Copyright: ©Author(s) 2026.
World J Gastrointest Endosc. Mar 16, 2026; 18(3): 115257
Published online Mar 16, 2026. doi: 10.4253/wjge.v18.i3.115257
Published online Mar 16, 2026. doi: 10.4253/wjge.v18.i3.115257
Figure 1 Endoscopic views during endoscopic submucosal dissection.
A: Preoperative lesion; B: Post-endoscopic submucosal dissection mucosal defect; C: Resected specimen.
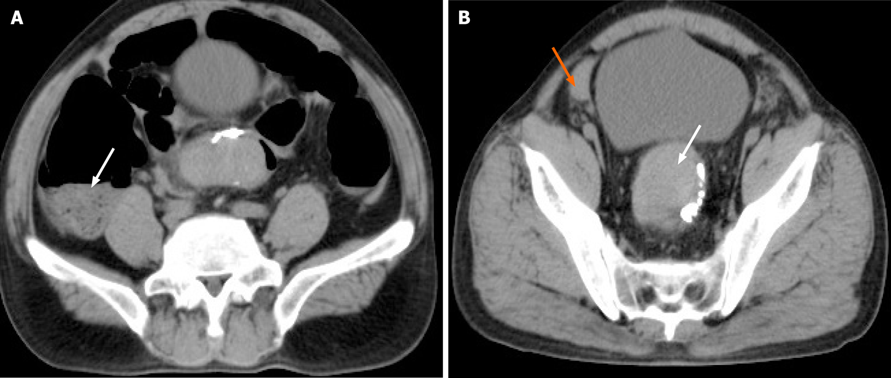
Figure 2 Computed tomography scan on postoperative day 4.
A: Intestinal air-fluid level (white arrow); B: Rectal hematoma (white arrow) and hemo peritoneum (orange arrow).
Figure 3 Colonoscopy.
A: Emergency colonoscopy on postoperative day 4 showing a huge intramural hematoma at the endoscopic submucosal dissection site; B: Follow-up colonoscopy on postoperative day 15 demonstrating significant resolution of the hematoma; C: Complete healing with scar formation at the endoscopic submucosal dissection site, confirmed at 6-month follow-up.
- Citation: Xu YL, Zhang ML, Zhou HJ, Gao PJ, Zhang XN, Rao M. Giant rectal intramural hematoma following endoscopic submucosal dissection successfully treated with conservative therapy: A case report. World J Gastrointest Endosc 2026; 18(3): 115257
- URL: https://www.wjgnet.com/1948-5190/full/v18/i3/115257.htm
- DOI: https://dx.doi.org/10.4253/wjge.v18.i3.115257
