Copyright
©The Author(s) 2025.
World J Gastrointest Surg. May 27, 2025; 17(5): 101414
Published online May 27, 2025. doi: 10.4240/wjgs.v17.i5.101414
Published online May 27, 2025. doi: 10.4240/wjgs.v17.i5.101414
Figure 1 Preoperative abdominal radiography demonstrating multiple metallic foreign bodies distributed in the abdominal cavity.
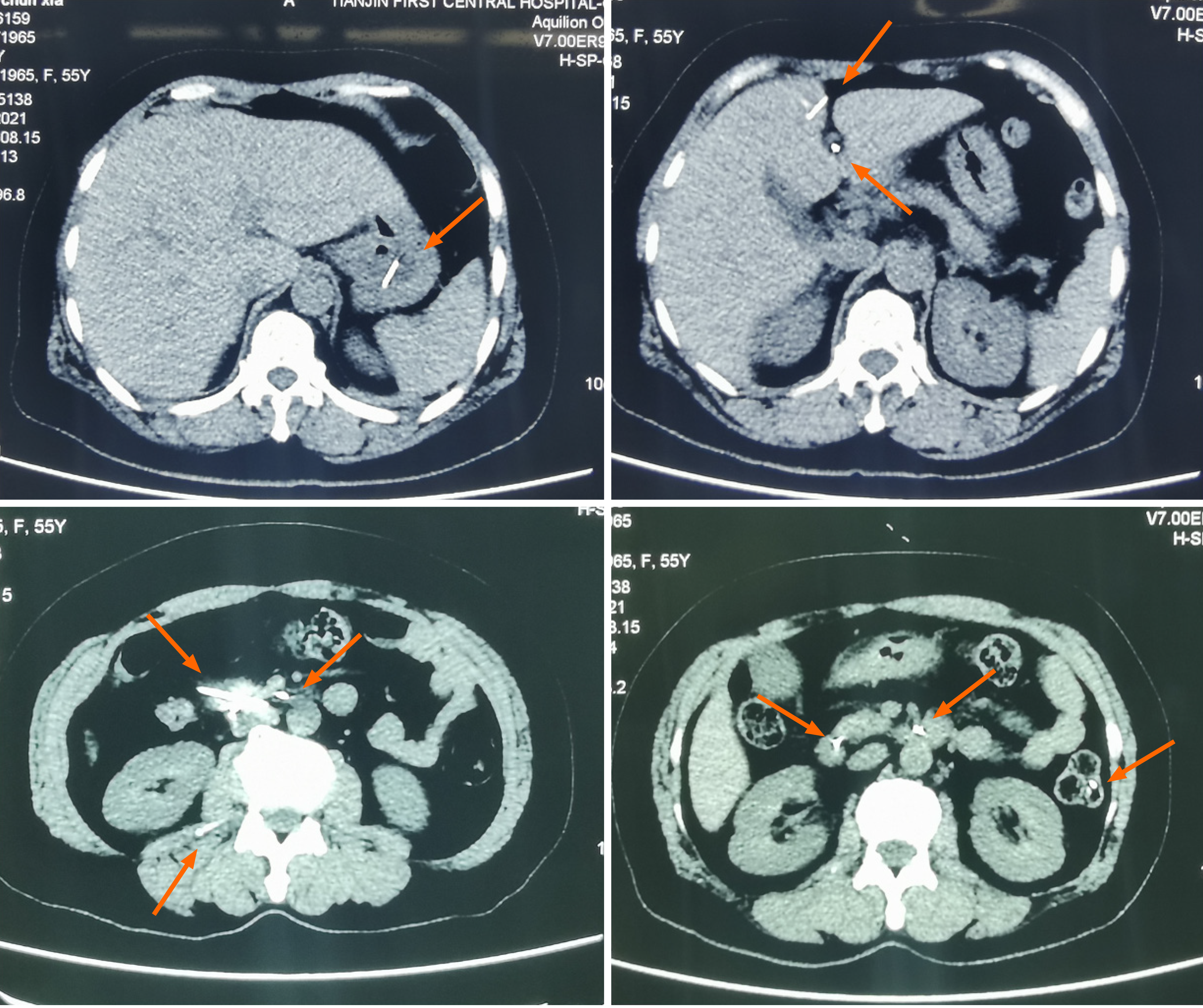
Figure 2 Axial computed tomography imaging of metallic foreign body distribution in the abdominal cavity (orange arrows).
Figure 3 Schematic representation of magnetic foreign body localization procedure.
A: Manual exploration of the gastrointestinal tract with the cylindrical magnet; B: Baseline colonic morphology without magnetic intervention; C: Magnetic-induced colonic wall deformation indicating foreign body localization.
Figure 4 Intraoperative findings of 30 metallic sewing needles retrieved from the gastrointestinal tract.
- Citation: Liu SQ, Li YF, Quan DW, Liu W. Magnetic-assisted detection and extraction of dispersed metallic foreign bodies in the abdominal cavity: A case report. World J Gastrointest Surg 2025; 17(5): 101414
- URL: https://www.wjgnet.com/1948-9366/full/v17/i5/101414.htm
- DOI: https://dx.doi.org/10.4240/wjgs.v17.i5.101414
