Copyright
©The Author(s) 2025.
World J Exp Med. Dec 20, 2025; 15(4): 110917
Published online Dec 20, 2025. doi: 10.5493/wjem.v15.i4.110917
Published online Dec 20, 2025. doi: 10.5493/wjem.v15.i4.110917
Figure 1 Flowchart showing the mechanism of action of palmitoyl-protein thioesterase 1 during dysregulation and inhibition.
PPT1: Palmitoyl-protein thioesterase 1.
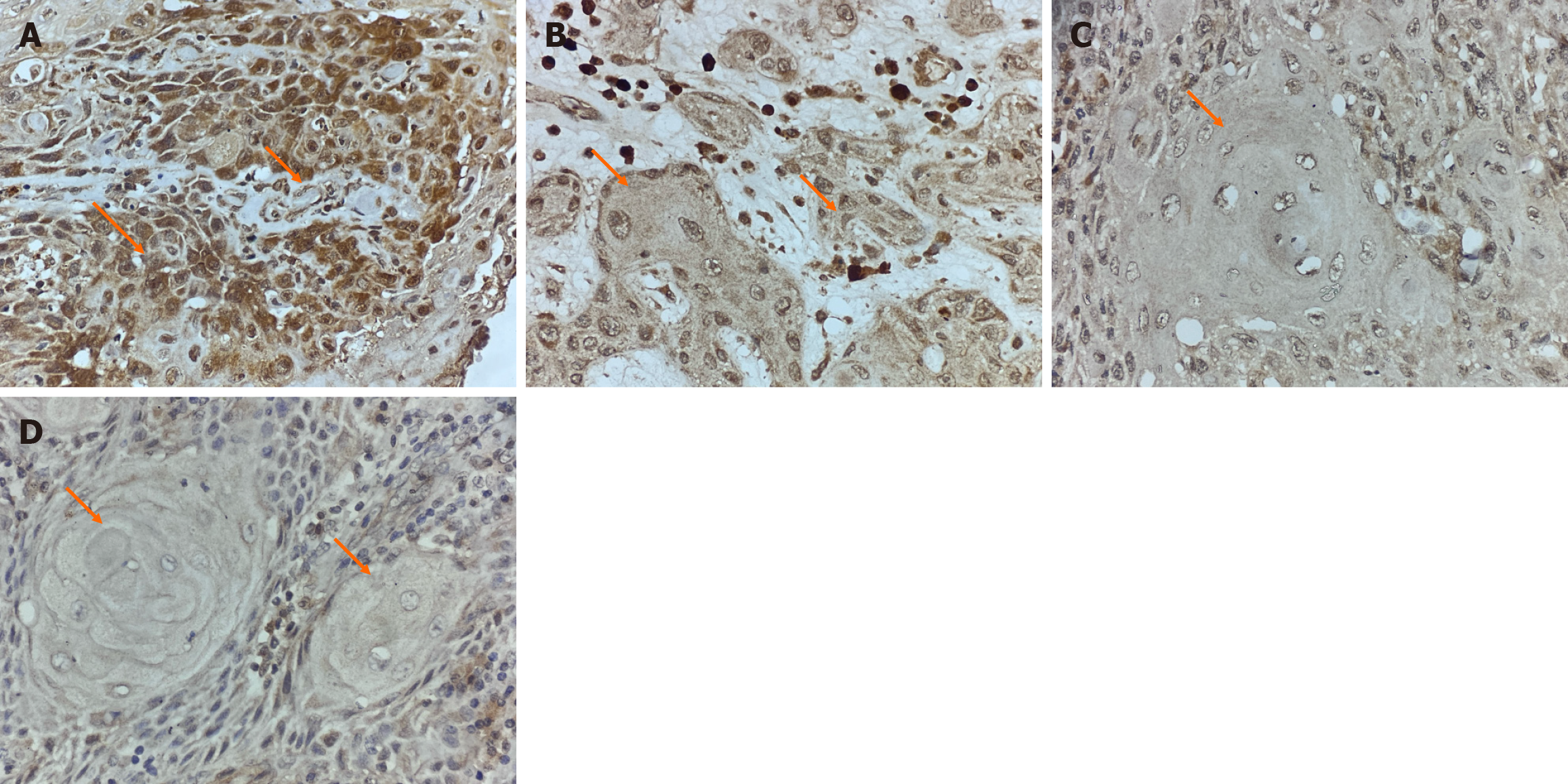
Figure 2 Images showing different intensities of palmitoyl-protein thioesterase 1 expression in oral squamous cell carcinoma cases (orange arrow denotes the tumor area).
A: Shows 3+ intensity [high intensity of palmitoyl-protein thioesterase 1 (PPT1) antibody in oral squamous cell carcinoma (OSCC) case]; B: Shows 2+ intensity (moderate intensity of PPT1 antibody in OSCC case); C: Shows 1 + intensity (mild intensity of PPT1 antibody in OSCC case); D: Shows no expression of PPT1 antibody in OSCC case.
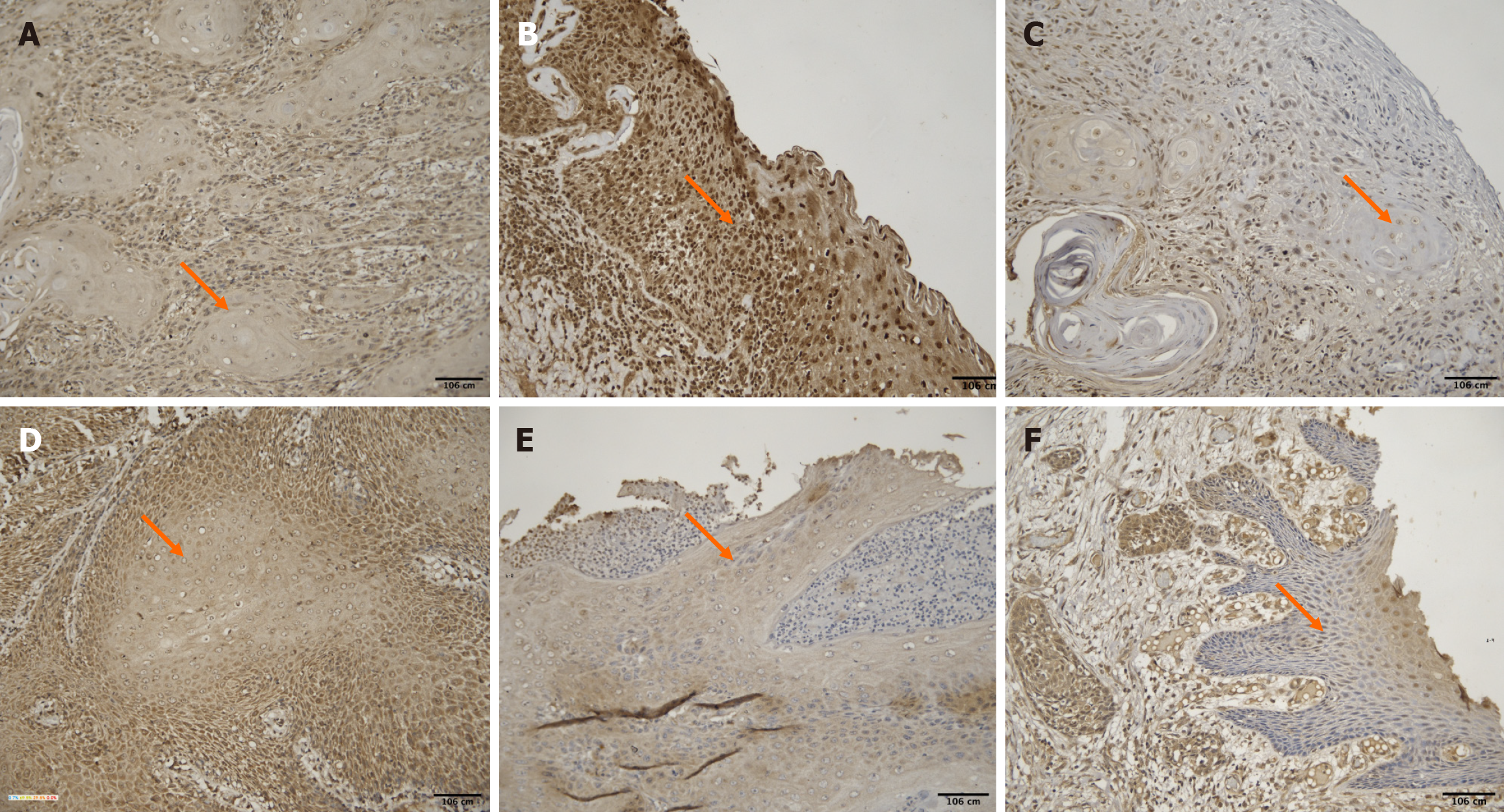
Figure 3 Images of oral squamous cell carcinoma cases showing different age groups stained with palmitoyl-protein thioesterase 1 antibody (orange arrow denotes the tumor area).
A: Age 28 years (buccal mucosa); B: Age 35 years (tongue); C: Age 48 years (tongue); D: Age 50 years (buccal mucosa); E: Age 65 years (tongue); F: Age 76 years (tongue).
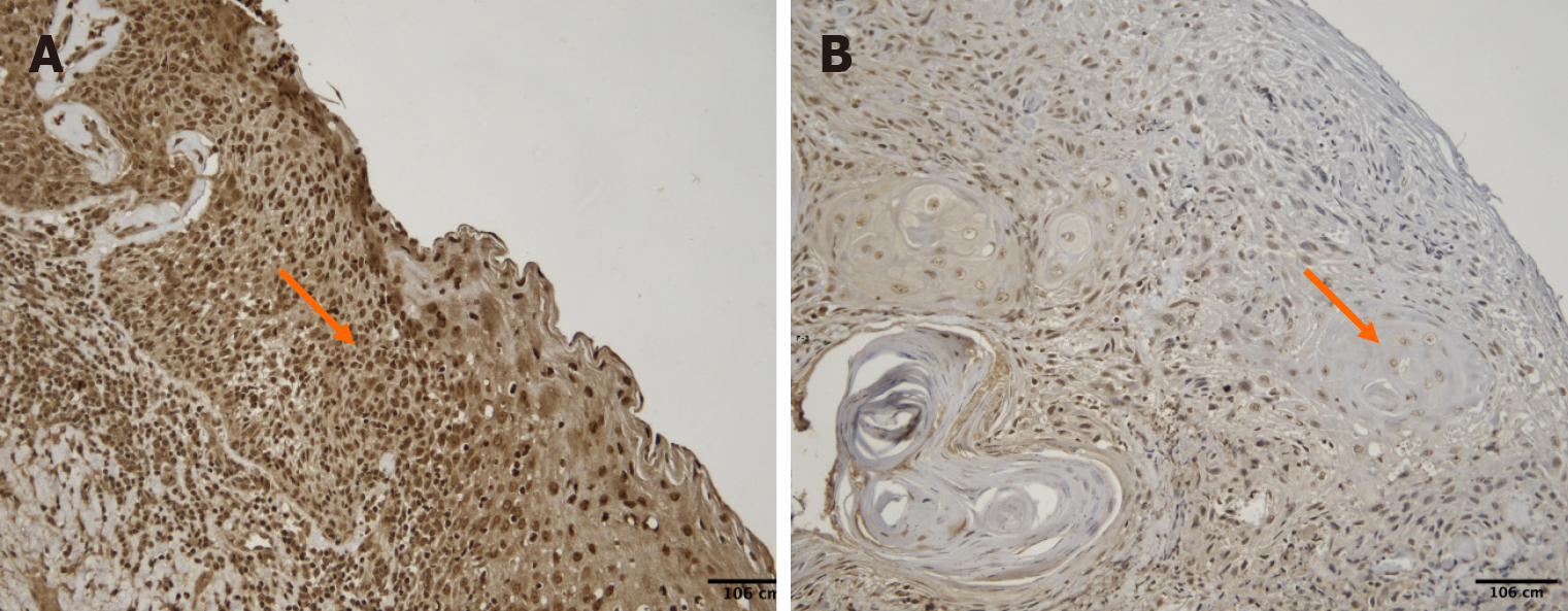
Figure 4 Images of oral squamous cell carcinoma cases showing different genders stained with palmitoyl-protein thioesterase 1 antibody (orange arrow denotes the tumor area).
A: Male (tongue); B: Female (tongue).
Figure 5 Images of oral squamous cell carcinoma cases showing different grades stained with palmitoyl-protein thioesterase 1 antibody (orange arrow denotes the tumor area).
A: Grade 1 (tongue); B: Grade 2 (buccal mucosa); C: Grade 3 (tongue).
Figure 6 Scatter plot showing the correlation between tumor grade and palmitoyl-protein thioesterase 1 H-score in oral squamous cell carcinoma, with a trend line.
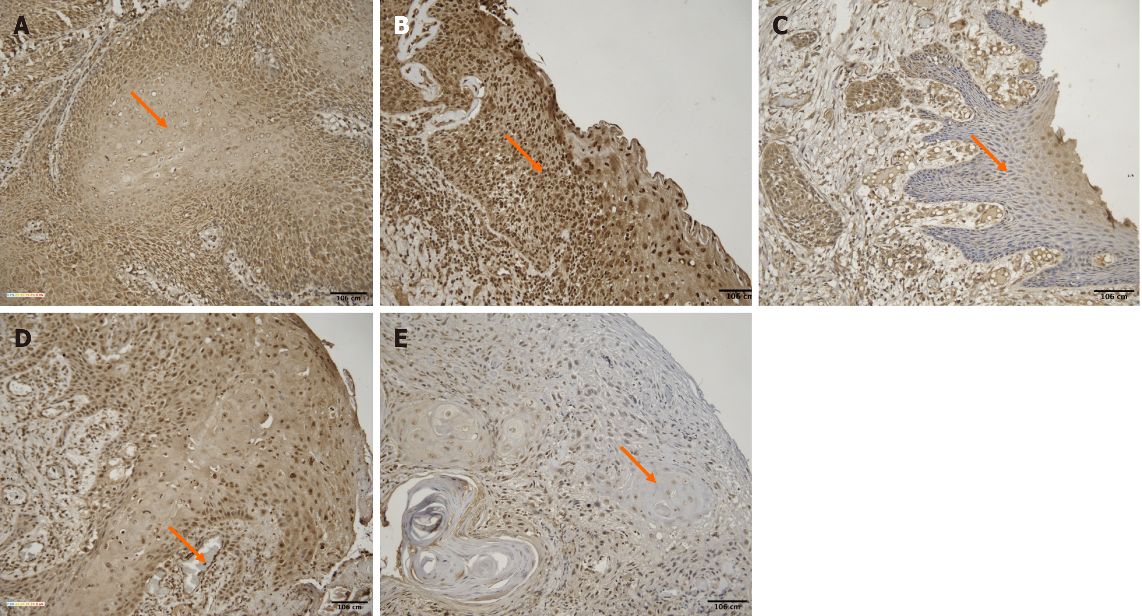
Figure 7 Images of oral squamous cell carcinoma cases showing different stages stained with palmitoyl-protein thioesterase 1 antibody (orange arrow denotes the tumor area).
A: Stage 1 (buccal mucosa); B: Stage 2 (tongue); C: Stage 3 (tongue); D: Stage 4 (tongue); E: Stage 5 (tongue).
- Citation: Kumar KCP, Sahoo S, Adhya AK, Gaikwad MR, Ganapathy A, Ravi PK. Evaluating palmitoyl-protein thioesterase 1 in oral squamous cell carcinoma: A novel indicator of tumor behavior and therapeutic response. World J Exp Med 2025; 15(4): 110917
- URL: https://www.wjgnet.com/2220-315x/full/v15/i4/110917.htm
- DOI: https://dx.doi.org/10.5493/wjem.v15.i4.110917
