Copyright
©The Author(s) 2025.
World J Orthop. Dec 18, 2025; 16(12): 111602
Published online Dec 18, 2025. doi: 10.5312/wjo.v16.i12.111602
Published online Dec 18, 2025. doi: 10.5312/wjo.v16.i12.111602
Figure 1 Initial X-ray and computed tomography.
A: Lateral knee X-ray demonstrating the inferior patella dislocation; B: Sagittal right knee computed tomography reconstruction showing a small depressed femoral trochlear fracture (white arrow) with an unchanged patella position; C: Axial right knee computed tomography reconstruction showing the mildly depressed femoral trochlear fracture (white arrow).
Figure 2 Preoperative magnetic resonance imaging.
A: Mildly depressed femoral trochlear osteochondral injury (white arrow) with a concertinaed patella tendon with heterogenous signal equivocal for a partial tear; B: Small femoral trochlear osteochondral injury slightly lateral of the midline (white arrow).
Figure 3 Intraoperative fluoroscopy and postoperative magnetic resonance imaging.
A: Intraoperative fluoroscopy confirmed reduction and showed a small superior patella osteophyte (white arrow); B: The sagittal postoperative magnetic resonance imaging (MRI) sequence redemonstrates the small femoral trochlear osteochondral fracture (white arrow) and confirms an intact extensor mechanism; C: Sagittal MRI sequence demonstrating a nondisplaced osteochondral fracture (white arrow); D: Axial MRI sequence demonstrating a nondisplaced osteochondral fracture (white arrow).
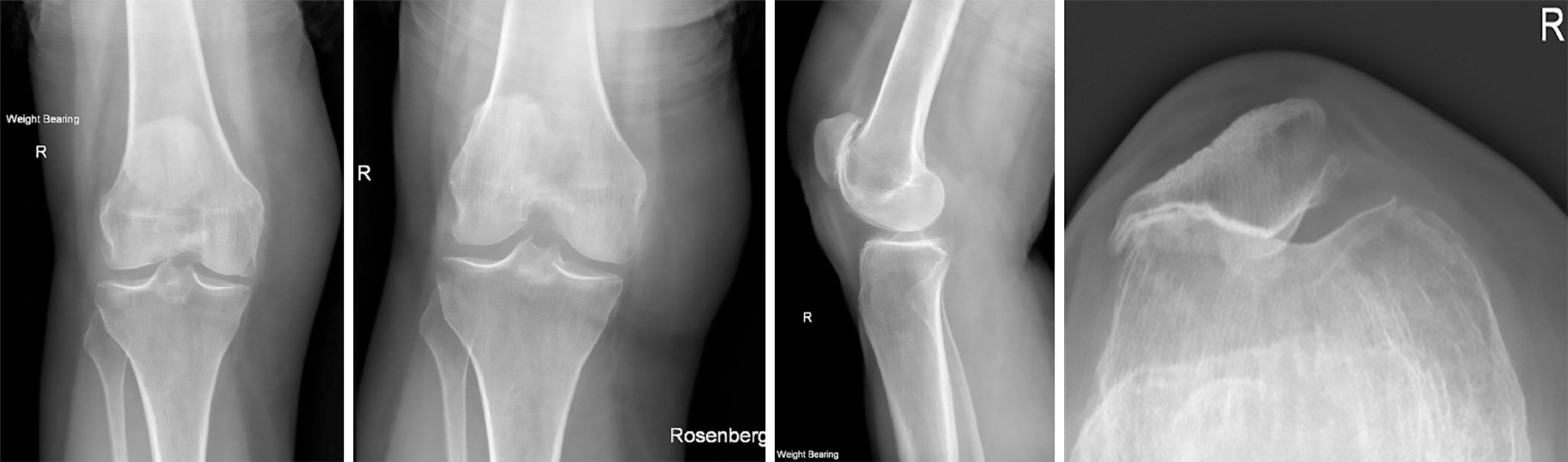
Figure 4 Progress X-rays at 9 months: Interval healing of the fracture at the medial margin of the femoral trochlear, where the fracture is not visualised and alignment appears anatomical.
This is best demonstrated on the skyline projection (bottom right). Background advanced patellofemoral compartment degenerative change is present.
- Citation: Brooks JR, Pitman AG, Lucas P, Cawthorne DP, Wade SWT. Inferior patella dislocation in an elderly patient after a fall: A case report. World J Orthop 2025; 16(12): 111602
- URL: https://www.wjgnet.com/2218-5836/full/v16/i12/111602.htm
- DOI: https://dx.doi.org/10.5312/wjo.v16.i12.111602
