.115249
Published online Feb 28, 2026. doi: 10.4329/wjr.v18.i2.115249
Figure 1 Different kinds of artifacts caused by the coaxial needle in the originally reconstructed cone-beam computed tomography images.
A: Radial artifacts; B: Streak artifacts; C: Thickening artifacts; D: Dark streak; E-H: After streak metal artifact reduction technique reconstruction, all kinds of artifacts can be significantly suppressed. SMART: Streak metal artifact reduction technique.
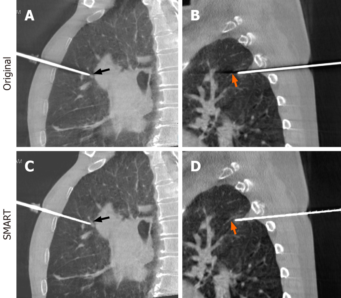
Figure 2 In the original cone-beam computed tomography images, the metal artifacts interfere with the visualization of the vessels around the target lesions.
A and B: Original cone-beam computed tomography images; C and D: After streak metal artifact reduction technique reconstruction, the vessels can be clearly visualized as indicated by the arrows. SMART: Streak metal artifact reduction technique.
- Citation: Wang ZL, Wu G. Application of streak metal artifact reduction technique in cone-beam computed tomography guided percutaneous transthoracic needle biopsy. World J Radiol 2026; 18(2): 115249
- URL: https://www.wjgnet.com/1949-8470/full/v18/i2/115249.htm
- DOI: https://dx.doi.org/10.4329/wjr.v18.i2.115249
