修回日期: 2026-02-05
接受日期: 2026-02-13
在线出版日期: 2026-02-28
食管癌行支架置入术后容易发生支架移位, 而嵌顿于结肠肝曲者少见.
本文报道了一例食管癌患者支架移位嵌顿至结肠肝曲, 经肠镜使用活检钳取出食管支架至体外, 未造成肠道黏膜明显损伤, 避免了急诊外科手术.
对于食管癌行食管支架患者, 需选择合适材质及规格的支架、做好术后进食宣教、注意支架位置随访、对于支架移位者根据部位及病情选择恰当的处理方法.
核心提要: 食管癌行支架置入术后容易发生支架移位, 而嵌顿于结肠肝曲者少见, 本例患者经肠镜使用活检钳从结肠肝曲取出食管支架至体外, 未造成肠道黏膜明显损伤, 避免了急诊外科手术. 对于食管癌行食管支架患者, 需选择合适材质及规格的支架、做好术后进食宣教、注意支架位置随访、对于支架移位者根据部位及病情选择恰当的处理方法.
引文著录: 周峻锋, 杨聪颖, 刘子豪, 匡骥泽, 陈一飞, 邱勇, 沈鑫, 杨花, 郭文超, 秦昂. 食管支架移位至结肠肝曲经肠镜支架取出术1例. 世界华人消化杂志 2026; 34(2): 179-182
Revised: February 5, 2026
Accepted: February 13, 2026
Published online: February 28, 2026
Esophageal stent migration is a common complication after esophageal stent placement, but stent impaction in the hepatic flexure is rare.
We report the case of a patient with esophageal stent migrating to hepatic flexure of the colon. The esophageal stent was finally removed using biopsy forceps during colonoscopy without causing significant damage to the intestinal mucosa, avoiding emergency surgery.
For patients with esophageal cancer who have undergone esophageal stent placement, it is necessary to select the appropriate material and size of the stent, provide proper postoperative dietary propaganda and education, monitor the stent position regularly, and choose the appropriate treatment method for stent migration based on the location and patient's condition.
- Citation: Zhou JF, Yang CY, Liu ZH, Kuang JZ, Chen YF, Qiu Y, Shen X, Yang H, Guo WC, Qin A. Esophageal stent migration to the hepatic flexure and removal by colonoscopy: A case report. Shijie Huaren Xiaohua Zazhi 2026; 34(2): 179-182
- URL: https://www.wjgnet.com/1009-3079/full/v34/i2/179.htm
- DOI: https://dx.doi.org/10.11569/wcjd.v34.i2.179
食管支架置入术是治疗晚期食管癌的方法之一, 而支架移位是术后最常见的并发症, 少见情况下支架可移位至肠道损伤肠粘膜, 导致肠道出血、肠梗阻、穿孔等后果, 严重时需要外科手术干预. 现将我院1例食管支架移位至结肠肝曲嵌顿后经肠镜取出食管支架的病例报道如下.
食管癌支架置入术后1 mo余, 首程化疗联合免疫治疗后16 d, 腹痛3 d.
患者2024-11于外院确诊食管癌并行食管支架置入术(支架型号为西格玛长度120 mm, 直径18 mm覆膜Ⅱ型支架, 支架上端放置于距门齿23 cm处), 2024-12在湖南省肿瘤医院行首程化疗+免疫治疗后出院. 2024-12-30无明显诱因出现腹痛, 呈脐周阵发性疼痛, 伴呕吐, 无便血、黑便, 为求进一步诊治就诊于湖南省肿瘤医院.
既往无腹部手术史及肠道疾病史.
生于原籍, 否认长期外地居住史, 否认毒物接触史. 无吸烟、饮酒史. 家族中否认遗传性疾病及类似病史.
腹稍膨隆, 腹部柔软, 腹部未触及明显异物, 无明显压痛、反跳痛及腹肌紧张. 肠鸣音无明显异常. 直肠指检未见明显异常.
大便常规潜血(-).
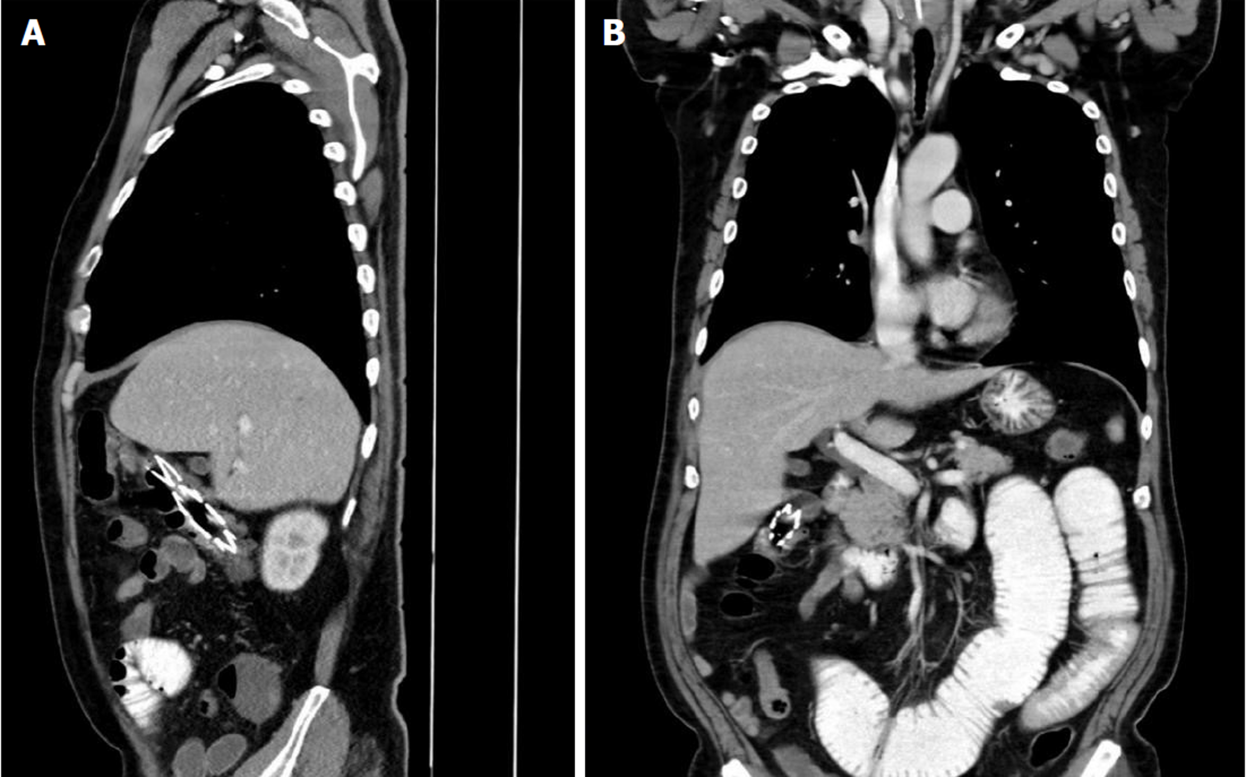
胸腹部电脑断层扫描(computed tomography, CT)(2025.1.1): 食管支架移位至升结肠伴局部梗阻, 有可疑肠穿孔. 复查胸腹部CT(2025.1.4): 食管支架移行至结肠肝曲, 升结肠近端靠回盲部可疑肠套叠, 管壁稍肿胀, 升结肠近端前方局部少许积气, 肠穿孔待排(图1).
经过消化内科、结直肠外科、内镜中心、放射影像中心多学科联合讨论, 认为患者食管支架移位至结肠诊断明确, 保守治疗观察3 d未能自行排出支架, 肠道小穿孔待排, 建议与患者及家属充分沟通并取得同意后, 首先尝试肠镜下支架取出术, 必要时急诊外科手术.
食管癌综合治疗后食管支架移位.
患者清醒状态, 未行肠道准备, 取左侧卧位, 自肛门进镜至结肠肝曲处可见食管支架嵌顿(图2), 因食管支架回收环线位于口侧端, 且支架长度较长, 常规使用的支架调整取出挂钩更适合于经口侧端收缩线头, 而不适合本情况, 遂尝试使用活检钳(活检钳型号为安杰思5019型, 长度2300 mm, 直径2.3 mm, 钳口张开直径5.8 mm), 予活检钳钳夹支架肛侧端, 轻柔、缓慢将食管支架顺着肠腔拖出, 历时1.5 h左右顺利取出体外(图3). 再次进镜观察, 所见结肠黏膜散在点片状发红, 未见明显活动性出血, 未见明显破口.
嘱患者暂禁食禁饮, 取支架后2 h复查CT提示移位食道支架未见显现, 肠壁情况大致同前, 观察腹痛症状消失, 生命体征平稳, 予以办理出院. 出院后1 mo电话随访患者无明显腹痛不适, 拒绝短期内复查肠镜及腹部CT.
食管支架置入术是治疗良恶性食管狭窄、封堵食管瘘口的常见方法. 自1983年首次报道金属支架成功治疗食管狭窄后开始应用于临床, 20世纪90年代以来, 覆膜支架、防反流支架等新型食管支架的诞生进一步扩大了食管支架的应用范围. 支架移位及脱落是术后最常见的并发症, 发生率为20%-60%[1], 取决于支架材质、支架大小、病变变化、热胀冷缩等情况. 以下情况容易发生食管支架移位: (1)目前常用为金属自膨式支架, 其中全覆膜支架相较未覆膜/部分覆膜支架移位率高, 与局部组织向腔内生长受限、食管表面附着力相对较弱有关; (2)选取支架的直径过小, 导致嵌合不够牢固; 或支架置入前病变处炎症、水肿较明显, 置入后炎症、水肿消退, 支架相对直径变小也易出现移位; (3)支架选择长度不足, 支架远端超出病变不足2 cm, 瘤体压迫下容易移位; (4)支架上下端设计为喇叭口状相较于杯口状或球头状, 容易移位且易对食管黏膜造成切割损伤; (5)置入支架后行化疗、放疗、免疫、靶向治疗等新辅助治疗, 肿瘤明显缩小导致支架不稳定而发生移位; 和(6)患者活动量大、剧烈呕吐、硬质食物的下坠推力、进食冰水或冰冷食物导致支架缩小等均可致支架移位[2].
针对食管支架移位至不同部位, 处理方法有所区别: (1)向食管上端移位: 胃镜下取出支架, 重新置入; (2)向食管下端移位: 胃镜下将支架上提至重新覆盖食管病变; (3)脱落入胃内: 胃镜下使用异物钳或支架调整取出钩取出支架; 和(4)移位至肠道: 保守观察能否随粪便排出; 若无法排出, 建议完善影像学检查明确移位支架的具体位置, 评估是否引起肠梗阻、穿孔等急症, 若无急症, 可尝试内镜下取出. 当患者有凝血功能障碍、支架严重嵌入消化道管壁、存在远端未解除的肠梗阻、患者一般情况无法耐受内镜操作等, 视为内镜下支架取出的禁忌症, 建议多学科联合会诊进行风险评估, 避免不必要的内镜操作, 当内镜取出失败或支架引起严重并发症时需考虑急诊外科手术处理[3].
本病例为一例食管癌支架置入术后1 mo余发生支架移位, 以脐周疼痛为主要症状就诊, 影像学证实支架移位至肠道并嵌顿于结肠肝曲, 临床上少见. 考虑患者行化疗及免疫治疗后肿瘤缩小, 导致支架与肿瘤嵌合不稳定而发生移位. 因嵌顿部位在右半结肠位置较远处, 肝曲的解剖位置导致该处曲度大, 食管长径支架移位于此后难以自行继续下移, 且CT提示有可疑肠穿孔, 行肠镜操作存在一定风险及难度, 尤其是无法钩住口侧端的可回收线从而将支架回缩收拢, 支架展开状态拖出容易造成肠壁的划伤, 甚至肠穿孔, 在操作前需要与患者及家属充分沟通内镜下取支架可能失败, 甚至急诊外科手术, 取得充分理解并签署知情同意书. 我们采用钳尖较为柔和的活检钳来夹取牵拉支架肛侧端, 轻柔、缓慢沿着肠腔纵轴将支架拖出, 以最大程度避免肠壁黏膜损伤, 虽耗时较长, 但最终顺利取出支架, 未造成肠壁明显受损, 避免外科手术创伤. 通过此病例, 我们有以下体会: (1)应根据病变位置, 选取合适材质、形态、直径及长度的食管支架; (2)向患者做好术后宣教, 支架置入后1-2 wk内以流质或半流质食物为主, 要少食多餐; 对置入记忆合金支架患者尤其注意术后禁忌冰冷食物以防支架变形脱落; (3)出现再次进食梗阻、腹痛等情况, 需警惕支架移位, 尽早来医院就诊; (4)对发生移位的支架可采用内镜下复位或移除支架, 支架上缘进行内固定、外固定等方法来预防移位, 保守观察或内镜下无法移除者必要时采取外科手术治疗; 和(5)既往多采用圈套器、异物钳取消化道异物, 在个体情况下也可酌情使用活检钳来进行此操作.
对于食管癌行食管支架患者, 需要选择合适材质及规格的支架, 做好术后进食宣教, 注意支架位置随访, 对于支架移位者根据部位及病情选择恰当的工具及处理方法, 在支架嵌顿至结肠弯曲处无法自行排出的情况下也可考虑使用活检钳作为取支架的工具.
| 2. | Adler DG, Siddiqui AA. Endoscopic management of esophageal strictures. Gastrointest Endosc. 2017;86:35-43. [PubMed] [DOI] |
| 3. | 雷 甜甜, 杨 鼎瑜, 陆 清, 马 洪升. 食管癌支架置入术后移位原因分析及处理. 中华胃肠内镜电子杂志. 2016;3:132-136. [DOI] |
学科分类: 胃肠病学和肝病学
手稿来源地: 湖南省
同行评议报告学术质量分类
A级 (优秀): 0
B级 (非常好): B, B
C级 (良好): C
D级 (一般): D
E级 (差): 0
科学编辑: 刘继红 制作编辑:张砚梁
