Copyright
©The Author(s) 2026.
World J Gastroenterol. Feb 21, 2026; 32(7): 115143
Published online Feb 21, 2026. doi: 10.3748/wjg.v32.i7.115143
Published online Feb 21, 2026. doi: 10.3748/wjg.v32.i7.115143
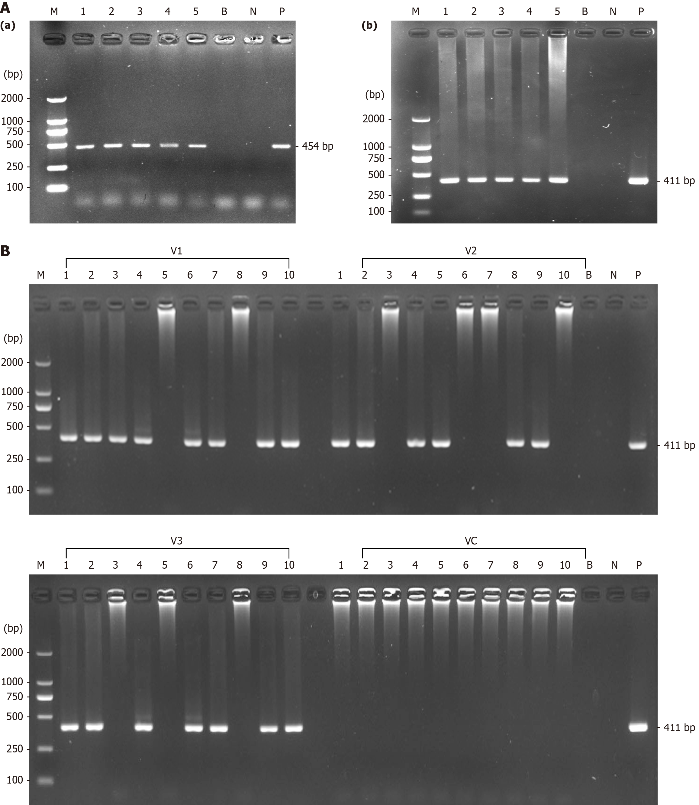
Figure 1 Nested polymerase chain reaction amplification of Helicobacter pylori-specific genes.
A: Identification of the strains used for modeling. a: Helicobacter pylori (H. pylori) 16S rDNA; b: H. pylori ureA gene; lane M: DL2000 marker; lane 1: Candida W49; lane 2: Candida F67; lane 3: Candida Ca-co-Hp; lane 4: Candida J115; lane 5: Candida H100; lane B: Blank control (ddH2O); lane N: Negative control (Ca10231); lane P: Positive control (H. pylori). Candida strains J115, H100, W49, F67, and Ca-co-Hp tested positive for H. pylori 16S rDNA and ureA genes, whereas the Ca10231 strain tested negative; B: Identification of H. pylori ureA gene in vaginal Candida isolates obtained from maternal mice. Lane M: DL2000 marker; lanes 1-10: Ten mice in each group; lane B: Blank control (ddH2O); lane N: Negative control (Ca10231); lane P: Positive control (H. pylori). Groups V1-V3 mice intravaginally inoculated with J115, H100, or Ca-co-Hp. Group VC was intravaginally inoculated with Ca10231. Group VN received saline solution.
Figure 2 Nested polymerase chain reaction amplification of Helicobacter pylori ureA gene.
A: Fecal and vaginal Candida isolated from group G1 mice; B: Fecal Candida isolated from group G2, G3, G4, and GN mice. Lane M: DL2000 marker; lanes 1-10: The 10 mice in each group; lane B: Blank control (ddH2O); lane N: Negative control (Ca10231); lane P: Positive control (Helicobacter pylori). G1-G: Fecal Candida from group G1 mice. G1-V: Vaginal Candida from group G1 mice. Group G1 mice were infected with Helicobacter pylori via gavage and Candida Ca10231 was inoculated intravaginally. Mice in groups G2, G3, G4, and GC were infected with Candida strains W49, F67, Ca-co-Hp, and Ca10231 via gavage, respectively. Group GN mice received saline solution via gavage.
Figure 3 Helicobacter pylori IgG and IgM antibodies in mice sera.
A: A model of vaginal infection; B: A model of gastric infection. V1: Vagina infected with Candida J115; V2: Vagina infected with Candida H100; V3: Vagina infected with Candida Ca-co-Hp; VC: Vagina infected with Candida Ca10231; VN: Vagina treated with saline solution. G1: Mice with gastric infection with Helicobacter pylori (H. pylori) and vagina infected with Candida Ca10231; G2: Mice infected with Candida W49; G3: Mice infected with Candida F67; G4: Mice infected with Candida Ca-co-Hp; GC: Mice infected with Ca10231; GN: Gavage saline solution. Candida strains J115, H100, W49, F67, and Ca-co-Hp were positive for H. pylori 16S rDNA and ureA genes. The control Candida Ca10231 strain was negative for H. pylori 16S rDNA and ureA genes. Results are presented as the mean ± SD (n = 4), with P values calculated using ANOVA. Different letters denote significant differences.
Figure 4 Hematoxylin and eosin staining of the gastric mucosa in Candida vaginal infection model (× 200).
A: Maternal mice; B: Three-week-old offspring mice; C: Six-week-old offspring mice. a: Gastric mucosa from offspring mice in the experimental group; b: Gastric mucosa from offspring in the control group; c: Gastric mucosa from offspring in the normal group. V1: Vagina infected with Candida J115; V2: Vagina infected with Candida H100; V3: Vagina infected with Candida Ca-co-Hp; VC: Vagina infected with Candida Ca10231; VN: Vagina treated with saline solution. The orange and black arrows in the figure indicate the bleeding points and inflammatory cells, respectively.
Figure 5 Hematoxylin and eosin staining of gastric mucosa in Candida gastric infection model (× 200).
A: Maternal mice; B: Three-week-old offspring mice; C: Six-week-old offspring mice. a: Gastric mucosa from offspring mice in the experimental group; b: Gastric mucosa from offspring in the control group; c: Gastric mucosa from offspring in the normal group. Group G1 mice were infected with Helicobacter pylori via gavage and inoculated intravaginally with Candida Ca10231; group G2 mice were gavaged with Candida W49; group G3 mice were gavaged with Candida F67; group G4 mice were gavaged with Candida Ca-co-Hp; group GC mice were gavaged with Candida Ca10231; and group GN mice were gavaged with saline solution. The orange and black arrows in the figure indicate bleeding points and inflammatory cells, respectively.
- Citation: Xu XL, Luo TT, Liu Q, Cui GZ, Wu DY, Wu XJ, Yang TX, Sun JC, Jian HF, Zhuo SW, Chen ZH. Candida-mediated vertical transmission of Helicobacter pylori in C57BL/6J mice. World J Gastroenterol 2026; 32(7): 115143
- URL: https://www.wjgnet.com/1007-9327/full/v32/i7/115143.htm
- DOI: https://dx.doi.org/10.3748/wjg.v32.i7.115143
