Copyright: ©Author(s) 2026.
World J Gastrointest Oncol. Mar 15, 2026; 18(3): 114379
Published online Mar 15, 2026. doi: 10.4251/wjgo.v18.i3.114379
Published online Mar 15, 2026. doi: 10.4251/wjgo.v18.i3.114379
Figure 1 Clinical and biomarker dynamics correlating with genomic profiles in anti-EGFR treated colorectal cancer cases.
A: Case 1; B: Case 2; C: Case 3.
Figure 2
Computed tomography images of tumor size changes in three cases across different stages.
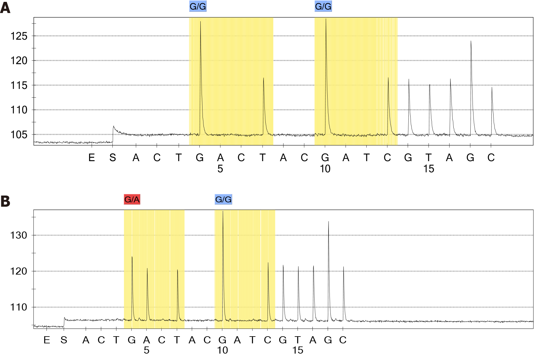
Figure 3 KRAS exon 2 gene phenotypes.
A: KRAS exon 2 wild-type; B: KRAS exon 2.
Figure 4 HER-2 immunohistochemistry expression status.
A: HER-2 (-); B: HER-2 (3+).
- Citation: Wang J, Pei Q, Yu NH. Anti-EGFR treatment resistance in patients with wild-type RAS metastatic colorectal cancer: Three case reports. World J Gastrointest Oncol 2026; 18(3): 114379
- URL: https://www.wjgnet.com/1948-5204/full/v18/i3/114379.htm
- DOI: https://dx.doi.org/10.4251/wjgo.v18.i3.114379
