BPG is committed to discovery and dissemination of knowledge
Case Report Open Access
©The Author(s) 2025. Published by Baishideng Publishing Group Inc. All rights reserved.
World J Gastrointest Surg. Dec 27, 2025; 17(12): 113532
Published online Dec 27, 2025. doi: 10.4240/wjgs.v17.i12.113532
Bouveret syndrome in a young patient: A case report and review of literature
Yu-Chen Hu, Xu-Yi Chen, Meng-Ke Cao, The Fourth School of Clinical Medicine, Zhejiang Chinese Medical University, Hangzhou First People’s Hospital, Hangzhou 310000, Zhejiang Province, China
Zhen Fan, Department of Gastroenterology, Hangzhou First People's Hospital, Westlake University Affiliated Hangzhou First People's Hospital, Hangzhou 310006, Zhejiang Province, China
ORCID number: Yu-Chen Hu (0009-0000-9380-8129); Zhen Fan (0000-0001-6096-7502).
Author contributions: Hu YC, Chen XY and Cao MK wrote the original draft; Fan Z performed review and editing. All authors have read and approved the final manuscript.
Supported by Medical and Health Technology Project of Hangzhou, No. ZD20240015.
Informed consent statement: Written informed consent was obtained from the patient for publication of this case report and any accompanying images.
Conflict-of-interest statement: The authors declare that there are no competing interests.
CARE Checklist (2016) statement: The authors have read the CARE Checklist (2016), and the manuscript was prepared and revised according to the CARE Checklist (2016).
Corresponding author: Zhen Fan, MD, PhD, Chief Physician, Professor, Hangzhou First People's Hospital, Department of Gastroenterology, Westlake University Affiliated Hangzhou First People's Hospital, No. 261 Huansha Road, Shangcheng District, Hangzhou 310006, Zhejiang Province, China. fanzhenmd@163.com
Received: August 27, 2025
Revised: October 4, 2025
Accepted: November 12, 2025
Published online: December 27, 2025
Processing time: 119 Days and 23.4 Hours

Abstract
BACKGROUND

Bouveret syndrome is a rare cause of gastric outlet obstruction resulting from the passage of a gallstone into the duodenum or stomach through a biliary-enteric fistula. It is a complication of chronic cholelithiasis and accounts for only 1%-3% of all gallstone-related intestinal obstructions.

CASE SUMMARY

A 49-year-old male presented with nausea, vomiting, and upper abdominal pain. Imaging revealed a large gastric stone and a cholecystoduodenal fistula, confirming Bouveret syndrome. An initial endoscopic attempt to remove the stone was unsuccessful, necessitating surgical intervention. The patient subsequently underwent successful stone extraction and fistula repair, followed by an uneventful postoperative recovery. While Bouveret syndrome typically affects elderly individuals (average age: 74 years), this case in a younger patient provides valuable insights into its management in this demographic.

CONCLUSION

Bouveret syndrome is a serious but uncommon condition often presenting with nonspecific symptoms, leading to potential diagnostic delays. Timely diagnosis, usually confirmed by imaging, is critical for optimal outcomes. Although endoscopy is often the first-line therapy, surgery remains essential for cases with failed endoscopic intervention or complex anatomical involvement. This case highlights the importance of recognizing the syndrome’s clinical features in younger patients and enhancing the understanding of its diagnosis and management strategies.

Key Words: Bouveret syndrome; Gallbladder-duodenum fistula; Gallstone-related intestinal obstruction; Intestinal obstruction; Case report

Core Tip: This case highlights Bouveret syndrome-a rare cause of gastric outlet obstruction-occurring in an unusually young patient (age: 49 years). This condition was successfully managed with surgical intervention following endoscopic removal. It highlights the critical role of early imaging in prompt diagnosis and reinforces that surgery remains the definitive treatment for complex or refractory cases, providing insights into management strategies for atypical patient populations.



INTRODUCTION

Bouveret syndrome is a rare cause of gastrointestinal obstruction resulting from a gallstone entering the digestive tract through a cholecystoduodenal or cholecystogastric fistula. It accounts for 1%-3% of all gallstone-related obstructions and carries a high mortality rate (12%-18%), often due to the presentation of nonspecific symptoms such as nausea, vomiting, and abdominal pain that delay the diagnosis[1-4]. Imaging, particularly abdominal computed tomography (CT), is thus crucial for confirmation. The relevant treatment strategies range from endoscopic retrieval to surgery, depending on the stone size and other patient factors. The present patient was a 49-year-old man, who is younger than a typical patient with this disorder, highlighting the key diagnostic and therapeutic considerations for this rare disorder.

CASE PRESENTATION
Chief complaints

Recurrent upper abdominal pain for 4 days, with a recurrence lasting for half a day.

History of present illness

Four days before his admission, the patient developed intermittent, dull pain localized below the xiphoid process, without any evident precipitating factors. The pain was non-radiating, accompanied by nausea and frequent vomiting, approximately 5-6 times daily, that typically occurred approximately 1 hour after meals, with vomitus primarily consisting of the gastric contents. The patient denied experiencing any chills, fever, diarrhea, hematochezia, recent significant weight loss, or any other associated symptoms or any family history of gastrointestinal diseases. His symptoms improved following treatment with intravenous proton-pump inhibitors, fluid resuscitation, and electrolyte correction. However, later, the abdominal pain recurred, showing similar characteristics half a day before admission, which prompted hospitalization for further evaluation and management.

History of past illness

The patient had a 15-year history of hypertension and a 6-year history of type 2 diabetes mellitus (T2DM).

Personal and family history

No family history of gastrointestinal disorders.

Physical examination

On physical examination, the patient was found to be hemodynamically stable. His detailed baseline vital signs were as follows: Blood pressure 132/85 mmHg, heart rate 88 bpm, respiratory rate 16 breaths per minute, oxygen saturation 98% on room air, and afebrile (temperature 36.8 ℃). His general inspection revealed no overt pallor of the conjunctivae or palmar creases; no jaundice was evident in the sclera or skin; and there were no signs of significant dehydration, such as dry mucous membranes or reduced skin turgor. Digital clubbing was also not present. Abdominal examination revealed a soft abdomen with mild tenderness in the epigastric region. There was no rebound tenderness, palpable mass, visible bowel peristalsis, or abnormal peristaltic wave. Murphy’s sign was negative. Auscultation of the chest revealed clear lung fields bilaterally, with no wheezes, crackles, or rhonchi. His heart sounds were also normal, with no murmurs.

Laboratory examinations

Laboratory investigations revealed the following: White blood cell count, 3.1 × 109/L; neutrophil percentage, 67.1%; hemoglobin, 106 g/L; red blood cell count, 4.06 × 1012/L; platelet count, 91 × 109/L; total protein, 63.2 g/L; albumin, 38.1 g/L; total bilirubin, 10.36 μmol/L; conjugated bilirubin, 8.2 μmol/L. The cumulative findings were consistent with a chronic inflammatory and catabolic state, marked by leukopenia, mild anemia, thrombocytopenia, and hypoproteinemia. Notably, hyperbilirubinemia was absent. In accordance with the institutional protocol for evaluating unexplained obstruction and anemia in middle-aged patients, tumor markers, including alpha-fetoprotein, carcinoembryonic antigen, and carbohydrate antigen 19-9, were examined and found to be within the normal limits.

Imaging examinations

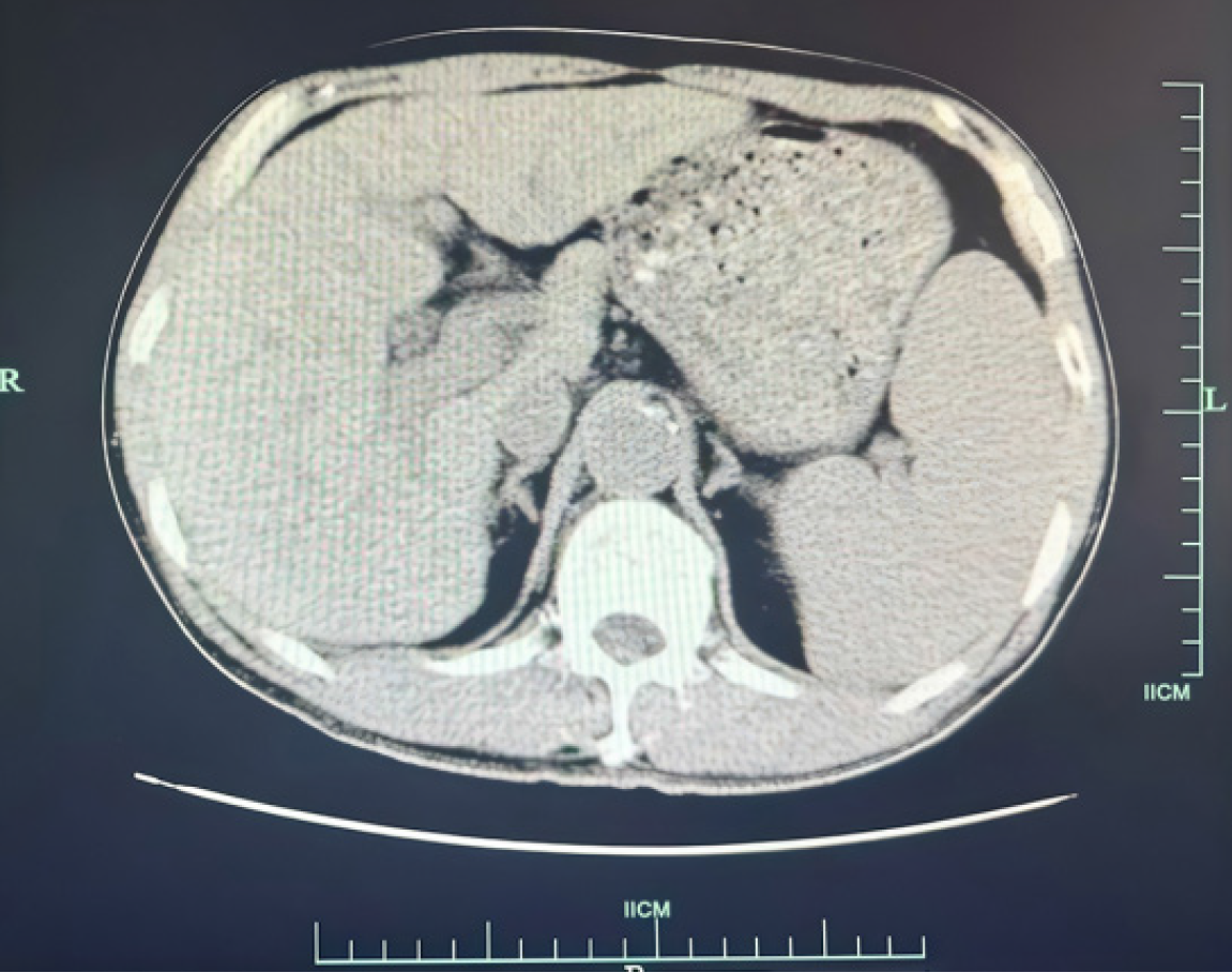
An upper-abdominal CT scan performed on March 22, 2022, demonstrated findings consistent with cholecystitis and multiple gallstones. In addition, a potential communication was noted between the gallbladder fundus and the gastric antrum. Several gallstones were identified in the gastric antrum, along with mild periantral fluid accumulation and multiple small regional lymph nodes. A small volume of perihepatic fluid was also detected (Figure 1).

Figure 1
Figure 1 This computed tomography image is the abdominal cross-sectional image of this patient on March 22, 2022. In the image, an oval high-density gallstone (about 5.0 cm in diameter) was embedded in the proximal duodenum, resulting in significant expansion of the stomach. Edema of duodenal wall and local intestinal lumen stenosis can be seen around the stone. In addition, the gas shadow in the gallbladder suggests that there may be abnormal channels between the gallbladder floor and the gastric antrum, with a little exudation around the gastric antrum.
FINAL DIAGNOSIS

Gallstone ileus (GSI) secondary to a cholecystoduodenal fistula, chronic calculous cholecystitis, and cholecystoduodenal fistula.

TREATMENT

On the day after the admission, the patient underwent a painless electronic gastroscopy. The procedure revealed a significant amount of liquid residue in the gastric body and fundus. After suctioning the residue, the endoscope was advanced to the antrum, which appeared distorted, with the pyloric opening located abnormally on the posterior wall. In the duodenal bulb, a large black gallstone measuring approximately 3.0 cm × 2.5 cm was visualized, surrounded by pus. The stone had triggered pressure-induced mucosal erosion and ulcer formation (Figure 2). Multiple retrieval attempts using foreign body forceps, a snare, and a stone basket were made, but only a small amount of debris could be removed, and the entire stone could not be extracted. Surgical consultation was thereby advised for further management. On day 2 of hospitalization, the patient was transferred to the hepatobiliary and pancreatic surgery department for laparoscopic exploration. His intraoperative findings revealed extensive intra-abdominal adhesions. The gallbladder was markedly congested and edematous, measuring approximately 6 cm × 5 cm × 3 cm, and densely adherent to the adjacent structures, including the stomach and omentum. A cholecystoduodenal fistula was identified, with a large gallstone measuring approximately 5 cm (diameter) located in the duodenum. Multiple smaller stones were also detected in the gallbladder, the largest of which measured 1 cm. The gallbladder wall was significantly thickened, with evident tissue edema. This procedure was completed entirely laparoscopically. The large duodenal stone was retrieved through a longitudinal gastrotomy. The cholecystoduodenal fistula was then dissected and repaired with a continuous barbed suture, and the integrity of the repair was confirmed by performing an intraoperative saline leak test. The gastrotomy was closed using a linear stapler. The patient was then subjected to stone extraction, cholecystectomy, choledochoscopy, duodenal fistula repair, and extensive adhesiolysis. Two nasogastric tubes and two abdominal drainage tubes were placed postoperatively to facilitate recovery and to monitor for potential complications.

Figure 2
Figure 2 Endoscopic findings of a large, impacted duodenal stone with peri-lesional ulcer. A: Gastroscopy examination (March 22, 2022): Gastroscopic examination revealed the following findings: Upon advancing the endoscope to the gastric antrum, structural distortion of the antral region was observed A large, irregularly shaped black calculus was identified impacted within the duodenal bulb, exhibiting firm adherence to the surrounding mucosa; B: Gastroscopy examination (March 22, 2022): A huge black stone measuring approximately 3 cm × 2.5 cm was observed. A large ulcer can be seen around the stone at the location indicated by the arrow.
OUTCOME AND FOLLOW-UP

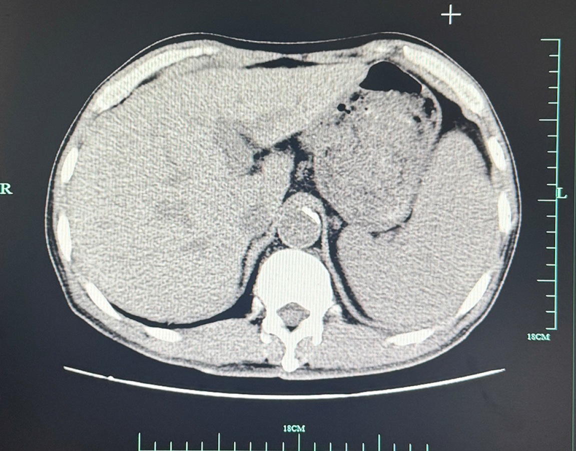
The surgical procedure was successful. Considering the prolonged duration of the biliary and intestinal interventions and severe intra-abdominal infection, the patient received comprehensive postoperative management, including fasting, intravenous antibiotic therapy, parenteral nutrition, and acid-suppressive treatment for gastric mucosal protection. On postoperative day 3, follow-up abdominal CT imaging revealed mild changes indicative of fluid leakage at the surgical site, albeit no significant abnormalities (Figure 3). The nasogastric and abdominal drainage tubes remained patent and functioned well, showing effective drainage. By postoperative day 8, enteral nutrition was initiated gradually. On postoperative day 20, the patient showed good tolerance to a liquid diet without any adverse symptoms. As the left abdominal drainage tube displayed no further output, it was subsequently removed. On postoperative day 23, the nasogastric tube was removed, and the patient reported no discomfort following its removal. A second follow-up CT scan performed on postoperative day 27 exhibited no notable abnormalities (Figure 4). The right-sided abdominal drainage tube was removed, and the patient was discharged on postoperative day 30. During his stay, no postoperative complications such as biliary or enteric fistula, gastrointestinal bleeding, or gastroparesis were observed. Histopathological examination of the excised gallbladder confirmed chronic cholecystitis, with localized areas of hemorrhage and necrosis of the gallbladder wall, along with the presence of mixed gallstones (Figure 5). The patient underwent structured follow-up every 6 months for 2 years postoperatively, including abdominal ultrasonography and hepatic function assessments. To reduce the risk of recurrence, a low-fat diet of < 40 g of fat per day was advised, along with an annual CT scan to evaluate the structural integrity of the repaired duodenal region. At the follow-up after 2 years of his discharge, the patient remained clinically stable. No abnormalities were detected in liver function tests, complete blood count, or other routine laboratory parameters. Abdominal CT imaging also demonstrated satisfactory recovery of the operative site, with no signs of recurrence or complications (Figure 6).

Figure 3
Figure 3 Postoperative abdominal computed tomography scan showing perisurgical exudation and dilatation of the common bile duct. A: Three days after surgery, a follow-up abdominal computed tomography (CT) scan showed slight exudation changes at the surgical site (within the circle); B: Three days after surgery, an abdominal CT scan revealed a dilated common bile duct with a diameter of approximately 1.13 cm.
Figure 4
Figure 4  On the 27th day after operation, no obvious abnormality was found in abdominal computed tomography.
Figure 5
Figure 5  Histopathology of the resected gallbladder (HE stain, × 40 magnification), showing chronic cholecystitis with mucosal epithelial denudation, necrosis, and transmural hemorrhage.
Figure 6
Figure 6  Two years after discharge (April 21, 2024), the abdominal computed tomography scan showed good recovery in the surgical area.
DISCUSSION

Bouveret syndrome, first described by French internist Léon Bouveret in 1896, is a rare form of gallstone-induced bowel obstruction, accounting for approximately 1%-3% of all cases of gallstone-related intestinal obstruction[2-5]. It occurs when a gallstone partially or completely migrates into the proximal duodenum through a fistulous tract, typically causing varying degrees of intestinal obstruction. The underlying pathological condition is cholelithiasis, with repeated episodes of acute and chronic calculous cholecystitis contributing to progressive damage of the gallbladder wall. Chronic inflammation, sustained pressure from gallstones, and the formation of adhesions between the gallbladder and adjacent organs eventually lead to the development of a cholecystoenteric fistula (60%), followed by cholecystocolonic (17%), cholecystogastric (5%), and common bile duct-duodenal fistulae (5%)[6]. Bouveret syndrome predominantly affects the elderly, with a reported average age of onset of 74 years[7]. As such, the present case of a 49-year-old man is a rare clinical occurrence. A systematic literature review over the past decade does not suggest an increasing incidence of this syndrome in younger individuals (aged < 50 years). Nevertheless, it is important to consider the underlying pathophysiological mechanisms. The formation of cholesterol gallstones, which is central to the pathogenesis of Bouveret syndrome, is closely associated with the rising prevalence of metabolic abnormalities among younger populations. A strong correlation between cholesterol stone formation and metabolic disorders such as obesity, dyslipidemia, T2DM, hyperinsulinemia, and metabolic syndrome has been reported[8].

Clinically, Bouveret syndrome often presents with nonspecific symptoms, most commonly related to gastric outlet obstruction. The typical symptom triad includes nausea and vomiting (observed in > 85% of cases) along with upper abdominal pain (present in > 70% of patients)[7]. In more severe instances, the condition may progress to gastrointestinal bleeding or even intestinal perforation, manifesting as hematemesis, melena, abdominal distension, and other acute abdominal symptoms. Physical examination may reveal localized abdominal tenderness, signs of peritonitis, and features consistent with high-grade small bowel obstruction. A splash sound upon auscultation or changes in the gastric contour may also indicate pyloric obstruction. Importantly, the intermittent nature of the obstruction in Bouveret syndrome can sometimes result in transient relief of symptoms because of the temporary shifting of the position of gallstones or partial unblocking of the lumen, which restores bowel patency. This clinical phenomenon often presents as a recurring cycle of symptom resolution and recurrence, described as the “abdominal pain-relief-abdominal pain” pattern, which is typical of rolling or intermittent intestinal obstruction[9]. In the present case, the patient was admitted with complaints of upper abdominal pain that had initially improved following treatment with acid-suppressive agents, gastric protection, and nutritional support. However, the pain recurred half a day before his admission, which is consistent with the classic cyclic presentation described earlier.

Owing to the nonspecific clinical presentation of Bouveret syndrome, its diagnosis primarily relies on imaging studies. The initial diagnostic modality is typically a plain abdominal X-ray; however, this method yields a diagnostic rate of only approximately 21%[10]. Abdominal ultrasonography can identify aerated gallstones and their ectopic locations, but its diagnostic utility is often limited by excessive intestinal gas and difficulty in precisely localizing the stones. In most cases, abdominal CT and magnetic resonance imaging (MRI) serve as the principal imaging tools for diagnosing Bouveret syndrome. CT scans are particularly valuable, as they offer detailed assessments of the cholecystoenteric fistula, impacted gallstones, and any surrounding inflammation. CT imaging may demonstrate the classic Rigler triad [i.e., small bowel obstruction, pneumobilia (biliary air), and ectopic gallstones]. The presence of any two of these signs is considered sufficient for diagnosing gallstone-induced bowel obstruction. In this case, CT imaging revealed findings consistent with this triad. However, a definitive diagnosis of Bouveret syndrome was not established at first, likely due to the limited familiarity with the condition among radiologists, underscoring the need for increased awareness and recognition of the syndrome’s imaging features. Notably, the phenomenon of gallstone migration observed on serial imaging is referred to as the Rigler quadruple sign. Magnetic resonance cholangiopancreatography offers additional diagnostic value in such diagnoses, as it can detect pneumobilia and delineate the anatomical details of a cholecystogastric or cholecystoduodenal fistula. Esophagogastroduodenoscopy is typically warranted in gastrointestinal bleeding. Esophagogastroduodenoscopy findings in Bouveret syndrome may include gastric distension, duodenal ulcers with associated edema and inflammation, visualization of a cholecystoduodenal fistula, and the presence of a firm, nonmucinous intraluminal mass causing obstruction; cumulatively, these findings facilitate diagnosis. In the present case, endoscopy revealed these characteristic features, supporting the diagnosis of Bouveret syndrome. However, a definitive diagnosis was not immediately reached, as in related previous case reports. These case experiences suggest that, despite that endoscopy frequently identifies signs of obstruction, direct visualization of gallstones occurs in only approximately two-thirds of all cases[7].

Endoscopic ultrasound (EUS) is increasingly being employed for the diagnosis of Bouveret syndrome, especially when CT or MRI fails to yield a conclusive result. EUS provides high-resolution, real-time imaging that allows precise visualization of the duodenal wall and adjacent structures. It facilitates accurate detection of the impacted gallstones, including those as small as 3-5 mm, which may be missed on standard cross-sectional imaging, and direct visualization of cholecystoenteric fistulae using high-frequency probes. A major advantage of EUS is the avoidance of ionizing radiation, which is particularly important for younger patients who may require multiple imaging studies. Furthermore, EUS helps distinguish Bouveret syndrome from other causes of gastric outlet obstruction and concurrently evaluates the potential complications, such as biliary involvement and localized abscesses. Despite advances in imaging, 20%-40% of Bouveret syndrome cases still require surgical exploration for definitive diagnosis[11-14]. In the present case, endoscopy revealed a large, black gallstone lodged in the duodenal bulb. The patient was subsequently referred for surgical intervention, during which a cholecystoduodenal fistula was identified, thereby confirming the diagnosis of Bouveret syndrome.

Treatment options for Bouveret syndrome comprise conservative, surgical, and endoscopic approaches. Conservative management is generally suitable for patients with smaller stones (< 2.5 cm), a short disease course, or incomplete obstruction, as the stones may pass spontaneously. However, most patients require surgical intervention, with stone extraction and relief of obstruction as the primary goals. The current evidence supports surgery in young, surgically fit patients, as the cumulative risk of recurrence outweighs the procedural morbidity[14,15]. Laparoscopic techniques have demonstrated efficacy in removing gallstones up to 5 cm in size, offering a minimally invasive alternative with favorable outcomes[16,17]. The two main surgical options include enterotomy and gastrotomy, depending on the stone’s location and the patient’s condition. In clinically stable patients showing minimal comorbidities, single-stage surgery is often preferred, such as by combining stone removal with cholecystectomy and repairing the cholecystoenteric fistula. However, in critically ill or frail patients or in those with ongoing biliary symptoms, such as persistent leaks or residual gallstones, a two-stage approach is generally recommended. This process involves initial stone removal, followed by delayed cholecystectomy and fistula repair once the patient’s condition stabilizes. There is an ongoing debate regarding the necessity of fistula repair during surgery for Bouveret syndrome. Some studies suggest that omitting fistula repair may be associated with lower mortality, and, when the cystic duct remains patent with no residual gallstones, the spontaneous closure of the fistula becomes possible[14,18]. Although surgery remains the most effective treatment, the postoperative mortality rate can reach up to 12%[19].

Some studies have suggested that concurrent repair of the cholecystoenteric fistula may reduce the risk of postoperative gallstone recurrence and the potential for malignant transformation[4]. However, much of the evidence informing this debate is derived from studies involving elderly patients, in whom the risks associated with extensive surgical procedures are higher. In contrast, the mortality rate associated with fistula repair in younger patients is considerably lower. Given their longer life expectancy, younger individuals face a greater cumulative risk of complications from unrepaired fistulas, including biliary reflux pancreatitis, recurrent cholangitis, and other chronic sequelae that can significantly affect long-term quality of life. Therefore, in younger patients, surgical decisions should consider not only the immediate procedural risks but also the long-term consequences of persistent fistula-related pathology. Endoscopic techniques, such as mechanical lithotripsy, laser lithotripsy, extracorporeal shock wave lithotripsy, and intracorporeal electrohydraulic lithotripsy, offer less invasive alternatives, particularly for patients who are poor surgical candidates. Approximately 29% of all patients with Bouveret syndrome have been successfully managed with endoscopic interventions so far[20]. However, these methods have notable limitations. For instance, endoscopy cannot address the underlying fistula and the fragmentation of large stones (> 2.5 cm), which are typical in Bouveret syndrome and may lead to distal migration and secondary GSI[10]. Furthermore, successful endoscopic treatment warrants considerable technical expertise and is less effective when dealing with large or multiple stones. Despite these limitations, endoscopic intervention remains a valuable option in selected patients owing to its minimally invasive nature. Considering the lack of a universally accepted treatment algorithm, the management of Bouveret syndrome must be individualized, taking into account the patient’s overall condition, age, comorbidities, and stone characteristics. To better contextualize our patient's presentation and management within the spectrum of reported cases, we compiled key characteristics from representative reports of Bouveret syndrome (Table 1)[21-32]. The table underscores the heterogeneity in patient age, stone size, and definitive treatment strategies. Although it summarizes the final management approaches, such as endoscopy alone, laparotomy, or laparoscopy, our case adds an important perspective; this frequent clinical scenario of a failed endoscopic attempt necessitating surgical intervention. This sequential strategy, involving initial endoscopy followed by surgery, is often dictated by the presence of large, impacted stones, as observed in our patient. Moreover, his relatively young age (49 years) compared with the typical demographic presented in Table 1 supports the decision to perform a definitive single-stage procedure with concurrent fistula repair, aiming to prevent long-term, fistula-related complications.

Table 1 Summary of clinical features from a review of representative cases of Bouveret syndrome.
Ref.
Year
Age/sex
Clinical presentation
Diagnostic method (s)
Stone diameter (cm)
Treatment strategy
Outcome
Present study202549/MAbdominal pain, nausea, and frequent vomitingCT, endoscopy5Laparoscopic gastrotomy, cholecystectomy, and fistula repairSuccessfully cured
Sousa et al[21]202568/FBilateral lower back pain, nausea, vomiting, and constipationCT3.8Enterolithotomy with enterorrhaphySuccessfully cured
Alshaikh et al[22]202560/FAbdominal pain, nausea and vomitingCT, endoscopy,7Laparotomy with fistula tract dissection, stone extraction, duodenoplasty, and cholecystectomySuccessfully cured
Osorio-Euan et al[23]202458/FSevere abdominal pain, nausea, vomiting, and abdominal distensionCT4Open duodenal enterotomySuccessfully cured
Nagata and Fujikawa[24]202488/MAbdominal pain, nausea, persistent vomiting, and dehydrationCT4Laparoscopic subtotal cholecystectomy, jejunal resection, and Roux-en-Y duodenal repairSuccessfully cured
Thant and Thomas[25]202384/FAbdominal pain, vomiting bloodCT, endoscopy5Laparotomy with enterotomy and stone extractionSuccessfully cured
Bergeron and Pichette[26]202378/FVomiting and abdominal painCT3.3Laparotomy with enterectomy and gastrotomy for stone extractionSuccessfully cured
Probert et al[27]202274/FAbdominal pain and frequent vomitingCT, endoscopy X-ray Not describedLaparoscopic-converted-to-open gastrotomy with stone extractionSuccessfully cured
Singh et al[28]202089/MAcute confusion, coffee-grounds vomiting, and anorexiaCT, endoscopy3.5Mini-laparotomy with pyloromyotomy, stone extraction, and omental patch repairSuccessfully cured
Philipose et al[29]201978/MAbdominal pain with non-bloody, non-bilious vomitingCT, endoscopy6.6Laparoscopic-converted-to-open duodenotomy, stone extraction, fistula repair, cholecystectomySuccessfully cured
Le Mouel et al[30]201986/FExacerbated hepatic colic with recent feverCT, endoscopy4Endoscopic mechanical lithotripsy and extractionSuccessfully cured
Di Re et al[31]201957/FIntractable postprandial vomiting and reduced bowel functionX-ray, enhanced CT4.8Open duodenotomy and subtotal cholecystectomy after failed laparoscopic attemptSuccessfully cured
Ramos and Chiang[32]201857/FGastric outlet obstruction secondary to Bouveret’s syndromeCT, endoscopy4.4Failed endoscopic removal → open laparotomy, stone extraction, and repair of iatrogenic duodenal perforationSuccessfully cured

In the present case, the CT image showed a gallbladder wall thickness of < 4 mm, no free gas or liquid in the abdominal cavity, and no signs of immediate surgical intervention. In addition, the patient has a history of diabetes and hypertension. Considering the significantly increased risk of postoperative wound complications for the patient, we first opted for gastroscopy for the diagnosis and treatment purposes, as it could accurately evaluate the anatomical relationship between stones and gallbladder duodenal fistula under direct vision, thereby avoiding any iatrogenic damage caused through blind cesarean section surgery. Given the large size and firm impaction of the stone, coupled with the severe surrounding inflammation and pus, lithotripsy was deemed inappropriate due to the risks of infection dissemination or perforation. Furthermore, the coexisting cholecystoduodenal fistula created a potential pathway for fragmented stones to migrate, which could lead to recurrent obstruction. Therefore, after multiple unsuccessful endoscopic retrieval attempts, we promptly referred the patient for surgery. Considering that the patient was relatively young during the surgery, in order to avoid long-term complications, fistula repair was completed during the surgery. During the operation, it was found that the gallbladder, stomach, and omentum were closely adhered and that the surrounding tissues of the duodenal diverticulum were congested and edematous. Typically, the jejunal patch requires a long enough intestinal segment to be free, but in cases of severe adhesion, forced separation may lead to mesenteric vascular injury and increase the incidence of postoperative anastomotic leakage. Hence, a simple closure was selected for the present case, which yielded good postoperative recovery. There are a few reports in the literature on the immediate surgical treatment of young Bouveret syndrome patients after endoscopic treatment failure; therefore, the successful experience reported in the present case can provide a reference for similar patients. Young patients can undergo a one-stage surgical treatment to complete fistula repair during the surgery and strengthen perioperative management. However, this viewpoint warrants further research to support and enhance its credibility.

Recurrence of GSI is not uncommon, with reported rates of 5%-20%. The majority of recurrent cases occur within 6 months of the initial episode (82%) and are frequently attributable to residual stones within the gastrointestinal tract. Early symptoms of recurrence, including nausea, vomiting, and incisional tenderness, may mimic postoperative complications, thereby increasing the risk of delayed or missed diagnosis[33]. Cross-sectional imaging, particularly CT scans, is thus crucial for distinguishing recurrent GSI from other postoperative conditions, enabling timely management.

CONCLUSION

This case highlights the importance of maintaining clinical vigilance for Bouveret syndrome in patients with a long-standing history of gallstones and chronic cholecystitis, especially when imaging suggests potential adhesion between the gallbladder and adjacent organs. Prompt use of advanced imaging modalities and a thorough clinical assessment are therefore critical for early diagnosis. Multidisciplinary collaboration between internal medicine and surgical teams is also essential to develop an optimal treatment plan and improve patient outcomes.

ACKNOWLEDGEMENTS

The authors would like to thank the patient and his family for providing consent to use his data in this case report.

References
1.  Reisner RM, Cohen JR. Gallstone ileus: a review of 1001 reported cases. Am Surg. 1994;60:441-446.  [PubMed]  [DOI]
2.  Day EA, Marks C. Gallstone ileus. Review of the literature and presentation of thirty-four new cases. Am J Surg. 1975;129:552-558.  [RCA]  [PubMed]  [DOI]  [Full Text]  [Cited by in Crossref: 93]  [Cited by in RCA: 87]  [Article Influence: 1.7]  [Reference Citation Analysis (0)]
3.  Doko M, Zovak M, Kopljar M, Glavan E, Ljubicic N, Hochstädter H. Comparison of surgical treatments of gallstone ileus: preliminary report. World J Surg. 2003;27:400-404.  [RCA]  [PubMed]  [DOI]  [Full Text]  [Cited by in Crossref: 105]  [Cited by in RCA: 92]  [Article Influence: 4.0]  [Reference Citation Analysis (2)]
4.  Lowe AS, Stephenson S, Kay CL, May J. Duodenal obstruction by gallstones (Bouveret's syndrome): a review of the literature. Endoscopy. 2005;37:82-87.  [RCA]  [PubMed]  [DOI]  [Full Text]  [Cited by in Crossref: 67]  [Cited by in RCA: 64]  [Article Influence: 3.0]  [Reference Citation Analysis (0)]
5.  Qasaimeh GR, Bakkar S, Jadallah K. Bouveret's Syndrome: An Overlooked Diagnosis. A Case Report and Review of Literature. Int Surg. 2014;99:819-823.  [RCA]  [PubMed]  [DOI]  [Full Text]  [Cited by in Crossref: 58]  [Cited by in RCA: 49]  [Article Influence: 4.1]  [Reference Citation Analysis (0)]
6.  Kirchmayr W, Mühlmann G, Zitt M, Bodner J, Weiss H, Klaus A. Gallstone ileus: rare and still controversial. ANZ J Surg. 2005;75:234-238.  [RCA]  [PubMed]  [DOI]  [Full Text]  [Cited by in Crossref: 63]  [Cited by in RCA: 57]  [Article Influence: 2.7]  [Reference Citation Analysis (0)]
7.  Cappell MS, Davis M. Characterization of Bouveret's syndrome: a comprehensive review of 128 cases. Am J Gastroenterol. 2006;101:2139-2146.  [RCA]  [PubMed]  [DOI]  [Full Text]  [Cited by in Crossref: 172]  [Cited by in RCA: 144]  [Article Influence: 7.2]  [Reference Citation Analysis (1)]
8.  Gutt C, Schläfer S, Lammert F. The Treatment of Gallstone Disease. Dtsch Arztebl Int. 2020;117:148-158.  [RCA]  [PubMed]  [DOI]  [Full Text]  [Full Text (PDF)]  [Cited by in Crossref: 93]  [Cited by in RCA: 92]  [Article Influence: 15.3]  [Reference Citation Analysis (0)]
9.  Nuño-Guzmán CM, Marín-Contreras ME, Figueroa-Sánchez M, Corona JL. Gallstone ileus, clinical presentation, diagnostic and treatment approach. World J Gastrointest Surg. 2016;8:65-76.  [RCA]  [PubMed]  [DOI]  [Full Text]  [Full Text (PDF)]  [Cited by in CrossRef: 130]  [Cited by in RCA: 161]  [Article Influence: 16.1]  [Reference Citation Analysis (16)]
10.  Haddad FG, Mansour W, Deeb L. Bouveret's Syndrome: Literature Review. Cureus. 2018;10:e2299.  [RCA]  [PubMed]  [DOI]  [Full Text]  [Full Text (PDF)]  [Cited by in Crossref: 7]  [Cited by in RCA: 39]  [Article Influence: 4.9]  [Reference Citation Analysis (0)]
11.  Ayantunde AA, Agrawal A. Gallstone ileus: diagnosis and management. World J Surg. 2007;31:1292-1297.  [RCA]  [PubMed]  [DOI]  [Full Text]  [Cited by in Crossref: 162]  [Cited by in RCA: 146]  [Article Influence: 7.7]  [Reference Citation Analysis (2)]
12.  Warren DJ, Peck RJ, Majeed AW. Bouveret's Syndrome: a Case Report. J Radiol Case Rep. 2008;2:14-17.  [RCA]  [PubMed]  [DOI]  [Full Text]  [Cited by in Crossref: 1]  [Cited by in RCA: 4]  [Article Influence: 0.2]  [Reference Citation Analysis (0)]
13.  Park SH, Lee SW, Song TJ. Another new variant of Bouveret's syndrome. World J Gastroenterol. 2009;15:378-379.  [RCA]  [PubMed]  [DOI]  [Full Text]  [Full Text (PDF)]  [Cited by in CrossRef: 3]  [Cited by in RCA: 6]  [Article Influence: 0.4]  [Reference Citation Analysis (0)]
14.  Mavroeidis VK, Matthioudakis DI, Economou NK, Karanikas ID. Bouveret syndrome-the rarest variant of gallstone ileus: a case report and literature review. Case Rep Surg. 2013;2013:839370.  [RCA]  [PubMed]  [DOI]  [Full Text]  [Full Text (PDF)]  [Cited by in Crossref: 31]  [Cited by in RCA: 51]  [Article Influence: 3.9]  [Reference Citation Analysis (1)]
15.  Caldwell KM, Lee SJ, Leggett PL, Bajwa KS, Mehta SS, Shah SK. Bouveret syndrome: current management strategies. Clin Exp Gastroenterol. 2018;11:69-75.  [RCA]  [PubMed]  [DOI]  [Full Text]  [Cited by in Crossref: 110]  [Cited by in RCA: 91]  [Article Influence: 11.4]  [Reference Citation Analysis (0)]
16.  Malvaux P, Degolla R, De Saint-Hubert M, Farchakh E, Hauters P. Laparoscopic treatment of a gastric outlet obstruction caused by a gallstone (Bouveret's syndrome). Surg Endosc. 2002;16:1108-1109.  [RCA]  [PubMed]  [DOI]  [Full Text]  [Cited by in Crossref: 20]  [Cited by in RCA: 21]  [Article Influence: 0.9]  [Reference Citation Analysis (0)]
17.  Newton RC, Loizides S, Penney N, Singh KK. Laparoscopic management of Bouveret syndrome. BMJ Case Rep. 2015;2015:bcr2015209869.  [RCA]  [PubMed]  [DOI]  [Full Text]  [Cited by in Crossref: 4]  [Cited by in RCA: 10]  [Article Influence: 0.9]  [Reference Citation Analysis (1)]
18.  Doycheva I, Limaye A, Suman A, Forsmark CE, Sultan S. Bouveret's syndrome: case report and review of the literature. Gastroenterol Res Pract. 2009;2009:914951.  [RCA]  [PubMed]  [DOI]  [Full Text]  [Full Text (PDF)]  [Cited by in Crossref: 27]  [Cited by in RCA: 38]  [Article Influence: 2.2]  [Reference Citation Analysis (0)]
19.  Ferhatoğlu MF, Kartal A. Bouveret's Syndrome: A Case-Based Review, Clinical Presentation, Diagnostics and Treatment Approaches. Sisli Etfal Hastan Tip Bul. 2020;54:1-7.  [RCA]  [PubMed]  [DOI]  [Full Text]  [Full Text (PDF)]  [Cited by in Crossref: 2]  [Cited by in RCA: 11]  [Article Influence: 1.8]  [Reference Citation Analysis (0)]
20.  Koulaouzidis A, Moschos J. Bouveret's syndrome. Narrative review. Ann Hepatol. 2007;6:89-91.  [PubMed]  [DOI]
21.  Sousa M, Santos M, Abrantes JF, Peixoto L. Bouveret's Syndrome Presenting as Jejunal Obstruction: A Case Report. Cureus. 2025;17:e77617.  [RCA]  [PubMed]  [DOI]  [Full Text]  [Cited by in RCA: 1]  [Reference Citation Analysis (1)]
22.  Alshaikh HN, Alsaffar HA, Almubayyed AO, Alkazim SN, Alnimer RS, Alshammary SA. One-stage procedure for the management of Bouveret's syndrome: A case report and operative video. Int J Surg Case Rep. 2025;134:111719.  [RCA]  [PubMed]  [DOI]  [Full Text]  [Full Text (PDF)]  [Cited by in RCA: 3]  [Reference Citation Analysis (0)]
23.  Osorio-Euan A, Ayuso-Diaz VM, Ferraez-Perez JA, Moreno-Enriquez A, Hurtado-Miranda GF. Gastroduodenal Obstruction Due to Bouveret's Syndrome: A Case Report. Cureus. 2024;16:e75175.  [RCA]  [PubMed]  [DOI]  [Full Text]  [Cited by in RCA: 1]  [Reference Citation Analysis (0)]
24.  Nagata K, Fujikawa T. Surgical Strategy in Bouveret's Syndrome: Report of a Case With One-Stage Surgery. Cureus. 2024;16:e56707.  [RCA]  [PubMed]  [DOI]  [Full Text]  [Cited by in RCA: 1]  [Reference Citation Analysis (0)]
25.  Thant PC, Thomas R. A rarer cause of Bouveret syndrome - A case report. Int J Surg Case Rep. 2023;105:108029.  [RCA]  [PubMed]  [DOI]  [Full Text]  [Cited by in RCA: 2]  [Reference Citation Analysis (0)]
26.  Bergeron E, Pichette M. Two Sites of Obstruction with Gallstones: A Case Report of Bouveret Syndrome with a Concurrent Biliary Ileus. Case Rep Surg. 2023;2023:9664165.  [RCA]  [PubMed]  [DOI]  [Full Text]  [Cited by in RCA: 1]  [Reference Citation Analysis (0)]
27.  Probert S, Cai W, Islam F, Ballanamada Appaiah NN, Salih A. Bouveret Syndrome: A Rare Case and Review of the Literature. Cureus. 2022;14:e24768.  [RCA]  [PubMed]  [DOI]  [Full Text]  [Full Text (PDF)]  [Cited by in RCA: 1]  [Reference Citation Analysis (0)]
28.  Singh G, Merali N, Shirol S, Drymousis P, Singh S, Veeramootoo D. A case report and review of the literature of Bouveret syndrome. Ann R Coll Surg Engl. 2020;102:e15-e19.  [RCA]  [PubMed]  [DOI]  [Full Text]  [Cited by in Crossref: 10]  [Cited by in RCA: 15]  [Article Influence: 2.5]  [Reference Citation Analysis (0)]
29.  Philipose J, Khan HM, Ahmed M, Idiculla PS, Andrawes S. Bouveret's Syndrome. Cureus. 2019;11:e4414.  [RCA]  [PubMed]  [DOI]  [Full Text]  [Full Text (PDF)]  [Cited by in Crossref: 5]  [Cited by in RCA: 10]  [Article Influence: 1.4]  [Reference Citation Analysis (0)]
30.  Le Mouel JP, Thiebault H, Hakim S. Bouveret's Syndrome. Clin Gastroenterol Hepatol. 2019;17:e55.  [RCA]  [PubMed]  [DOI]  [Full Text]  [Cited by in Crossref: 3]  [Cited by in RCA: 4]  [Article Influence: 0.6]  [Reference Citation Analysis (0)]
31.  Di Re AM, Punch G, Richardson AJ, Pleass H. Rare case of Bouveret syndrome. ANZ J Surg. 2019;89:E198-E199.  [RCA]  [PubMed]  [DOI]  [Full Text]  [Cited by in RCA: 3]  [Reference Citation Analysis (1)]
32.  Ramos GP, Chiang NE. Bouveret's Syndrome. N Engl J Med. 2018;378:1335.  [RCA]  [PubMed]  [DOI]  [Full Text]  [Cited by in Crossref: 4]  [Cited by in RCA: 9]  [Article Influence: 1.1]  [Reference Citation Analysis (0)]
33.  Doole E. A case of recurrent gallstone ileus within 1 week post enterolithotomy. J Surg Case Rep. 2022;2022:rjac057.  [RCA]  [PubMed]  [DOI]  [Full Text]  [Full Text (PDF)]  [Cited by in RCA: 6]  [Reference Citation Analysis (0)]
Footnotes

Provenance and peer review: Unsolicited article; Externally peer reviewed.

Peer-review model: Single blind

Specialty type: Gastroenterology and hepatology

Country of origin: China

Peer-review report’s classification

Scientific Quality: Grade B, Grade B

Novelty: Grade B, Grade B

Creativity or Innovation: Grade B, Grade C

Scientific Significance: Grade B, Grade C

Open Access: This article is an open-access article that was selected by an in-house editor and fully peer-reviewed by external reviewers. It is distributed in accordance with the Creative Commons Attribution NonCommercial (CC BY-NC 4.0) license, which permits others to distribute, remix, adapt, build upon this work non-commercially, and license their derivative works on different terms, provided the original work is properly cited and the use is non-commercial. See: https://creativecommons.org/Licenses/by-nc/4.0/

P-Reviewer: Adamgbe MA, Academic Fellow, Chief Physician, Consultant, Researcher, Nigeria; Shahid Y, MD, Postdoctoral Fellow, Pakistan S-Editor: Qu XL L-Editor: A P-Editor: Zhao YQ

Write to the Help Desk