BPG is committed to discovery and dissemination of knowledge
Minireviews Open Access
©The Author(s) 2026. Published by Baishideng Publishing Group Inc. All rights reserved.
World J Methodol. Mar 20, 2026; 16(1): 110342
Published online Mar 20, 2026. doi: 10.5662/wjm.v16.i1.110342
Update on hypoxic-ischemic brain injury: Prognosis and management
Ajaya Kumar Ayyappan Unnithan, Department of Neurosurgery, Azeezia Medical College Hospital, Kollam 691537, Kerala, India
ORCID number: Ajaya Kumar Ayyappan Unnithan (0000-0003-1426-6662).
Author contributions: Unnithan AKA conceptualized, wrote, and revised the manuscript.
Conflict-of-interest statement: The authors report no relevant conflicts of interest for this article.
Corresponding author: Ajaya Kumar Ayyappan Unnithan, Assistant Professor, Department of Neurosurgery, Azeezia Medical College Hospital, Meeyannoor P.O., Kollam 691537, Kerala, India. drajayakumara@gmail.com
Received: June 5, 2025
Revised: June 28, 2025
Accepted: September 22, 2025
Published online: March 20, 2026
Processing time: 251 Days and 3.8 Hours

Abstract

Hypoxic-ischemic brain injury (HIBI) can occur after cardiac arrest, asphyxiation, carbon monoxide poisoning, and diffuse brain injury. While it is a major cause of mortality and morbidity, there is no consensus on its management. Therefore, I performed a literature review to analyze HIBI pathophysiology, clinical progression, imaging, treatment, and prognosis with a goal to deepen our understanding of best treatment and prognostication options. A search was performed in PubMed, Scopus, Google scholar, EMBASE, and Crossref. The pathophysiology of HIBI consists of the primary insult due to cessation of cerebral oxygen delivery and a secondary hit due to reperfusion injury. The poor clinical prognostic factors are: Absent or extensor motor response, bilaterally absent pupillary light reflex, bilaterally absent corneal reflex, and early status myoclonus. Electroencephalogram can aid in prognostication, while magnetic resonance imaging may reveal restricted diffusion. Treatment guidelines for HIBI have been debated, particularly regarding hyperoxia vs normoxia, hypocapnia vs normocapnia, high-normal mean arterial pressure (MAP) vs low-normal MAP, and hypothermia vs normothermia. Core treatment principles include maintaining normoxia and normocapnia through ventilation, targeting a MAP of 65 mmHg, preventing fever, managing seizures, and providing neurorehabilitation.

Key Words: Brain hypoxia-ischemia; Cerebral autoregulation; Post-cardiac arrest syndrome; Targeted temperature management; Diffusion-weighted imaging; Neuron-specific enolase; Multimodal prognostication; Persistent vegetative state

Core Tip: The indicators of good prognosis in hypoxic-ischemic brain injury (HIBI) are: early return of continuous and reactive electroencephalogram, low blood levels of neuron-specific enolase, absence of diffusion changes in brain magnetic resonance imaging, good functional status, and Coma Remission Scale score ≥ 8. Treatment consists of maintaining systemic perfusion, treating the underlying cause of the hypoxia, and preventing ongoing brain injury. HIBI is a major cause of mortality, and the outcome after survival may vary from persistent vegetative state to neuropsychiatric disabilities.



INTRODUCTION

Hypoxic-ischemic brain injury (HIBI) is a common condition encountered by physicians, critical care specialists, cardiologists, neurologists, and neurosurgeons. Regular updates in knowledge are essential to optimize treatment and prognostication. The common causes of HIBI are cardiac arrest, myocardial infarction, cardiac arrhythmia, asphyxiation, carbon monoxide poisoning, pulmonary embolism, respiratory insufficiency, acute lung injury, traumatic diffuse brain injury, traumatic vascular injury, drowning, shock, intoxication and status epilepticus[1-7]. It is a major cause of mortality, and the outcome after survival may vary from persistent vegetative state (PVS) to neuropsychiatric disabilities[2,3]. The EuReCa ONE study assessed the incidence, process, and outcomes of out-of-hospital cardiac arrest (OHCA) in 27 European nations[8]. It concluded that OHCA is a major cause of mortality and the overall percentage of survival to hospital discharge was only 10.7%. Several controversies remain regarding treatment strategies, including optimal oxygenation, blood pressure (BP) targets, and the role of therapeutic hypothermia. Morbidity among survivors is high, with a substantial proportion experiencing psychological complications after OHCA[9]. The incidence rates of depression range from 14% to 45%; anxiety rates range from 13% to 61%; and posttraumatic stress disorder rates range from 19% to 27%. Although neonatal hypoxic-ischemic encephalopathy (HIE) is a similar disease caused by birth asphyxia, it will not be covered in this review, particularly because its pathophysiology and management are distinct. Adult HIBI involves N-methyl-D-aspartate (NMDA)-excitotoxicity whereas neonatal HIE involves maturation-dependent mechanisms such as Wnt signaling.

I performed a literature review to analyze HIBI pathophysiology, clinical progression, imaging, treatment, and prognosis. A search was performed in PubMed, Scopus, Google scholar, EMBASE, and Crossref. Articles from January 1993 to June 2025 were selected. The search words were 'hypoxic ischemic brain injury' OR hypoxic ischemic encephalopathy OR 'post-cardiac arrest syndrome' + 'pathophysiology/prognosis'/imaging/'management'. Pathophysiological articles, experimental studies, reviews, randomized controlled trials (RCTs), case series studies, imaging studies and treatment guidelines were considered. Articles related to neonatal HIE were excluded. A descriptive analysis was performed, and the articles were weighted according to their level of evidence. A narrative review was then conducted.

PATHOPHYSIOLOGY

Sekhon et al[2] described HIBI pathophysiology as a “two-hit” model, meaning that there is a primary injury and a secondary injury[3]. Primary injury occurs during hypoxia (minutes), and secondary injury peaks at 24–72 hours after the return of spontaneous circulation (ROSC). During the primary insult or first hit, there is reduction or cessation of cerebral oxygen delivery (CDO2) and cerebral energy failure because of neuroglycopenia[2-4]. Animal studies have shown that brain glucose, glycogen, adenosine triphosphate (ATP) and phosphocreatine levels are nearly completely depleted within 12 minutes of ischemia[1]. The cessation of the ATP production and impairment of energy-dependent ion channel function lead to intracellular accumulation of sodium and cytotoxic edema. Depletion of ATP also leads to anaerobic metabolism, cerebral lactate accumulation, and intracellular acidosis. Experiments using murine neocortical cell cultures showed that oxygen and glucose deprivation was associated with increased extracellular glutamate concentration[10-13]. The NMDA antagonist dextrorphan at 100 μM protected from neuronal swelling. NMDA receptor activation is involved in both the acute neuronal swelling mediated by influx of sodium, chloride, and water, and the delayed neuronal degeneration by cellular calcium uptake. Calcium-dependent lytic enzymes, such as caspase, proteases, and phospholipases are activated[3], and accumulation of intracellular calcium causes mitochondrial toxicity[2]. Calcium enters the mitochondria and disrupts the electron transport chain, causing reactive oxygen species production[3]. Apoptosis occurs due to the inability to sustain cellular respiration. The calcium- mitochondria-apoptosis cascade is shown in Figure 1. Moderate ischemia leads to infarcts in watershed areas between the regions supplied by the anterior and middle cerebral arteries[6].

Figure 1
Figure 1 Calcium- mitochondria-apoptosis cascade.

The secondary hit occurs during resuscitation and is due to reperfusion and hyperemia after the return of ROSC[2]. Metabolically active structures such as the hippocampi, thalami, cerebral cortex, corpus striatum, and cerebellar vermi are susceptible. The pyramidal neurons of the hippocampus (CA1 region) and cerebral cortex (layers 3, 5, and 6), neurons in the basal ganglia, and the Purkinje cell layer of the cerebellum are highly vulnerable[6]. The initial cerebral hyperemia is followed by hypoperfusion due to impaired autoregulation, decreased nitric oxide production, and vasoconstriction[2]. The breakdown of the blood-brain barrier (BBB) causes perivascular edema and vasogenic edema. Cytotoxic edema occurs due to intracellular sodium and water retention secondary to energy-dependent ion channel failure. Endothelial dysfunction leads to diffuse microthrombi and microcirculatory dysfunction. Secondary brain hypoxia is associated with a proinflammatory response, transient endothelial injury and injuries within the neurovascular unit, comprised of the interface between neuronal, astroglial, mural, and cerebrovascular endothelial cells[4]. The other mechanisms are free radical release, glutamate production, and intracellular accumulation of calcium[2]. There is also an inflammatory response due to reperfusion injury[3]. There is activation of microglia, and circulating leukocytes and cytokine release from the activated leukocytes. The time for irreversible injury after oxygen and glucose deprivation was 6 hours in experiments with cultured glia[13].

The HIBI in hanging can result from the occlusion of carotid and vertebral arteries and tracheal compression[14]. Vessel occlusion leads to thrombosis and dissection, thus exacerbating HIBI. Carotid artery occlusion can also lead to anterior watershed infarcts. In the case of carbon monoxide poisoning, there is capillary leakage of macromolecules from the lungs and systemic vasculature[15]. The cerebral blood vessels dilate when carboxyhemoglobin levels increase, followed by cerebral hypoxia and respiratory depression. Hypoxic-ischemic injury is seen in inflicted and accidental traumatic brain injury in young children[16]. HIBI is more common in inflicted injuries and is associated with respiratory insufficiency and intracranial hematomas.

CLINICAL PROGNOSTICATION

The main clinical manifestation is decreased consciousness according to injury severity[2]. Most studies show that loss of consciousness occur within 30 seconds after circulatory arrest[17]. Disorders of consciousness, seizures, myoclonus, deficits of attention, memory impairments, executive dysfunction, movement disorders, and cognitive impairments are common neurological disturbances after HIBI[18,19]. Children with traumatic HIBI present with seizures and respiratory insufficiency[15].

Profound HIBI results in a comatose state. The Coma Remission Scale (CRS) and Glasgow Coma Scale (GCS) can be used to measure coma depth[7]. GCS ranges from 3 (deep coma) to 15 points (completely aware) and CRS ranges from 0 to 24. The poor clinical prognostic factors are: Absent or extensor motor response, bilaterally absent pupillary light reflex, concurrently with bilaterally absent corneal reflex at 72 hours, status epilepticus within 24 hours, and early status myoclonus lasting for more than 30 minutes within 48 hours[7,20]. This should be confirmed in electroencephalogram (EEG). The investigation findings such as bilateral absence of N20 waves in somatosensory evoked potential (SSEP), and levels of biomarkers of cerebral injury such as neuron specific enolase (NSE) and tau protein have added to the significance of the clinical parameters[20]. There is a less severe type of post-anoxic myoclonus, known as Lance–Adams syndrome, often caused by asphyxial cardiac arrest. It manifests during voluntary action when a patient intentionally moves limbs. The neurological outcome is reported as cerebral performance categories (CPCs). CPC 1 corresponds to good outcome while CPC 5 corresponds to death. The Glasgow Outcome Scale scores correspond to those of the CPCs in inverse order.

EEG

EEG can be used for prognostication. Studies on animals and humans have shown that EEG activity is lost within 30 seconds of circulatory arrest[17]. The predictors of poor prognosis as by the terminology of American Clinical Neurophysiology Society (ACNS) are: Suppressed background (amplitude < 10 μV, 100% of the recording) without discharges, suppressed background with superimposed continuous periodic discharges, burst-suppression (periods of suppression with amplitude < 10 μV constituting > 50% of the recording) without discharges, and burst-suppression with superimposed discharges[7,21]. These indicate extensive cerebral damage affecting electrical activities. Seizures also indicate poor prognosis.

IMAGING

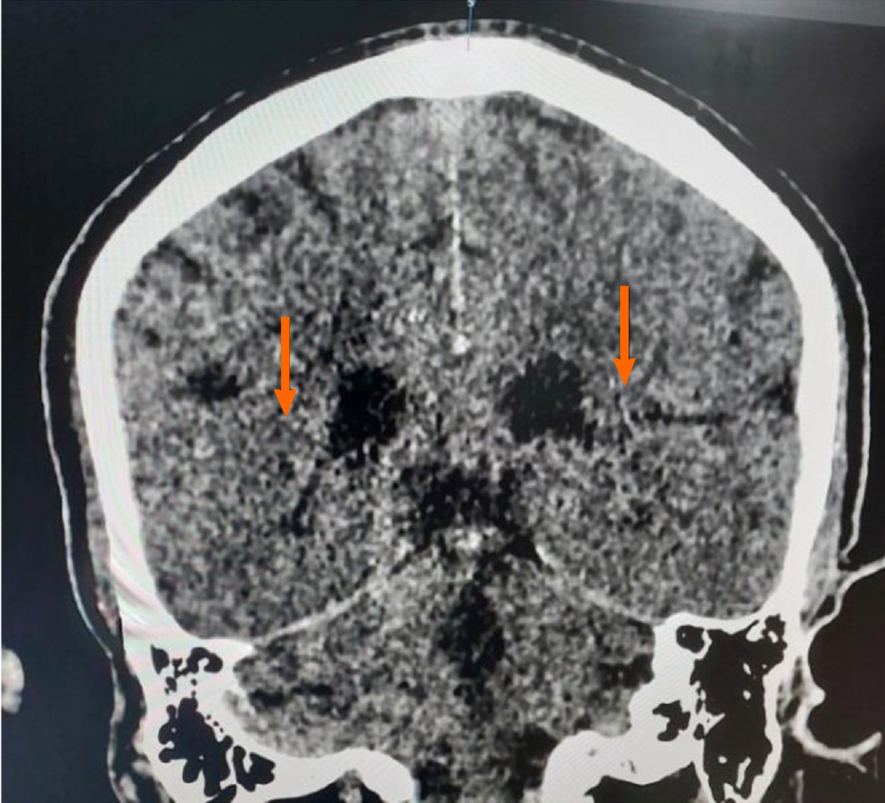
The imaging features of HIBI are often overlooked. The features of HIBI in computed tomography (CT) range from subtle loss of grey-white differentiation to low density generalized edema[22] (Figure 2). The density usually drops to 22–24 Hounsfield units (HU). The deep grey matter (i.e. basal ganglia, thalamus), hippocampi, cerebellum and perirolandic and occipital cortical grey matter appear hypodense on CT[7,22]. These structures are more susceptible because they are more metabolically active[2]. The reversal sign is due to the reversal of normal relative CT attenuation of grey and white matter[21]. The grey matter density decreases to 24 HU (normal: 37-45 HU) while that of white matter is more than 24 HU (normal: 20-30 HU). The pseudo-subarachnoid hemorrhage sign is higher attenuation in the basal cisterns and cortical sulci on a background of diffuse, hypoattenuating brain parenchyma. The white cerebellum signal is due to the cerebral edema contrasting with the hyperdense normal cerebellum.

Figure 2
Figure 2 Computed tomography image of brain showing subtle loss of grey-white differentiation and effacement of basal ganglia (orange arrows) in a patient post-cardiac arrest.

Fluid attenuated inversion recovery (FLAIR) sequence of magnetic resonance imaging (MRI) shows hyperintensities involving the basal ganglia, cortex and white matter (Figure 3A). Diffusion-weighted (DW) imaging, shows areas of restricted diffusion (Figure 4). Diffusion-weighted imaging (DWI) requires absolute diffusion coefficient map confirmation to avoid T2 shine-through artifacts. Watershed infarcts also may be seen[23]. The presence of multilobar alterations on DWI MRI images correlate with poor outcome[24]. The optimal window period for DWI is 24–72 hours, because it may report false-negatives in the hyperacute stage. In the subacute phase, the DWI hyperintensities decrease, and extensive FLAIR hyperintensities can be seen in deep grey matter[21]. In the chronic phase (>3 weeks), diffuse atrophy (Figure 3B), cortical laminar necrosis, and hydrocephalus may be seen[21-25]. Cortical laminar necrosis appears as gyriform hyperintensity in T1-weighted imaging[22]. Hydrocephalus is rare in pure HIBI. It may be seen in cases of comorbid intraventricular hemorrhage or trauma.

Figure 3
Figure 3 Magnetic resonance imaging. A: A patient with hypoxic-ischemic brain injury showing fluid attenuated inversion recovery hyperintensities in basal ganglia; B: A patient with chronic hypoxic-ischemic brain injury showing diffuse atrophy.
Figure 4
Figure 4 Confluent areas of diffusion restriction are noted in the bilateral corona radiata with absolute diffusion coefficient confirmation in hypoxic-ischemic brain injury. A: Hyperintensity in diffusion-weighted imaging; B: Corresponding hypointensity in apparent diffusion coefficient.
TREATMENT

The aim of HIBI management is to limit the secondary injury by balancing the CDO2 and its use[2,26]. Treatment consists of optimizing BP, maintaining systemic perfusion, treatment of the underlying cause of hypoxia, and prevention of ongoing brain injury[3,5]. Normoxic and normocapnic ventilation, normotensive BP support, nutrition, seizure prophylaxis, fluid and electrolyte balance, thromboembolic prophylaxis, tracheostomy, and percutaneous endoscopic gastrostomy (PEG) are needed according to the severity of HIBI and the prolongation of treatment. The European Resuscitation Council (ERC) and the European Society of Intensive Care Medicine (ESICM) have provided post-resuscitation care guidelines for adults[27]. These emphasize the maintenance of oxygen saturation (SpO2) between 94%-98%, intubation of the comatose, ventilation to normoxia and normocapnea, maintenance of systolic BP above 100 mmHg, restoration of normovolemia using crystalloids, control of temperature between 32 °C to 36 °C, control of shivering, maintenance of normoglycemia, and treatment of seizures.

Both hypocapnia and hypercapnia are detrimental[2,3]. Although hypocapnia (PaCO2 < 35 mmHg) reduces intracranial pressure (ICP) by vasoconstriction and resultant reduction in cerebrovascular volume, the decreased cerebral blood flow (CBF) can cause ischemia. Hypercapnia (PaCO2 > 45 mmHg) causes cerebrovascular vasodilation, hyperemia, exacerbation of ICP, and reduction in CBF secondary to raised intracranial tension. Hypercapnia is also associated with excitotoxicity. In a retrospective study, Roberts et al[28] found that early normocapnia was associated with good neurological outcome. A post-hoc analysis of patients in the Intensive Care Unit Randomized Trial Comparing Two Approaches to OXygen therapy (ICU-ROX) showed that conservative oxygen therapy was not associated with a statistically significant reduction in death or unfavorable neurological outcomes[29]. The carbon dioxide, oxygen and mean arterial pressure (MAP) after cardiac arrest and resuscitation (COMACARE) study showed that high-normal PaCO2 or moderate hyperoxia both increased cerebral oxygenation measured by near-infrared spectroscopy[30]. However, there were no significant changes in the concentration of neuron-specific enolase (NSE) or any of the measured markers of neurological or cardiac injury. A meta-analysis by McKenzie et al[31] demonstrated that normocarbia was also associated with a good neurological outcome.

The MAP should be kept within the range of intact autoregulation to optimize cerebral perfusion[3], recommended at 65 mmHg. The Neuroprotect post-cardiac arrest trial found that higher MAPs of 85-100 mmHg were safe and improved cerebral oxygenation but did not improve the extent of anoxic brain damage or neurological outcome[32]. The COMACARE study concluded that high-normal (80–100 mmHg) MAP did not affect markers of cerebral or myocardial injury, cerebral oxygenation, EEG findings, or outcome compared to low-normal MAP (65–75 mmHg)[33]. Therefore, a MAP > 65 mmHg should be targeted unless cerebral hypoperfusion is suspected.

Animal studies demonstrate that heparin and tissue plasminogen activator (t-PA) improve microcirculatory reperfusion after cardiac arrest[2,34]; however, clinical studies have found this combination to be marginally useful[35]. A pilot randomized trial of thrombolysis in cardiac arrest (the TICA trial) showed that the use of tenecteplase for OHCA increased ROSC rate[36].

Antiedema therapy is needed in the acute phase. The experimental study by Nakayama et al[37] showed that hypertonic saline (HS) therapy with serum osmolality of approximately 350 mOsm/L reduces BBB disruption and cerebral edema following cardiac arrest via the perivascular pool of aquaporin-4[37], with a dose of 3% HS bolus (2–4 mL/kg) to target a serum sodium level of 150–155 mEq/L. Other experimental studies have demonstrated that blocking sodium-chloride receptors and the sulfonylurea receptors of ATP-sensitive K+ channels ameliorates HIBI-induced cytotoxic edema[2,38,39].

Therapeutic hypothermia or targeted temperature management (TTM) has been evaluated for neuroprotection[2,3]. There is a 5% to 10% reduction of cerebral metabolism for each 1 °C decrease in core body temperature. TTM is performed using a feedback controlled surface cooling device or intravascular catheter. The aim of induced hypothermia is to decrease cerebral oxygen demand[40]. Hypothermia reduces carbon dioxide production, brain edema, intracranial hypertension, inflammation, excitotoxicity, free radical release, mitochondrial dysfunction, and apoptosis[2,41]. The complications of TTM are cold diuresis, hypovolemia, hypotension, bradyarrhythmia, electrolyte disorders, coagulopathy, and shivering. American Heart Association recommends TTM with a goal temperature between 32 °C-36 °C[42]. Improved outcomes are seen with induced hypothermia. The Therapeutic Hypothermia after Cardiac Arrest in Nonshockable Rhythm (HYPERION) trial showed that moderate hypothermia at 33 °C led to a higher percentage of patients surviving with favorable neurologic outcomes[43]. However, the Targeted Hypothermia vs Targeted Normothermia after Out-of-Hospital Cardiac Arrest (TTM2) trial concluded that hypothermia-treated patients did not have a lower incidence of death than those treated with normothermia[44]. Therefore, the International Liaison Committee on Resuscitation (ILCOR) now prioritizes fever prevention (≤ 37.5 °C) over routine hypothermia.

Electrographic status epilepticus is common during the initial days after cardiac arrest[45]. The guidelines of ERC and ESICM recommend treatment of seizures with sodium valproate and levetiracetam[27]. Several neuroprotective agents are under trial for improving outcomes in HIBI[3]. Xenon gas is an NMDA receptor inhibitor. An RCT conducted by Laitio et al[46] demonstrated reduced white matter injury in diffusion tensor MRI in patients receiving xenon but without significant difference in neurological outcomes or mortality. Several agents have been tested with marginal effects on stabilization of hemodynamic, mitochondrial, metabolic, oxidative, and inflammatory processes to reduce brain injury and improve neurologic outcomes[47]. These are vitamin C, α-tocopherol, edaravone, N-acetylcysteine, metformin, melatonin, sodium bicarbonate, thiamine, pyruvate, hydrogen gas, and argon gas. While there were no statistically significant clinical benefits from these agents, they require further trials and validation for clinical use.

Early neurological rehabilitation is advisable after survival from coma[7]. Barthel index (BI), early rehabilitation index (ERI) and CRS are used to measure recovery from coma and functional ability. BI ranges from 0 for complete dependence on nursing to 100 for functional independence. ERI considers mechanical ventilation, tracheostomy, or dysphagia and ranges from −325 to 0. CRS ranges from 0 to 24 according to coma depth. Cognitive rehabilitation therapy (CRT) should be given for patients with functional impairments[5]. The main components are enriched environment and audio-visual stimuli, and the treatment flowchart is shown in Figure 5.

Figure 5
Figure 5 Treatment flowchart of hypoxic-ischemic brain injury. HIBI: Hypoxic-ischemic brain injury; BP: Blood pressure; MAP: Mean arterial pressure; t-PA: Tissue plasminogen activator.
PROGNOSIS

The indicators of good prognosis are an early return of continuous and reactive EEG, low NSE blood levels, and absence of diffusion changes on brain MRI[19,24]. The functional status and the interval length of coma are strong predictors of outcome from hypoxic brain damage[7]. CRS scores ≥ 8 increase recovery chances. Bilateral hypodensity of basal ganglia indicates poor prognosis. The ERC and ESICM guidelines predict poor outcome when ≥ 2 of the following are present: No pupillary and corneal reflexes at ≥ 72 hours, bilaterally absent N20 SSEP wave at ≥ 24 hours, highly malignant patterns in EEG at > 24 hours, NSE > 60 µg/L at 72 hours, status myoclonus ≤ 72 hours, or extensive anoxic injury on brain CT/MRI[27]. The need for prolonged care of neurologically devastated survivors is an immense burden to healthcare systems and their families. Most deaths are secondary to the decision to withdraw life-sustaining therapy. However, the evidence suggests that the functional status of comatose patients can improve in 6 months[48]. The prognostic factors are summarized in Table 1. The synopsis of the pathophysiology, treatment, and prognosis of HIBI are given in Figure 6.

Figure 6
Figure 6 Synopsis of the pathophysiology, treatment, and prognosis of hypoxic-ischemic brain injury. MAP: Mean arterial pressure; EEG: Electroencephalogram; NSE: Neuron specific enolase; CT: Computed tomography; MRI: Magnetic resonance imaging; NMDA: N-methyl-D-aspartate; ATP: Adenosine triphosphate.
Table 1 Prognostic factors in hypoxic-ischemic brain injury.
Good prognostic factors
Poor prognostic factors by ERC and ESICM
Early return of continuous and reactive EEG. Low blood levels of NSE. Absence of diffusion changes on brain MRI. Good functional status. CRS scores of 8 and moreNo pupillary and corneal reflexes at ≥ 72 hours. Bilaterally absent N20 SSEP wave at ≥ 24 hours. Highly malignant patterns in EEG at > 24 hours. NSE > 60 µg/L at 72 hours. Status myoclonus ≤ 72 hours. Extensive anoxic injury on brain CT/MRI
DISCUSSION

Detailed knowledge about the pathophysiology helps in the precise management of HIBI. The ‘two-hit‘ model cautions about reperfusion injuries. The major studies and trials such as EuReCa ONE, ICU-ROX, COMACARE, Neuroprotect, TICA, HYPERION, and TTM2 have added to the evidence-based literature about HIBI. Besides these, ACNS, ERC, ESICM and ILCOR have provided guidelines for prognostication and treatment. The controversies about oxygenation and ventilation have been resolved to an extent with the suggestion of maintenance of normoxia and normocapnia. The Neuroprotect trial showed some improvement in cerebral oxygenation with higher MAP of 85-100 mmHg. However, the COMACARE study did not demonstrate any benefits. Therefore, the maintenance of MAP of 65 mmHg is recommended. The HYPERION trial showed that hypothermia at 33 °C improved neurologic outcome, while the TTM2 trial did not demonstrate any advantage. Therefore, ILCOR now recommends fever prevention (≤ 37.5 °C) rather than hypothermia. The guidelines for prognostication help in treatment continuation and supportive care for those with good chances of recovery. The care and nursing of those in the persistent vegetative state are costly affairs for families and society.

CONCLUSION

The poor clinical prognostic factors in HIBI are: Absent or extensor motor response, bilaterally absent pupillary light reflex, bilaterally absent corneal reflex, and early status myoclonus. Low amplitude EEG and seizure indicate poor prognosis. Areas of diffusion restriction and hyperintensities in FLAIR are the usual findings in MRI. The reversal sign and pseudo-SAH sign are seen in severe HIBI. The principles of treatment are maintenance of SpO2 between 94%-98%, ventilation for the comatose to normoxia and normocapnea, maintenance of MAP at 65 mmHg, heparin and t-PA for thrombotic cardiac arrest, 3% HS for antiedema, fever prevention (≤ 37.5 °C), and sodium valproate or levetiracetam for seizures. Thromboembolic prophylaxis, tracheostomy, and PEG are required for patients with persistent coma. Early neurological rehabilitation and CRT are ideal for early recovery.

References
1.  Busl KM, Greer DM. Hypoxic-ischemic brain injury: pathophysiology, neuropathology and mechanisms. NeuroRehabilitation. 2010;26:5-13.  [RCA]  [PubMed]  [DOI]  [Full Text]  [Cited by in Crossref: 189]  [Cited by in RCA: 226]  [Article Influence: 14.1]  [Reference Citation Analysis (0)]
2.  Sekhon MS, Ainslie PN, Griesdale DE. Clinical pathophysiology of hypoxic ischemic brain injury after cardiac arrest: a "two-hit" model. Crit Care. 2017;21:90.  [RCA]  [PubMed]  [DOI]  [Full Text]  [Full Text (PDF)]  [Cited by in Crossref: 491]  [Cited by in RCA: 449]  [Article Influence: 49.9]  [Reference Citation Analysis (1)]
3.  Sandroni C, Cronberg T, Sekhon M. Brain injury after cardiac arrest: pathophysiology, treatment, and prognosis. Intensive Care Med. 2021;47:1393-1414.  [RCA]  [PubMed]  [DOI]  [Full Text]  [Full Text (PDF)]  [Cited by in Crossref: 416]  [Cited by in RCA: 354]  [Article Influence: 70.8]  [Reference Citation Analysis (1)]
4.  Hoiland RL, Ainslie PN, Wellington CL, Cooper J, Stukas S, Thiara S, Foster D, Fergusson NA, Conway EM, Menon DK, Gooderham P, Hirsch-Reinshagen V, Griesdale DE, Sekhon MS. Brain Hypoxia Is Associated With Neuroglial Injury in Humans Post-Cardiac Arrest. Circ Res. 2021;129:583-597.  [RCA]  [PubMed]  [DOI]  [Full Text]  [Cited by in Crossref: 79]  [Cited by in RCA: 68]  [Article Influence: 13.6]  [Reference Citation Analysis (0)]
5.  Kumar AA, Rao BM. Diffuse Brain Injury-Review of Literature and Representative Case Reports. Prensa Med Argent. 2018;104:3.  [PubMed]  [DOI]
6.  Lacerte M, Hays Shapshak A, Mesfin FB.   Hypoxic Brain Injury. 2023 Jan 27. In: StatPearls [Internet]. Treasure Island (FL): StatPearls Publishing, 2025.  [PubMed]  [DOI]
7.  Heinz UE, Rollnik JD. Outcome and prognosis of hypoxic brain damage patients undergoing neurological early rehabilitation. BMC Res Notes. 2015;8:243.  [RCA]  [PubMed]  [DOI]  [Full Text]  [Full Text (PDF)]  [Cited by in Crossref: 71]  [Cited by in RCA: 54]  [Article Influence: 4.9]  [Reference Citation Analysis (1)]
8.  Gräsner JT, Lefering R, Koster RW, Masterson S, Böttiger BW, Herlitz J, Wnent J, Tjelmeland IB, Ortiz FR, Maurer H, Baubin M, Mols P, Hadžibegović I, Ioannides M, Škulec R, Wissenberg M, Salo A, Hubert H, Nikolaou NI, Lóczi G, Svavarsdóttir H, Semeraro F, Wright PJ, Clarens C, Pijls R, Cebula G, Correia VG, Cimpoesu D, Raffay V, Trenkler S, Markota A, Strömsöe A, Burkart R, Perkins GD, Bossaert LL; EuReCa ONE Collaborators. EuReCa ONE-27 Nations, ONE Europe, ONE Registry: A prospective one month analysis of out-of-hospital cardiac arrest outcomes in 27 countries in Europe. Resuscitation. 2016;105:188-195.  [RCA]  [PubMed]  [DOI]  [Full Text]  [Cited by in Crossref: 357]  [Cited by in RCA: 545]  [Article Influence: 54.5]  [Reference Citation Analysis (0)]
9.  Wilder Schaaf KP, Artman LK, Peberdy MA, Walker WC, Ornato JP, Gossip MR, Kreutzer JS; Virginia Commonwealth University ARCTIC Investigators. Anxiety, depression, and PTSD following cardiac arrest: a systematic review of the literature. Resuscitation. 2013;84:873-877.  [RCA]  [PubMed]  [DOI]  [Full Text]  [Cited by in Crossref: 162]  [Cited by in RCA: 137]  [Article Influence: 10.5]  [Reference Citation Analysis (1)]
10.  Shankaran S, Pappas A, McDonald SA, Vohr BR, Hintz SR, Yolton K, Gustafson KE, Leach TM, Green C, Bara R, Petrie Huitema CM, Ehrenkranz RA, Tyson JE, Das A, Hammond J, Peralta-Carcelen M, Evans PW, Heyne RJ, Wilson-Costello DE, Vaucher YE, Bauer CR, Dusick AM, Adams-Chapman I, Goldstein RF, Guillet R, Papile LA, Higgins RD; Eunice Kennedy Shriver NICHD Neonatal Research Network. Childhood outcomes after hypothermia for neonatal encephalopathy. N Engl J Med. 2012;366:2085-2092.  [RCA]  [PubMed]  [DOI]  [Full Text]  [Cited by in Crossref: 645]  [Cited by in RCA: 587]  [Article Influence: 41.9]  [Reference Citation Analysis (1)]
11.  Gresoiu M, Christou S. Hypoxic Ischaemic Brain Injury. Anaesth. Intensive Care Med. 2020;21:298-304.  [PubMed]  [DOI]  [Full Text]
12.  Wagner SR 4th, Lanier WL. Metabolism of glucose, glycogen, and high-energy phosphates during complete cerebral ischemia. A comparison of normoglycemic, chronically hyperglycemic diabetic, and acutely hyperglycemic nondiabetic rats. Anesthesiology. 1994;81:1516-1526.  [RCA]  [PubMed]  [DOI]  [Full Text]  [Cited by in Crossref: 52]  [Cited by in RCA: 41]  [Article Influence: 1.3]  [Reference Citation Analysis (1)]
13.  Goldberg MP, Choi DW. Combined oxygen and glucose deprivation in cortical cell culture: calcium-dependent and calcium-independent mechanisms of neuronal injury. J Neurosci. 1993;13:3510-3524.  [RCA]  [PubMed]  [DOI]  [Full Text]  [Cited by in Crossref: 597]  [Cited by in RCA: 528]  [Article Influence: 16.0]  [Reference Citation Analysis (1)]
14.  Coombs AE, Ashton-Cleary D. Hanging and near-hanging. BJA Educ. 2023;23:358-363.  [RCA]  [PubMed]  [DOI]  [Full Text]  [Full Text (PDF)]  [Cited by in Crossref: 5]  [Cited by in RCA: 3]  [Article Influence: 1.0]  [Reference Citation Analysis (1)]
15.  McMahon K, Launico MV.   Carbon Monoxide Toxicity. 2025 Apr 19. In: StatPearls. Treasure Island (FL): StatPearls Publishing, 2025.  [PubMed]  [DOI]
16.  Ichord RN, Naim M, Pollock AN, Nance ML, Margulies SS, Christian CW. Hypoxic-ischemic injury complicates inflicted and accidental traumatic brain injury in young children: the role of diffusion-weighted imaging. J Neurotrauma. 2007;24:106-118.  [RCA]  [PubMed]  [DOI]  [Full Text]  [Cited by in Crossref: 116]  [Cited by in RCA: 81]  [Article Influence: 4.3]  [Reference Citation Analysis (1)]
17.  Pana R, Hornby L, Shemie SD, Dhanani S, Teitelbaum J. Time to loss of brain function and activity during circulatory arrest. J Crit Care. 2016;34:77-83.  [RCA]  [PubMed]  [DOI]  [Full Text]  [Cited by in Crossref: 65]  [Cited by in RCA: 59]  [Article Influence: 5.9]  [Reference Citation Analysis (1)]
18.  Anderson CA, Arciniegas DB. Cognitive sequelae of hypoxic-ischemic brain injury: a review. NeuroRehabilitation. 2010;26:47-63.  [RCA]  [PubMed]  [DOI]  [Full Text]  [Cited by in Crossref: 75]  [Cited by in RCA: 86]  [Article Influence: 5.4]  [Reference Citation Analysis (0)]
19.  Lu-Emerson C, Khot S. Neurological sequelae of hypoxic-ischemic brain injury. NeuroRehabilitation. 2010;26:35-45.  [RCA]  [PubMed]  [DOI]  [Full Text]  [Cited by in Crossref: 48]  [Cited by in RCA: 50]  [Article Influence: 3.1]  [Reference Citation Analysis (0)]
20.  Sandroni C, D'Arrigo S, Nolan JP. Prognostication after cardiac arrest. Crit Care. 2018;22:150.  [RCA]  [PubMed]  [DOI]  [Full Text]  [Full Text (PDF)]  [Cited by in Crossref: 246]  [Cited by in RCA: 205]  [Article Influence: 25.6]  [Reference Citation Analysis (1)]
21.  Westhall E, Rossetti AO, van Rootselaar AF, Wesenberg Kjaer T, Horn J, Ullén S, Friberg H, Nielsen N, Rosén I, Åneman A, Erlinge D, Gasche Y, Hassager C, Hovdenes J, Kjaergaard J, Kuiper M, Pellis T, Stammet P, Wanscher M, Wetterslev J, Wise MP, Cronberg T; TTM-trial investigators. Standardized EEG interpretation accurately predicts prognosis after cardiac arrest. Neurology. 2016;86:1482-1490.  [RCA]  [PubMed]  [DOI]  [Full Text]  [Cited by in Crossref: 363]  [Cited by in RCA: 319]  [Article Influence: 31.9]  [Reference Citation Analysis (1)]
22.  Chua W, Lim BK, Lim TC. Clinics in diagnostic imaging (153). Severe hypoxic ischaemic brain injury. Singapore Med J. 2014;55:393-6; quiz 397.  [RCA]  [PubMed]  [DOI]  [Full Text]  [Full Text (PDF)]  [Cited by in Crossref: 4]  [Cited by in RCA: 3]  [Article Influence: 0.3]  [Reference Citation Analysis (1)]
23.  Maurya VK, Ravikumar R, Bhatia M, Rai R. Hypoxic-Ischemic brain injury in an adult: Magnetic Resonance Imaging findings. Med J Armed Forces India. 2016;72:75-77.  [RCA]  [PubMed]  [DOI]  [Full Text]  [Full Text (PDF)]  [Cited by in Crossref: 9]  [Cited by in RCA: 7]  [Article Influence: 0.7]  [Reference Citation Analysis (1)]
24.  Wei R, Wang C, He F, Hong L, Zhang J, Bao W, Meng F, Luo B. Prediction of poor outcome after hypoxic-ischemic brain injury by diffusion-weighted imaging: A systematic review and meta-analysis. PLoS One. 2019;14:e0226295.  [RCA]  [PubMed]  [DOI]  [Full Text]  [Full Text (PDF)]  [Cited by in Crossref: 19]  [Cited by in RCA: 13]  [Article Influence: 1.9]  [Reference Citation Analysis (1)]
25.  Howard RS, Holmes PA, Siddiqui A, Treacher D, Tsiropoulos I, Koutroumanidis M. Hypoxic-ischaemic brain injury: imaging and neurophysiology abnormalities related to outcome. QJM. 2012;105:551-561.  [RCA]  [PubMed]  [DOI]  [Full Text]  [Cited by in Crossref: 52]  [Cited by in RCA: 44]  [Article Influence: 3.1]  [Reference Citation Analysis (1)]
26.  Nolan JP, Neumar RW, Adrie C, Aibiki M, Berg RA, Böttiger BW, Callaway C, Clark RS, Geocadin RG, Jauch EC, Kern KB, Laurent I, Longstreth WT, Merchant RM, Morley P, Morrison LJ, Nadkarni V, Peberdy MA, Rivers EP, Rodriguez-Nunez A, Sellke FW, Spaulding C, Sunde K, Hoek TV. Post-cardiac arrest syndrome: epidemiology, pathophysiology, treatment, and prognostication. A Scientific Statement from the International Liaison Committee on Resuscitation; the American Heart Association Emergency Cardiovascular Care Committee; the Council on Cardiovascular Surgery and Anesthesia; the Council on Cardiopulmonary, Perioperative, and Critical Care; the Council on Clinical Cardiology; the Council on Stroke. Resuscitation. 2008;79:350-379.  [RCA]  [PubMed]  [DOI]  [Full Text]  [Cited by in Crossref: 863]  [Cited by in RCA: 775]  [Article Influence: 43.1]  [Reference Citation Analysis (2)]
27.  Nolan JP, Sandroni C, Böttiger BW, Cariou A, Cronberg T, Friberg H, Genbrugge C, Haywood K, Lilja G, Moulaert VRM, Nikolaou N, Olasveengen TM, Skrifvars MB, Taccone F, Soar J. European Resuscitation Council and European Society of Intensive Care Medicine guidelines 2021: post-resuscitation care. Intensive Care Med. 2021;47:369-421.  [RCA]  [PubMed]  [DOI]  [Full Text]  [Full Text (PDF)]  [Cited by in Crossref: 873]  [Cited by in RCA: 751]  [Article Influence: 150.2]  [Reference Citation Analysis (1)]
28.  Roberts BW, Kilgannon JH, Chansky ME, Trzeciak S. Association between initial prescribed minute ventilation and post-resuscitation partial pressure of arterial carbon dioxide in patients with post-cardiac arrest syndrome. Ann Intensive Care. 2014;4:9.  [RCA]  [PubMed]  [DOI]  [Full Text]  [Full Text (PDF)]  [Cited by in Crossref: 40]  [Cited by in RCA: 36]  [Article Influence: 3.0]  [Reference Citation Analysis (1)]
29.  Young P, Mackle D, Bellomo R, Bailey M, Beasley R, Deane A, Eastwood G, Finfer S, Freebairn R, King V, Linke N, Litton E, McArthur C, McGuinness S, Panwar R; ICU-ROX Investigators and the Australian and New Zealand Intensive Care Society Clinical Trials Group. Conservative oxygen therapy for mechanically ventilated adults with suspected hypoxic ischaemic encephalopathy. Intensive Care Med. 2020;46:2411-2422.  [RCA]  [PubMed]  [DOI]  [Full Text]  [Full Text (PDF)]  [Cited by in Crossref: 56]  [Cited by in RCA: 51]  [Article Influence: 8.5]  [Reference Citation Analysis (1)]
30.  Jakkula P, Reinikainen M, Hästbacka J, Loisa P, Tiainen M, Pettilä V, Toppila J, Lähde M, Bäcklund M, Okkonen M, Bendel S, Birkelund T, Pulkkinen A, Heinonen J, Tikka T, Skrifvars MB; COMACARE study group. Targeting two different levels of both arterial carbon dioxide and arterial oxygen after cardiac arrest and resuscitation: a randomised pilot trial. Intensive Care Med. 2018;44:2112-2121.  [RCA]  [PubMed]  [DOI]  [Full Text]  [Full Text (PDF)]  [Cited by in Crossref: 175]  [Cited by in RCA: 162]  [Article Influence: 20.3]  [Reference Citation Analysis (1)]
31.  McKenzie N, Williams TA, Tohira H, Ho KM, Finn J. A systematic review and meta-analysis of the association between arterial carbon dioxide tension and outcomes after cardiac arrest. Resuscitation. 2017;111:116-126.  [RCA]  [PubMed]  [DOI]  [Full Text]  [Cited by in Crossref: 60]  [Cited by in RCA: 56]  [Article Influence: 6.2]  [Reference Citation Analysis (1)]
32.  Ameloot K, De Deyne C, Eertmans W, Ferdinande B, Dupont M, Palmers PJ, Petit T, Nuyens P, Maeremans J, Vundelinckx J, Vanhaverbeke M, Belmans A, Peeters R, Demaerel P, Lemmens R, Dens J, Janssens S. Early goal-directed haemodynamic optimization of cerebral oxygenation in comatose survivors after cardiac arrest: the Neuroprotect post-cardiac arrest trial. Eur Heart J. 2019;40:1804-1814.  [RCA]  [PubMed]  [DOI]  [Full Text]  [Cited by in Crossref: 184]  [Cited by in RCA: 165]  [Article Influence: 23.6]  [Reference Citation Analysis (0)]
33.  Jakkula P, Pettilä V, Skrifvars MB, Hästbacka J, Loisa P, Tiainen M, Wilkman E, Toppila J, Koskue T, Bendel S, Birkelund T, Laru-Sompa R, Valkonen M, Reinikainen M; COMACARE study group. Targeting low-normal or high-normal mean arterial pressure after cardiac arrest and resuscitation: a randomised pilot trial. Intensive Care Med. 2018;44:2091-2101.  [RCA]  [PubMed]  [DOI]  [Full Text]  [Full Text (PDF)]  [Cited by in Crossref: 200]  [Cited by in RCA: 183]  [Article Influence: 22.9]  [Reference Citation Analysis (1)]
34.  Fischer M, Böttiger BW, Popov-Cenic S, Hossmann KA. Thrombolysis using plasminogen activator and heparin reduces cerebral no-reflow after resuscitation from cardiac arrest: an experimental study in the cat. Intensive Care Med. 1996;22:1214-1223.  [RCA]  [PubMed]  [DOI]  [Full Text]  [Cited by in Crossref: 145]  [Cited by in RCA: 116]  [Article Influence: 3.9]  [Reference Citation Analysis (1)]
35.  Böttiger BW, Bode C, Kern S, Gries A, Gust R, Glätzer R, Bauer H, Motsch J, Martin E. Efficacy and safety of thrombolytic therapy after initially unsuccessful cardiopulmonary resuscitation: a prospective clinical trial. Lancet. 2001;357:1583-1585.  [RCA]  [PubMed]  [DOI]  [Full Text]  [Cited by in Crossref: 260]  [Cited by in RCA: 197]  [Article Influence: 7.9]  [Reference Citation Analysis (1)]
36.  Fatovich DM, Dobb GJ, Clugston RA. A pilot randomised trial of thrombolysis in cardiac arrest (The TICA trial). Resuscitation. 2004;61:309-313.  [RCA]  [PubMed]  [DOI]  [Full Text]  [Cited by in Crossref: 78]  [Cited by in RCA: 71]  [Article Influence: 3.2]  [Reference Citation Analysis (1)]
37.  Nakayama S, Migliati E, Amiry-Moghaddam M, Ottersen OP, Bhardwaj A. Osmotherapy With Hypertonic Saline Attenuates Global Cerebral Edema Following Experimental Cardiac Arrest via Perivascular Pool of Aquaporin-4. Crit Care Med. 2016;44:e702-e710.  [RCA]  [PubMed]  [DOI]  [Full Text]  [Cited by in Crossref: 28]  [Cited by in RCA: 27]  [Article Influence: 2.7]  [Reference Citation Analysis (1)]
38.  Rungta RL, Choi HB, Tyson JR, Malik A, Dissing-Olesen L, Lin PJC, Cain SM, Cullis PR, Snutch TP, MacVicar BA. The cellular mechanisms of neuronal swelling underlying cytotoxic edema. Cell. 2015;161:610-621.  [RCA]  [PubMed]  [DOI]  [Full Text]  [Cited by in Crossref: 138]  [Cited by in RCA: 200]  [Article Influence: 18.2]  [Reference Citation Analysis (0)]
39.  Xie Y, Zacharias E, Hoff P, Tegtmeier F. Ion channel involvement in anoxic depolarization induced by cardiac arrest in rat brain. J Cereb Blood Flow Metab. 1995;15:587-594.  [RCA]  [PubMed]  [DOI]  [Full Text]  [Cited by in Crossref: 74]  [Cited by in RCA: 64]  [Article Influence: 2.1]  [Reference Citation Analysis (0)]
40.  Bernard SA, Gray TW, Buist MD, Jones BM, Silvester W, Gutteridge G, Smith K. Treatment of comatose survivors of out-of-hospital cardiac arrest with induced hypothermia. N Engl J Med. 2002;346:557-563.  [RCA]  [PubMed]  [DOI]  [Full Text]  [Cited by in Crossref: 4425]  [Cited by in RCA: 3756]  [Article Influence: 156.5]  [Reference Citation Analysis (2)]
41.  Polderman KH. Mechanisms of action, physiological effects, and complications of hypothermia. Crit Care Med. 2009;37:S186-S202.  [RCA]  [PubMed]  [DOI]  [Full Text]  [Cited by in Crossref: 937]  [Cited by in RCA: 827]  [Article Influence: 48.6]  [Reference Citation Analysis (1)]
42.  Callaway CW, Donnino MW, Fink EL, Geocadin RG, Golan E, Kern KB, Leary M, Meurer WJ, Peberdy MA, Thompson TM, Zimmerman JL. Part 8: Post-Cardiac Arrest Care: 2015 American Heart Association Guidelines Update for Cardiopulmonary Resuscitation and Emergency Cardiovascular Care. Circulation. 2015;132:S465-S482.  [RCA]  [PubMed]  [DOI]  [Full Text]  [Cited by in Crossref: 961]  [Cited by in RCA: 1047]  [Article Influence: 95.2]  [Reference Citation Analysis (1)]
43.  Lascarrou JB, Merdji H, Le Gouge A, Colin G, Grillet G, Girardie P, Coupez E, Dequin PF, Cariou A, Boulain T, Brule N, Frat JP, Asfar P, Pichon N, Landais M, Plantefeve G, Quenot JP, Chakarian JC, Sirodot M, Legriel S, Letheulle J, Thevenin D, Desachy A, Delahaye A, Botoc V, Vimeux S, Martino F, Giraudeau B, Reignier J; CRICS-TRIGGERSEP Group. Targeted Temperature Management for Cardiac Arrest with Nonshockable Rhythm. N Engl J Med. 2019;381:2327-2337.  [RCA]  [PubMed]  [DOI]  [Full Text]  [Cited by in Crossref: 568]  [Cited by in RCA: 495]  [Article Influence: 70.7]  [Reference Citation Analysis (1)]
44.  Dankiewicz J, Cronberg T, Lilja G, Jakobsen JC, Levin H, Ullén S, Rylander C, Wise MP, Oddo M, Cariou A, Bělohlávek J, Hovdenes J, Saxena M, Kirkegaard H, Young PJ, Pelosi P, Storm C, Taccone FS, Joannidis M, Callaway C, Eastwood GM, Morgan MPG, Nordberg P, Erlinge D, Nichol AD, Chew MS, Hollenberg J, Thomas M, Bewley J, Sweet K, Grejs AM, Christensen S, Haenggi M, Levis A, Lundin A, Düring J, Schmidbauer S, Keeble TR, Karamasis GV, Schrag C, Faessler E, Smid O, Otáhal M, Maggiorini M, Wendel Garcia PD, Jaubert P, Cole JM, Solar M, Borgquist O, Leithner C, Abed-Maillard S, Navarra L, Annborn M, Undén J, Brunetti I, Awad A, McGuigan P, Bjørkholt Olsen R, Cassina T, Vignon P, Langeland H, Lange T, Friberg H, Nielsen N; TTM2 Trial Investigators. Hypothermia versus Normothermia after Out-of-Hospital Cardiac Arrest. N Engl J Med. 2021;384:2283-2294.  [RCA]  [PubMed]  [DOI]  [Full Text]  [Cited by in Crossref: 852]  [Cited by in RCA: 729]  [Article Influence: 145.8]  [Reference Citation Analysis (1)]
45.  Backman S, Westhall E, Dragancea I, Friberg H, Rundgren M, Ullén S, Cronberg T. Electroencephalographic characteristics of status epilepticus after cardiac arrest. Clin Neurophysiol. 2017;128:681-688.  [RCA]  [PubMed]  [DOI]  [Full Text]  [Cited by in Crossref: 37]  [Cited by in RCA: 51]  [Article Influence: 5.7]  [Reference Citation Analysis (0)]
46.  Laitio R, Hynninen M, Arola O, Virtanen S, Parkkola R, Saunavaara J, Roine RO, Grönlund J, Ylikoski E, Wennervirta J, Bäcklund M, Silvasti P, Nukarinen E, Tiainen M, Saraste A, Pietilä M, Airaksinen J, Valanne L, Martola J, Silvennoinen H, Scheinin H, Harjola VP, Niiranen J, Korpi K, Varpula M, Inkinen O, Olkkola KT, Maze M, Vahlberg T, Laitio T. Effect of Inhaled Xenon on Cerebral White Matter Damage in Comatose Survivors of Out-of-Hospital Cardiac Arrest: A Randomized Clinical Trial. JAMA. 2016;315:1120-1128.  [RCA]  [PubMed]  [DOI]  [Full Text]  [Cited by in Crossref: 124]  [Cited by in RCA: 109]  [Article Influence: 10.9]  [Reference Citation Analysis (1)]
47.  Choudhary RC, Shoaib M, Sohnen S, Rolston DM, Jafari D, Miyara SJ, Hayashida K, Molmenti EP, Kim J, Becker LB. Pharmacological Approach for Neuroprotection After Cardiac Arrest-A Narrative Review of Current Therapies and Future Neuroprotective Cocktail. Front Med (Lausanne). 2021;8:636651.  [RCA]  [PubMed]  [DOI]  [Full Text]  [Full Text (PDF)]  [Cited by in Crossref: 34]  [Cited by in RCA: 29]  [Article Influence: 5.8]  [Reference Citation Analysis (1)]
48.  Tong JT, Eyngorn I, Mlynash M, Albers GW, Hirsch KG. Functional Neurologic Outcomes Change Over the First 6 Months After Cardiac Arrest. Crit Care Med. 2016;44:e1202-e1207.  [RCA]  [PubMed]  [DOI]  [Full Text]  [Cited by in Crossref: 65]  [Cited by in RCA: 63]  [Article Influence: 6.3]  [Reference Citation Analysis (1)]
Footnotes

Provenance and peer review: Invited article; Externally peer reviewed.

Peer-review model: Single blind

Specialty type: Medical laboratory technology

Country of origin: India

Peer-review report’s classification

Scientific Quality: Grade B, Grade B, Grade D, Grade D

Novelty: Grade B, Grade C, Grade C, Grade D

Creativity or Innovation: Grade C, Grade C, Grade C, Grade D

Scientific Significance: Grade C, Grade C, Grade D, Grade D

Open Access: This article is an open-access article that was selected by an in-house editor and fully peer-reviewed by external reviewers. It is distributed in accordance with the Creative Commons Attribution NonCommercial (CC BY-NC 4.0) license, which permits others to distribute, remix, adapt, build upon this work non-commercially, and license their derivative works on different terms, provided the original work is properly cited and the use is non-commercial. See: https://creativecommons.org/Licenses/by-nc/4.0/

P-Reviewer: Khan S, Research Fellow, Pakistan; Mylavarapu M, MD, Senior Researcher, United States; Shahid H, MD, Post Doctoral Researcher, Postdoctoral Fellow, United States S-Editor: Liu H L-Editor: Filipodia P-Editor: Li X

Write to the Help Desk