©Author(s) (or their employer(s)) 2026.
World J Gastrointest Surg. Feb 27, 2026; 18(2): 115072
Published online Feb 27, 2026. doi: 10.4240/wjgs.v18.i2.115072
Published online Feb 27, 2026. doi: 10.4240/wjgs.v18.i2.115072
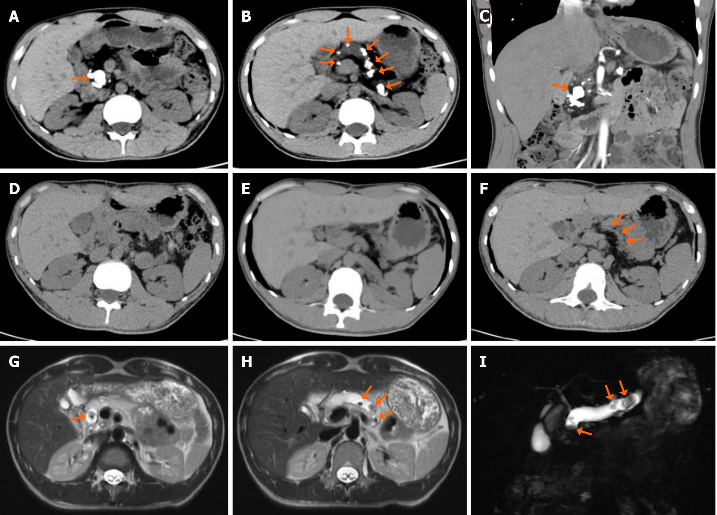
Figure 1 Preoperative and postoperative imaging images.
A: Preoperative plain computed tomography (CT) scan. As indicated by the orange arrows, high-density stones were predominantly located in the pancreatic duct of the pancreatic head; B: Preoperative plain CT scan. As indicated by the orange arrows, multiple high-density stones were scattered in the main pancreatic duct of the pancreatic body and tail; C: Preoperative coronal contrast-enhanced CT scan of the pancreatic head. As indicated by the orange arrows, high-density stones were scattered in the pancreatic duct and pancreatic parenchyma; D: Postoperative plain CT scan of the pancreatic head; E: Postoperative plain CT scan of the pancreatic body and tail; F: Postoperative plain CT scan of the anastomosis. As shown by the orange arrow, no pancreatic duct stones were found at the pancreatic duct-jejunostomy; G: T2-weighted magnetic resonance imaging (MRI) scan of the pancreatic head. As indicated by the orange arrows, a nodular filling defect is observed in the pancreatic duct; H: T2-weighted MRI scan of the pancreatic body. As indicated by the orange arrows, multiple nodular filling defects are observed in the pancreatic duct; I: MRI shows multiple low-intensity signal nodules in the main pancreatic duct.
Figure 2 Intraoperative field of view and postoperative specimen.
A: The pancreatic head has been fully resected. As indicated by the large oval, the pancreatic duct in the body and tail has been fully opened longitudinally. The pancreatic parenchyma is atrophic and thin, and the duodenum (indicated by the small oval) is visible below; B: The white oval indicates the pancreatic duct-jejunal anastomosis, with the stump of the main pancreatic duct identifiable on the right side (indicated by the white arrow). The common bile duct remains intact (indicated by the blue arrow) and flows into the duodenum; C: Postoperative specimen. Bracket 1 indicates the intact pancreatic head, and bracket 2 represents the stones removed intraoperatively; D: Pathological hematoxylin and eosin staining of pancreatic head specimen postoperatively.
- Citation: Gou HX, Deng C, Wen Y, Yin ZL, Yang TY, Wang T, Luo H, Cheng L. Pancreatic head resection alongside side-to-side pancreatic duct-jejunostomy for pancreatic stones: A case report and review of literature. World J Gastrointest Surg 2026; 18(2): 115072
- URL: https://www.wjgnet.com/1948-9366/full/v18/i2/115072.htm
- DOI: https://dx.doi.org/10.4240/wjgs.v18.i2.115072
