Copyright
©The Author(s) 2026.
World J Gastrointest Oncol. Feb 15, 2026; 18(2): 114161
Published online Feb 15, 2026. doi: 10.4251/wjgo.v18.i2.114161
Published online Feb 15, 2026. doi: 10.4251/wjgo.v18.i2.114161
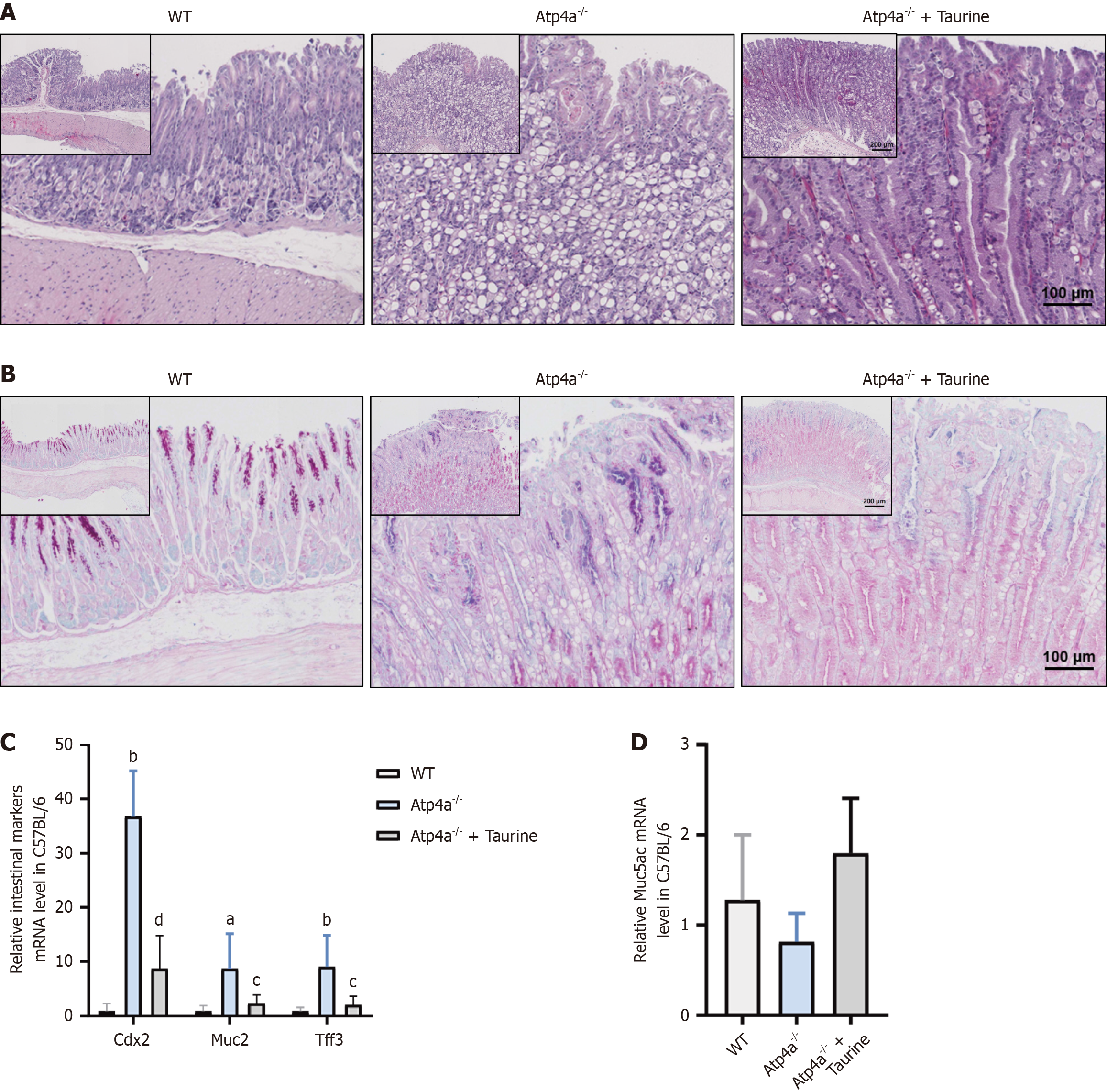
Figure 1 Identification of the gastric intestinal metaplasia mouse model and the effects of taurine intervention.
A: Hematoxylin and eosin staining of the mouse gastric mucosa (n = 6); B: Alcian blue-periodic acid Schiff staining of the mouse gastric mucosa (n = 6); C: Relative expression levels of gastric intestinal metaplasia-related genes detected by quantitative PCR (qPCR; n = 6); D: Relative expression level of MUC5AC detected by qPCR (n = 6). aP < 0.05 vs wild-type (WT); bP < 0.01 vs WT; cP < 0.05 vs Atp4a-/-; dP < 0.01 vs Atp4a-/-.
Figure 2 Taurine increases the mucin 5AC (MUC5AC) level and inhibits the expression of caudal type homeobox 2, MUC2, and Trefoil factor family 3 in Atp4a-/- mice.
A: Expression of caudal type homeobox 2 (CDX2), mucin 2 (MUC2), Trefoil factor family 3 (TFF3) and MUC5AC in Atp4a-/- mouse gastric tissues was assessed via immunohistochemistry (IHC) staining (n = 6); B: IHC scores of CDX2, MUC2, and TFF3 (n = 6); C: IHC score of MUC5AC (n = 6). aP < 0.01 vs Atp4a-/-; bP < 0.01 vs wild-type (WT).
Figure 3 Effects of taurine on gastric intestinal metaplasia organoids.
A: Typical growth progression of normal human gastric organoids over 7 days in culture; B-E: Expression levels of gastrointestinal-related markers in patient 1; F-I: Expression levels of gastrointestinal-related marker genes in patient 2; J-M: Expression levels of gastrointestinal-related marker genes in patient 3. aP < 0.05 vs normal control (CON); bP < 0.01 vs normal CON; cP < 0.001 vs normal CON; dP < 0.05 vs gastric intestinal metaplasia (GIM) control; eP < 0.01 vs GIM CON.
Figure 4 Taurine downregulates the protein expression of caudal type homeobox 2 and Trefoil factor family 3 in gastric intestinal metaplasia control organoids.
A-C: Western blotting was conducted to assess the protein levels of caudal type homeobox 2 (CDX2) and Trefoil factor family 3 (TFF3); D-I: Relative protein levels were quantified. aP < 0.01 vs normal control; bP < 0.05 vs gastric intestinal metaplasia (GIM) control (CON); cP < 0.01 vs GIM CON.
- Citation: Liu K, Zhang X, Li FZ, Zheng PY, Mi Y. Taurine suppresses gastric intestinal metaplasia in patient-derived organoids and Atp4a-/- mice. World J Gastrointest Oncol 2026; 18(2): 114161
- URL: https://www.wjgnet.com/1948-5204/full/v18/i2/114161.htm
- DOI: https://dx.doi.org/10.4251/wjgo.v18.i2.114161
