Copyright
©The Author(s) 2026.
World J Gastrointest Oncol. Jan 15, 2026; 18(1): 114745
Published online Jan 15, 2026. doi: 10.4251/wjgo.v18.i1.114745
Published online Jan 15, 2026. doi: 10.4251/wjgo.v18.i1.114745
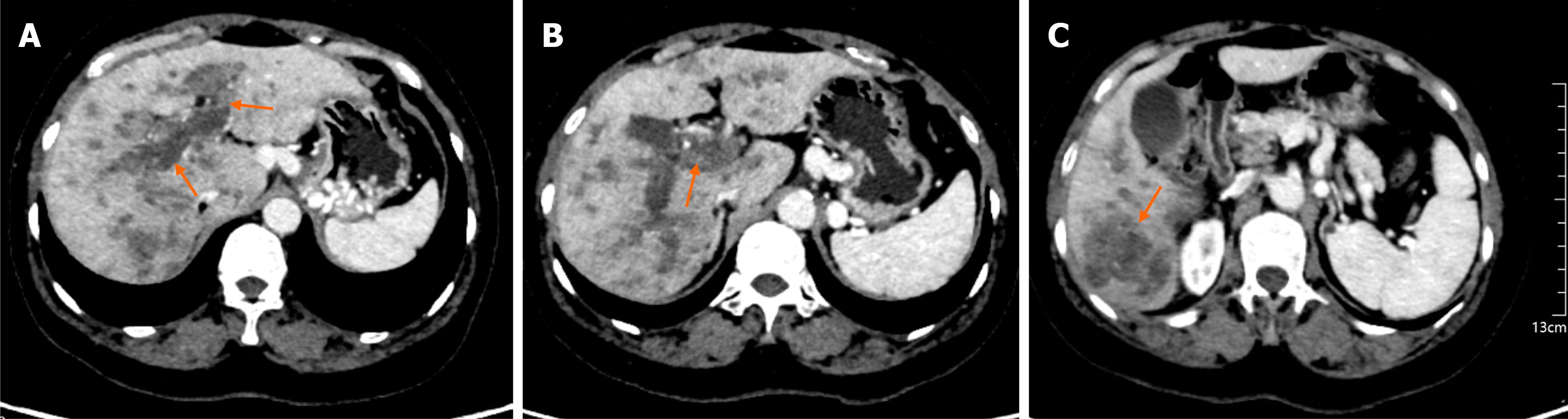
Figure 1 Contrast-enhanced abdominal computed tomography (portal venous phase).
A: Thrombus in the left and right branches of the portal vein; B: Thrombus within the main portal vein; C: A mass of approximately 5.1 cm × 5.0 cm in the right lobe of the liver.
Figure 2 Immunohistochemical examination of the first liver puncture pathology.
A: Hematoxylin and eosin staining; B: Negative expression of cytokeratin pan; C: Immunohistochemical staining showing Ki-67 (60%); D: Positive expression of desmin; E: Positive expression of myogenic differentiation 1. Magnification, × 100.
Figure 3 Immunohistochemical examination of second liver puncture pathology.
A: Hematoxylin and eosin staining; B: Negative expression of glypican-3; C: Negative expression of desmin; D: Focal positive expression of cytokeratin pan. Magnification, × 100.
- Citation: Ma JQ, Wang C, Li SN, Zheng Q, Bai J, Ding CX, Zhang YB. Adult liver rhabdomyosarcoma complicated with sarcomatoid carcinoma: A case report. World J Gastrointest Oncol 2026; 18(1): 114745
- URL: https://www.wjgnet.com/1948-5204/full/v18/i1/114745.htm
- DOI: https://dx.doi.org/10.4251/wjgo.v18.i1.114745
